Case Report
 
Giant solitary fibrous tumor from the lesser omentum causing a gastric outlet obstruction: A case report
Hirra Ali
MD, Montefiore Medical Center, Department of Surgery, The University Hospital for Albert Einstein College of Medicine, 182 East 210th Street, Lower Level, Bronx, NY, USA.

doi:10.5348/ijcri-201597-CR-10558

Address correspondence to:
Hirra Ali
MD, Montefiore Medical Center, Department of Surgery
The University Hospital for Albert Einstein College of Medicine
182 East 210th Street, Lower Level, Bronx, NY 10467
USA
Phone: 716-308-9327
Fax: 718-881-5074

Access full text article on other devices

  Access PDF of article on other devices

[HTML Abstract]   [PDF Full Text] [Print This Article]
[Similar article in Pumed] [Similar article in Google Scholar]


How to cite this article
Ali H. Giant solitary fibrous tumor from the lesser omentum causing a gastric outlet obstruction: A case report. Int J Case Rep Images 2015;6(10):606–609.


Abstract
Introduction: Solitary fibrous tumors (SFTs) are exceedingly rare tumors arising from the submesothelial mesenchymal layer.
Case Report: A case of a 60-year-old male with paranoid schizophrenia presented with acute gastric obstruction secondary to a large, obstructive, mobile mass. Surgical exploration revealed a 17x15x10.5 cm extraluminal, pedunculated mass originating from the lesser omentum extrinsically compressing the gastric antrum and duodenum. The mass was surgically resected with immediate relief of patient symptoms. Pathology revealed a spindle cell sarcoma with a high mitotic index. Immunohistochemical analysis was positive for CD34 and a newly elucidated nuclear marker that is sensitive and specific for SFT, STAT 6, was used to confirm the diagnosis of SFT.
Conclusion: To our knowledge, this is the largest described solitary fibrous tumor arising from the lesser omentum.

Keywords: Gastric outlet obstruction, Mesenchymal layer, Solitary fibrous tumor


Introduction

Solitary fibrous tumors (SFTs) are rare and typically benign entities of mesenchymal origin accounting for less than 2% of all soft tissue tumors. They present as a slow growing mass in middle-aged adults in equal distribution amongst men and women. While they most commonly occur in the thorax, SFTs have been described in the extremities, head and neck, retroperitoneum, pelvis and peritoneum [1] [2] [3]. The infrequent presentation in the peritoneum and similarity to other soft tissue tumors makes the diagnosis difficult. We describe the case of a patient with paranoid schizophrenia presenting with acute gastric outlet obstruction secondary to a giant malignant SFT [4].


Case Report

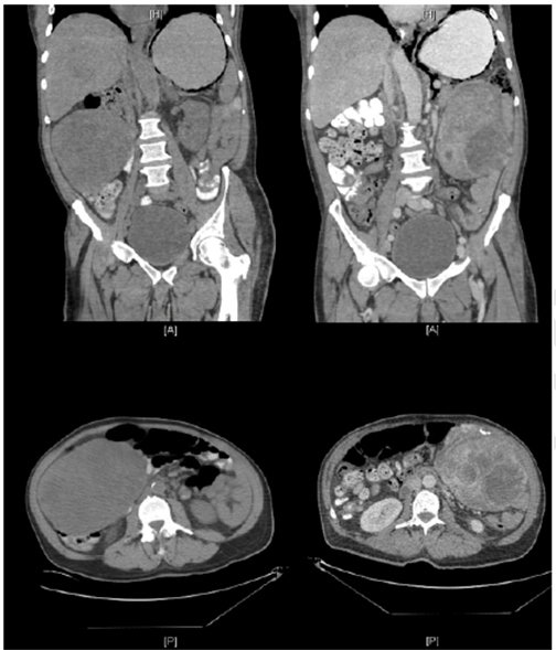
A 60-year-old male with disabling paranoid schizophrenia was sent from his group home to the emergency room after an unwitnessed fall and sustaining a left tibial-fibula comminuted fracture. The patient was admitted to the hospital for medical optimization of his poorly controlled diabetes and hypertension in anticipation of surgical repair. However prior to any intervention, he developed an acute onset of non-bilious emesis and abdominal distention. The patient reported previous such episodes which resolved without any intervention. He denied any abdominal surgery, family history was unknown and his recent screening colonoscopy was normal. On exam, his abdomen was soft, markedly distended but there was no evidence of peritonitis. He was afebrile and hemodynamically stable. His laboratory values were all within normal limits, without evidence of a leukocytosis or acidosis. A bedside abdominal X-ray showed a distended stomach with a paucity of gas in the small bowel and large fecal burden in the colon (Figure 1). In the absence of any previous abdominal surgery, a computed tomography (CT) scan with only oral contrast was obtained. It revealed a 17-cm pedunculated mass compressing the gastric antrum causing marked dilation, however, there was no evidence of pneumatosis. A nasogastric tube was placed for decompression, and the patient obtained a CT scan with oral and intravenous contrast to ascertain the etiology of this mass. This subsequent CT scan revealed the known heterogeneously enhancing solid mass with eccentric calcification with pedicle inseparable from the duodenum/gastric pylorus. However, there was an interval migration of the mass from the right abdomen to the left with possible twisting on the mesentery (Figure 2). There was new gastric pneumatosis as well as new portal venous gas. The decision was made to emergently take the patient to the operating room for an exploratory laparotomy. In the operating room, a midline incision was made to enter the peritoneal cavity and immediately a large well circumscribed mass was visualized in the left lower quadrant. The mass was pedunculated and the broad base originated from the inferior aspect of the liver arising from the lesser omentum. This mobile base draped over the gastric antrum and first part of the duodenum causing the mechanical gastric outlet obstruction (Figure 3). On further exploration, there was no evidence of ascites, lymphadenopathy, or any distal metastasis. The anterior and posterior serosal surfaces of the stomach were carefully inspected and showed no signs of ischemia. The pedicle was suture ligated and divided at the origin and the specimen freely delivered from surrounding structures. This was sent to a regional tertiary referral oncology pathology unit. On gross report the tumor measured 17x15x10.5 cm and weighed 1.5 kg. It was described as having a rubbery to fleshy cut surface and focal cystic areas (Figure 4). Microscopically, the findings were that of a spindle cell sarcoma with large areas of necrosis as well as increased mitotic activity 8-10 MF/10 HPFs. Although the tumor was mostly composed of a monotonous proliferation of spindle cells separated by a prominent fibrous and sclerotic stroma, there were scattered pleomorphic cells throughout. The immunohistochemical stains show the tumor was diffusely positive for CD34, while negative for CD 117, S100, smooth muscle actin (SMA), CD31 and Factor VIII. Based on the clinical presentation, histologic appearance of a spindle cell lesion associated with abundant collagenous stroma and CD34 reactivity, one possibility included a malignant solitary fibrous tumor. In order to confirm this diagnosis further immunostaining for a recurrent gene fusion NAB2-STAT6 was found to be positive, confirming the diagnosis of SFT. The patient was observed and his postoperative course was uneventful. His NGT removed on postoperative day-1. The patient was discharged after he tolerated a regular diet with return of normal bowel function on postoperative day-2. On immediate postoperative and a three-month follow-up visits, he has been without any recurrence of symptoms.


