Case Report
 
Robot-assisted stereotactic laser ablation of residual epileptogenic focus in the setting of chronic low back pain
Alvin Y. Chan1, Jack J. Lin2, Lilit Mnatsakanyan2, Mona Sazgar2, Indranil Sen-Gupta2, Frank Hsu1, Sumeet Vadera1
1Department of Neurological Surgery, University of California, Irvine.
2Department of Neurology, Epilepsy Division, University of California, Irvine.

Article ID: Z01201608CR10687AC
doi:10.5348/ijcri-201699-CR-10687

Address correspondence to:
Sumeet Vadera
UC Irvine Medical Center
101 the City Drive South
Orange, CA 92868
United States

Access full text article on other devices

  Access PDF of article on other devices

[HTML Abstract]   [PDF Full Text] [Print This Article]
[Similar article in Pumed] [Similar article in Google Scholar]


How to cite this article
Chan AY, Lin JJ, Mnatsakanyan L, Sazgar M, Sen-Gupta I, Hsu F, Vadera S. Robot-assisted stereotactic laser ablation of residual epileptogenic focus in the setting of chronic low back pain. Int J Case Rep Images 2016;7(8):554–558.


Abstract
Introduction: Stereotactic laser-induced thermal therapy (LITT) is a minimally invasive procedure used to ablate a variety of intracranial pathology including tumors, epileptogenic foci and radiation necrosis. Potential benefits of LITT over open resection include avoiding a large craniotomy and pain associated with this.
Case Report: We present a 58-year-old male who originally presented 15 years prior with new-onset seizures due to a low-grade astrocytoma in the left lateral temporal lobe. He underwent focal tumor resection at that time but continued to have seizures. The patient had a history of degenerative disease in the lumbar spine and had already undergone several surgeries in the past including a failed fusion. He presented to our center where video-electroencephalogram (vEEG) localized the ictal onset zone to the left mesial temporal lobe adjacent to the resection cavity. He was offered craniotomy and LITT therapy, and he elected to undergo LITT. Robotic assistance was utilized and bone fiducials were implanted for precise registration and implantation. A laser cannula was placed in the appropriate location and the ictal onset zone was ablated with MR-thermometry. The patient required no additional pain medications after surgery and has been seizure free since surgery.
Conclusion: Our study demonstrates LITT can be beneficial over open craniotomy with regards to postoperative pain control in patients with severe chronic pain. Further, this case demonstrates the importance of considering tumors and epileptogenic foci as distinct and separate entities. Therefore, we advocate for evaluation and resection of ictal onset zones during initial tumor resection.

Keywords: Chronic pain, Laser-induced thermal therapy (LITT), Lesionectomy, ROSA robot


Introduction

Surgical resection of epileptogenic foci in patients who suffer from medically refractory epilepsy can be transformative [1][2]. The results of epilepsy surgery are often a cessation or reduction in seizure activity and a better quality of life when compared with continued medical therapy [3][4]. Patients with intracranial tumors can present with seizures and appropriate treatment involves not only resection of the tumor but also isolation and removal of the ictal onset zone, as these are commonly distinct entities [5] [6].

Stereotactic laser-induced thermal therapy (LITT) is becoming increasingly utilized to ablate a variety of intracranial pathology including tumors, epileptogenic foci and radiation necrosis [7]. Although craniotomies are still considered first line therapy for a variety of treatments, LITT has been increasing in popularity as a minimally invasive alternative [8]. Laser-induced thermal therapy may offers several benefits over standard craniotomy including minimal postoperative pain, avoidance of a large craniotomy, a short hospital stay, better wound healing, and a lower rate of complications even in patients with comorbidities [9]. Furthermore, LITT has been shown to be safe and efficient in cases where an open craniotomy may not be an ideal treatment [10].

In this study, we present a case of a patient with chronic low back pain who originally presented 15 years prior to an outside hospital with medically refractory focal epilepsy and workup revealed a low-grade tumor in the left lateral temporal lobe. The patient underwent focal resection of the tumor but continued having seizures because the ictal onset zone was not localized or addressed during the initial surgery. The patient presented to our center with continued seizures and noninvasive testing revealed that seizures were arising from the mesial temporal lobe. The residual ictal onset tissue was ablated via laser with robotic assistance. This case outlines the need to consider the ictal onset region as being potentially distinct and separate from a tumor in epileptic patients, as this consideration may reduce the possibility of recurrence and thus another potential procedure. It also demonstrates LITT therapy as a good option in patients with chronic pain to minimize post-surgical pain, which can be difficult to treat after open craniotomy.


