Clinical Image
 
Biphasic T-wave in patient with chest pain (Wellens' syndrome)
Ahmed Zedan1, Osama Mukarram1, Umer Malik1, Raja Naidu2
1MD, Resident, Department ofInternal Medicine, Texas Tech University Health Since Center, Odessa, Texas, USA.
2MD, Attending, Department ofInternal Medicine, Texas Tech University Health Since Center, Odessa, Texas, USA.

doi:10.5348/ijcri-201532-CL-10087

Address correspondence to:
Ahmed Zedan
MD, Department of Internal Medicine, Texas Tech University Health Science Center
800 W 4th St,Odessa, TX 79763
USA
Phone: (432) 335-2222

Access full text article on other devices

  Access PDF of article on other devices

[HTML Abstract]   [PDF Full Text] [Print This Article]
[Similar article in Pumed] [Similar article in Google Scholar]


How to cite this article
Zedan A, Mukarram O, Malik U, Naidu R. Biphasic T-wave in patient with chest pain (Wellens' syndrome). Int J Case Rep Images 2015;6(10):655–657.


Case Report

A 65-year-old Hispanic male with no prior medical history came to the emergency room for a new onset intermittent chest pain of 1 day in duration while working in his garage. The pain was described as chest tightness, mainly retrosternal, radiating to the left shoulder, associated with nausea and shortness of breath with no vomiting or diaphoresis.

The patient denied any prior history of chest pain, orthopnea or paroxysmal nocturnal dyspnea. His last episode of chest was 1 hour prior to his arrival to the emergency room. The patient used to smoke about 1 pack a day for more than 15 years.

Physical examination showed average built male in no distress, blood pressure of 135/80, pulse of 80 beat per minute, respiratory rate of 16, temperature of 98.8°C and sating 97% on room air. Cardiovascular examination was normal, as well as the remainder of the physical examination. On chest X-ray there was no cardiomegaly, infiltrates, or other abnormality. Initial EKG done in the emergency room while being pain free showed normal sinus rhythm, normal axis, narrow QRS, no Q-waves and isoelectric ST-segment. Initial laboratory work showed troponin of 0.09 (laboratory cut off 0.08) other laboratory examinations work were within normal including the lipid profile.

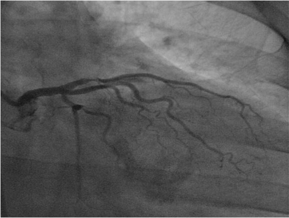
Patient was admitted for serial EKG and troponin follow-up, he was pain free during his hospital stay, and in one of the next EKG about 8 hours after admission biphasic T-waves in V1-V6 was seen (Figure 1) with minimal elevation in the troponin level to 0.10. The patient was taken for cardiac catheterization for further evaluation in light of these changes. Cardiac catheterization showed 99% occlusion of LAD (Figure 2), with grossly patent right coronary artery. He subsequently underwent balloon angioplasty and a drug-eluting stent placement in the proximal portion of the LAD. A follow-up left ventriculogram showed anterior apical wall hypokinesis with left ventricular ejection fraction (LVEF) of 45%.The patient continued to improve clinically and did not have any further episodes of chest pain or any shortness of breath during his hospital course. His follow-up EKG showed resolution of electrical changes from before. He was discharged a day later on aspirin, prasugrel, metoprolol and atorvastatin.


Cursor on image to zoom/Click text to open image
Figure 1: Electrocardiography performed eight hours after admission, showing biphasic T-wave inversion in leads V1–V6 (typical of type 1 Wellens' syndrome).



Cursor on image to zoom/Click text to open image
Figure 2: Coronary angiography performed next days after admission, showing a critical stenosis in the proximal part of the left anterior descending coronary artery.


Discussion

Wellens' syndrome is electrocardiographic (ECG) changes in the precordial T-wave segment, which are associated with critical stenosis of the proximal left anterior descending (LAD) coronary artery. Electrocardiogram (EKG) is considered the key and gold standard investigation to diagnose acute coronary syndromes [1] [2][3], at the same time it is important for predicting the site of the coronary stenosis. Based on this fact some patients admitted with unstable angina can be recognized as high risk considering the pattern of clinical findings and EKG changes associated with significant stenosis of the proximal (LAD) or as known as Wellens' syndrome.

Wellens' syndrome was first described in the early 1980s by de Zwaan et al. who identified a subset of patients with unstable angina with specific precordial T-wave changes and subsequently developed a large anterior wall myocardial infarction [4]. Wellens' syndrome is a characteristic EKG findings described as classical T-wave changes in the precordial leads in pain free patient with history of intermittent chest pain [5]. These EKG changes in the absence of pathologic Q waves are predictive of a critical proximal LAD stenosis [2]. These EKG changes represent a re-perfusion of the LAD after a sudden occlusion causing a transient anterior ST elevation myocardial infarction (STEMI) that was unable to be captured on an EKG tracing.

Based on the EKG findings, Wellens' syndrome classified to 2 types [6], the most common is type 2 that occurs in about 75% of case with deep inversion of T-waves in V2-V3. Type 1 variant, characterized by biphasic T-waves in V2-V3 and occurs in about 25% of cases, more extensive T-wave inversion in pericardial leads can be seen with more proximal LAD lesion.

