Case Report
 
Metastatic prostate cancer to the testis as an initial presentation: Management review and outcome
Mathew Yamoah Kyei1, Verna Vanderpuye2, Lawrence Edusei3, James Edward Mensah4 Joel Yarney5
1MBChB, FWACS, FGCS, Senior Lecturer, Department of Surgery and Urology, University of Ghana School of Medicine and Dentistry, P.O. Box 4236 Accra, Ghana.
2MBChB, FWACS, FGCPS, Radiation oncologist, and Head of Department, Radiation Oncology Department, Korle Bu Teaching Hospital. P.O. Box KB 369 Korle Bu, Accra, Ghana.
3MD, Specialist Pathologist, Department of Pathology, Korle Bu Teaching Hospital, P.O. Box 77 Korle Bu, Accra, Ghana.
4MBChB, FWACS, FGCS, Senior Lecturer, Department of Surgery and Urology, University of Ghana School of Medicine and Dentistry, P.O. Box 4236 Accra, Ghana.
5MBChB, FCRad Onc (SA), FWACS, FGPS, Radiation oncologist, Radiation Oncology Department, Korle Bu Teaching Hospital, P.O. Box KB 369 Korle Bu, Accra, Ghana.

Article ID: Z01201607CR10667AA
doi:10.5348/ijcri-201679-CR-10667

Address correspondence to:
Mathew Yamoah Kyei
Department of Surgery and Urology, University of Ghana School of Medicine and Dentistry
P.O. Box 4236, Accra
Ghana

Access full text article on other devices

  Access PDF of article on other devices

[HTML Abstract]   [PDF Full Text] [Print This Article]
[Similar article in Pumed] [Similar article in Google Scholar]


How to cite this article
Kyei MY, Vanderpuye V, Edusei L, Mensah JE, Yarney J. Metastatic prostate cancer to the testis as an initial presentation: Management review and outcome. Int J Case Rep Images 2016;7(7):449–453.


Abstract
Introduction: Metastatic prostate cancer to the testis as an initial presentation is a rare condition. Though it has been noted to be associated with poor prognosis, no treatment guideline is currently available aimed at improving the outcome. This report reviews the management of a case and its outcome.
Case Report: A 47-year-old male presented with a painless swelling of the left testis and rectal discomfort of three weeks duration. He had a strong family history of prostate cancer. Examination of the scrotum revealed a left non-tender testicular mass 7x5 cm that was hard with irregular surface. A digital rectal examination revealed an enlarged and nodular prostate and seminal vesicle involvement. A histological and immunohistochemical analysis of the prostatic biopsy and specimen from an inguinal orchidectomy of the left testis confirmed a metastatic prostate cancer to the testis. After three months of combined androgen deprivation therapy, he developed progressive obstructive urinary symptoms, severe pain in the anus, and a rapid increase in size of the prostate gland being castrate resistant. He underwent three dimensional conformal radiotherapy to the whole pelvis followed by seven cycles of docetaxel based chemotherapy. Nineteen months following diagnosis, his PSA was 1.86 ng/ml. Despite normal tPSA levels, there was clinical failure with development of bilateral lower limb swelling from para-aortic lymphadenopathy at two years. The patient died after two additional cycles of docetaxel chemotherapy.
Conclusion: In a young patient with prostate cancer presenting initially with testicular metastasis, aggressive management strategies as pertains for castrate resistant cases need to be initiated early to improve outcomes.

Keywords: Androgen deprivation, Chemotherapy, Metastasis, Prostate cancer, Radiation, Testis


Introduction

Metastasis of prostate cancer to the testis is a rare condition with incidence of 2–4%. [1] Most reports are incidental findings after bilateral orchidectomy for androgen deprivation therapy with the majority of the patients aged above 60 years [1] [2]. Considering tumors of solid organs, prostate cancer has been noted to be the most common cause of metastases to the testis. [3] The mechanism for metastasis of prostate cancer to the testis has been proposed to include retrograde venous extension or embolism, arterial embolization, lymphatic extension and endocanalicular spread [2] [4]. The overall prognosis is poor as the patients have high Gleason score of 8 or 9, exhibiting atypical neoplasm behavior becoming hormone refractory 6 to 8 months following diagnosis resulting in survival of between 6 to 12 months after diagnosis [2]. A challenge in diagnosis is encountered when the patient is relatively young and there is a need to rule out a primary testicular tumor as the cause of the testicular enlargement in a resource poor setting. Choosing appropriate treatment path to achieve an increase survival can be difficult as there are no established guidelines.