Case Report

The patient is a 58-year-old male who originally presented to an outside hospital with new-onset seizures at the age of 43. Workup revealed a low-grade tumor in the left lateral temporal lobe. He underwent a focal resection of the tumor and postoperative MRI revealed gross-total resection. He was seizure free for one year after surgery and then developed recurrence of seizures of the same semiology. Of note, the patient had a history of lumbar decompression and fusion for back pain and developed chronic low-back pain requiring high doses of dilaudid and fentanyl. Patient presented to our institution with 14 years of medically refractor focal epilepsy and chronic low-back pain requiring high doses of dilaudid and fentanyl. Subsequent video-electroencephalogram (vEEG) data revealed a single focal area of cerebral dysfunction in the mesial temporal lobe adjacent to the prior resection cavity. The patient had failed multiple medications in the past and had no improvement in seizures. He had significant side effects from the medications and stopped taking them for this reason. Patient had 3–5 seizures per day prior to surgery.

The patient was offered an open resection of the residual epileptogenic foci or laser-induced thermal therapy (LITT) to treat the presumed ictal onset zone. He elected to undergo laser ablation to minimize post-surgical pain because of the patient's chronic pain and opioid dependence.

The patient underwent a preoperative volumetric MRI for stereotactic navigational purposes. The patient was placed under general anesthesia and then placed in a lateral position. We used the ROSA robot (MedTech Surgical, Inc, Montpellier France) to assist with implantation of a laser cannula through a transoccipital approach to the mesial temporal lobe. The patient was placed in a Leksell stereotactic head frame (Elekta, Crawley, United Kingdom) to connect him to the robot (i.e., not for stereotactic navigational purposes). Additionally, bone fiducials were used because facial registration is less accurate when the patient is in the lateral position. A mesial temporal trajectory was planned with the ROSA navigation software, including the entry point and trajectory needed to reach the target (Figure 1). A percutaneous burr hole was made on the scalp at the entry point and a PMT skull bolt (PMT Corporation, Chanhassen, Minnesota) was placed in the correct trajectory. We passed a cannula through the skull bolt and advanced it to the predetermined depth (Figure 2). The laser applicator was then placed within the cannula and secured. The patient was then transported to the MRI suite for the remainder of the procedure. Imaging confirmed correct placement of the laser applicator and then the LITT commenced.

The Visualase thermal therapy system (Visualase, Inc.) consists of a computer, a 15 W 980 nm wavelength diode laser, a cooling pump, and a disposable laser applicator that is approximately 1.65 mm wide [2]. Designated "safety points" would shut off the laser if the region of the brain near the laser applicator or surrounding parenchyma reached approximately 90°C, or if the protected cerebral structures reached temperatures around 50°C. The laser was pulsed at roughly 9 W for 60–90 seconds intervals. The laser cannula was pulled back and ablation continued until an adequate region was ablated. When the surgeon deemed the region to be sufficiently ablated, the applicator and bolt were removed and the wound was closed.

There were no complications associated with surgery and the patient was discharged on postoperative day one. The patient required no additional pain medications outside of his normal chronic pain regimen. During his follow-up appointment, he had no pain related to the surgery and has denied any seizures since surgery.


Cursor on image to zoom/Click text to open image
Figure 1: Panel A-ROSA display demonstrating planned and actual (A) Entry point, and (B) Target.



Cursor on image to zoom/Click text to open image
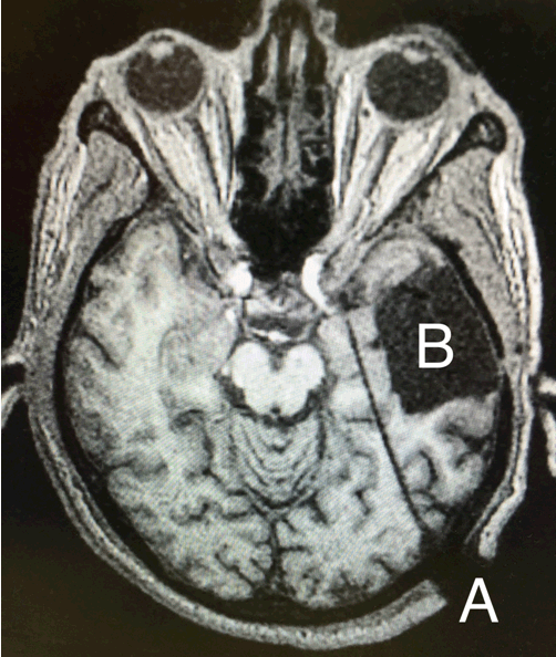
Figure 2: Axial image of the trajectory of the laser applicator taken from the posterior aspect of the head to the mesial temporal lobe; (A) Entry point, and (B) Cavitation.