Criteria to diagnose Wellens' syndrome (Table 1) [7].

In one prospective study done in The Netherlands [8] 180 of 1,260 patients (14%) admitted to the hospital with unstable angina had the typical EKG pattern. 108 of these 180 patients (60%) had these EKG changes within the first 24 hours. All 180 patients had more than 50% stenosis of the left anterior descending artery (mean = 85% stenosis) with complete or near-complete occlusion in 59%. In Wellens' study [3], a group of 145 consecutive patients admitted for unstable angina, 26 (18%) had this EKG pattern, half on presentation and half within the next 24 hours. 75% of these patients went on to develop an anterior wall myocardial infarction despite relief of symptoms with initial medical therapy.

Though T-wave inversion is a classical sign and well-known among physicians. The Wellens' syndrome type 1 is subtle and its significance is underappreciated. In this case report, we aim to increase awareness among Physicians in training and emergency room physicians about this ominous sign as 75% of these patients will develop acute anterior wall myocardial infarctions (MIs) within days unless intervention is undertaken appropriately.

In our patient, the history and EKG findings are classic for Wellens' syndrome with EKG showing the classic biphasic T-wave (Type 1) in the precordial leads. The patient had an episode of pain with subsequent relief just before presentation in the emergency room which was consistent with a reperfusion of the myocardium. His initial elevated troponin I confirmed that he had likely suffered some degree of myocardial infarction before presentation.


Cursor on image to zoom/Click text to open image
Table1: Diagnostic criteria for Wellens' syndrome



Conclusion

It is critical for emergency room physicians and medical residents to recognize and understand the Wellens' syndrome EKG finding. Early accurate identification of this pattern and early management of these patients by invasive revascularization can prevent progression to an extensive myocardial infarction and potential sudden cardiac death. It is also important to know that these patients should not undergo any form of cardiac stress test due to the danger of sudden cardiac death.


Keywords

Biphasic T-wave, Chest pain, Cardiac death Elevated cardiac enzymes, Wellens' syndrome


References
  1. Antman EM. Selwyn AP. Braunwald E. Ischemic heart disease. In: Harrison's. Principles of internal medicine. 17th ed. Saint Louis: Mc Graw Hill; 2008.    Back to citation no. 1
  2. Smith SW, Whitwam W. Acute coronary syndromes. Emerg Med Clin North Am 2006 Feb;24(1):53–89, vi.   [CrossRef]   [Pubmed]    Back to citation no. 2
  3. Strauss BH, Green M. Electrocardiographic prediction of ejection fraction and site of LAD occlusion in anterior myocardial infarction. Clin Cardiol 1993 Mar;16(3):213–7.   [CrossRef]   [Pubmed]    Back to citation no. 3
  4. de Zwaan C, Bär FW, Wellens HJ. Characteristic electrocardiographic pattern indicating a critical stenosis high in left anterior descending coronary artery in patients admitted because of impending myocardial infarction. Am Heart J 1982 Apr;103(4 Pt 2):730–6.   [CrossRef]   [Pubmed]    Back to citation no. 4
  5. Nisbet BC, Zlupko G. Repeat Wellens' syndrome: case report of critical proximal left anterior descending artery restenosis. J Emerg Med 2010 Sep;39(3):305–8.   [CrossRef]   [Pubmed]    Back to citation no. 5
  6. Sobnosky S, Kohli R, Bleibel S. Wellens' Syndrome. Int J Cardiol 2006;3:1.    Back to citation no. 6
  7. Tandy TK, Bottomy DP, Lewis JG. Wellens' syndrome. Ann Emerg Med 1999 Mar;33(3):347–51.   [CrossRef]   [Pubmed]    Back to citation no. 7
  8. de Zwaan C, Bär FW, Janssen JH, et al: Angiographic and clinical characteristics of patients with unstable angina showing an ECG pattern indicating critical narrowing of the proximal LAD coronary artery. Am Heart J 1989 Mar;117(3):657–65.   [CrossRef]   [Pubmed]    Back to citation no. 8
[HTML Abstract]   [PDF Full Text]

Author Contributions
Ahmed Zedan – Substantial contributions to conception and design, Acquisition of data, Analysis and interpretation of data, Drafting the article, Revising it critically for important intellectual content, Final approval of the version to be published
Osama Mukarram – Analysis and interpretation of data, Revising it critically for important intellectual content, Final approval of the version to be published
Umer Malik – Analysis and interpretation of data, Revising it critically for important intellectual content, Final approval of the version to be published
Raja Naidu – Analysis and interpretation of data, Revising it critically for important intellectual content, Final approval of the version to be published
Guarantor of submission
The corresponding author is the guarantor of submission.
Source of support
None
Conflict of interest
Authors declare no conflict of interest.
Copyright
© 2015 Ahmed Zedan et al. This article is distributed under the terms of Creative Commons Attribution License which permits unrestricted use, distribution and reproduction in any medium provided the original author(s) and original publisher are properly credited. Please see the copyright policy on the journal website for more information.