Case Report
 
Calcifying odontogenic cyst of mandible: A case report
G.V. Reddy1, Javeed Akhtar Ankolvi2, Arvind U.D.3, Irfan Ali Motiwala4, Phanitej G.5, K. Sravan Kumar Reddy5, J. Laxmi Sravya5
1MDS, Professor & Head of the Department, Oral and Maxillofacial Surgery, Panineeya Mahavidyalaya Institute of Dental Sciences and Research, Centre, Hyderabad, Telangana, India.
2MD, DMRD, Professor & Head of the Department, Radiology, Shadan Medical College, Hyderabad, Telangana, India.
3MDS, Senior lecturer, Oral and Maxillofacial Surgery, Panineeya Mahavidyalaya Institute of Dental Sciences and Research Centre, Hyderabad, Telangana, India.
4MDS, Consultant in Motiwala Dental Clinic, Hyderabad, Telangana, India.
5BDS, Post Graduate Student, Oral and Maxillofacial Surgery, Panineeya Mahavidyalaya Institute of Dental Sciences and Research Centre, Hyderabad, Telangana, India.

Article ID: Z01201608CR10684GR
doi:10.5348/ijcri-201696-CR-10684

Address correspondence to:
Dr. J. Laxmi Sravya
Department of Oral and Maxillofacial Surgery
Panineeya Mahavidyalaya Institute of Dental Sciences and Research Centre
Road No. 5, Kamala Nagar, Dilsukhnagar, Hyderabad - 500 060, Telangana
India

Access full text article on other devices

  Access PDF of article on other devices

[HTML Abstract]   [PDF Full Text] [Print This Article]
[Similar article in Pumed] [Similar article in Google Scholar]


How to cite this article
Reddy GV, Ankolvi JA, Arvind UD, Motiwala IA, Phanitej G, Reddy KSK, Sravya JL. Calcifying odontogenic cyst of mandible: A case report. Int J Case Rep Images 2016;7(8):542–545.


Abstract
Introduction: Calcifying odontogenic cyst was first described by Gorlin et al. in 1962. WHO defined it as "a cystic lesion in which the epithelial lining shows a well-defined basal layer of columnar cells, an overlying layer that is often many cells thick and that may resemble stellate reticulum, and masses of ghost epithelial cells that may be in the epithelial cyst lining or in the fibrous capsule". Calcifying odontogenic cysts are 1.6% of all central odontogenic tumors. These are relatively rare odontogenic tumors occurring in the posterior mandible.
Case Report: This report emphasizes a unique case of a 55-year-old male suffering with pain in lower right molar region and the management of the case.
Conclusion: Even though the recurrence rate of calcifying odontogenic cyst is very rare, there are some case reports of development of ghost cell odontogenic carcinomas from calcifying odontogenic cyst. Our follow-up radiograph did not show any signs of recurrence. However, a clinical study with larger number of cases and long-term follow-up is required.

Keywords: Calcifying odontogenic cyst (COC), Calcifying cystic odontogenic tumor (CCOT), Ghost cell odontogenic carcinoma (GCOC)


Introduction

In 2005, calcifying odontogenic cyst was classified as a tumor and designated as a calcifying cystic odontogenic tumor (CCOT) by the World Health Organization. Calcifying odontogenic cyst develops from the reduced enamel epithelium or remnants of odontogenic epithelium. Calcifying odontogenic cysts can occur at any age starting from first decade to seventh decade of life. It occurs more commonly in the second decade of life. It occurs almost equally in both sexes with slight male predilection. The most common sites of occurrence are anterior maxilla 41.2%, posterior mandible 35.3%, anterior mandible (17.6%), and posterior maxilla (5.9%)[1][2][3][4][5].


Case Report

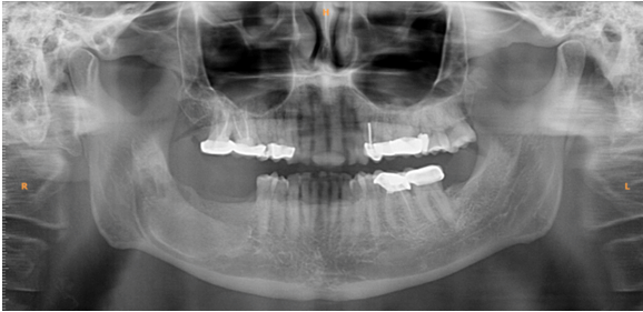
A 55-year-old male reported with pain in the lower right molar region since one month. Pain was insidious in onset, continuous, throbbing type and localized. Intraoral examination revealed missing 38, 48. On palpation, there was tenderness over right mandibular ramus region. Orthopantomogram revealed a well circumscribed unilocular radiolucency in the right mandibular body and angle region, extending from mesial aspect of 46 to 48 which is impacted (Figure 1). Root resorption of 46 and 47 was seen. Endodontically treated 14, 16, 17, 24, 25, 36 and impacted 48. Aspiration has shown serosanguineous fluid. Based on these clinical and radiographic findings a tentative diagnosis of unicystic ameloblastoma or Keratocystic odontogenic tumor was attained.

