Clinical Image
 
Left main coronary artery originating from the non-coronary sinus: A rare low-risk coronary anomaly
Razan F. Binyousef1, Fahed K. Habib2, Mohammed W. Althobaiti3
1MBBS, Radiologist, Medical Imaging Department, King Abdullah Medical City, Makkah, Saudi Arabia.
2MBBS, Radiologist, Medical Imaging Department, Alnoor Specialist Hospital, Makkah, Saudi Arabia.
3MD, Assistant professor, King Saud bin Abdulaziz university for health sciences KSAU-HS, consultant cardiac imaging, King Abdulaziz Medical City, Jeddah, Saudi Arabia.

Article ID: Z01201603CL10097RB
doi:10.5348/ijcri-201604-CL-10097

Address correspondence to:
Razan Fahed Binyousef
P.O. Box 10874
Jeddah
Saudi Arabia, 21351

Access full text article on other devices

  Access PDF of article on other devices

[HTML Abstract]   [PDF Full Text] [Print This Article]
[Similar article in Pumed] [Similar article in Google Scholar]


How to cite this article
Binyousef RF, Habib FK, Althobaiti MW. Left main coronary artery originating from the non-coronary sinus: A rare low-risk coronary anomaly. Int J Case Rep Images 2016;7(3):195–197.


Case Report

A 51-year-old female was evaluated for chest discomfort, palpitations, and worsening dyspnea on exertion. She had no relevant past medical history and the cardiac enzymes were within normal limits. She denied any history of sudden cardiac death in her family. On physical examination, she was noted to have a 1/6 systolic murmur heard over the second left inter-costal space and an electrocardiogram was normal. Transthoracic echocardiography was normal.

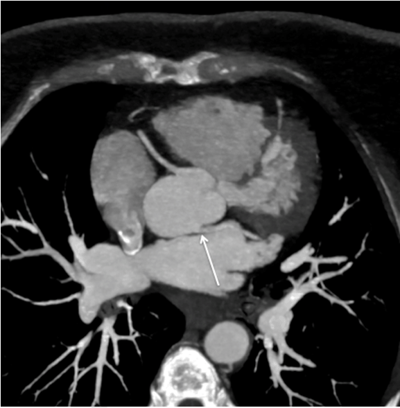
A contrast enhanced cardiac computed tomography angiography (CTA) was performed to further evaluate her symptoms and to investigate for a possible coronary artery disease. The computed tomography scan showed the left main coronary artery arising from the non-coronary sinus with an acute angle (LCANCS) (Figure 1). A nuclear exercise stress test performed and was normal (Figure 2).


Cursor on image to zoom/Click text to open image
Figure 1: Maximum intensity projection of cardiac computed tomography angiogram (CTA) showing anomalous origin of the left main coronary artery from the non-coronary sinus with acute angle take off (arrow) and oblique course behind the left coronary sinus.



Cursor on image to zoom/Click text to open image
Figure 2: Stress-rest myocardial perfusion test showing normal myocardial perfusion with no evidence of stress inducible ischemia.


Discussion

Anomalies of coronary arteries encompass a diverse group of rare coronary artery variations in origin, course or termination. Numerous studies reported incidence of coronary anomalies variably between 1% and 2% [1]. The reported incidence of coronary artery anomalies in patients undergoing coronary catheterization is 1.3% [1]. A retrospective series of 2096 patient undergoing coronary CTA showed a prevalence of approximately 2% [2]. The anomalous origin of left main coronary artery from non-coronary sinus is an extremely rare anomaly with variable incidence estimated at 0.0008% [1]. To the best of our knowledge, there are only three cases of LCANCS described by CT scan [3] [4] [5]. Anomalous origin of the left main coronary artery from the non-coronary sinus (LCANCS) is extremely rare with few reported cases in English literature [3].

A few reported cases of LCANCS were presented by acute myocardial infarction (MI), fatal arrhythmias and sudden cardiac death (SCD). Multiple studies proposed several mechanisms for high-risk coronary anomalies; these mechanisms include acute take-off angle (if the angle measures <45° between the proximal LCA and ascending aorta), intramural course (shared intima and media between aorta and LCA), or slit like ostium (if the ridge exceeded 50% of the coronary ostial luminal area) [6]. While the mechanisms are variable, the true significance of these coronary findings is not clear [7]. Not all coronary artery anomalies are felt to increase the risk of sudden cardiac death.

