International Journal of Case Reports and Images (IJCRI)


Volume 6; Number 10 (Ocotber 2015)

Cover Figure

cover figure

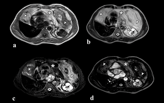
(a) Axial MRI T1W scan, (b) T2W scan, (c) Fat suppressed T2W and (d) BTFE images at the level of ventricles showing heterogeneous mass with solid component (arrow head), fat (*), cystic area (solid arrow) and nodular calcification (open arrow), occupying anterior half of right hemithorax and complete left hemithorax with pericardial invasion. (Page 623)

Go Back to Table of Contents