Case Report
 
Eosinophilic syndrome with life-threatening end-organ damage
Shahd Ahmed1, Erini V Kasfiki2, John Smith3
1Department of acute medicine, Scarborough hospital, Yorkshire and Humber Deanery.
2Department of Respiratory Medicine, Scarborough Hospital, Yorkshire and Humber Deanery.
3Department of Acute Medicine, Harrogate Hospital, Harrogate, Yorkshire, UK.

Article ID: Z01201604CR10622SA
doi:10.5348/ijcri-201634-CR-10622

Address correspondence to:
Shahd Ahmed
Department of Acute medicine
Scarborough hospital, Yorkshire and Humber Deanery England
United Kingdom, Yo11 2LJ

Access full text article on other devices

  Access PDF of article on other devices

[HTML Abstract]   [PDF Full Text] [Print This Article]
[Similar article in Pumed] [Similar article in Google Scholar]


How to cite this article
Ahmed S, Kasfiki EV, Smith J. Eosinophilic syndrome with life-threatening end-organ damage. Int J Case Rep Imag 2016;7(4):212–215.


Abstract
Introduction: Hypereosinophilic syndrome (HES) can be a multisystem disorder due to direct end-organ damage by eosinophilia, and can rarely present with life-threatening features. We present a case of multi-organ failure secondary to eosinophilia related to medications.
Case Report: A 66-year-old woman with a recent diagnosis of asthma on montelukast, presented with excruciating pains of sudden onset in her lower limbs, and on admission, she was found to be in multi-organ failure. After initial resuscitation, immunological investigations, including vasculitic screen were negative, and hematological investigations revealed severe eosinophilia. She was diagnosed to have systemic eosinophilic granulomatosis polyarteritis secondary to montelukast. The agent was withdrawn and the patient was started on prednisolone. The initial symptom of severe pains preventing her from mobilizing was reversed within days and the patient was cured and become steroid free after six weeks of steroid treatment with no further problems reported in subsequent follow-up.
Conclusion: Case report: A 66-year-old woman with a recent diagnosis of asthma on montelukast, presented with excruciating pains of sudden onset in her lower limbs, and on admission, she was found to be in multi-organ failure. After initial resuscitation, immunological investigations, including vasculitic screen were negative, and hematological investigations revealed severe eosinophilia. She was diagnosed to have systemic eosinophilic granulomatosis polyarteritis secondary to montelukast. The agent was withdrawn and the patient was started on prednisolone. The initial symptom of severe pains preventing her from mobilizing was reversed within days and the patient was cured and become steroid free after six weeks of steroid treatment with no further problems reported in subsequent follow-up. Conclusion: Eosinophilia may have a variety of causes, and montelukast is a recognized agent that can give rise to an eosinophilic syndrome. It can only be diagnosed once other systemic disorders have been excluded. The presentation can vary and can be multisystem, and rarely life-threatening, but it potentially is completely reversible, depending on the underlying diagnosis. In case of medications causing the syndrome, stopping the agent and giving a course of steroids may reverse the condition as in this case, without the need of immunotherapy in the long-term.

Keywords: End-organ damage, Eosinophilia, Hypereosinophilic syndrome, Life-threatening vasculitis


Introduction

Eosinophilia refers to an absolute count of eosinophils >500/µl in the peripheral blood [1].

Hypereosinophilic syndrome is described when end-organ damage occurs directly because of eosinophilia, with other secondary causes having been excluded [2].

Patients may present with a variety of symptoms depending upon the end organ damage. In some patients the finding of eosinophilia is incidental, in others, as the patient described above, the initial manifestations may be severe or life-threatening.

We present a case of life-threatening hypereosinophilic syndrome secondary to medication use, which completely resolved on agent withdrawal.


Case Report

A 66-year-old female presented with neuropathic pains across her right leg for two weeks. The patient had first noticed some paraesthesia on both lower limbs, which she described to feel like "pins and needles", with a patchy distribution from her hips to her ankles. As the days progressed, the patient described excruciating shooting pains in all muscle groups in her right leg, to the point that on presentation she was unable to weight bear, and had to be wheeled into the department.

Her documented past medical history was mild asthma of late onset for a decade, and recently diagnosed mild gastritis and osteoarthritis.

The patient was on montelukast 10 mg once daily and lansoprazole 30 mg once daily.

