International Journal of Case Reports and Images (IJCRI)


Volume 7; Number 3 (March 2016)

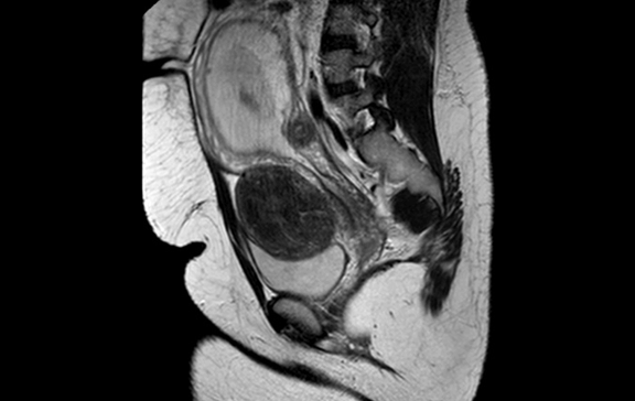
Cover Figure

cover figure

A 30-year-old female with suspected recurrent ovarian granulosa cell tumor in pregnancy. Contrast-enhanced sagital MRI image showing large predominantly isotense pelvic mass measuring 8.9 cm x7.1 cm. Areas of hypointensities within it with correlating hyperintensities likely due to cystic changes appears seperae from the uterus. (A: pregnant uterus, B: mass, C :bladder). (Page 167)

Go Back to Table of Contents