![]() |
|
![]() |
|
Case Report
| ||||||
| Recurrent giant hydatid cyst in the left axilla: A case report | ||||||
| Abbas Alibakhshi1, Mehrdad Larry2 | ||||||
|
1MD, General Surgery Department, Vali-Asr Hospital, Tehran University of Medical Sciences, Tehran, Iran.
2MD-MPH, General Surgery Department, Vali-Asr Hospital, Tehran University of Medical Sciences, Tehran, Iran, mehrdad. | ||||||
| ||||||
|
[HTML Abstract]
[PDF Full Text]
[Print This Article]
[Similar article in Pumed] [Similar article in Google Scholar]
|
| How to cite this article |
| Alibakhshi A, Larry M. Recurrent giant hydatid cyst in the left axilla: A case report. Int J Case Rep Images 2016;3(7):158–161. |
|
Abstract
|
|
Introduction:
Hydatid disease in the musculature of the axillary area has scarcely been reported before. Also, the overall involvement of muscles with this tapeworm infection is not prevalent. The infection is associated with contact of human beings and livestock. It can subsequently involve many different organs in the body, mostly liver and lungs.
Case Report: We report a case of a hydatid disease, affecting the axillary region of a 30-year-old male. He was diagnosed with a similar hydatid cyst four years ago in the same location and undergone surgery; but it had gradually augmented in the same place since then. He also had a history of cerebral hydatid disease (CHD) when he was nine years old which was surgically removed; but it was not documented. Magnetic resonance imaging (MRI) scan reinforced the diagnosis, showing a large multicystic mass in inferior tip of the left scapula and in the dorsal thoracic muscles invading the deltoid, infraspinatous, teres major and teres minor muscles. No pulmonary or hepatic involvement was seen. The patient was given three months of albendazole preoperatively and en bloc resection without destroying the cyst wall was performed. Adjunctive albendazole chemotherapy (15 mg/kg/day) was prescribed for three months. Conclusion: Clinical and radiological suspicion to hydatid disease in endemic areas is important for the diagnosis of the disease. Providing information for people on how the disease is transmitted and improving health care for prevention of the disease is of utmost importance. | |
|
Keywords:
Axillary mass, Hydatid disease, Musculoskeletal surgery
| |
|
Introduction
| ||||||
|
Hydatid disease is primarily due to the tapeworm, Echinococcus. It is common in its endemic areas [1]. Feces of dogs contain the Echinococcus ova, which can be transmitted orally to human. Sheep and other livestock are intermediate hosts [2]. One percent of surgeries in Iran have been reported to be associated with hydatid disease involvement [3]. The cysts are mostly found in the liver and lungs. Fewer cysts are developed in the kidney, heart, bone and spleen. The muscle and the brain have been reported to contain the least number of cysts compared to the former organs; comprising 1% and 0.5% of the total cases [4]. Here, we present a case of hydatid cyst affecting the axillary area. | ||||||
|
Case Report
| ||||||
|
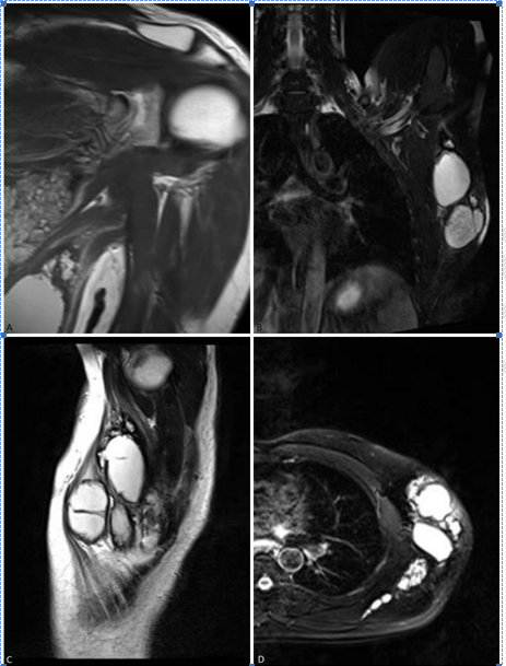
A 30-year-old man, a taxi driver, presented with a large painless, slowly growing mass in his left armpit for approximately three years. He was diagnosed in the same location with an axillary hydatid cyst four years ago and was surgically treated. He also had a history of a successful craniotomy when he was nine years old due to CHD, but no document to support it. Physical examination revealed a 20x8 cm dense, semi-mobile painless mass in the left axillary fossa and conserved range of motion in the left glenohumeral joint Serology test (ELISA) for Echinococcosis was positive. MRI scan showed a large multicystic intramuscular mass in inferior tip of the left scapula and in the dorsal thoracic muscles invading the deltoid, infraspinatus, teres major and teres minor muscles as shown in Figure 1. CT scan and sonography for whole body did not show any other involvements. The diagnosis was relatively easy; by his past medical history, imaging data and endemic context. The patient was given albendazole preoperatively for three months. Under general anesthesia, en bloc resection was successfully performed. The specimen was macroscopically two pieces of creamy brown colored membranous soft tissue and multiple small cysts. The membranous tissues were each measuring 23×9×6 cm and 8×4.5×0.5 cm. The cysts measured 1 to 1.7 cm in diameters. Microscopically, cystic walls composed of inner germinal layer and outer fibrous laminar (chitinous) layer surrounded by fibrous capsule. Daughter cysts and protoscolices were also seen. Figure 2 indicates sagittal section of the MRI through the lesion. The images are compatible with type CE2 of the cyst according to WHO classification appearing as honeycomb pattern. The patient was sent home with adjunctive albendazole chemotherapy (15 mg/kg/day) for three months. | ||||||
