Case Report
 
Giant Pleomorphic liposarcoma of anterior mediastinum: A rare tumor at a rare site with atypical imaging features
Dandina Mahesh1, Chamarthi Madhavi1, Jaideep Kumar Trivedi2, Vasamsetti Bhushan Rao3, Raghava Kashyap4, Malla Uma Maheswararao5
1MBBS, MD, Department of Radiodiagnosis, Maharajah's Institute of Medical Sciences, Vizianagaram, Andhra Pradesh, India.
2MBBS, MS, Mch, Department of Cardiothoracic Surgery, Queens NRI Hospital, Visakhapatnam, Andhra Pradesh, India.
3MBBS, MD, Department of Pathology, Maharajah's Institute of Medical Sciences, Vizianagaram, Andhra Pradesh, India.
4MBBS, MD, Department of Nuclear Medicine and PET, Mahatma Gandhi Cancer Hospital and Research Institute, Visakhapatnam, Andhra Pradesh, India.
5MBBS, DMRD,DNB, Department of Radiodiagnosis,Andhramedical college, Visakhapatnam, Andhra Pradesh, India.

doi:10.5348/ijcri-2015101-CR-10562

Address correspondence to:
Dr. Dandina Mahesh
Department of Radiodiagnosis
Maharajah's Institute of Medical Sciences, Vizianagaram
Andhra Pradesh 535217
India
Phone: 09177015555

Access full text article on other devices

  Access PDF of article on other devices

[HTML Abstract]   [PDF Full Text] [Print This Article]
[Similar article in Pumed] [Similar article in Google Scholar]


How to cite this article
Mahesh D, Madhavi C, Trivedi JK, Maheswararao MU, Rao VB, Kashyap R. Giant pleomorphic liposarcoma of anterior mediastinum: A rare tumor at a rare site with atypical imaging features. Int J Case Rep Images 2015;6(10):622–626.


Abstract
Introduction: Liposarcomas in the mediastinum are very rare, with a reported incidence of less than 1% of all mediastinal tumors. Pleomorphic liposarcoma is the least frequent but most malignant histological subtype of liposarcoma, which has classical imaging features described in literature.
Case Report: We report a rare case of mediastinal pleomorphic liposarcoma in an adult patient, presenting with atypical imaging features.
Conclusion: The pathological and imaging features of various subtypes of liposarcoma are reviewed.

Keywords: Liposarcoma, Mediastinal tumors, Pleomorphic


Introduction

Liposarcomas are malignant adiopocytic tumors of mesenchymal origin. They are the second most common type of soft tissue sarcomas after malignant fibrous histiocytoma, and constitute 15–20% cases of all soft tissue sarcomas which are commonly seen in extremities and in retroperitoneum. They are very rarely located in mediastinum, accounting for only less than 1% of all mediastinal tumors, the occurrence of pleomorphic variety of liposarcoma being even rarer. To the best of our knowledge, approximately 200 cases of liposarcomas are reported in mediastinum, in which only 20 to 25 cases categorized as pleomorphic variety. We report a case of giant Pleomorphic liposarcoma in anterior mediastinum extending into hemithorax on both the sides in an adult patient.


Case Report

A 39-year-old male patient came to the outpatient department of Pulmonary Medicine, with chest discomfort and mild breathlessness of three months duration. There are no other cardiorespiratory symptoms like cough, fever, chest pain, palpitation or pedal edema.

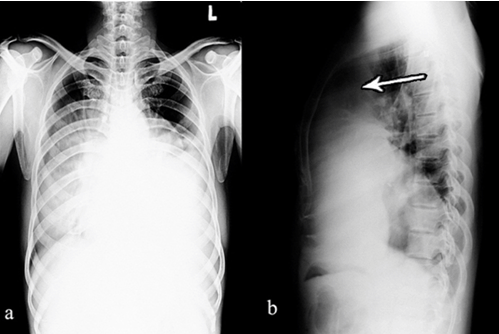
The radiograph of chest showed large ill defined radiodense opacity, centered at mediastinum and extending into hemithorax on both sides (Figure 1a). On lateral radiograph, there is obliteration of retrosternal clear space indicating the anterior mediastinal location of mass lesion (Figure 1b).

