Case Report
 
Postoperative persistent hyponatremia: A case with metastatic lung cancer
Sibel Ocak Serin1, Gulsah Karaoren2, Ezgi Ersoy Yesil3, Hakan Cakit4, Sema Ucak Basat5
1MD, Istanbul Umraniye Training and Research Hospital, Turkiye, Department of Internal Medicine.
2MD, Istanbul Umraniye Training and Research Hospital, Turkiye, Department of Anaesthesiology and Reanimation.
3MD, Istanbul Umraniye Training and Research Hospital, Turkiye, Division of Nephrology.
4Istanbul Umraniye Training and Research Hospital, Turkiye, Department of General Surgery.
5Proffesor, Istanbul Umraniye Training and Research Hospital, Turkiye, Department of Internal Medicine.

Article ID: Z01201608CR10678SS
doi:10.5348/ijcri-201690-CR-10678

Address correspondence to:
Sibel Ocak Serin
MD, Istanbul Umraniye Training and Research Hospital
Department of Internal Medicine
Turkiye

Access full text article on other devices

  Access PDF of article on other devices

[HTML Abstract]   [PDF Full Text] [Print This Article]
[Similar article in Pumed] [Similar article in Google Scholar]


How to cite this article
Serin SO, Karaoren G, Yesil EE, Cakit H, Basat SU. Postoperative persistent hyponatremia: A case with metastatic lung cancer. Int J Case Rep Images 2016;7(8):514–518.


Abstract
Introduction: Hyponatremia is most commonly encountered electrolyte disorder in clinical practice. Syndrome of inappropriate anti-diuretic hormone secretion (SIADH), most frequent cause of euvolemic hyponatremia, is an important element that increases risk for morbidity and mortality and indicates severity of primary disease. SIADH can be seen in many clinical conditions or as multifactorial.
Case Report: A 64-years old male presented to our facility emergency department with the complaints of shortness of breath and abdominal pain. According to the assessment, Morgagni hernia was in the thoracic and abdominal computed tomography (CT). The patient was hospitalized in the general surgery service and taken to the operation for hernia repair. On day-2 after operation, he had low serum Na+ value (124 mEq/L [124 mmol/L]). Serum Na+ value decreased to 114 mEq/L (114 mmol/L) on day 5 whereas 110 mEq/L (110 mmol/L) on the day-6; thus, 3% NaCl infusion was initiated. In further evaluation, several etiological factors were evaluated. On abdominal sonography, multiple metastatic lesions were detected incidentally. Thoracic and abdominal CT scan was re-evaluated, On thoracic CT scan, diffuse thickening (up to 1–1.5 cm) with irregular contours were observed. While isodense and hypodense lesions were seen in liver on abdominal CT scan. Diffuse metastatic disease was found in the patient by positron emission tomography (PET) scan and magnetic resonance imaging (MRI) scan. Small cell lung cancer (SCLC) diagnosis was made by biopsy samples obtained from liver. Our case had asymptomatic clinical course despite presence of diffuse metastatic SCLC and rapid decrease in Na+ values.
Conclusion: Our case was presented to emphasize importance of detailed evaluation for all causes of SIADH, mainly malignancies in hospitalized patients at geriatric age group, and treatment based on differential diagnosis in the management of SIADH.

Keywords: General surgery, Hyponatremia, Small cell lung cancer, Syndrome of inappropriate anti-diuretic hormone secretion


Introduction

Hyponatremia is seen in 30% of inpatients and syndrome of inappropriate anti-diuretic hormone secretion (SIADH) is the most commonly encountered cause of hyponatremia. In general, it is characterized by uncontrolled and excessive anti-diuretic hormone (ADH) secretion from posterior pituitary gland and hyponatremia, and fluid retention can develop as a result of ADH secretion [1]. The SIADH can be seen in many clinical conditions such as malignancy, drug use, respiratory diseases and central nervous system diseases and as a multifactorial entity. Clinicians should perform a comprehensive evaluation to identify cause underlying SIADH [2]. Herein, we presented a case with asymptomatic small cell lung cancer (SCLC) which was detected during evaluations for secondary causes of SIADH identified as underlying cause of persistent hyponatremia.


