Clinical Image
 
Bicipitoradial bursitis in a patient with rheumatoid arthritis
Pui Shan Julia Chan
MBBS (HK), MRCP (UK), FHKAM, Associate consultant, Department of Medicine, Queen Elizabeth Hospital, 30 Gascoigne Road, Kowloon, Hong Kong Special Administrative Region.

Article ID: Z01201603CL10099PC
doi:10.5348/ijcri-201606-CL-10099

Address correspondence to:
Pui Shan Julia Chan
Associate consultant, Department of Medicine, Queen Elizabeth Hospital
30 Gascoigne Road, Kowloon
Hong Kong Special Administrative Region

Access full text article on other devices

  Access PDF of article on other devices

[HTML Abstract]   [PDF Full Text] [Print This Article]
[Similar article in Pumed] [Similar article in Google Scholar]


How to cite this article
Chan PSJ. Bicipitoradial bursitis in a patient with rheumatoid arthritis. Int J Case Rep Images 2016;7(3):201–203.


Case Report

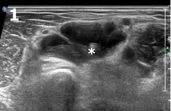
A 63-year-old Chinese female with seropositive rheumatoid arthritis (RA) presented with three days history of painful left forearm swelling and fever after switching to anti-tumor necrosis factor therapy for two months. There was no recent history of injury reported. Physical examination showed a swelling at the antecubital area which was tender on palpitation. X-ray of elbow and forearm were normal. Blood test showed elevated C-reactive protein 108 ng/L ( <5 ng/L) and ESR 119 mm/hr (3–28 mm/hour). Initial diagnoses were cellulitis, inflammatory lesion or soft tissue mass. Ultrasonography demonstrated a poorly compressible, well-circumscribed anechoic collection with both solid and fluid component surrounding the distal biceps tendon (Figure 1), over the anterior aspect of cubital fossa (Figure 2) with power Doppler signals. The elbow joint was normal without synovitis or effusion. Sonographic features suggestive of bicipitoradial bursitis need to rule out septic bursitis. Ultrasound-guided aspiration and decompression of the lesion was performed, yielded slight blood-stained fluid, both bacterial and mycobacterium culture was negative. Her fever responded to course of antibiotics and anti-inflammatory drugs. The swelling completely resolved after one week.


Cursor on image to zoom/Click text to open image
Figure 1: Bicipitoradial bursitis in a patient with rheumatoid arthritis. Ultrasound scan of antecubital area in transverse view showed an anechoic lesion (*) surrounding the distal biceps tendon suggestive of bicipitoradial bursitis.



Cursor on image to zoom/Click text to open image
Figure 2: Ultrasound scan in longitudinal view showing the distended bicipitoradial bursa (b).


Discussion

Bicipitoradial bursitis is an uncommon condition, mostly due to repetitive mechanical trauma or overuse. Other causes include tear of the distal biceps tendon, inflammatory diseases like rheumatoid arthritis or psoriatic arthritis, infection, chronic renal failure or very rarely villonodular synovitis, osteochondromatosis and amyloidosis [1] [2] [3] [4]. Anatomically, distal biceps tendon is covered by a paratenon instead of a synovial sheath. It is inserted to the radial tuberosity. In order to reduce friction during pronation of the forearm, a bursa, named bicipitoradial bursa, which contains synovial lining, is presented between the distal biceps tendon and the radial tuberosity. It is not connected to elbow joint directly and exhibits a horseshoe-shaped appearance as it warps around the distal biceps tendon. As in this case, the bursa was so distended with fluid that almost surrounded the adjacent distal biceps tendon, mimicking a tenosynovitis process [5]. The mass effect of the distended bursa can also compress on the deep radial nerve causing entrapment [6]. Sonographically may not be easy to differentiate from the adjacent distal biceps tendon which might exhibit anisotropy. Pronation of the forearm is recommended to delineate bursa space from the tendon itself [7].


Conclusion

Although bursitis is common in patient with inflammatory arthritis, antecubital fossa lesion is still a challenging condition for clinician in daily practice. The awareness of the anatomy is curial in identify the cause of swelling over proximal forearm. In this case, the development of bicipitoradial bursitis is probably related to active rheumatoid arthritis with fluid accumulation and thickening of bursal wall. Nevertheless, infective cause especially tuberculosis should always be the differential diagnosis for patients receiving biologics.

Keywords: Bicipitoradial bursitis, Distal biceps tendon, Musculoskeletal ultrasound, Rheumatoid arthritis


References
  1. Sofka CM, Adler RS. Sonography of cubital bursitis. AJR Am J Roentgenol 2004 Jul;183(1):51–3.   [CrossRef]   [Pubmed]    Back to citation no. 1
  2. Nishida J, Furumachi K, Ehara S, Satoh T, Okada K, Shimamura T. Tuberculous bicipitoradial bursitis: a case report. Skeletal Radiol 2007 May;36(5):445–8.   [CrossRef]   [Pubmed]    Back to citation no. 2
  3. Ng C, Bibiano L, Grech S, Magazinovic B. Antecubital Fossa Solitary Osteochondroma with Associated Bicipitoradial Bursitis. Case Rep Orthop 2015;2015:560372.   [CrossRef]   [Pubmed]    Back to citation no. 3
  4. Felea I, Fodor D, Schiotis R, Georgiu C, Bojan A, Rednic S. Ultrasound findings in AL musculoskeletal amyloidosis. Med Ultrason 2011 Mar;13(1):76–9.   [Pubmed]    Back to citation no. 4
  5. Jacobson JA. Fundamentals of musculoskeletal ultrasound. Philadelphia, PA: Elsevier Saunders; 2007.    Back to citation no. 5
  6. Skaf AY, Boutin RD, Dantas RW, et al. Bicipitoradial bursitis: MR imaging findings in eight patients and anatomic data from contrast material opacification of bursae followed by routine radiography and MR imaging in cadavers. Radiology 1999 Jul;212(1):111–6.   [CrossRef]   [Pubmed]    Back to citation no. 6
  7. Bianchi S, Martinoli C. Ultrasound of the Musculoskeletal System. Berlin, Heidelberg: Springer Verlag; 2007.    Back to citation no. 7
[HTML Abstract]   [PDF Full Text]

Author Contributions
Pui Shan Julia Chan – Substantial contributions to conception and design, Acquisition of data, Analysis and interpretation of data, Drafting the article, Revising it critically for important intellectual content, Final approval of the version to be published
Guarantor of submission
The corresponding author is the guarantor of submission.
Source of support
None
Conflict of interest
Authors declare no conflict of interest.
Copyright
© 2016 Pui Shan Julia Chan. This article is distributed under the terms of Creative Commons Attribution License which permits unrestricted use, distribution and reproduction in any medium provided the original author(s) and original publisher are properly credited. Please see the copyright policy on the journal website for more information.