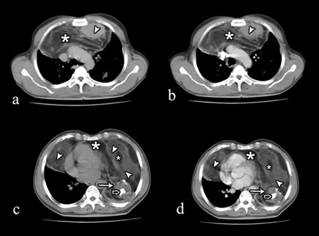
Plain and contrast computed tomography (CT) scan of chest showed a large heterogeneous mass in anterior mediastinum (Figure 2a). The mass lesion was seen extending into anterior half of right hemithorax, from apex to diaphragm with partial collapse of right lung (Figure 2c). On left side, the mass is occupying most of the hemithorax, causing collapse of lower lobe and lingular segments of left lung (Figure 2c).

The mass showed predominantly fatty component with interspersed soft tissue component and few cystic areas and a dense nodular calcifications (Figure 2c). There is mild heterogeneous enhancement of the soft tissue component on IV contrast administration (Figure 2b, 2d).

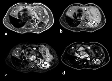
The MRI scan confirmed the same findings and clearly depicted the fatty, soft tissue and cystic components (Figure 3). Encasement of the vessels was seen. There was pericardial invasion on left side.

Preoperative CT scan guided biopsy was done from the soft tissue component, which was not conclusive. Surgical exploration was done by mid sternotomy and the mass was excised. Partial pericardectomy was done. The mass adherent to the left chest wall was released and left lung was inflated. The total dimensions of the mass measured 34x26x17 cm, weighing 4.2 kg (Figure 4). The patient was given adjuvant chemotherapy.

Pathological examination of the surgical specimen showed mature adipose tissue with multivacuolated lipoblast and spindle shaped cells arranged in fascicular pattern with multinucleated histoid giant cells (Figure 5). These findings are consistent with pleomorphic liposarcoma.


Cursor on image to zoom/Click text to open image
Figure 1: (a) Posteroanterior radiograph of chest showing large ill defined opacity involving mediastinum, extending into hemithorax on both sides, (b) Lateral radiograph of chest showing radiodense opacity filling the retrosternal space (arrow).



Cursor on image to zoom/Click text to open image
Figure 2: Axial computer tomography scan images of chest (a) plain and (b) contrast at the level of arch of aorta showing heterogeneous mass with fat (*) and soft tissue (arrow head) attenuation in anterior mediastinum with mild enhancement of solid component on contrast administration. Axial CT images of chest (c) plain and (d) contrast at the level of ventricles: showing heterogeneous mass with solid component (arrow head), fat (*), cystic areas (solid arrow) and nodular calcification (open arrow), occupying anterior half of right hemithorax and complete left hemithorax.



Cursor on image to zoom/Click text to open image
Figure 3: (a) Axial MRI T1W scan, (b) T2W scan, (c) Fat suppressed T2W and (d) BTFE images at the level of ventricles showing heterogeneous mass with solid component (arrow head), fat (*), cystic area (solid arrow) and nodular calcification (open arrow), occupying anterior half of right hemithorax and complete left hemithorax with pericardial invasion.



Cursor on image to zoom/Click text to open image
Figure 4: Intraoperative photograph showing large soft tissue mass interposed with adipose tissue (arrow); left side of the mass (L), right side of the mass (R) and mediastinal component (M).



Cursor on image to zoom/Click text to open image
Figure 5: (a) Gross specimen showing adipose tissue, (b) Vacuolated pleomorphic lipoblast in tumor, (c) Pleomorphic round cells in tumor, and (d) MFH like area in pleomorphic liposarcoma.



Discussion

Liposarcomas are malignant mesenchymal neoplasm which usually occur in adults during 5th to 6th decade, Well differentiated type is the most common. Liposarcomas are rare in children. Few cases are reported in literature [1] [2]. The most common variant in children is myxoid type [1]. Liposarcomas are classified by WHO in 2002, based on histological appearance into five sub groups (1) well differentiated, (2) dedifferentiated, (3) myxoid, (4) pleomorphic, and (5) mixed.