On further questioning, she admitted to having had recurrent chest infections and asthma exacerbations over the last few months prior to her current presentation, requiring steroids and antibiotics every 2–3 weeks. For this purpose, she was under investigation by the respiratory team. A recent computed tomography scan of thorax revealed some post-infective scarring, with nothing else of note. She also admitted to mild weight loss and drenching sweats.

She was not diabetic, or anemic, and had no thyroid disease. She denied eye, skin, bowel, bladder, sinus or joint problems. She denied cigarette smoking or alcohol consumption, and she had no allergies to any mediations.

On examination she was tachycardic, with a heart rate of 140 bpm, irregularly irregular, she was hypoxic and needed two liters of oxygen via nasal cannula to keep her oxygen saturations more than 94%. She was tachypneic with a respiratory rate of 22 beats per minute. She was apyrexial, and her blood pressure was stable.

On examination of her cardiovascular system, she had bilateral ankle pitting edema, her JVP was raised and her apex beat was displaced laterally. On auscultation of the heart there were no murmurs.

On examination of her respiratory system, she was unable to talk in full sentences. On auscultation, she had bibasal reduced breathing sounds with dullness on percussion, but no wheeze. Her peak expiratory flow was 150, which was 75% of her normal.

Abdominal examination was unremarkable. She had no rashes, lymphadenopathy, or active synovitis.

Her GCS was 15/15, and pupils were equal and reactive to light and accommodation. Cranial nerve examination revealed no abnormalities, as did peripheral neurology examination of the upper limbs.

Examination of the lower limbs was limited due to pain. Power was 5/5 on the left leg, and equally reduced to 3/5 in all muscle groups, due to pain, on the right. Reflexes were globally reduced, and patient's pain was intolerable when reflexes were tested. Vibration was normal, but proprioception was not formally assessed, as the patient had excruciating pains to even slight movement of her lower limb joints. The patient had obvious signs of small fiber neuropathy on the right lower limb.

Urine dipstick revealed proteinuria and hematuria.

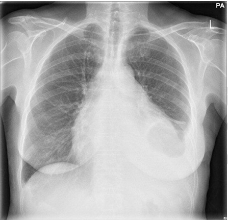
The patient was adequately resuscitated with oxygen therapy and intravenous fluids, and analgesia was escalated to intravenous morphine, but with no success, as pain relief was not achieved. Routine investigations were sent. Thyroid function tests, immunoglobulin levels, complement levels, and creatine kinase were all normal. All electrolytes were within normal limits. Autoantibody screen, including ANCA, ANA and ENA, was negative. Hematinics, including vitamin B12 were normal. Liver and renal function were normal, as were clotting times. The only abnormal results from the bloods tested were her full blood count, her CRP and her serum IgE levels. The patient was anemic with hemoglobin of 10.8 g/dl (normocytic, normochromic), and her white cell count was raised to 25.2x109/L, with marked eosinophilia of 17.6 (x109/L). Her platelets were raised at 507x109/L. Her CRP was 120 (mg/L) (normal range 0-4 mg/L) and her IgE levels were 148 (U/L) (normal range <75U/L). Arterial blood gas was obtained, which revealed mild hypoxia. Chest X-ray revealed a small left sided pleural effusion (Figure 1).

A 12-lead ECG showed atrial fibrillation with fast ventricular response. Urgent echocardiogram showed moderate left ventricular hypertrophy, with pericardial effusion, but no echocardiographic signs of cardiac tamponade.

A diagnosis of systemic eosinophilic granulomatosis polyarteritis was made taking into account clinical and biochemical findings. The role of montelukast was questioned in the pathophysiology of the disease.

Montelukast was discontinued, amitriptyline and prednisolone were started at 25 mg and 40 mg daily respectively, and patient was put on bisoprolol and warfarin for her atrial fibrillation. DEXA scan was requested and alendronic acid was started prophylactically.

The patient's symptoms of paraesthesia and leg pains completely resolved within the next days of this admission, and her eosinophils fell to 1.6x109/L within the first week of treatment. As such, nerve conduction studies and quantiferon test were both canceled, and further hematological advice was not sought.

Patient made partial recovery within three days, with only a patch of allodynia on her right lateral malleolus, and full recovery within the next six weeks, with no further episodes of pain or further exacerbations of her asthma.

On further follow-up post-montelukast cessation and steroid withdraw, patient remained well and asymptomatic, with repeated bloods with normal blood count and eosinophilic values, having not required further treatment and in particular immunosuppression, making montelukast the main differential diagnosis for the patient's life threatening presentation.