Case Report

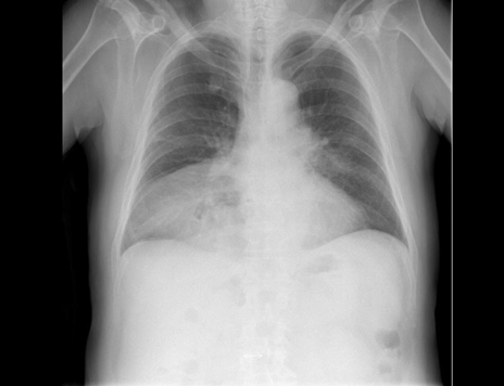
A 64-year-old male presented to our facility emergency department with the complaints of shortness of breath and abdominal pain. According to the assessment, chronical reactive changes such as chronical bronchitis were determined in the thoracic computed tomography (CT) and Morgagni hernia was in the abdominal CT scan. The patient was hospitalized in the general surgery service and taken to the operation for hernia mesh repair. The patient was considered to have American Society of Anesthesiologists (ASA) I risk status in preoperative assessment and had no abnormal finding other than diaphragmatic hernia on chest radiograph (Figure 1). Laboratory tests and serum sodium (Na+) concentration (142 mEq/L [142 mmol/L]) were found to be within normal range. The patient underwent hernia repair under general anesthesia; then, he was transferred to ward with Aldrete score of 9-10 after uneventful recovery period [3].

On day-2 after operation, the patient was consulted to our department as he had low serum Na+ value (124 mEq/L [124 mmol/L]). In physical examination, the patient was considered as euvolemic, who had no findings of renal failure, congestive heart failure, hepatic failure, volume depletion, diuretic use, adrenal insufficiency or hypothyroidism or complaints of nausea, vomiting, polyuria or polydipsia. The fluid therapy and medications were reviewed in the patients. It was found that the patient received contrast material for thoracic and CT scan before surgery and that 2000 ml of normal saline was given during surgery; followed by maintenance fluid therapy with 1500 ml of 0.45% NaCl plus 5% dextrose. It was recommended to change fluid replacement therapy to normal saline, which was estimated as 1500 ml per day based on fluid gap. Metamizole sodium (4 g/day divided into 4 doses) used in postoperative pain management was withdrawn. In the follow-up, it was seen that hyponatremia did not respond to normal saline infusion. Serum Na+ value decreased to 114 mEq/L (114 mmol/L) on day-5 whereas 110 mEq/L (110 mmol/L) on the day 6; thus, 3% NaCl infusion was initiated. No finding of serious hyponatremia such as mental alteration, headache, nausea or vomiting was observed in the patient who had stable hemodynamic.

Serum Na+ began to increase by addition of 3% NaCl. However, hyponatremia (125 mEq/L [125 mmol/L]) recurred when 3% NaCl was stopped; thus, further evaluation was performed to identify causes that might explain hyponatremia. In further evaluation, hematuria, ketonuria and trace proteinuria were observed in spot urinalysis. It was considered that there might be acute interstitial nephritis secondary to contrast material or metamizole sodium. However, there was no elevated creatinine value, eosinophilia, eosinophiluria or increased IgE levels in the patient. Urinary N-acetyl-β-glucosaminidase (NAG) and β2-microglobin levels could not be studied due to technical failure in the laboratory. No abnormal finding including fever, eruption, acid-base disorder, potassium disorder, hypotension or dehydration was observed in the patient. On urinary system sonography, bilateral renal parenchymal thickness and echogenicity were normal. On abdominal sonography, multiple metastatic lesions were detected incidentally. There was increased urinary osmolarity (475 mOsm/kg) in addition to hyponatremia and serum hypo-osmolarity (235 mOsm/kg). Blood Urea Nitrogen (BUN), urinary Na+ concentration and serum uric acid level were 14 mg/dL (832 µmol/L), 141 mEq/L (141 mmol/L) (>40 mEq/L) and 3 mg/dL (178 µmol/L) (3.5-7.2 mg/dL), respectively.