Cursor on image to zoom/Click text to open image
Figure 1: Abdominal X-ray showing markedly dilated stomach.



Cursor on image to zoom/Click text to open image
Figure 2: Computed tomography scan within 24 hours of each other depicting movement of obstructing mass from right abdomen to left.



Cursor on image to zoom/Click text to open image
Figure 3: Large pedunculated mass from lesser omentum with surgeon finger placed posterior to stalk and anterior to pylorus at point of obstruction.



Cursor on image to zoom/Click text to open image
Figure 4: Gross pathology.



Discussion

Solitary fibrous tumors are exceedingly rare mesenchymal tumors. While originally described as tumors of the pleural cavity, extrapleural SFTs are now more common than pleural lesions [1] [2] [3]. This case of extrapleural SFT is unique not only in the location, size and presentation, but also in the new technology used to confirm diagnosis of SFT. These tumors can occur anywhere in the body, therefore, the clinical manifestations depend not only the site but also the size of the tumor. In 2012, Zong et al. reported that only five cases of SFT arising from the omentum have been described in literature [5]. Tumors larger than 10 cm are referred to as giant. Kudva et al. reported only 25 cases of giant SFTs in literature and only eight of these found in extrapleural sites, making our case unique in location, presentation and size [6]. Given our patient's psychiatric history and limited functional status, it is fortuitous his tumor was diagnosed while in the hospital for unrelated reasons. He endorses a history of chronic intermittent and self resolving obstructive symptoms, likely due the mobile pedunculated mass visualized on CT scan moving from right to left as visualized on CT scan obtained within 24 hours of each other. On CT scan, SFT typically appear as a smooth, well-defined mass with occasional calcifications. While they are hypervascular, there may be areas of non-enhancement corresponding to a cyst or necrosis [7] [8]. This was the case in our patient and the mass was initially believed to be a gastrointestinal stromal tumor (GIST), the most common mesenchymal neoplasm in the gastrointestinal tract. Given the nonspecific radiographic characteristics, diagnosis is often made upon surgical resection. Microscopically, the tumor is composed of spindle cells with a patternless architecture composed of hyalinized collagen separating areas of hyper- and hypocellularity. Immunohistochemistry is the only way to confirm a diagnosis of SFT [9]. Our patient was positive for CD 34 reactivity, as is the case in 95% of SFT. However, two-thirds of GIST will also express CD 34 and nearly all express CD 117. The SFTs characteristically are negative for desmin, keratin, S100, CD 117, CD 31, as in our case. Therefore, the diagnosis of GIST was less likely given the negative stain for CD 117 [10]. A newly discovered immunohistochemical stain for nuclear STAT6, a surrogate for the NAB2-STAT6 gene fusion found in SFT, was positive and confirmed the diagnosis [4]. Most SFTs are benign but approximately 20% are described as malignant. The World Health Organization classification of soft tissue tumors describes malignant SFTs as having features including hypercellularity, at least focal moderate to marked cellular atypia, tumor necrosis, >4 mitoses/10 high-power fields, and infiltrative margins. However, there is not a clear consensus on what this prognosticates as histology is not a reliable indicator of the tumors course [1] [2] [3].

