![]() |
|
![]() |
|
Case Report
| ||||||
| Neglected case of hydrocephalus in a five-year-old child | ||||||
| Moataz Hesham Abdelreheem1, Marwa Mohammed Basyouni1 | ||||||
|
1House Officer, Faculty of Medicine, Alexandria University, Alexandria, Egypt.
| ||||||
| ||||||
|
[HTML Abstract]
[PDF Full Text]
[Print This Article]
[Similar article in Pumed] [Similar article in Google Scholar]
|
| How to cite this article |
| Abdelreheem MH, Basyouni MM. Neglected case of hydrocephalus in a five-year-old child. Int J Case Rep Images 2015;6(10):640–643. |
|
Abstract
|
|
Introduction:
Hydrocephalus is abnormal accumulation of cerebrospinal fluid (CSF) in the ventricles of the brain. It is of two types: Congenital and acquired.
Case Report: A child, five-year-old, presented to the emergency department with a severe neglected hydrocephalus which was not the complaint of the parents. Conclusion: Neglected hydrocephalus will leave an irreversible brain damage to the child. The best way to avoid that negligence is to spread health education in all areas with special focus in rural regions. | |
|
Keywords:
Health education, Huge ventriculomegaly, Hydrocephalus
| |
|
Introduction
| ||||||
|
The term hydrocephalus refers to a condition in which the primary characteristic is excessive accumulation of cerebrospinal fluid (CSF) in the brain due to medical conditions that block its normal flow or absorption, resulting in an abnormal widening of ventricles, which in turn creates potentially harmful pressure on the tissues of the brain. Hydrocephalus may be congenital(when a baby is born with the condition) or acquired (develops at the time of birth or at some point afterward). Congenital hydrocephalus may be of two types: communicating where the flow of CSF is blocked after it exits the ventricles. This form is called communicating because the CSF can still flow between the ventricles, which remain open. Or non-communicating (also called "obstructive" hydrocephalus) occurs when the flow of CSF is blocked along one or more of the narrow passages connecting the ventricles [1]. Anomalies of ventricular flow system would produce hydrocephalus directly. The most common abnormality of ventricular flow is atresia of the aqueduct of Sylvius [2]. Being the narrowest part of the cerebrospinal fluid (CSF) pathway (mean cross-sectional area is 0.5 mm2 in children and 0.8 mm2 (range 0.2–1.8 mm2) in adults), the sylvian aqueduct is the most common site of intraventricular blockage of the CSF. This blocks the fluid flow system between the third and fourth ventricles causing dilatation of the lateral ventricles and the third ventricle. The infant may be born with complete atresia of the aqueduct of Sylvius or may develop full occlusion of the aqueduct over the first few days or weeks of life. There is also a genetic sex-linked recessive form of hydrocephalus secondary to atresia of the aqueduct of Sylvius. Congenital hydrocephalus may be also caused by a congenital anomaly of the brain and its bony coverage, the most common cause of which is Arnold-Chiari malformation, a structural defect in the cerebellum [3]. When the indented bony space at the lower rear of the skull is smaller than normal, the cerebellum and brain stem can be pushed downward. The resulting pressure on the cerebellum can block the flow of cerebrospinal fluid leading to hydrocephalus. Congenital hydrocephalus can also occur in babies born prematurely (before 37 weeks of the pregnancy). Some premature babies have bleeding in the brain, which can block the flow of CSF and cause hydrocephalus. Other possible causes of congenital hydrocephalus include certain health conditions such as spina bifida and arachnoid cysts(fluid filled sacs located between the brain or spinal cord and the arachnoid membrane-one of the three membranes surrounding the brain and spinal cord). Another form of hydrocephalus is identified, which does not fit exactly into the categories mentioned above and primarily affects adults: normal pressure hydrocephalus (NPH). The NPH is an abnormal increase of cerebrospinal fluid in the brain's ventricles that may result from a subarachnoid hemorrhage, head trauma, infection, tumor, or complications of surgery. However, many people develop NPH when none of these factors are present. | ||||||
|
Case Report
| ||||||
|
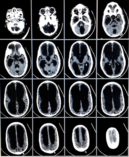
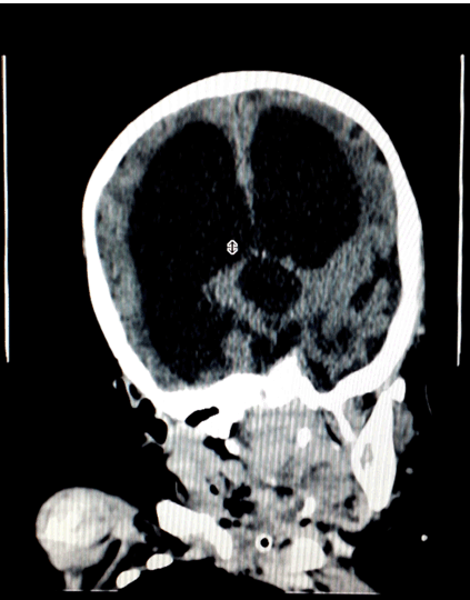