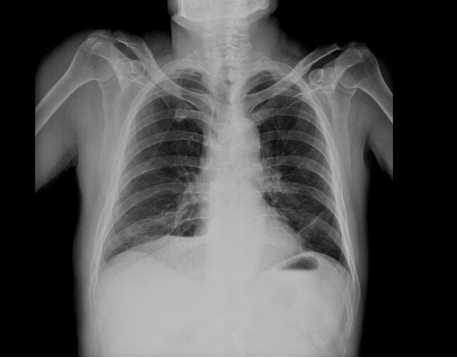
Simultaneously, rigid fluid restriction was performed in the patient thought to have SIADH. Serum Na+ value reached up to 137 mEq/L (137 mmol/L) within few days. There was no abnormal finding on preoperative chest radiograph (Figure 2). However, thoracic and abdominal CT scan was re-evaluated in the context of malignancy screening. On thoracic CT scan, diffuse thickening (up to 1–1.5 cm) with irregular contours were observed at the level of hilus on the left, while isodense and hypodense lesions were seen in liver on abdominal CT scan. Diffuse metastatic disease was found in the patient by positron emission tomography (PET) scan and magnetic resonance imaging (MRI) scan. SCLC diagnosis was made by biopsy samples obtained from liver and the patient was referred to oncology department.


Cursor on image to zoom/Click text to open image
Figure 1: Preoperative lung image: Morgagni hernia, non-specific chronical bronchitis; bronchial wall thickening with increased bronchovascular markings.



Cursor on image to zoom/Click text to open image
Figure 2: Postoperative lung image: Postoperative full expanded lung.



Discussion

In this case, we faced SIADH as the cause of persistent hyponatremia induced by repair of diaphragmatic hernia. In our case, many causes of secondary SIADH were evaluated in the differential diagnosis. As a result, we presented the case with asymptomatic SCLC which was detected incidentally as the cause of SIADH.

The syndrome of inappropriate anti-diuretic hormone secretion is characterized by hyponatremia, elevated urinary osmolarity, increased urinary sodium and decreased serum osmolarity in euvolemic patients not receiving diuretic therapy and having normal cardiac, renal, adrenal, hepatic and thyroid functions. SIADH can result from many causes varying from drugs to malignancies. It is strongly recommended to investigate secondary causes and this investigation should be done where possible [4]. In our case, cardiac, renal, adrenal, hepatic and thyroid function tests were found to be within normal range during evaluations for differential diagnosis.

The SIADH can develop from absorption of solutions containing sorbitol or glycine at varying degrees, which are used in laparoscopic procedures, hysteroscopy and transurethral prostate surgery [5]. In our case, diaphragmatic hernia repair was performed via laparoscopic approach; however, operation time was shorter than 40 minutes and no solutions containing sorbitol or glycine was used during surgery.

The SIADH occurred on day-3 after surgery in our case. Major surgeries involving abdominal and thoracic interventions can stimulate antidiuretic hormone (ADH) hyper-secretion via severe pain afferents [6]. In our case, visual analogue scale (VAS) pain score was found as 6-7 on the sixth hour after surgery and the patient reported gradually decreasing pain at postoperative period.

Aggressive fluid resuscitation during or after surgical interventions is another cause for postoperative SIADH [7]. No such clinical picture was observed in our patient monitored by balanced volume during perioperative and postoperative period.