Surgical enucleation and curettage of the lesion was planned under general anesthesia. Crevicular incision was placed from 45 to 47 and extended onto the ascending ramus of the mandible. Full thickness mucoperiosteal flap was reflected, extraction of 46 and 47 was performed. There was thinning of buccal cortical bone. De-roofing of the cyst was done to expose the cystic cavity. Careful enucleation and curettage of the lesion was performed (Figure 2). Impacted 48 were removed and the entire bony cavity was thoroughly irrigated with hydrogen peroxide and saline. Enucleated tissue specimen was sent for histopathological examination. Postoperatively wound healing was satisfactory and orthopantomogram at sixth month follow-up visit revealed new bone formation with no recurrence (Figure 4), still the case is under follow-up.


Cursor on image to zoom/Click text to open image
Figure 1: Preoperative orthopantomogram revealing the well circumscribed, unilocular radiolucency.



Cursor on image to zoom/Click text to open image
Figure 2: Bony cavity after enucleation.



Cursor on image to zoom/Click text to open image
Figure 3: Two weeks follow-up radiograph.



Cursor on image to zoom/Click text to open image
Figure 4: At sixth month follow-up, radiograph revealing new bone formation.



Cursor on image to zoom/Click text to open image
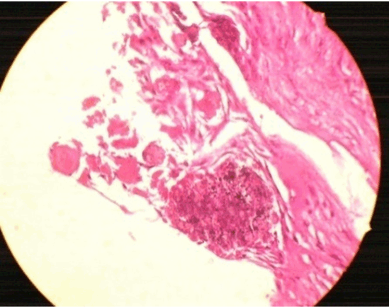
Figure 5: Histopathological section showing amorphous structures with well-defined borders without nucleus resembling ghost cells, and the eosinophilic dentinoid like material and basophilic round to irregular calcified masses are also seen.



Discussion

Calcifying odontogenic cysts are usually non neoplastic with cystic features but, sometimes they appear as solid mass with neoplastic features. The solid lesions are named dentinogenic ghost cell tumor (DGCT), epithelial odontogenic ghost cell tumor (EOGCT). There has been confusion in classification and nomenclature of the lesion [6], because of its diversified histopathological features.

Praetorius in 1981 classified calcifying odontogenic cysts into a cyst entity and a neoplastic entity. The cystic entity was classified into three types [7].

Type 1: A simple monocsytic type of typical Gorlin cyst, with or without dentinoid calcified tissue

Type 2: Monocystic odontoma creative type, presence of ameloblastic fibroma tissue in the cystic wall extending into the surrounding tissue with all the characteristics of the previous type, except that the hard tissue was complex or compound odontoma

Type 3: Monocystic ameloblastomatous proliferating type with ameloblastomatous proliferation both in the walls and in the lumen, and dentinoid formation.

Calcifying odontogenic cyst presents as central lesion occurring intraosseously or as peripheral lesion occurring in the soft tissue. The more common are the central lesions [7] [8]. Clinically, Calcifying odontogenic cyst appears as a completely asymptomatic swelling with expansion of cortical plates [5]. In our case, the lesion is central with expansion of buccal cortical plate and the cyst was asymptomatic. Radiographically calcifying odontogenic cysts are seen as a unilocular or multilocular radiolucencies with well circumscribed borders. Unilocular appearance is more common than multilocular appearance. Multilocular appearance accounts for 5% to 13% of all lesions [7][8]. Calcifications may appear as small opacities giving 'salt and pepper type of pattern' or may even show large solid amorphous masses [5].

In a case series of 11 cases published by Seiji lida et al. ten cases were associated with an unerupted tooth. Adjacent tooth displacement was observed in five cases and root resorption of adjacent teeth was observed in four cases [6]. In the present case the lesion appeared unilocular with well circumscribed borders. It was associated with unerupted 48 and there was resorption of roots in relation to 46,47.

Management of calcifying odontogenic cyst is usually surgical enucleation and curettage [7] [5].

Neoplastic variants of calcifying odontogenic cyst may require an aggressive surgical approach as they have the malignant transformation potential. However, the specific diagnosis is obtained only after histopathological examination.

Recurrence rate of calcifying odontogenic cyst is very rare, only eight cases of recurrence were noted in literature [7].