Case Report

A 47-year-old male presented with painless swelling of the left testis of three weeks duration. There was no prior history of trauma or radiation exposure, and the left testis had descended normally into the scrotum at birth. There were no associated lower urinary tract symptoms or bowel symptoms except a mild rectal discomfort. He had no smoking history and no co-morbidities. He, however, had a strong family history of prostate cancer. His father and elder brother had been diagnosed with prostate cancer at 70 years and 55 years of age, respectively.

Examination findings revealed a healthy-looking middle aged man. He was not pale and not jaundiced. He had no palpable peripheral lymphadenopathy. No masses were palpated at abdominal examination. The examination of the left scrotum revealed a non-tender left testicular mass, 7x5 cm that was hard with irregular surface. There was an associated secondary hydrocele.

A digital rectal examination revealed an enlarged prostate with hard nodules bilaterally and seminal vesicle involvement (Clinical stage T3b).

Blood Investigations done showed a total serum prostate specific antigen (tPSA) of 25.25 ng/ml, hemoglobin level of 15.1 g/dl, total white cell count of 6.2x109 /L, and erythrocyte sedimentation rate (ESR) of 10 mm/Hr. There was normal serum level of alphafetoprotein (8.6 ng/ml) (= 40 ng/ml) and β-hCG (0.0 mIU/ml) (<5 mIU/ml). Lactate dehydrogenase (LDH) was however elevated being 241U/L [normal range 135–225]. No abnormality was detected in the urinalysis.

A transrectal ultrasound guided biopsy of the prostate was done and reported as:

Specimen 1: Left lobe of prostate

Four of the six cores of tissue submitted contain invasive adenocarcinoma with Gleason's score of 9 (4+5), accounting for 15–90% of the volumes of the individual cores and with perineural infiltration. There was accompanying high grade prostatic intraepithelial neoplasia.

Specimen 2: Right lobe of prostate

All of the six cores submitted contain an infiltrating invasive adenocarcinoma with Gleason's score 9 (4+5), accounting for 30–100% of the volumes of the individual cores and with perineural infiltration.

A panel of immunohistochemical stains performed on the prostate needle biopsies excluded neuroendocrine differentiation (Table 1).

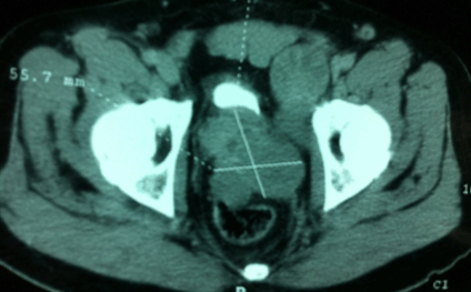
A computed tomography scan of the abdomen and pelvis revealed prostate tumor infiltrating the seminal vesicles, bladder base, rectum and a left iliac lymph node (Figure 1).

Radioisotope bone scintigraphy was negative for bone metastasis.

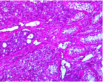
The patient had a left inguinal orchidectomy, the histology of which confirmed an adenocarcinoma tumor infiltrate of the left testis with vascular as well as intra ductal extension of the neoplastic cells (Figure 2).

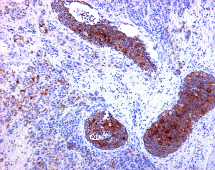
Further immunohistochemical stain reactivity of the left inguinal orchidectomy specimen revealed a positive staining for a-methyl CoA racemase (P504S) and PSA confirming the diagnosis of metastatic prostate cancer to the left testis (Table 2) (Figure 3).

Additional immunohistochemical stains for chromogranin, calretinin, CAM 5.2, Spalt-like transcription factor 4 (SALL4) and S-100 protein were negative. A few cells were positive for epithelial membrane antigen (EMA) but there was diffuse nuclear positivity for NKX3.1. The appearances were those of metastatic poorly differentiated carcinoma, consistent with spread from the prostatic primary.

