![]() |
|
![]() |
|
Clinical Image
| ||||||
| Bilateral megaureters secondary to neuropathic bladder in an adult | ||||||
| Tomoya Nishino1, Yasue Watanabe2, Keiji Sakurai1, Seiji Morita2 | ||||||
|
1Department of Emergency and Critical Care Medicine, Tokai University School of Medicine.
2Odawara Municipal Hospital, Department of Emergency and Critical Care Medicine. | ||||||
| ||||||
|
[HTML Abstract]
[PDF Full Text]
[Print This Article]
[Similar article in Pumed] [Similar article in Google Scholar]
|
| How to cite this article |
| Nishino T, Watanabe Y, Sakurai K, Moritam S. Bilateral megaureters secondary to neuropathic bladder in an adult. Int J Case Rep Images 2015;6(10):644–646. |
|
Case Report
| ||||||
|
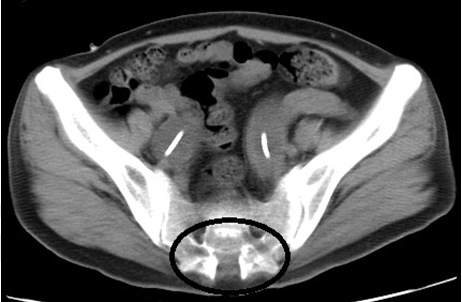
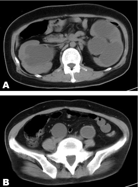
A 34-year-old female came to our hospital with complaints of anorexia and malaise that had persisted for approximately 10 days. She did not have abdominal or back tenderness, and her skin was dry. Her systolic blood pressure was 76 mmHg, and laboratory tests revealed an elevated creatinine level of 6.41 mg/dl, potassium level of 8.4 mEq/l, white blood cell count of 28,000/µl and C-reactive protein level of 17.98 mg/dl. She was admitted with diagnoses of urinary tract infection, acute kidney injury and hyperkalemia. At birth, she was diagnosed of schistorrhachis (Figure 1), and therefore, self-catheterization was performed. Abdominal computed tomography scan showed bilateral megaureters and hydronephrosis (Figure 2). Cystoscopy showed ends of both the ureters opening into the bladder. As her blood tests were abnormal (pH 7.360, serum HCO3 11.4 mmol/l), we performed hemodialysis once. Moreover, double J stents were placed in the ureters and antibiotic prophylaxis was administered. After treatment, her symptoms improved and blood tests became normal, and she was discharged. Based on this history, we diagnosed her as a case of neuropathic bladder secondary to schistorrhachis. | ||||||
| ||||||
|
| ||||||
| ||||||
|
Discussion
| ||||||
|
A dilated ureter is considered as a megaureter, and any diameter of the ureter >8 mm is considered abnormal. Although the occurrence of megaureter is common in children, it is rare in adults. Megaureter can be classified as reflux, obstructed, and nonreflux-nonobstructed [1]. The causes of megaureter development are ureteropelvic junction obstruction, ureterovesical junction obstruction, neuropathic bladder, vesicoureterical reflux, high fetal urine output, and increased compliance of the fetal ureter. The presence of a megaureter could be considered when the patient has a urinary tract infection or hematuria. Moreover, ultrasonography scan, computed tomography, and magnetic resonance imaging scan can be used for its diagnosis. This was a case of reflux megaureter secondary to neuropathic bladder. Bilateral megaureters are rare in an adult. Medical treatment may include antibiotic prophylaxis for infection, anticholinergic medication, and clean intermittent catheterization for elevated detrusor leak point pressure. Surgical treatment may include ureteral plication or Infolding for moderately dilated ureters, and excisional tapering for massively dilated or thickened ureters. Treatment of secondary megaureter is conservative. However, treatment of primary megaureter may involve surgery or may be conservative [2]. | ||||||
|
Conclusion
| ||||||
|
This case illustrates a neuropathic bladder secondary to schistorrhachis. Bilateral secondary megaureter in an adult is rare, and treatment of secondary megaureter is conservative. | ||||||
|
Keywords
| ||||||
|
Adult, Bilateral megaureters, Medical treatment, Neuropathic bladder | ||||||
|
References
| ||||||
| ||||||
|
[HTML Abstract]
[PDF Full Text]
|
|
Author Contributions
Tomoya Nishino – Substantial contributions to conception and design, Acquisition of data, Analysis and interpretation of data, drafting the article, Revising it critically for important intellectual content, Final approval of the version to be published Yasue Watanabe – Analysis and interpretation of data, Revising it critically for important intellectual content, Final approval of the version to be published Keiji Sakurai – Analysis and interpretation of data, Revising it critically for important intellectual content, Final approval of the version to be published Seiji Morita – Analysis and interpretation of data, Revising it critically for important intellectual content, Final approval of the version to be published |
|
Guarantor of submission
The corresponding author is the guarantor of submission. |
|
Source of support
None |
|
Conflict of interest
Authors declare no conflict of interest. |
|
Copyright
© 2015 Tomoya Nishino et al. This article is distributed under the terms of Creative Commons Attribution License which permits unrestricted use, distribution and reproduction in any medium provided the original author(s) and original publisher are properly credited. Please see the copyright policy on the journal website for more information. |
|
|