Case Report
 
Obstructed direct inguinal hernia: A rare encounter
Sudhir Kumar Mohanty1, Kumarmani Jena2, Tanmaya Mahapatra3, Jyoti Ranjan Dash3, Ajax John3, Dibyasingh Meher3
1MS, Associate Professor, Department of General Surgery, S.C.B. Medical College, Cuttack, Odisha, India.
2MS, Senior Resident, Department of General Surgery, S.C.B. Medical College, Cuttack, Odisha, India.
3Post Graduate Trainee, Department of General Surgery, S.C.B. Medical College, Cuttack, Odisha, India.

Article ID: Z01201609CR10694SM
doi:10.5348/ijcri-2016106-CR-10694

Address correspondence to:
Dr. Tanmaya Mahapatra
Address: Chandrama Nivas, Sarathi Nagar, Berhampur
Ganjam, Odisha
India, Postal Code- 760002

Access full text article on other devices

  Access PDF of article on other devices

[HTML Abstract]   [PDF Full Text] [Print This Article]
[Similar article in Pumed] [Similar article in Google Scholar]


How to cite this article
Mohanty SK, Jena K, Mahapatra T, Dash JR, John A, Meher D. Obstructed direct inguinal hernia: A rare encounter. Int J Case Rep Images 2016;7(9):592–595.


Abstract
Introduction: Direct inguinal hernias are less likely to present as incarceration or strangulation as compared to indirect inguinal hernia, because they have wide neck.
Case Report: We report the case of an 80-year-old male presented with irreducible and painful swelling over the right inguinal region and features of intestinal obstruction. On exploration the obstructed hernia was found to be a direct type with gangrenous sac wall containing congested small bowel loops. After gaining viability the content was reduced, posterior wall defect was closed and modified Bassini's repair was done.
Conclusion: A long standing direct inguinal hernia may present as acute or sub acute intestinal obstruction especially in elderly patients. Therefore, we should repair direct inguinal hernias on an elective basis in any age group.

Keywords: Direct inguinal hernia, Hesselbach's triangle, Indirect inguinal hernia, Modified bassini's repair, Obstructed hernia, Strangulated hernia


Introduction

Seventy-five percent of all abdominal wall hernias are found in the groin, making it the most common location for an abdominal wall hernia [1]. Of all groin hernias, 95% are hernias of the inguinal canal with the remainder being femoral hernia defects [2]. Two-thirds of the inguinal hernias are indirect and the remainders are direct inguinal hernia. An indirect inguinal is the most common hernia, regardless of gender. In men, indirect hernias predominate over direct hernias at a ratio of 2:1. Direct hernias are uncommon in women [1]. The lifetime risk of inguinal hernia is 27% in men and 3% in women [3]. There is clearly an association between age and hernia diagnosis. After an initial peak in the infant, groin hernias become more prevalent with advancing age. In the same way, the complications of hernias (incarceration, strangulation, and bowel obstruction) are found more commonly at the extremes of age [4].


Case Report

An 80-year-old male presented in emergency with a swelling over the right groin for 20 years which was reducible and became irreducible, painful for last eight days followed by obstipation for last four days. General physical examination and vitals of the patient was within normal limits except for mild pallor. On local examination of the right inguinal region there was a globular swelling of size 4×4 cm present above and medial to right pubic tubercle. The swelling was globular in shape, had smooth surface, well defined margin, firm in consistency, irreducible, tender with local raise of temperature, with a negative cough impulse and a resonant note on percussion. The examination of the right testes, epididymis, spermatic cord and contralateral inguino-scrotal region was within normal limits. There was mild distension of the abdomen with diffuse tenderness, sluggish bowel sound and poor abdominal wall muscle tone. Per rectal and other systemic examination was normal.

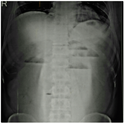
X-ray of the abdomen in erect posture showed multiple air-fluid levels (Figure 1) and ultrasonography revealed the presence of right sided inguinal hernia containing aperistaltic loops of intestine with fluid collection (Figure 2). So a diagnosis of right sided obstructed inguinal hernia was made on the basis of clinical and radiological finding. The patient was planned for surgery on an emergency basis.

A right sided inguinoscrotal skin incision was given. Gangrenous hernia sac wall with pre peritoneal fat was found to be present medial to the cord structures (Figure 3). The sac was opened and content being the congested small bowel loop (Figure 4) was reduced after gaining vascularity and peristalsis. Excision of sac with pre-peritoneal fat was done. Posterior wall defect was closed (Figure 5A) and modified Bassini's repair was done with (1-0) polypropylene interrupted suture (Figure 5B). Post-operative recovery was uneventful. Patient was kept nil per oral for three days, passed flatus on third postoperative day and stool on fifth postoperative day. Patient was discharged with advice on eighth postoperative day.

During the follow-up visit after three months the operation scar was found to have healed well and the patient was absolutely asymptomatic.


Cursor on image to zoom/Click text to open image
Figure 1: X-ray of the abdomen in erect posture showed multiple air-fluid levels.



Cursor on image to zoom/Click text to open image
Figure 2: Ultrasonography of right inguinal region containing aperistaltic loops of intestine with fluid collection.



Cursor on image to zoom/Click text to open image
Figure 3: Gangrenous direct hernia sac present medial to the cord structure.



Cursor on image to zoom/Click text to open image
Figure 4: Congested small bowel loop as a content of the hernia sac.



Cursor on image to zoom/Click text to open image
Figure 5: (A) Closure of the posterior wall defect, and (B) Modified Bassini's repair with interrupted polypropylene suture.