Cursor on image to zoom/Click text to open image
Figure 1: Chest X-ray on admission showing unilateral pleural effusion.



Discussion

Eosinophilia may have a variety of causes, such as allergic and immunologic reactions, infectious diseases, hematological disorders, drug reactions, as DRESS syndrome, connective tissue disorders. The investigations should be targeting to identifying or excluding the above conditions, and also depend on the organs affected.

Searching though EMBASE and MEDLINE, in a combined search of the terms "eosinophilia" "montelukast" and "case report" reveals three previous case reports of montelukast associated eosinophilic syndrome in adults in English literature, which are dated from 2002 to 2012, none of which described an English patient [3][4][5][6]. However, this is the first case report in English literature that describes a case of eosinophilia with a clinically associated significant and life-threatening syndrome and negative ANCA antibody screen vasculitis.

The treatment, as in this case, encompasses of treating the manifestations of the different symptoms derived from the offended organs, cessation of the offending agent, and oral steroids at 1 mg/kg/day. In the case of eosinophilia due to an offending agent, as in the above patient, there is no evidence in the literature suggesting the time period between the cessation of the agent and the resolution of eosinophilia and its symptoms. Our patient's symptoms started improving within the first day of montelukast cessation, even prior to starting high dose steroid treatment. The symptoms completely resolved and eosinophil number normalized within the next months.

What remains unexplained is the diagnosis of asthma prior to admission, which is the reason that the patient was started on montelukast in the first place. On subsequent follow-up, patient remained respiratory symptom free, with no variability of peak expiratory flow serial measurements and normal spirometry, and no further asthma treatment was required.


Conclusion

Hypereosinophilic syndrome can present with life- threatening multisystem involvement. Secondary causes, especially autoimmune and hematological conditions need to be excluded. Detailed drug history should be sought and offending agents must be stopped.


References
  1. Tefferi A. Blood eosinophilia: a new paradigm in disease classification, diagnosis, and treatment. Mayo Clin Proc 2005 Jan;80(1):75–83.   [CrossRef]   [Pubmed]    Back to citation no. 1
  2. Klion AD, Bochner BS, Gleich GJ, et al. Approaches to the treatment of hypereosinophilic syndromes: a workshop summary report. J Allergy Clin Immunol 2006 Jun;117(6):1292–302.   [CrossRef]   [Pubmed]    Back to citation no. 2
  3. Hammer HB, Aukrust P, Frøland SS. Churg-Strauss syndrome after treatment with Singulair (montelukast). [Article in Norwegian]. Tidsskr Nor Laegeforen 2002 Feb 20;122(5):484–6.   [Pubmed]    Back to citation no. 3
  4. Man MA, Alexandrescu D, Pop M, Trofor A. Churg Strauss syndrome associated with montelukast--case report. Pneumologia 2012 Apr-Jun;61(2):113–6.   [Pubmed]    Back to citation no. 4
  5. Pisarczyk-Wiza D, Wierusz-Wysocka B. Churg-Strauss syndrome: diagnostic and therapeutic challenge - a case report. [Article in Polish]. Kardiol Pol 2009 Apr;67(4):410–4.   [Pubmed]    Back to citation no. 5
  6. Oberndorfer S, Beate U, Sabine U, et al. Churg Strauss syndrome during treatment of bronchial asthma with a leucotriene receptor antagonist presenting with polyneuropathy. Neurologia 2004 Apr;19(3):134–8.   [Pubmed]    Back to citation no. 6

[HTML Abstract]   [PDF Full Text]

Author Contributions
Shahd Ahmed – Group 1- Substantial contribution to conception and design, and acquisition of data, Group 2- Drafting the article, revising the article, Group 3- Final approval for publication
Eirini Kasfiki – Group 1- Substantial contribution to conception and design, and acquisition of data, Group 2- Drafting the article, revising the article, Group 3- Final approval for publication
John Smith – Group 1- Substantial contribution to conception and design, and acquisition of data, Group 2- Drafting the article, revising the article, Group 3- Final approval for publication
Guarantor of submission
The corresponding author is the guarantor of submission.
Source of support
None
Conflict of interest
Authors declare no conflict of interest.
Copyright
© 2016 Shahd Ahmed et al. This article is distributed under the terms of Creative Commons Attribution License which permits unrestricted use, distribution and reproduction in any medium provided the original author(s) and original publisher are properly credited. Please see the copyright policy on the journal website for more information.