Clinical Image
 
A 74-year-old woman with malabsorption and intestinal pseudo-obstruction
Maria Paparoupa1, MD, MPH, Frank Schuppert1, MD, PhD
1Department of gastroenterology, endocrinology, diabetology and general medicine, Klinikum Kassel, Mönchebergstr, 41-43, D-34125 Kassel, Germany.

Article ID: Z01201606CL10101MP
doi:10.5348/ijcri-201608-CL-10101

Address correspondence to:
Maria Paparoupa
MD, MPH, Department of gastroenterology, endocrinology, diabetology and general medicine
Klinikum Kassel, Mönchebergstr, 41-43
D-34125 Kassel
Germany

Access full text article on other devices

  Access PDF of article on other devices

[HTML Abstract]   [PDF Full Text] [Print This Article]
[Similar article in Pumed] [Similar article in Google Scholar]


How to cite this article
Paparoupa M, Schuppert F. A 74-year-old woman with malabsorption and intestinal pseudo-obstruction. Int J Case Rep Images 2016;7(6):419–421.



Case Report

A previously healthy 74-year-old woman presented to our department of gastroenterology with unclear weight loss of 15 kilograms in six months. All laboratory tests and physical examination were unremarkable. Functional tests were positive revealing a malabsorption of glucose and fructose. This finding drew our attention to gastrointestinal tract. Diagnostic procedures including upper and lower gastrointestinal tract endoscopy and Computed tomography (CT) scan of the abdomen were normal. A more detailed evaluation of small intestine was attempted with a capsule endoscopy. The examination could not be completed, as the capsule remained stuck in jejunum for several hours. Our first interpretation was an underlying partial small bowel obstruction or a functional small bowel disorder which could not be detected in the computed tomography. In order to further investigate this hypothesis, we performed an MRI-Sellink. The MR enteroclysis (Sellink) is an MRI examination of abdomen with high sensitivity in detecting small bowel alterations and supplies information regarding anatomic regions not reachable with endoscopy.

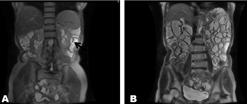
The MRI-Sellink showed multiple small intestine diverticula which were mainly present in the middle part of the abdomen right underneath the abdominal wall (Figure 1A-B). The conventional upper and lower endoscopy could not reach these parts of jejunum and ileum and a double-balloon enteroscopy was not performable due to technical reasons. Conservative management with antibiotics and dietary alterations was initiated. In our case, no satisfying response was reported, so that a surgical intervention was decided. After having the most of her intestine diverticula surgically removed, the patient gained her normal weight again.

Cursor on image to zoom/Click text to open image
Figure 1: (A) The little arrow showing a small intestine diverticulum, (B) Small intestine diverticulum measuring up to 4–5 cm in the middle part of the abdomen.


Discussion

Jejunum diverticulosis is a rare entity mostly asymptomatic or present with unspecific manifestations like central abdominal pain, vomiting, diarrhea and malnutrition. Small intestine diverticula often become diagnosed after being complicated with bleeding, perforation or intestinal obstruction [1]. The small intestine diverticulosis can explain the malabsorption of glucose and fructose as a result of bacterial overgrowth in the gut and it was totally asymptomatic in our case. Malabsorption was the reason for the observed weight loss. The interrupted transport of the endoscopic capsule occurred most likely due to a temporary capture of the capsule in one of the diverticula, as no specific stenosis was revealed in the MRI-Sellink. According to the scientific literature small intestine diverticula are often linked to pseudo-obstruction manifestations with disrupted intestinal transport [2]. Abdominal computed tomography scan is the diagnostic tool of choice even if it is not possible to identify all small bowel diverticula. In our case, abdominal CT did not detect the jejunum diverticula because no inflammatory reaction of the mesenteric tissue was present [3]. Antibiotic treatment was insufficient to combat the bacterial overgrowth in the gut and surgical treatment was successfully performed.


Conclusion

Clinical manifestations of small intestine diverticula can imitate other more often entities like chronic inflammatory bowel disease and malignancies. When diagnosis remains uncertain after conventional diagnostic procedures, an MRI-Sellink is the most appropriate method to be implemented.


Keywords: Intestine, Jejunum diverticula, Malabsorption, Pseudo-obstruction, MRI-Sellink


References
  1. Hubbard TJ, Balasubramanian R, Smith JJ. Jejunal diverticulum enterolith causing perforation and upper abdominal peritonitis. BMJ Case Rep 2015 Jul 14;2015. pii: bcr2015210095.   [CrossRef]   [Pubmed]    Back to citation no. 1
  2. Hanna C, Mullinax J, Friedman MS, Sanchez J. Jejunal diverticulosis found in a patient with long-standing pneumoperitoneum and pseudo-obstruction on imaging: a case report. Gastroenterol Rep (Oxf) 2015 Jul 27. pii: gov033.   [CrossRef]   [Pubmed]    Back to citation no. 2
  3. Kassir R, Boueil-Bourlier A, Baccot S, et al. Jejuno-ileal diverticulitis: Etiopathogenicity, diagnosis and management. Int J Surg Case Rep 2015;10:151–3.   [CrossRef]   [Pubmed]    Back to citation no. 3
[HTML Abstract]   [PDF Full Text]

Author Contributions
Maria Paparoupa – Substantial contributions to conception and design, Acquisition of data, Analysis and interpretation of data, Drafting the article, Revising it critically for important intellectual content, Final approval of the version to be published
Frank Schuppert – Analysis and interpretation of data, Drafting the article, Revising it critically for important intellectual content, Final approval of the version to be published
Guarantor of submission
The corresponding author is the guarantor of submission.
Source of support
None
Conflict of interest
Authors declare no conflict of interest.
Copyright
© 2016 Maria Paparoupa et al. This article is distributed under the terms of Creative Commons Attribution License which permits unrestricted use, distribution and reproduction in any medium provided the original author(s) and original publisher are properly credited. Please see the copyright policy on the journal website for more information.



About The Authors

Maria Paparoupa is Resident at the Intensive Care Unit, University Hospital Giessen, School of Medicine, Germany and Former Resident at Department of Medicine, Klinikum Kassel, Kassel School of Medicine, Germany. Her area of interest lies in internal medicine and infectious diseases.



Frank Schuppert Professor of Internal Medicine, is Director of the Department of Gastroenterology, Endocrinology, Diabetology and General Medicine, Klinikum Kassel, Kassel School of Medicine, Germany. He is also Head of the Endoscopy Unit in Klinikum Kassel. He has published more than 50 peer reviewed research papers in national and international academic journals. His clinical research interests include autoimmune diseases of the liver and endocrine glands.