![]() |
|
![]() |
|
Clinical Image
| ||||||
| A rare cause of abdominal pain and gastrointestinal bleeding: Colonic lipoma causing intussusception | ||||||
| Daniela Ferreira1, Marta Salgado2, Isabel Pedroto3 | ||||||
|
1MD, Gastroenterology Resident, Gastroenterology Department, Hospital Santo António. Largo Professor Abel SalazarPorto. Portugal.
2MD, Specialist in Gastroenterology, Gastroenterology Department, Hospital Santo António. Largo Professor Abel Salazar Porto. Portugal. 3PhD, Specialist in Gastroenteroloy and Department Director, Hospital Santo António Largo Professor Abel Salazar Porto. Portugal. | ||||||
| ||||||
|
[HTML Abstract]
[PDF Full Text]
[Print This Article]
[Similar article in Pumed] [Similar article in Google Scholar]
|
| How to cite this article |
| Ferreira D, Salgado M, Pedroto I. A rare cause of abdominal pain and gastrointestinal bleeding: Colonic lipoma causing intussusception. Int J Case Rep Images 2015;6(10):649–—651. |
|
Case Report
| ||||||
|
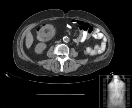
A 70-year-old male went to the emergency room with a 24-hour history of hematochezia preceded by pain in the right lower quadrant. The patient denied fever, weight loss, anorexia or vomiting. He was passing flatus and stools. His past medical history included ischemic heart disease, left renal neoplasia with nephrectomy two years previously and without evidence of recurrence, appendectomy in the childhood, right inguinal hernia repair, hyperuricemia, dyslipidemia, hypothyroidism treated with levothyroxine and colonic diverticula. On physical examination the patient was hemodynamically stable, afebrile and with pain on deep palpation of the right lower quadrant. Bright red blood was observed in the rectum. No other abnormal findings were noted. Blood tests demonstrated mild anemia (hemoglobin 11.2 g/dL) without leukocytosis or neutrophilia and elevation of C-reactive protein (88 mg/L). Renal and liver functions were normal. A colonoscopy was performed. Endoscopy revealed a violaceous mass with ulcerated/necrotic surface obstructing the lumen in the descending colon (Figure 1). After the colonoscopy the patient had an abdominal computed tomography scan that revealed a lipomatous ovoid tumor with 65 mm of major axis with origin in the ascending colon but with top ographic change, because of a complication: colic-colic intussusception with the typical donut sign (Figure 2). The patient underwent surgery that confirmed a lesion with 65 mm and origin in the colonic margin of the ileocecal valve that caused the intussusception. A right hemicolectomy was performed. The histopathology confirmed the diagnosis of giant lipoma with origin in the submucosa. | ||||||
| ||||||
|
| ||||||
| ||||||
|
Discussion
| ||||||
|
Colonic lipomas are common findings during routine colonoscopy. They are benign lesions usually located in the right colon with decreasing incidence from the cecum to the sigmoid colon. They usually arise from the submucosal layer, but can extend into the muscularis propria, while up to 10% are subserosal. Classically, endoscopic findings described for lipoma are three: the mucosa being elevated over the lipoma with the biopsy forceps (tent sign), indentation of the lipoma with the biopsy forceps (cushion sign) or the "naked fat sign" where the fat can be extruded after biopsy. When typical endoscopic findings are present and they are asymptomatic lipomas do not need additional study or follow up. However, when the typical endoscopic findings are absent additional study with endoscopic ultrasound and/or surgical resection should be considered. Surgical resection should also be considered when they become symptomatic. Lipomas larger than 4 cm in size (giant lipomas) can become symptomatic in 75% of patients. They can manifest as abdominal pain, alteration in bowel habits, gastrointestinal bleeding, perforation, obstruction or intussusceptions. Intussusceptions are an uncommon complication of colonic lipomas and usually limited to one segment of the colon but can extend to more than one segment in some cases [1] [2]. Patients with this complication can present with abdominal pain and gastrointestinal bleeding. Abdominal computed tomography scan is the preferred diagnostic method, as the imaging characteristics of the tumors are typical for adipose tissue with the typical donut sign. Colonoscopy can show a mass with necrotic areas and ulcerated mucosa. Due to the nature of this lesion (subepithelial) biopsies are often inconclusive. The distinction between a colonic lipoma complicated with intussusception from other lesions (malignant epithelial or subepithelial) may be impossible based only on endoscopic aspects. Surgical resection is the treatment of choice when giant lipomas are complicated by intussusceptions. | ||||||
|
Conclusion
| ||||||
|
The key learning element in this case is recognition of a rare and serious complication (intussusception) of a common endoscopic finding (colonic lipoma). In this case, the typical clinical presentation, endoscopic and radiologic appearance to this complication is shown and the approach discussed. | ||||||
|
Keywords
| ||||||
|
Abdominal pain, Colonic lipoma, Gastrointestinal bleeding, Intussusceptions | ||||||
|
References
| ||||||
| ||||||
|
[HTML Abstract]
[PDF Full Text]
|
|
Author Contributions
Daniela Ferreira – Substantial contributions to conception and design, Acquisition of data, Analysis and interpretation of data, Drafting the article, Revising it critically for important intellectual content, Final approval of the version to be published Marta Salgado – Analysis and interpretation of data, Revising it critically for important intellectual content, Final approval of the version to be published Isabel Pedroto – Analysis and interpretation of data, Revising it critically for important intellectual content, Final approval of the version to be published |
|
Guarantor of submission
The corresponding author is the guarantor of submission. |
|
Source of support
None |
|
Conflict of interest
Authors declare no conflict of interest. |
|
Copyright
© 2015 Daniela Ferreira et al. This article is distributed under the terms of Creative Commons Attribution License which permits unrestricted use, distribution and reproduction in any medium provided the original author(s) and original publisher are properly credited. Please see the copyright policy on the journal website for more information. |
|
|