Case Report
 
The 33 months progression of an atrial myxoma
Karel T.S. Valenta1, Sabrina S. Sam1, Ethan A. Burns1, Nan Ni2
1MS3, MS4 Trinity School of Medicine, Kingstown, SVG.
2MD, PhD, Union Memorial Hospital, Baltimore, MD, USA.

Article ID: Z01201609CR10695KV
doi:10.5348/ijcri-2016107-CR-10695

Address correspondence to:
Karel Theodore Scott Valenta
6062 Green Meadow Parkway Apt A
Baltimore
MD 21209

Access full text article on other devices

  Access PDF of article on other devices

[HTML Abstract]   [PDF Full Text] [Print This Article]
[Similar article in Pumed] [Similar article in Google Scholar]


How to cite this article
Valenta KTS, Sam SS, Burns EA, Ni N. The 33 months progression of an atrial myxoma. Int J Case Rep Images 2016;7(9):596–598.


Abstract
Introduction: Atrial myxomas are the most common benign primary cardiac tumor. Left atrial myxomas are often associated with symptoms of mitral valve obstruction and embolization as well as constitutional symptoms. Symptoms commonly occur once the tumor has grown greater than five centimeters in diameter.
Case Report: A 63-year-old female presented with a mass found on transesophageal echocardiogram. The mass measured 1.8x1.4 cm and was characteristic of an atrial myxoma. The tumor was subsequently followed for 33 months before resection.
Conclusion: Current recommendations are immediate surgical resection of cardiac myxoma, regardless of size, due to the risk of embolic events. This case is unique as it allows us to obtain a tumor growth rate. We believe it is important to further investigate atrial myxoma growth rates to determine at which size embolic events become imminent. With greater understanding, medical management may play a larger role in high surgical risk patients.

Keywords: Atrial myxoma, Cardiac tumor, Growth rates of atrial myxoma


Introduction

Atrial myxomas are the most common benign primary cardiac tumor with an estimated incidence of 0.5 atrial myxomas per million according to a 15-year Irish study [1]. Eighty three percent of cardiac myxomas are located in the left atrium, with a 65% female predominance [2].

Atrial myxomas have a peak incidence around the age of 50 and have a variety of clinical presentations dependent upon their size and location [2]. Atrial myxomas generally become symptomatic after attaining a diameter of greater than five centimeters [3]. In up to 67% of cases, obstruction of the mitral valve produces symptoms such as syncope, anxiety, pulmonary edema and cardiomyopathy. Constitutional symptoms occur in 34% of cases due to elevated interleukin-6 production [4][5]. Embolization may be seen in 29% of symptomatic patients specifically with tumors with friable surfaces [4].

Under microscopic examination, atrial myxomas characteristically consist of polygonal cells with some eosinophilic cytoplasm surrounded by mucopolysaccharides. Macroscopically, they appear either papillary or solid. They most commonly arise from the interatrial septum at the fossa ovalis [6].


Case Report

A 63-year-old female presented with delirium and dyspnea following a lumbar spinal fusion. A transesophageal echocardiogram (TEE) revealed an incidental 1.8x1.4 cm left intra-atrial mass with rounded and smooth borders attached to the interatrial septum via a short stalk, findings suggestive of an atrial myxoma. The left atrium was mildly enlarged, and the mass did not appear to contact the mitral valve. Left ventricular function was normal with an estimated ejection fraction of 60%. No thrombus formation was seen in the left atrium.

Medical history of patient was significant for hypertension, diabetes, asthma, obesity, chronic exertional dyspnea, stage II diastolic dysfunction and a past history of breast cancer.

The initial treatment plan was surgical removal of the tumor upon recovery from her spinal surgery. However, the patient declined treatment and failed to follow-up for serial TEE's. Two years later, she returned complaining of episodic chest tightness precipitated by anxiety as well as increased dyspnea upon exertion. Repeat TEE revealed the atrial mass had enlarged to 2.2x2.0 cm in size (Figure 1).

Surgical excision was recommended due to the enlarging nature of the mass but was delayed due to extenuating circumstances. Three months later, a 3.6 cm cubed mass was removed from the left atrium. Part of the interatrial septum was removed and autologous pericardium was used to replace the resected portion of the atrial wall. The preoperative TEE measured the size at 2.5x2.5 cm. Pathology confirmed the diagnosis of myxoma with classic myxoid matrix and hemosiderin laden macrophages.

Postoperatively our patient developed confusion and atrial fibrillation. Her head computed tomography (CT) scan was unremarkable. She was successfully converted to sinus rhythm with beta blockers and amiodarone and her mental status improved with lower doses of narcotics. When seen for follow-up in outpatient clinic two weeks later she was recovering well.


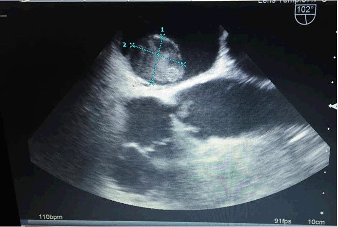
Cursor on image to zoom/Click text to open image
Figure 1: Second TEE of our patient's left atrial mass. The TEE demonstrates a 2x2.2 cm mass in the left atrium. This TEE was done 30 months after the atrial myxoma was first noted.