The patient was initially started with androgen deprivation therapy with bicalutamide 50 mg daily followed by subcutaneous injection of goserelin acetate 10.8 mg depot two weeks into starting bicalutamide. However, the serum total prostate specific antigen rose to 73.15 ng/ml after three months from the initial 25.25 ng/ml. The trans rectal prostate volume increased from 39.48 g to 219.84 g over the same period despite the serum testosterone level remaining castrate (<1.0 ng/ml). He developed pain in his rectum, difficulty passing stools and obstructive urinary symptoms. This indicated disease progression being castrate resistant. In order to control the local disease, he received palliative radiotherapy using 3D conformal technique to a dose of 50 Gy to the prostate and seminal vesicles and 45 Gy to the pelvic nodes over five weeks. Post radiotherapy PSA was 5.72 ng/ml and his symptoms abated. He subsequently received chemotherapy with Docetaxel at 75 mg/m2 every three weeks with prednisolone 5 mg twice daily for 7 cycles, which he tolerated well. His PSA decreased further to 1.86 ng/ml 3 months after the last dose of chemotherapy and 11 months following diagnosis. The patient's general condition and PSA remained stable with a good performance status and improved quality of life 19 months after initial diagnosis. Despite normal tPSA levels, there was clinical failure with development of gross bilateral lower limb swelling from para-aortic lymphadenopathy at two years. The patient died after two additional cycles of docetaxal chemotherapy.


Cursor on image to zoom/Click text to open image
Table 1: Immunohistochemical stain reactivity on prostate needle biopsy specimens.



Cursor on image to zoom/Click text to open image
Table 2: Immunohistochemical stain reactivity on left inguinal orchidectomy specimen



Cursor on image to zoom/Click text to open image
Figure 1: A pelvic computed tomography scan showing the prostate tumor infiltrating the seminal vesicles, bladder base and rectum with associated left internal iliac lymphadenopathy.



Cursor on image to zoom/Click text to open image
Figure 2: Residual seminiferous tubules with interspersed islands of the metastatic adenocarcinoma (H&E stain, x100).



Cursor on image to zoom/Click text to open image
Figure 3: Focal positive staining for prostate specific antigen.



Discussion

Metastasis of prostate cancer to the test presenting clinically is a rare event as most are incidental findings at orchiedectomy for advanced prostate cancer or at autopsy [1] [4]. There have been reports of patients presenting with metastasis to the testis long after treatment for the primary condition with the period between diagnosis and metastasis to the testis found to be between 2.5–15 years. [1] [5]. It has been noted that symptomatic metastasis to the testis tended to be solitary, unilateral and may simulate primary neoplasms including rete adenocarcinoma and sertoli cell tumor [3] thus in this middle aged man of 47 years a primary testicular tumor was of concern. Without a prior diagnosis of prostate cancer, a thorough physical examination including a digital rectal examination revealed the possible association between the testicular mass and the prostatic lesion. A panel of immunohistochemical tests showing positive staining for a-methyl CoA racemase (P504S), PSA and NKX3.1, achieved through collaboration, was required to arrive at the diagnosis. Bilateral total orchidectomy was not performed as the initial intent was for diagnostic purposes as the patient was relatively young and for cultural reasons most men prefer chemical castration. Despite the maximum androgen blockade, there was early evidence of castrate resistance resulting in the initiation of docetaxal based chemotherapy. This supports findings by other researchers of an early onset of castrate resistance in patients presenting with testicular metastasis. [2]

The drastic drop in PSA from 73 ng/ml to 5.72 ng/ml with an associated improved quality of life following local radiotherapy indicate the usefulness of radiotherapy in controlling localized hormone refractory disease and has been supported in some studies [6]. We choose to continue androgen deprivation in spite of the refractory state in addition to the chemotherapy as it has been found to delay progression and improve survival. [7] We were, however, limited to the use of docetaxal based chemotherapy which resulted in an improved survival of 2 years as we had no access to other second line agents such as enzalutamide, abiraterone, or sipuleucel-T.

As have been noted earlier, no established treatment lines have been stated. In the reports in literature which were incidental findings after orchidectomy, as a part of primary treatment, no further treatments are proposed with the patients noticed to do well [1] [2]. For the cases with metastasis to the testis detected long after initiation of treatment for the prostate cancer, androgen deprivation had been continued even though they had the potential to be aggressive [5]. Manikandan et al. had improved survival (four years at time of their report) in their case with the patient receiving 8 cycles of chemotherapy followed by atrasentan 10 mg/day [8]. The use of multimodal therapy in our patient presenting with testicular metastasis without prior treatment for his prostate cancer led to an improved survival of two years as against a survival of less than one year observed in other cases/ series [2].