Cursor on image to zoom/Click text to open image
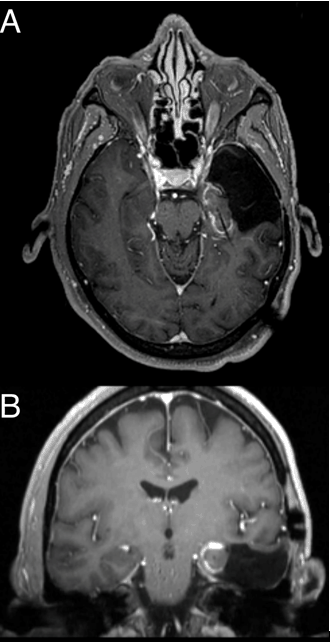
Figure 3: Post-ablation images; Enhancement surrounding the ablation area in the (A) axial and (B) coronal sections.



Discussion

We present a case where stereotactic robotic assistance and LITT were used to ablate the ictal onset zone of a patient with chronic low-back pain and recurrent seizure activity following prior resection of a tumor in the left mesial temporal lobe. LITT was chosen as a viable alternative to an open resection because

  1. the patient had chronic pain and an open resection was likely to result in a more challenging post-surgical pain management than the less invasive LITT,
  2. if LITT were ineffective, an open resection would still be an available option, and
  3. the location and size of the residual tissue was ideal for laser ablation.

This case highlights the need to consider tumors and epileptogenic foci as distinct and separate entities and emphasizes the importance of isolating the ictal onset zone and resecting it as part of the tumor resection. Ictal onset zone may be localized through a variety of techniques including intraoperative electrocorticography (ECoG) and invasive monitoring (subdural grids or depth electrodes). If the patient originally had the entire mesial temporal lobe removed, he would likely be both free from the low-grade tumor as well as seizure activity. Therefore, identifying tumor location should be considered a separate process from localizing epileptogenic foci, as the two could be separate entities.

While not insurmountable, postoperative pain after craniotomy in patients with chronic pain can be difficult to treat. LITT therapy allows us to treat the ictal onset zone while minimizing additional tissue damage and injury. It also does not preclude further open surgery if required and some studies show better neuropsychological outcomes, as patients with refractory temporal lobe epilepsy undergoing laser ablation instead of an open temporal lobe resection may experience better cognitive outcomes in certain tasks [11]. Furthermore, postoperative pain is not inconsequential for patients and it is often poorly controlled despite a developing knowledge of pain mechanisms and treatments [12], therefore we wanted the opportunity to prevent postoperative pain by using LITT over a craniotomy.


Conclusion

Herein, we described a case where a patient underwent lesionectomy for a temporal lobe tumor, which resulted in the recurrence of seizures, and thus required removal of residual tissue that we chose to ablate by Stereotactic laser-induced thermal therapy (LITT) due to his pre-existing chronic lower back pain. This case emphasizes the need to identify and remove the ictal onset zone in addition to tumor resection in patients who present with new onset seizures in the setting of a tumor. Additionally, we demonstrate LITT can be considered as an alternative to craniotomy within pre-existing chronic pain to reduce the potential of additional chronic pain associated with the surgery.