The symptoms related to high risk coronary anomalies are mostly experienced during vigorous exercise. Most of the symptomatic cases are reported in young patients below the age of 30 [3]. Many cases presented late in relation to development of atherosclerotic changes. In elderly, these findings are probably detected incidentally in asymptomatic candidates. If these anomalies were associated with symptoms, the question would be what should be done next. Single-photon emission computed tomography (SPECT) myocardial perfusion test is a good option. A normal myocardial SPECT would obviate the need for further investigation particularly in old patients. However, if the SPECT myocardial perfusion test is positive in the presence of coronary anomaly in symptomatic patient, this would raise the question of whether surgical intervention should be expedited. In our case, the normal SPECT myocardial perfusion study was reassuring, excluding a significant coronary compression during stress and suggests that the anomaly in our patient is a benign incidental finding.


Conclusion

In the present case, computed tomography angiography (CTA) identified a rare coronary anomaly and excluded the presence of obstructive atherosclerotic coronary artery disease substantiating its role as a powerful non- invasive imaging modality in the assessment of coronary arteries. Combining the functional data from nuclear stress test with anatomical data from cardiac CT scan excluded the presence of ischemia in the myocardial regions supplied by the anomalous coronary artery.

Keywords: Anomalous left coronary artery, Coronary artery anomalies, Left main coronary artery from the non-coronary sinus (LCANCS)


References
  1. Yamanaka O, Hobbs RE. Coronary artery anomalies in 126,595 patients undergoing coronary arteriography. Cathet Cardiovasc Diagn 1990 Sep;21(1):28–40.   [CrossRef]   [Pubmed]    Back to citation no. 1
  2. Erol C, Seker M. Coronary artery anomalies: the prevalence of origination, course, and termination anomalies of coronary arteries detected by 64-detector computed tomography coronary angiography. J Comput Assist Tomogr 2011 Sep-Oct;35(5):618–24.   [CrossRef]   [Pubmed]    Back to citation no. 2
  3. Nishiyama M, Doi S, Matsumoto A, et al. Exercise-induced myocardial ischemia in a case of anomalous origin of the left main coronary artery from the noncoronary sinus of valsalva. Pediatr Cardiol 2011 Oct;32(7):1028–31.   [CrossRef]   [Pubmed]    Back to citation no. 3
  4. Anwar S, Brook M, Mavroudis C, Hobbs R, Lorber R. Anomalous origin of the left coronary artery from the noncoronary cusp: not a benign lesion. Pediatr Cardiol 2012 Oct;33(7):1187–9.   [CrossRef]   [Pubmed]    Back to citation no. 4
  5. Garg A, Ogilvie BC, McLeod AA. Images in cardiology. Anomalous origin of the left coronary artery from the non-coronary sinus of Valsalva. Heart 2000 Aug;84(2):136.   [Pubmed]    Back to citation no. 5
  6. Virmani R, Chun PK, Goldstein RE, Robinowitz M, McAllister HA. Acute takeoffs of the coronary arteries along the aortic wall and congenital coronary ostial valve-like ridges: association with sudden death. J Am Coll Cardiol 1984 Mar;3(3):766–71.   [CrossRef]   [Pubmed]    Back to citation no. 6
  7. Taylor AJ, Byers JP, Cheitlin MD, Virmani R. Anomalous right or left coronary artery from the contralateral coronary sinus: "high-risk" abnormalities in the initial coronary artery course and heterogeneous clinical outcomes. Am Heart J 1997 Apr;133(4):428–35.   [CrossRef]   [Pubmed]    Back to citation no. 7
[HTML Abstract]   [PDF Full Text]

Author Contributions
Razan F. Binyousef – Substantial contributions to conception and design, Acquisition of data, Analysis and interpretation of data, Drafting the article, Revising it critically for important intellectual content, Final approval of the version to be published
Fahed K. Habib – Substantial contributions to conception and design, Acquisition of data, Drafting the article, Final approval of the version to be published
Mohammed W. Althobaiti – Substantial contribution to conception and design, Acquisition of data, Analysis and interpretation of data, Drafting the article, Critical revision of the article, Final approval of the version to be published
Guarantor of submission
The corresponding author is the guarantor of submission.
Source of support
None
Conflict of interest
Authors declare no conflict of interest.
Copyright
© 2016 Razan F. Binyousef et al. This article is distributed under the terms of Creative Commons Attribution License which permits unrestricted use, distribution and reproduction in any medium provided the original author(s) and original publisher are properly credited. Please see the copyright policy on the journal website for more information.