A five-year-old boy was presented to the emergency department with his parents with a history of falling from height. They lived in a rural area near Alexandria city. The father works as a farmer and the mother is a housewife, both of them were illiterate. The child was born term by normal labor. There was a history of an increased head size at birth, but the parents neglected this observation and they did not seek any medical advice although the head increased in size gradually over the time. Once the child was examined, a significant large head size of the child was noticed, which was not the complaint of the parents. The child was underweight (11 kg) and his height was less normal in his age group (80 cm). At the beginning the child was not alert but after a short while he gained his consciousness. There were signs of mental retardation, drowsiness, impaired speech, short attention span and impairment in physical coordination. The parents reported problems in his learning abilities. Upon examination of the head, its circumference was 66 cm. The scalp skin was shiny with apparent veins. Eye examination showed (setting sun sign). Computed tomography (CT) scan of brain revealed enlarged frontal and posterior horns of the lateral ventricles and enlarged third and fourth ventricles. Such bilateral huge ventriculomegaly is accompanied by severe brain parenchymal loss as illustrated (Figure 1) and (Figure 2). It was noticed also that the enlargement of the ventricles is out of proportion with sulcal atrophy, i.e., relative normal sulcal size, which is an indication of normal intracranial pressure. The images of the patient's brain were examined concerning the trauma that the child had after falling from height. The CT scan did not show any problem that happened due to the fall or any kind of hemorrhage. The parents were assured that the trauma did not cause any problem and were informed about such neglected case of hydrocephalus and that the child will most probably have a normal life span. They were told, however, that there is no cure for such condition and the patient was booked for an appointment at the rehabilitation center which will help the child to cope with the activities of the daily living and improve his cognitive function. The child was discharged without any surgical intervention after a full system examination which cleared the child. Moreover, we told the parents that they must attend a follow-up visit every six months with the neurology department in the hospital so that the child's symptoms are monitored. | ||||||
|
| ||||||
| ||||||
|
Discussion
| ||||||
|
Hydrocephalus is a common pediatric neurosurgical condition. The prevalence of congenital and infantile hydrocephalus in the United States and Europe has been predicted to be 0.5 to 0.8 per 1000 live and still births [4] [5] [6]. If neglected, hydrocephalus is able to produce a devastating complications on the child's brain, for instance as a result of compression, and this will cause a severe form of mental retardation as observed in our case. In this case, the brain tissue is severely damaged that the tissue is minimal. It is very rare that a child can reach such stage of hydrocephalus. For such reason, hydrocephalus should be screened for and diagnosed as early as possible. It can be diagnosed among inside the uterus of the mother by CT scans and ultrasonography. Later in life, hydrocephalus is diagnosed through clinical neurological evaluation and by using cranial imaging techniques such as ultrasonography, CT scan, MRI scan, or pressure-monitoring techniques. This case report raises two important questions. Is the health education in the rural areas sufficient enough? Such case of neglected hydrocephalus reflects poor health education among people living in the countryside and their unawareness of the importance of the follow-up and seeking medical advice as early as possible. Secondly, will the traditional surgical shunt treatment of hydrocephalus be beneficial here? Those who survive without treatment have different amounts of irreversible intellectual, physical, and neurological disabilities. | ||||||
|
Conclusion
| ||||||
|
To sum up, hydrocephalus can leave a child with a permanent irreversible damage. In order to prevent that from happening, the head of an infant or child should be protected from injury, Prompt treatment of infections and other disorders associated with hydrocephalus, and most important, improve the level of health education especially in rural areas. | ||||||
|
References
| ||||||
| ||||||
|
[HTML Abstract]
[PDF Full Text]
|
|
Author Contributions
Moataz Hesham Abdelreheem – Substantial contributions to conception and design, Analysis and interpretation of data, Drafting the article, Revising it critically for important intellectual content, Final approval of the version to be published Marwa Mohammed Basyouni – Substantial contributions to conception and design, Acquisition of data, Drafting the article, Revising it critically for important intellectual content, Final approval of the version to be published |
|
Guarantor of submission
The corresponding author is the guarantor of submission. |
|
Source of support
None |
|
Conflict of interest
Authors declare no conflict of interest. |
|
Copyright
© 2015 Moataz Hesham Abdelreheem et al. This article is distributed under the terms of Creative Commons Attribution License which permits unrestricted use, distribution and reproduction in any medium provided the original author(s) and original publisher are properly credited. Please see the copyright policy on the journal website for more information. |
|
|