Pulmonary tumors, especially small cell carcinoma, can produce ectopic ADH. In addition, tumors such as pancreatic adenocarcinoma, duodenal tumors and head-neck tumors can occasionally produce ADH. Hyponatremia is a common finding in elder patients with lung cancer accompanied by cardiovascular disorders and multi-drug use [8]. In a retrospective study, serum Na+ value was found to be <135 mEq/L (135 mmol/L) in 97 (4.7%) of 2048 patients with lung cancer screened between 2006 and 2009. Hyponatremia incidence was approximately 5-folds higher in patients with SCLC 29/296 (14.2%) in SCLC versus 48/1752 (2.7%) in NSCLC) [9] . Similarly, our case was a 64-year-old man with lung cancer; however, there was no history of medication or systemic disease.

SIADH, most frequent cause of euvolemic hyponatremia, is an important factor that increases morbidity and mortality in patients and indicates severity of primary disease [10]. However, on contrary to literature, there was no paraneoplastic symptom or finding other than hyponatremia in our patient despite diffuse, metastatic SCLC.

Pulmonary diseases such as pneumonia, asthma, atelectasis, acute respiratory failure and pneumothorax can also cause SIADH [11]. In our case, diffuse thickening up to 1–1.5 cm with irregular contours at hilus on the left was striking on preoperative thorax CT scan. However, no pulmonary abnormality such as atelectasis, pneumothorax and acute respiratory failure was developed at postoperative period.

It is well-known that barbiturates, anticonvulsants, opiates, tricyclic anti-depressants, thiazide diuretic, monoamine oxidase inhibitors and some anti-diabetic agents enhance ADH secretion or potentiate its effects in geriatric population. There are also cases with SIADH induced by non-steroidal anti-inflammatory drugs [12]. In our case, it was seen that hyponatremia and SIADH persisted after withdrawal of metamizole sodium used for postoperative analgesia.

In a cohort study in geriatric population, it was reported that hyponatremia can be seen in elder individuals without underlying disease. Moreover, Anpalahan et al. reported that there is a risk for SIADH development without any predisposing factor other than age [13].

Many central nervous system (CNS) disorders are associated to SIADH. Disorders such as stroke, infection, trauma, bleeding or psychosis enhance ADH secretion. However, hyponatremia that may be caused by cerebral salt wasting (CSW) is also seen in relationship with severe neurological events including intra-cerebral bleeding. Both conditions share common findings including hyponatremia, hypo-osmolarity, higher urinary osmolarity compared to serum osmolarity and urinary osmolarity >20 mEq/L. The most important discriminative feature is that extracellular volume is normal or slightly increased in SIADH while it is decreased in CSW. Differential diagnosis is essential to determine therapeutic approach, since fluid restriction corrects hyponatremia in SIADH while it enhances cerebral ischemia by exacerbating hypovolemia; thus, can cause vasospasm and death in CSW [14]. In our case, no neurological symptom or sign was developed during follow-up. In imaging modalities performed, no sign of neurological abnormality was observed in CNS. In addition, no clinical signs of extracellular volume loss such as hypotension, tachycardia, decreased skin turgor were present. CSW was excluded as the patient responded fluid restriction.


Conclusion

Postoperative hyponatremia and Syndrome of inappropriate anti-diuretic hormone secretion (SIADH), most common underlying reason, in the patients admitted for major surgery can be resulted from many conditions. In the management of SIADH, other causes should be kept in mind, particularly in refractory cases, and comprehensive evaluations should be performed in such patients including malignancy in the 6–7 decades.