As more cases of prostate cancer with metastasis to the testis are being reported, there is the need for evidenced based treatment guidelines to improve outcomes. Early initiation of docetaxel based chemotherapy together with local control of the prostate cancer using radiation therapy improved the outcome in this relatively young patient.


Conclusion

Aggressive management strategies including androgen deprivation, early initiation of docetaxel based chemotherapy and radiotherapy therapy for local disease control are warranted in patients with prostate cancer presenting clinically with testicular metastases to improve quality of life and overall survival. Evidenced based treatment guidelines are needed as more cases are being reported.


Acknowledgements

We are thankful to Dr Stewart Goetsch of MDS-Lancet Laboratories, South Africa and Prof. Christopher C. D. M. Fletcher, Harvard Medical School (Chief of Onco-Pathology) for their assistance with the immunohistochemical analysis of the specimens.


References
  1. Kim SO, Choi YD, Jung SI, et al. Prostate cancer with solitary metastases to the bilateral testis. Yonsei Med J 2011 Mar;52(2):362–4.   [CrossRef]   [Pubmed]    Back to citation no. 1
  2. Korkes F, Gasperini R, Korkes KL, Silva Neto DC, Castro MG. Testicular metastases: a poor prognostic factor in patients with advanced prostate cancer. World J Urol 2009 Feb;27(1):113–5.   [CrossRef]   [Pubmed]    Back to citation no. 2
  3. Ulbright TM, Young RH. Metastatic carcinoma to the testis: a clinicopathologic analysis of 26 nonincidental cases with emphasis on deceptive features. Am J Surg Pathol 2008 Nov;32(11):1683–93.   [CrossRef]   [Pubmed]    Back to citation no. 3
  4. Pienkos EJ, Jablokow VR. Secondary testicular tumors. Cancer 1972 Aug;30(2):481–5.   [CrossRef]   [Pubmed]    Back to citation no. 4
  5. Kusaka A, Koie T, Yamamoto H, et al. Testicular metastasis of prostate cancer: a case report. Case Rep Oncol 2014 Sep 18;7(3):643–7.   [CrossRef]   [Pubmed]    Back to citation no. 5
  6. Ogawa K, Nakamura K, Sasaki T, et al. External beam radiotherapy for clinically localized hormone-refractory prostate cancer: clinical significance of Nadir prostate-specific antigen value within 12 months. Int J Radiat Oncol Biol Phys 2009 Jul 1;74(3):759–65.   [CrossRef]   [Pubmed]    Back to citation no. 6
  7. Sweeney C, Chen YH, Carducci MA, et al. Impact on overall survival (OS) with chemohormonal therapy versus hormonal therapy for hormone-sensitive newly metastatic prostate cancer (mPrCa): an ECOG-led phase III randomized trial. J Clin Oncol 2014;32:5s. Suppl; Abstract LBA.    Back to citation no. 7
  8. Manikandan R, Nathaniel C, Reeve N, Brough RJ. Bilateral testicular metastases from prostatic carcinoma. Int J Urol 2006 Apr;13(4):476–7.   [CrossRef]   [Pubmed]    Back to citation no. 8

[HTML Abstract]   [PDF Full Text]

Author Contributions
Mathew Yamoah Kyei – Substantial contributions to conception and design, Acquisition of data, Analysis and interpretation of data, Drafting the article, Revising it critically for important intellectual content, Final approval of the version to be published
Verna Vanderpuye – Substantial contributions to conception and design, Acquisition of data, Analysis and interpretation of data, Revising it critically for important intellectual content, Final approval of the version to be published
Lawrence Edusei – Substantial contributions to conception and design, Acquisition of data, Analysis and interpretation of data, Revising it critically for important intellectual content, Final approval of the version to be published
James Edward Mensah – Substantial contributions to conception and design, Revising it critically for important intellectual content, Final approval of the version to be published
Joel Yarney – Substantial contributions to conception and design, Acquisition of data, Revising it critically for important intellectual content, Final approval of the version to be published
Guarantor of submission
The corresponding author is the guarantor of submission.
Source of support
None
Conflict of interest
Authors declare no conflict of interest.
Copyright
© 2016 Mathew Yamoah Kyei et al. This article is distributed under the terms of Creative Commons Attribution License which permits unrestricted use, distribution and reproduction in any medium provided the original author(s) and original publisher are properly credited. Please see the copyright policy on the journal website for more information.