Cursor on image to zoom/Click text to open image
Figure 2: Atrial Myxoma Growth Rate. Growth of our patient's atrial myxoma over 33 months, increased growth between months 30 and 33 exhibited.



Discussion

Few studies have been conducted to assess myxoma growth rates, primarily because tumor excision is done as soon as possible to avoid deleterious cardiovascular, embolic and neurological effects. High variability in the growth rate of atrial myxomas exists based upon limited case reports. One case showed a growth rate of 0.20 cm/month [7]. A second case followed an 89-year-old male over 79 months. His myxoma grew at a rate of 0.20 cm squared per year [8]. Another study followed a 65-year-old patient with a tumor growth rate of 0.49 cm/month [9].

Our patient is unique because we were able to demonstrate the growth of her tumor over the course of 33 months. Over the first 30 months, there was an average growth rate of 0.020 cm/month in one dimension and 0.013 cm/month in another dimension. Between months 30 to 33, the average growth rate was 0.17 cm/month in one dimension and 0.10 cm/month in another dimension (Figure 2). The growth rate can be unpredictable as revealed by the increased growth between months 30 and 33 compared to the first 30 months (See (Figure 2)). Protocols for imaging should be developed and data should be obtained at regular intervals to determine the risk of embolic events at various sizes and to ensure stable cardiovascular function.


Conclusion

This case provides us with a growth rate for a rare tumor. We believe the growth rate of atrial myxomas should be studied further to determine the risks and benefits associated with delaying surgical removal. We propose that structured monitoring of tumor progression should be conducted in patients who are poor surgical candidates or who refuse surgical excision of atrial myxomas. This may help establish an average tumor growth rate and prognostic information. With a greater understanding of tumor progression, medical management may play a greater role in high surgical risk patients.


Acknowledgements

We would like to thank Dr. Karen Scott for her critical review of the manuscript.


References
  1. MacGowan SW, Sidhu P, Aherne T, et al. Atrial myxoma: national incidence, diagnosis and surgical management. Ir J Med Sci 1993 Jun;162(6):223–6.   [CrossRef]   [Pubmed]    Back to citation no. 1
  2. Kuon E, Kreplin M, Weiss W, Dahm JB. The challenge presented by right atrial myxoma. Herz 2004 Nov;29(7):702–9.   [CrossRef]   [Pubmed]    Back to citation no. 2
  3. Obrenovic-Kircanski B, Mikic A, Parapid B, et al. A 30-year-single-center experience in atrial myxomas: from presentation to treatment and prognosis. Thorac Cardiovasc Surg 2013 Sep;61(6):530–6.   [CrossRef]   [Pubmed]    Back to citation no. 3
  4. Pinede L, Duhaut P, Loire R. Clinical presentation of left atrial cardiac myxoma. A series of 112 consecutive cases. Medicine (Baltimore) 2001 May;80(3):159–72.   [Pubmed]    Back to citation no. 4
  5. Mendoza CE, Rosado MF, Bernal L. The role of interleukin-6 in cases of cardiac myxoma. Clinical features, immunologic abnormalities, and a possible role in recurrence. Tex Heart Inst J 2001;28(1):3–7.   [Pubmed]    Back to citation no. 5
  6. Anvari M, Boroumand M, Karimi A, Abbasi K, Ahmadi H, Marzban M et al. Histopathologic and Clinical Characterization of Atrial Myxoma: A Review of 19 Cases. Lab Med 2009;40(10):596–9.    Back to citation no. 6
  7. Vazir A, Douthwaite H. Rapidly growing left atrial myxoma: a case report. J Med Case Rep 2011 Aug 25;5:417.   [CrossRef]   [Pubmed]    Back to citation no. 7
  8. Ullah W, McGovern R. Natural history of an atrial myxoma. Age Ageing 2005 Mar;34(2):186–8.   [CrossRef]   [Pubmed]    Back to citation no. 8
  9. Walpot J, Shivalkar B, Rodrigus I, Pasteuning WH, Hokken R. Atrial myxomas grow faster than we think. Echocardiography 2010 Nov;27(10):E128–31.   [CrossRef]   [Pubmed]    Back to citation no. 9

[HTML Abstract]   [PDF Full Text]

Author Contributions
Karel T. S. Valenta – Substantial contributions to conception and design, Acquisition of data, Analysis and interpretation of data, Drafting the article, Revising it critically for important intellectual content, Final approval of the version to be published
Sabrina Sam – Substantial contributions to conception and design, Analysis and interpretation of data, Drafting the article, Revising it critically for important intellectual content, Final approval of the version to be published
Ethan Burns – Substantial contributions to conception and design, Acquisition of data, Drafting the article, Revising it critically for important intellectual content, Final approval of the version to be published
Nan Ni – Acquisition of data, Revising it critically for important intellectual content, Final approval of the version to be published
Guarantor of submission
The corresponding author is the guarantor of submission.
Source of support
None
Conflict of interest
Authors declare no conflict of interest.
Copyright
© 2016 Karel T. S. Valenta et al. This article is distributed under the terms of Creative Commons Attribution License which permits unrestricted use, distribution and reproduction in any medium provided the original author(s) and original publisher are properly credited. Please see the copyright policy on the journal website for more information.