Clinically, patients are asymptomatic in initial stages, as the tumor grows in size, it results in nonspecific chest pain and breathlessness. Symptoms related to compression or invasion of adjacent organs may occur.

Chest radiography usually shows mediastinal widening or mass lesion. The findings of cross-sectional imaging depend on the histological type of liposarcoma.

Well differentiated liposarcoma is the least malignant variety of all liposarcomas, not usually associated with metastasis, and predominantly fat containing mass, constitutes more than 75% of tumor volume. The non fatty component is generally visualized as thick soft tissue with septations of more than 2 mm width, with occasional nodularity and calcifications. Well differentiated liposarcoma is also called atypical lipomatous tumor when it is superficial in location [3].

Dedifferentiated liposarcoma is a biomorphic neoplasm in which foci of high grade sarcoma arise within the well differentiated liposarcoma. So, it shares most of the imaging appearance of well differentiated liposarcoma, except that it displays a non-lipomatous component of at least 1 cm size, indicating the focus of dedifferentiation with a density similar to that of skeletal muscle. On contrast enhanced MRI scan, areas of dedifferentiation show heterogeneous or nodular enhancement, whereas the fat necrosis shows thin peripheral enhancement. Dedifferentiated liposarcoma is commonly located in retroperitoneum, mediastinum and inguinal regions, but uncommon in extremities [4].

Myxoid variety of liposarcoma shows predominantly gelatinous mass constituting fat less than 10% of tumor volume. The lesion may simulate a cyst on both CT and MRI scan, whereas ultrasonography is more useful in depicting the hypoechoic solid nature of tumor. The fatty component is seen as septations or small solid nodules within the lesion. The MRI scan is more sensitive in demonstrating the lipomatous component, with fat suppressed images being even more helpful. Extra-pulmonary metastases are more common in myxoid liposarcoma [5].

Pleomorphic liposarcoma is the most malignant variety, which has highest rate of recurrence and metastases [6]. It is seen as relatively well defined heterogeneous soft tissue mass with occasional areas of necrosis and hemorrhages. Being the most aggressive type of liposarcoma, it has the least amount of adipose tissue, when compared to other types of liposarcoma [4]. Due to relatively low quantity of adipose tissue, this tumor poses a difficulty in diagnosis on imaging and histopathology. Again MRI scan plays a major role in the detection of this minimal fatty component. Taking adequate tissue samples from both adipose and non adipose tissues is the key to accurate histopathological diagnosis [5].

Based on imaging manifestations of all these subtypes of liposarcoma, the unique feature to help in the diagnosis of all liposarcomas is the presence of fat. But the differentiation into subtypes depends on relative proportions and appearance of different constituents of the tumor. The other differentials of fat containing mediastinal masses are teratoma, thymolipoma, lipoma and pericardial fat pad.

In contrast to the classical imaging description of pleomorphic liposarcoma, the present case showed large amount of fatty tissue along with soft tissue component on both CT scan and MRI scan, and few cystic areas with dense nodular calcification. Mediastinal teratoma can be considered as a close differential diagnosis in present case, as it contains lipomatous, soft tissue, cystic components and calcifications.

Imaging plays a major role in determining the extent of tumor, involvement of adjacent organs, the evaluation of metastases and is of utmost help in guiding the biopsy, to collect tissue from both lipomatous and non-lipomatous components, which is important for accurate pathological diagnosis and planning of management.

Treatment and prognosis of liposarcomas mainly depend on histological grading, the anatomical location and extent of tumor. Complete surgical removal is the main stay of treatment for liposarcomas. For deep-seated lesions where complete surgical removal is not possible, surgery combined with radiotherapy will reduce local recurrence [7]. Chemotherapy may be added as adjuvant to surgical excision in histologically aggressive tumor subtypes like pleomorphic liposarcoma, which helps improve the survival rate [8]. In present case after surgery patient underwent six cycles of chemotherapy with doxorubicin and ifosfamide and no recurrence was found in six months follow-up.

Usually, well differentiated liposarcomas have good prognosis with no metastatic potential. Myxoid liposarcomas prognosis depends on round cell component in the tumor. In pleomorphic liposarcoma, recurrence and metastases are more common with a five-year survival rate of 40–50% [7].