|
| ||||||
| ||||||
|
Discussion
| ||||||
|
One to four percent of hydatidosis have been reported to involve the soft tissue [5] [6]. Occasional involvement of other organs; except for liver and lungs, are expected. Their occurrence in the axillary area is very low. Arsalane et al. reported few cases in the literature; mostly presented as slowly growing masses [5]. Other localizations of soft tissue hydatidosis are muscles which form the chest wall, scapulohumeral girdle and supraclavicular region of the neck [6] [7]. Muscles are not suitable sites for growth of hydatid cysts; because of the contractility, intense irrigation, lactic acid accumulations and the high blood filtration of the tissue [1] [3]. Musculoskeletal hydatid disease is primary or secondary in origin. When primary location is the liver, lung or subphrenic region, secondary musculoskeletal involvement is an important possibility [8]. The diagnosis is mostly according to clinical symptoms, which may even take 5 to 20 years to establish; as Ghanaati et al. reported such organ involvement for the knee, secondary to a liver hydatid disease after nine years [3]. Before the curative surgery, it is advised to diagnose the disease with radiographic and laboratory assessment [6]. Avoiding the rupture of the cysts is important during the surgery [5] [6]. Cyst rupture is associated with the possibility of anaphylactic shock which is the most important surgical complication. If viable scolices disseminate to other organs, recurrence becomes more probable in long term follow-ups [3] [7]. Albendazol is effective for reduction of the cyst size, both before and after the operation [7]. Preoperative albendazole (15 mg/kg/day) has been shown to reduce the risk of rupture during the operation [1]. Three months of albendazole is the preferred treatment protocol [6]. Drugs are administered for four weeks, with one to two weeks of drug-free intervals [5]. The specimen was excised in toto - cystopericystectomy. En bloc resection is sufficient for curing the intramuscular cysts [8]. If the cysts are totally removed with no subsequent rupture, the prognosis becomes excellent [7]; as Arsalane et al. reported good recovery for all axillary hydatid cyst surgeries [5]. The differential diagnoses of hydatid cyst in unusual localizations are Echinococcus multilocularis, abscess formation, vascular anomalies, chronic hematoma, synovial cyst, and malignant soft tissue tumors [4][5]. | ||||||
|
Conclusion
| ||||||
|
Providing information for people who live in villages of endemic areas about the routes of prevention is important. Hydatid disease could rarely involve soft tissues, but it should be considered as a differential diagnosis in endemic areas. | ||||||
|
Acknowledgements
| ||||||
|
We would like to thank Dr. Emami Razavi, professor of surgery, Dr. Mashoori, Dept of general surgery, Dr. Khazravi, Dept of general surgery, Dr. Sadeghian, Tehran University of Med Sciences | ||||||
|
References
| ||||||
| ||||||
|
[HTML Abstract]
[PDF Full Text]
|
|
Author Contributions
Abbas Alibakhshi – Substantial contributions to conception and design, Acquisition of data, Analysis and interpretation of data, Drafting the article, Revising it critically for important intellectual content, Final approval of the version to be published Mehrdad Larry – Analysis and interpretation of data, Revising it critically for important intellectual content, Final approval of the version to be published |
|
Guarantor of submission
The corresponding author is the guarantor of submission. |
|
Source of support
None |
|
Conflict of interest
Authors declare no conflict of interest. |
|
Copyright
© 2016 Abbas Alibakhshi et al. This article is distributed under the terms of Creative Commons Attribution License which permits unrestricted use, distribution and reproduction in any medium provided the original author(s) and original publisher are properly credited. Please see the copyright policy on the journal website for more information. |
|
|