References
  1. Engel J Jr, Van Ness PC, Rasmussen TB. Outcome with respect to epileptic seizures. In: Engel J ed. Surgical treatment of the epilepsies. 2ed. New York: Raven Press; 1993. p. 609–21.    Back to citation no. 1
  2. Téllez-Zenteno JF, Dhar R, Wiebe S. Long-term seizure outcomes following epilepsy surgery: a systematic review and meta-analysis. Brain 2005 May;128(Pt 5):1188–98.   [CrossRef]   [Pubmed]    Back to citation no. 2
  3. Engel J Jr, McDermott MP, Wiebe S, et al. Early surgical therapy for drug-resistant temporal lobe epilepsy: a randomized trial. JAMA 2012 Mar 7;307(9):922–30.   [CrossRef]   [Pubmed]    Back to citation no. 3
  4. Jobst BC, Cascino GD. Resective epilepsy surgery for drug-resistant focal epilepsy: a review. JAMA 2015 Jan 20;313(3):285–93.   [CrossRef]   [Pubmed]    Back to citation no. 4
  5. van Breemen MS, Wilms EB, Vecht CJ. Epilepsy in patients with brain tumours: epidemiology, mechanisms, and management. Lancet Neurol 2007 May;6(5):421–30.   [CrossRef]   [Pubmed]    Back to citation no. 5
  6. Berger MS, Ghatan S, Geyer JR, Keles GE, Ojemann GA. Seizure outcome in children with hemispheric tumors and associated intractable epilepsy: the role of tumor removal combined with seizure foci resection. Pediatr Neurosurg 1991-1992;17(4):185–91.   [CrossRef]   [Pubmed]    Back to citation no. 6
  7. Sinha S, Danish SF. History and Technical Approaches and Considerations for Ablative Surgery for Epilepsy. Neurosurg Clin N Am 2016 Jan;27(1):27–36.   [CrossRef]   [Pubmed]    Back to citation no. 7
  8. Sanai N, Polley MY, McDermott MW, Parsa AT, Berger MS. An extent of resection threshold for newly diagnosed glioblastomas. J Neurosurg 2011 Jul;115(1):3–8.   [CrossRef]   [Pubmed]    Back to citation no. 8
  9. Jethwa PR, Barrese JC, Gowda A, Shetty A, Danish SF. Magnetic resonance thermometry-guided laser-induced thermal therapy for intracranial neoplasms: initial experience. Neurosurgery 2012 Sep;71(1 Suppl Operative):133-44;144–5.   [CrossRef]   [Pubmed]    Back to citation no. 9
  10. Carpentier A, McNichols RJ, Stafford RJ, et al. Real-time magnetic resonance-guided laser thermal therapy for focal metastatic brain tumors. Neurosurgery 2008 Jul;63(1 Suppl 1):ONS21–8; discussion ONS28–9.   [CrossRef]   [Pubmed]    Back to citation no. 10
  11. Drane DL, Loring DW, Voets NL, et al. Better object recognition and naming outcome with MRI-guided stereotactic laser amygdalohippocampotomy for temporal lobe epilepsy. Epilepsia 2015 Jan;56(1):101–13.   [CrossRef]   [Pubmed]    Back to citation no. 11
  12. Joshi GP, Ogunnaike BO. Consequences of inadequate postoperative pain relief and chronic persistent postoperative pain. Anesthesiol Clin North America 2005 Mar;23(1):21–36.   [CrossRef]   [Pubmed]    Back to citation no. 12

[HTML Abstract]   [PDF Full Text]

Author Contributions
Alvin Y. Chan – Substantial contributions to conception and design, Acquisition of data, Analysis and interpretation of data, Drafting the article, Revising it critically for important intellectual content, Final approval of the version to be published
Jack J. Lin – Analysis and interpretation of data, Revising it critically for important intellectual content, Final approval of the version to be published
Lilit Mnatsakanyan – Analysis and interpretation of data, Revising it critically for important intellectual content, Final approval of the version to be published
Mona Sazgar – Analysis and interpretation of data, Revising it critically for important intellectual content, Final approval of the version to be published
Indranil Sen-Gupta – Analysis and interpretation of data, Revising it critically for important intellectual content, Final approval of the version to be published
Frank Hsu – Analysis and interpretation of data, Revising it critically for important intellectual content, Final approval of the version to be published
Sumeet Vadera – Analysis and interpretation of data, Revising it critically for important intellectual content, Final approval of the version to be published
Guarantor of submission
The corresponding author is the guarantor of submission.
Source of support
None
Conflict of interest
Authors declare no conflict of interest.
Copyright
© 2016 Alvin Y. Chan et al. This article is distributed under the terms of Creative Commons Attribution License which permits unrestricted use, distribution and reproduction in any medium provided the original author(s) and original publisher are properly credited. Please see the copyright policy on the journal website for more information.