Ghost cell odontogenic carcinoma is malignant counterpart of calcifying odontogenic cyst, which is rare to occur. Utaroh Motosugi et al. noted ghost cell odontogenic carcinoma arising from calcifying odontogenic cyst in three cases out of 122 cases of calcifying odontogenic cyst [9]. So far 30 cases of ghost cell odontogenic carcinoma have been reported in literature [9]. We opted for enucleation of lesion and thorough curettage of bone cavity.


Conclusion

Even though the recurrence rate of calcifying odontogenic cyst is very rare, there are few case reports of development of ghost cell odontogenic carcinomas from calcifying odontogenic cyst. Our follow-up radiograph did not show any signs of recurrence. However, a clinical study with larger number of cases and long-term follow-up is required.


References
  1. Ledesma-Montes C, Gorlin RJ, Shear M, et al. International collaborative study on ghost cell odontogenic tumours: calcifying cystic odontogenic tumour, dentinogenic ghost cell tumour and ghost cell odontogenic carcinoma. J Oral Pathol Med 2008 May;37(5):302–8.   [CrossRef]   [Pubmed]    Back to citation no. 1
  2. Lin CC, Chen CH, Lin LM, et al. Calcifying odontogenic cyst with ameloblastic fibroma: report of three cases. Oral Surg Oral Med Oral Pathol Oral Radiol Endod 2004 Oct;98(4):451–60.   [CrossRef]   [Pubmed]    Back to citation no. 2
  3. Buchner A, Merrell PW, Carpenter WM. Relative frequency of central odontogenic tumors: a study of 1,088 cases from Northern California and comparison to studies from other parts of the world. J Oral Maxillofac Surg 2006 Sep;64(9):1343–52.   [CrossRef]   [Pubmed]    Back to citation no. 3
  4. Uchiyama Y, Akiyama H, Murakami S, et al. Calcifying cystic odontogenic tumour: CT imaging. Br J Radiol 2012 May;85(1013):548–54.   [CrossRef]   [Pubmed]    Back to citation no. 4
  5. Figueiredo NR, Meena M, Dinkar AD, Khorate M. Calcifying epithelial odontogenic cyst of the mandible. Journal of Oral Research and Review 2014;6(2):57–60.   [CrossRef]    Back to citation no. 5
  6. Iida S, Fukuda Y, Ueda T, Aikawa T, Arizpe JE, Okura M. Calcifying odontogenic cyst: radiologic findings in 11 cases. Oral Surg Oral Med Oral Pathol Oral Radiol Endod 2006 Mar;101(3):356–62.   [CrossRef]   [Pubmed]    Back to citation no. 6
  7. Knezevic G, Sokler K, Kobler P, Manojlovic S. Calcifying odontogenic cyst--Gorlin's cyst--report of two cases. Coll Antropol 2004 Jun;28(1):357–62.   [Pubmed]    Back to citation no. 7
  8. Zornosa X, Müller S. Calcifying cystic odontogenic tumor. Head Neck Pathol 2010 Dec;4(4):292–4.   [CrossRef]   [Pubmed]    Back to citation no. 8
  9. Motosugi U, Ogawa I, Yoda T, et al. Ghost cell odontogenic carcinoma arising in calcifying odontogenic cyst. Ann Diagn Pathol 2009 Dec;13(6):394–7.   [CrossRef]   [Pubmed]    Back to citation no. 9

[HTML Abstract]   [PDF Full Text]

Author Contributions
Reddy GV – Substantial contributions to conception and design, Acquisition of data, Analysis and interpretation of data, Drafting the article, Revising it critically for important intellectual content, Final approval of the version to be published
Javeed Akhtar Ankolvi – Analysis and interpretation of data, Revising it critically for important intellectual content, Final approval of the version to be published
Arvind U.D. – Analysis and interpretation of data, Revising it critically for important intellectual content, Final approval of the version to be published
Irfan Ali Motiwala – Analysis and interpretation of data, Revising it critically for important intellectual content, Final approval of the version to be published
Phanitej G. – Analysis and interpretation of data, Revising it critically for important intellectual content, Final approval of the version to be published
K. Sravan kumar Reddy – Analysis and interpretation of data, Revising it critically for important intellectual content, Final approval of the version to be published
J. Laxmi Sravya – Analysis and interpretation of data, Revising it critically for important intellectual content, Final approval of the version to be published
Guarantor of submission
The corresponding author is the guarantor of submission.
Source of support
None
Conflict of interest
Authors declare no conflict of interest.
Copyright
© 2016 Reddy GV et al. This article is distributed under the terms of Creative Commons Attribution License which permits unrestricted use, distribution and reproduction in any medium provided the original author(s) and original publisher are properly credited. Please see the copyright policy on the journal website for more information.