In a recent review of extrapleural SFT, 55% had malignant features as described above which corresponded to a 33% rate of recurrence and 38% rate of metastasis [11]. Our patient had a giant tumor with three of the four malignant features defined by the WHO classifications, making him high risk for recurrence and metastasis. As such while surgical resection is the gold standard of treatment for SFT, annual long-term surveillance is of the utmost importance to determine recurrence, metastasis and ultimately malignant potential [12].


Conclusion

We describe our experience with a solitary fibrous tumor, a rare tumor presenting in a novel manner causing a gastric outlet obstruction. It is our hope that this contributes to the developing fund of knowledge on the ever enigmatic extrapleural solitary fibrous tumor.


References
  1. Guillou L, Fletcher JA, Fletcher CDM. Extrapleural solitary fibrous tumour and haemangiopericytoma. In: WHO classification of tumors Pathology and Genetics, Tumor of Soft Tissue and Bone. Lyon: IARC Press; 2002:86–90.    Back to citation no. 1
  2. Gengler C, Guillou L. Solitary fibrous tumour and haemangiopericytoma: evolution of a concept. Histopathology 2006 Jan;48(1):63–74.   [CrossRef]   [Pubmed]    Back to citation no. 2
  3. Huang HY, Sung MT, Eng HL, et al. Solitary fibrous tumor of the abdominal wall: a report of two cases immunohistochemical, flow cytometric, and ultrastructural studies and literature review. APMIS 2002 Mar;110(3):253–62.   [CrossRef]   [Pubmed]    Back to citation no. 3
  4. Doyle LA, Vivero M, Fletcher CD, Mertens F, Hornick JL. Nuclear expression of STAT6 distinguishes solitary fibrous tumor from histologic mimics. Mod Pathol 2014 Mar;27(3):390–5.   [CrossRef]   [Pubmed]    Back to citation no. 4
  5. Zong L, Chen P, Wang GY, Zhu QS. et al. Giant solitary fibrous tumor arising from greater omentum. World J Gastroenterol 2012 Nov 28;18(44):6515–20.   [CrossRef]   [Pubmed]    Back to citation no. 5
  6. Kudva R, Monappa V, Rao A. Giant solitary fibrous tumor of the mesentery: a rare case. J Cancer Res Ther 2011 Jul-Sep;7(3):376–8.   [CrossRef]   [Pubmed]    Back to citation no. 6
  7. Park SH, Kim MJ, Kwon J, et al. Solitary fibrous tumor arising from stomach: CT findings. Yonsei Med J 2007 Dec 31;48(6):1056–60.   [CrossRef]   [Pubmed]    Back to citation no. 7
  8. Shanbhogue AK, Prasad SR, Takahashi N, Vikram R, Zaheer A, Sandrasegaran K. Somatic and visceral solitary fibrous tumors in the abdomen and pelvis: cross-sectional imaging spectrum. Radiographics 2011 Mar-Apr;31(2):393–408.   [CrossRef]   [Pubmed]    Back to citation no. 8
  9. Vogels RJ, Vlenterie M, Versleijen-Jonkers YM, et al. Solitary fibrous tumor - clinicopathologic, immunohistochemical and molecular analysis of 28 cases. Diagn Pathol 2014 Nov 29;9:224.   [CrossRef]   [Pubmed]    Back to citation no. 9
  10. Bishop JA, Rekhtman N, Chun J, Wakely PE Jr, Ali SZ. Malignant solitary fibrous tumor: cytopathologic findings and differential diagnosis. Cancer Cytopathol 2010 Apr 25;118(2):83–9.   [CrossRef]   [Pubmed]    Back to citation no. 10
  11. Cranshaw IM, Gikas PD, Fisher C, Thway K, Thomas JM, Hayes AJ. Clinical outcomes of extra-thoracic solitary fibrous tumours. Eur J Surg Oncol 2009 Sep;35(9):994–8.   [CrossRef]   [Pubmed]    Back to citation no. 11
  12. Tanaka M, Sawai H, Okada Y, et al. Malignant solitary fibrous tumor originating from the peritoneum and review of the literature. Med Sci Monit 2006 Oct;12(10):CS95–8.   [Pubmed]    Back to citation no. 12

[HTML Abstract]   [PDF Full Text]

Author Contributions
Hirra Ali – Substantial contributions to conception and design, Acquisition of data, Analysis and interpretation of data, Drafting the article, Revising it critically for important intellectual content, Final approval of the version to be published
Guarantor of submission
The corresponding author is the guarantor of submission.
Source of support
None
Conflict of interest
Authors declare no conflict of interest.
Copyright
© 2015 Hirra Ali. This article is distributed under the terms of Creative Commons Attribution License which permits unrestricted use, distribution and reproduction in any medium provided the original author(s) and original publisher are properly credited. Please see the copyright policy on the journal website for more information.