References
  1. Pillai BP, Unnikrishnan AG, Pavithran PV. Syndrome of inappropriate antidiuretic hormone secretion: Revisiting a classical endocrine disorder. Indian J Endocrinol Metab 2011 Sep;15 Suppl 3:S208–15.   [CrossRef]   [Pubmed]    Back to citation no. 1
  2. Upadhyay A, Jaber BL, Madias NE. Incidence and prevalence of hyponatremia. Am J Med 2006 Jul;119(7 Suppl 1):S30–5.   [CrossRef]   [Pubmed]    Back to citation no. 2
  3. Aldrete JA. Post-anesthetic recovery score. J Am Coll Surg 2007 Nov;205(5):e3–e4.   [CrossRef]    Back to citation no. 3
  4. Yildiz G, Kayatas M, Candan F. Hiponatremi; Güncel Tani ve Tedavisi. Turk Neph Dial Transpl 2011;20(2):115–31.   [CrossRef]    Back to citation no. 4
  5. Yeates KE, Singer M, Morton AR. Salt and water: a simple approach to hyponatremia. CMAJ 2004 Feb 3;170(3):365–9.   [Pubmed]    Back to citation no. 5
  6. Adrogué HJ. Consequences of inadequate management of hyponatremia. Am J Nephrol 2005 May-Jun;25(3):240–9.   [CrossRef]   [Pubmed]    Back to citation no. 6
  7. Rabinstein AA, Wijdicks EF. Hyponatremia in critically ill neurological patients. Neurologist 2003 Nov;9(6):290–300.   [CrossRef]   [Pubmed]    Back to citation no. 7
  8. Johnson BE, Chute JP, Rushin J, et al. A prospective study of patients with lung cancer and hyponatremia of malignancy. Am J Respir Crit Care Med 1997 Nov;156(5):1669–78.   [CrossRef]   [Pubmed]    Back to citation no. 8
  9. Ferlito A, Rinaldo A, Devaney KO. Syndrome of inappropriate antidiuretic hormone secretion associated with head neck cancers: review of the literature. Ann Otol Rhinol Laryngol 1997 Oct;106(10 Pt 1):878–83.   [CrossRef]   [Pubmed]    Back to citation no. 9
  10. Upadhyay A, Jaber BL, Madias NE. Incidence and prevalence of hyponatremia. Am J Med 2006 Jul;119(7 Suppl 1):S30–5.   [CrossRef]   [Pubmed]    Back to citation no. 10
  11. Hannon MJ, Thompson CJ. The syndrome of inappropriate antidiuretic hormone: prevalence, causes and consequences. Eur J Endocrinol 2010 Jun;162 Suppl 1:S5–12.   [CrossRef]   [Pubmed]    Back to citation no. 11
  12. Liamis G, Milionis H, Elisaf M. A review of drug-induced hyponatremia. Am J Kidney Dis 2008 Jul;52(1):144–53.   [CrossRef]   [Pubmed]    Back to citation no. 12
  13. Anpalahan M. Chronic idiopathic hyponatremia in older people due to syndrome of inappropriate antidiuretic hormone secretion (SIADH) possibly related to aging. J Am Geriatr Soc 2001 Jun;49(6):788–92.   [CrossRef]   [Pubmed]    Back to citation no. 13
  14. Singh SK, Unnikrishnan AG, Reddy VS, Sahay RK, Bhadada SK, Agrawal JK. Cerebral salt wasting syndrome in a patient with a pituitary adenoma. Neurol India 2003 Mar;51(1):110–1.   [Pubmed]    Back to citation no. 14

[HTML Abstract]   [PDF Full Text]

Author Contributions
Sibel Ocak Serin – Substantial contributions to conception and design, Acquisition of data, Analysis and interpretation of data, Drafting the article, Revising it critically for important intellectual content, Final approval of the version to be published
Gulsah Karaoren – Analysis and interpretation of data, Revising it critically for important intellectual content, Final approval of the version to be published
Ezgi Ersoy Yesil – Analysis and interpretation of data, Revising it critically for important intellectual content, Final approval of the version to be published
Hakan Cakit – Analysis and interpretation of data, Revising it critically for important intellectual content, Final approval of the version to be published
Sema Ucak Basat – Analysis and interpretation of data, Revising it critically for important intellectual content, Final approval of the version to be published
Guarantor of submission
The corresponding author is the guarantor of submission.
Source of support
None
Conflict of interest
Authors declare no conflict of interest.
Copyright
© 2016 Sibel Ocak Serin et al. This article is distributed under the terms of Creative Commons Attribution License which permits unrestricted use, distribution and reproduction in any medium provided the original author(s) and original publisher are properly credited. Please see the copyright policy on the journal website for more information.