Conclusion

Mediastinal liposarcomas constitute a very rare variety of mediastinal tumors. They have a wide spectrum of imaging manifestations depending on the histological subtype. However, presence of a lipomatous component is the most important clue for the diagnosis. Our case discusses an atypical presentation of pleomorphic liposarcoma, which showed a large fatty component on imaging. This emphasizes the need of image guided biopsy and careful pathological examination of both lipomatous and non lipomatous components of tumor for proper pre-operative diagnosis.


References
  1. Alaggio R, Coffin CM, Weiss SW, et al. Liposarcomas in young patients: a study of 82 cases occurring in patients younger than 22 years of age. Am J Surg Pathol 2009 May;33(5):645–58.   [CrossRef]   [Pubmed]    Back to citation no. 1
  2. Saeed M, Plett S, Kim GE, Daldrup-Link H, Courtier J. Radiological-pathological correlation of pleomorphic liposarcoma of the anterior mediastinum in a 17-year-old girl. Pediatr Radiol 2010 Dec;40 Suppl 1:S68–70.   [CrossRef]   [Pubmed]    Back to citation no. 2
  3. Fletcher CDM, Unni KK, Mertens F. Eds. Adipocytic tumors. In: WHO classification of tumors. Pathology and genetics: Tumors of soft tissue and bone. Lyon, France: IARC Press; 2002:19–46.    Back to citation no. 3
  4. Murphey MD, Arcara LK, Fanburg-Smith J. From the archives of the AFIP: imaging of musculoskeletal liposarcoma with radiologic-pathologic correlation. Radiographics 2005 Sep-Oct;25(5):1371–95.   [Pubmed]    Back to citation no. 4
  5. Pearlstone DB, Pisters PW, Bold RJ, et al. Patterns of recurrence in extremity liposarcoma: implications for staging and follow-up. Cancer 1999 Jan 1;85(1):85–92.   [CrossRef]   [Pubmed]    Back to citation no. 5
  6. Downes KA, Goldblum JR, Montgomery EA, Fisher C. Pleomorphic liposarcoma: a clinicopathologic analysis of 19 cases. Mod Pathol 2001 Mar;14(3):179–84.   [CrossRef]   [Pubmed]    Back to citation no. 6
  7. Oliveira AM, Nascimento AG. Pleomorphic liposarcoma. Semin Diagn Pathol 2001 Nov;18(4):274–85.   [Pubmed]    Back to citation no. 7
  8. Eilber FC, Eilber FR, Eckardt J, et al. The impact of chemotherapy on the survival of patients with high-grade primary extremity liposarcoma. Ann Surg 2004 Oct;240(4):686–95; discussion 695–7.   [CrossRef]   [Pubmed]    Back to citation no. 8

[HTML Abstract]   [PDF Full Text]

Author Contributions
Dandina Mahesh – Substantial contributions to conception and design, Acquisition of data, Analysis and interpretation of data, Drafting the article, Final approval of the version to be published
Chamarthi Madhavi – Substantial contributions to conception and design, Analysis and interpretation of data, Drafting the article, Final approval of the version to be published
Jaideep Kumar Trivedi – Acquisition of data, Analysis and interpretation of data, Revising it critically for important intellectual content, Final approval of the version to be published
Malla Uma Maheswararao – Acquisition of data, Analysis and interpretation of data, Revising it critically for important intellectual content, Final approval of the version to be published
Vasamsetti Bhushan Rao – Acquisition of data, Analysis and interpretation of data, Revising it critically for important intellectual content, Final approval of the version to be published
Raghava Kashyap – Substantial contributions to conception and design, Analysis and interpretation of data, Drafting the article, Final approval of the version to be published
Guarantor of submission
The corresponding author is the guarantor of submission.
Source of support
None
Conflict of interest
Authors declare no conflict of interest.
Copyright
© 2015 Dandina Mahesh et al. This article is distributed under the terms of Creative Commons Attribution License which permits unrestricted use, distribution and reproduction in any medium provided the original author(s) and original publisher are properly credited. Please see the copyright policy on the journal website for more information.