Discussion

Groin hernias are generally classified as inguinal (indirect and direct) and femoral based on the site of herniation relative to surrounding structures. Indirect hernias protrude lateral to the inferior epigastric vessels, through the deep inguinal ring. Direct hernias protrude medial to the inferior epigastric vessels, within Hesselbach's triangle. The borders of the triangle are the inguinal ligament inferiorly, the lateral edge of rectus sheath medially, and the inferior epigastric vessels superolaterally [5].

The contents of the abdominal cavity can descend into the hernia sac as a long-term process and they may be entangled within the hernia causing an intestinal obstruction. Hernia with these features but with preserved blood flow to the contents is called an obstructed hernia. If the blood supply of the portion of intestine entangled within the hernia is compromised, the hernia is called strangulated hernia and may result in gut ischemia and gangrene with potentially fatal consequences.

Indirect inguinal hernias have a higher risk of strangulation. The risk of strangulation and obstruction is lowest for direct inguinal hernias as they have a wide neck, which can often be monitored and managed conservatively. Strangulated external hernias account for 18–20% of all intestinal obstructions in adults [6] [7]. Indirect inguinal hernias carry more risk of strangulation and incarceration than direct hernias. When they become incarcerated the incidence is about 34.1% versus 16.7% and 32.6% versus 10.3% in two different studies [7] [8]. According to another study, the incidence of strangulation leading to bowel resection, in case of indirect and direct inguinal hernia was 32.1% and 11.8% respectively [9]. Even though the neck of the direct hernial sac (fascial defect) is soft and wide enough to avoid strangulation in the early stage of the hernia, it may become fibrotic, solid and narrowed with time. This process may create a risk for a direct hernia to be incarcerated [8].

In our case, on exploration the obstructed hernia was found to be a direct type with gangrenous sac wall containing congested small bowel loops.


Conclusion

Though incarceration and even strangulation are less common in direct inguinal hernia as compared to indirect inguinal hernia, a long standing direct inguinal hernia may present as acute or sub-acute intestinal obstruction especially in elderly patients. Therefore, we should repair direct inguinal hernias on an elective basis in any age group and never to be managed conservatively especially in older patients.


References
  1. Beauchamp CM, Ever BM, Mattox KL. Sabiston Textbook of Surgery: The biological basis of Modern Surgical Practice, 19ed. vol-2. Philadelphia: Saunders; 2012. p. 1114.    Back to citation no. 1
  2. McIntosh A, Hutchinson A, Roberts A, Withers H. Evidence-based management of groin hernia in primary care--a systematic review. Fam Pract 2000 Oct;17(5):442–7.   [CrossRef]   [Pubmed]    Back to citation no. 2
  3. Gould J. Laparoscopic versus open inguinal hernia repair. Surg Clin North Am 2008 Oct;88(5):1073–81, vii–viii.   [CrossRef]   [Pubmed]    Back to citation no. 3
  4. Zinner MJ, Ashley SW. Maingot's Abdominal Operations, 12ed. New York: McGraw Hill Education; 2012. p. 124.    Back to citation no. 4
  5. Brunicardi FC, Andersen DK, Billiar TR, et al. Schwartz's Principles Of Surgery, 10ed. New York: McGraw Hill Education; 2014. p. 1496.    Back to citation no. 5
  6. McEntee G, Pender D, Mulvin D, et al. Current spectrum of intestinal obstruction. Br J Surg 1987 Nov;74(11):976–80.   [CrossRef]   [Pubmed]    Back to citation no. 6
  7. Kekec Y, Alparslan A, Demirtas S, et al. Effect of strangulation on morbidity and mortality in irreducible hernia. Turk J Surg 1993;9:128–31.   [Pubmed]    Back to citation no. 7
  8. Kulacoglu H, Kulah B, Hatipoglu S. Coskun F. Incarcerated direct inguinal hernias: a three-year series at a large volume teaching hospital. Hernia 2000;4(3):145–7.   [CrossRef]    Back to citation no. 8
  9. Alvarez JA, Baldonedo RF, Bear IG, Solís JA, Alvarez P, Jorge JI. Incarcerated groin hernias in adults: presentation and outcome. Hernia 2004 May;8(2):121–6.   [CrossRef]   [Pubmed]    Back to citation no. 9

[HTML Abstract]   [PDF Full Text]

Author Contributions
Sudhir Kumar Mohanty – Conception and design, Acquisition of data, Analysis and interpretation of data, Drafting the article, Critical revision of the article, Final approval of the version to be published
Kumarmani Jena – Conception and design, Acquisition of data, Analysis and interpretation of data, Drafting the article, Critical revision of the article, Final approval of the version to be published
Tanmaya Mahapatra – Conception and design, Acquisition of data, Analysis and interpretation of data, Drafting the article, Critical revision of the article, Final approval of the version to be published
Jyoti Ranjan Dash – Acquisition of data, Analysis and interpretation of data, Drafting the article, Critical revision of the article, Final approval of the version to be published
Ajax John – Acquisition of data, Drafting the article, Final approval of the version to be published
Dibyasingh Meher – Acquisition of data, Drafting the article, Final approval of the version to be published
Guarantor of submission
The corresponding author is the guarantor of submission.
Source of support
None
Conflict of interest
Authors declare no conflict of interest.
Copyright
© 2016 Sudhir Kumar Mohanty et al. This article is distributed under the terms of Creative Commons Attribution License which permits unrestricted use, distribution and reproduction in any medium provided the original author(s) and original publisher are properly credited. Please see the copyright policy on the journal website for more information.