Case Report
 
Occult hip fracture diagnosed by MRI scan after inconclusive X-ray and CT scan
Bogdan Deleanu1, Radu Prejbeanu2, Florin Birsasteanu3, Dinu Vermesan1, Liviu-Ionut Micle4, Eleftherios Tsiridis5, Vlad Predescu6
1Assistant Professor, I-st Clinic of Orthopedics and Trauma, University of Medicine and Pharmacy 'Victor Babes', Timisoara, Romania.
2Professor, I-st Clinic of Orthopedics and Trauma, University of Medicine and Pharmacy 'Victor Babes', Timisoara, Romania.
3Associate Professor, Department of Radiology, University of Medicine and Pharmacy 'Victor Babes', Timisoara, Romania.
4Resident Doctor, I-st Clinic of Orthopedics and Trauma, University of Medicine and Pharmacy 'Victor Babes', Timisoara, Romania.
5Associate Professor, Imperial College London Medical School; Aristotle University Medical School, Thessaloniki, Greece.
6Associate Professor, St. Pantelimon' Emergency Hospital, 'Carol Davila' University of Medicine and Pharmacy, Bucharest, Romania.

doi:10.5348/ijcri-201575-CR-10536

Address correspondence to:
Micle Liviu-Ionut
Str Corneliu Coposu
Nr 20, sc A, Ap 29, Timisoara
Romania
Phone: +40769870430

Access full text article on other devices

  Access PDF of article on other devices

[HTML Abstract]   [PDF Full Text] [Print This Article]
[Similar article in Pumed] [Similar article in Google Scholar]


How to cite this article
Deleanu B, Prejbeanu R, Birsasteanu F, Vermesan D, Micle CI, Tsiridis E, Predescu V. Occult hip fracture diagnosed by MRI scan after inconclusive X-ray and CT scan. Int J Case Rep Images 2015;6(7):444–447.


Abstract
Introduction: Hip fractures are common, most of them being easily diagnosed with the clinical examination and X-ray. Few cases need a computed tomography (CT) scan and even fewer an magnetic resonance imaging (MRI) scan. Here we report a case that was diagnosed with occult femoral neck fracture only after undergoing a pelvic MRI scan.
Case Report: The patient has presented a normal X-ray at the first exam with minimal clinical signs. The emergency CT scan shown no injury and the patient was left home. Three days after, the patient returned to hospital with increased pain and limited mobility to the left hip. Following the emergency MRI scan a femoral neck fracture has been revealed. The patient was soon operated and we used a total hip cemented prosthesis on the affected hip considering the age and the condition of the patient.
Conclusion: Occult hip fractures should be suspicioned in all elderly patients who have a history of hip trauma even if X-ray and CT scan do not reveal a fracture. If it's available, the use of MRI scan is the best option for diagnose of occult hip fractures.

Keywords: CT-scan, MRI-scan, Occult hip fractures


Introduction

Hip fractures are one of the most frequent types of fractures seen in orthopedic practice [1][2]. Considering that life expectancy increased more and more in the past few decades the elderly population increased too [3], so much more attention is needed to properly diagnose hip fractures which occur more often in this segment of population [4]. Standard anterior-posterior X-ray may help us to diagnose displaced fractures but in non-displaced fractures a CT scan or an MRI scan is recommended [5] [6] . Studies show that occult hip fractures represent 2–10% of total hip fractures [5] [7], and the MRI scan has the best accuracy in detecting these fractures [5] [6] [7] [8] [9]. It is considered that late diagnose of occult hip fractures occur in 2–9% of the cases [10]. Holder et al. showed that CT scan performed in less than 3 days after trauma has 93% sensitivity and 95% specificity, so there is a significant percent of occult hip fractures missed by CT scan [11] [12].

Here we report a case of occult femoral fracture that was diagnosed using a pelvic MRI scan 3 days after an X-ray and a CT scan shown no injury. The purpose is to show the importance of MRI scan in diagnosing occult hip fractures.


Case Report

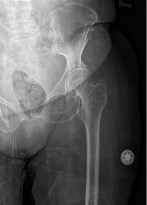
A 72-year-old female had a history of left hip trauma after tripping and falling at home. She was brought immediately to the emergency department and an anterior-posterior hip X-ray was done (Figure 1). As seen in the X-ray there was no sign of fracture but the clinical examination revealed pain at the left hip and limited mobility. Thus, considering the age of the patient, a pelvic CT scan was requested which also revealed no injury to the left hip (Figure 2). The patient was discharged and left home with anti-inflammatory and pain medication, being programmed to return after 7 days for a follow-up.

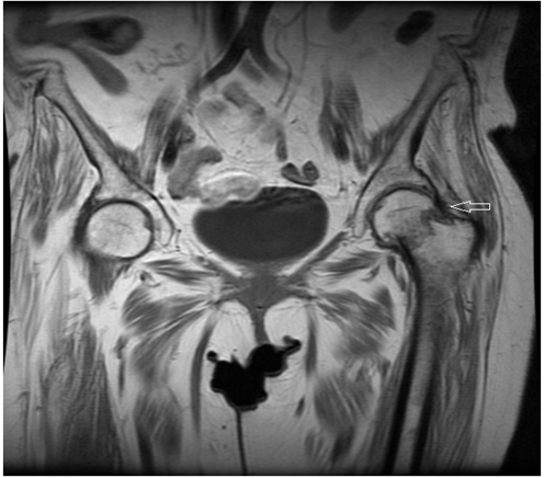
After three days the patient returned to emergency department with increased pain to the left hip and almost no active mobility possible to the affected hip. We decided to do a pelvic MRI scan which revealed an occult left femoral neck fracture (Figure 3).

The second day the patient was operated. We have chosen a hip direct lateral approach (Hardinge) with the patient in supine position. Considering the age of the patient and her associated conditions we opted for a cemented total hip arthroplasty in order to have the best results (Figure 4). The second day postoperative the patient started rehabilitation with bed side exercises and at third day postoperatively weight bearing walk was possible. Follow-up at 45th day, the patient had an overall good recovery with a hip Harris score of 78.


Cursor on image to zoom/Click text to open image
Figure 1: X-ray at the first presentation showing no fracture.



Cursor on image to zoom/Click text to open image
Figure 2: Computed tomography scan at the first presentation showing no fracture



Cursor on image to zoom/Click text to open image
Figure 3: Magnetic resonance imaging scan at 3rd day after trauma showing femoral neck fracture.



Cursor on image to zoom/Click text to open image
Figure 4: The postoperative recovery was good and at sixth day the patient was discharged.



Discussion

The best imaging option for diagnosing hip fractures is still a subject of discussion. Obviously this discussion applies to the undisplaced and occult fractures.

X-ray exam is a primary investigation used in pre-operative planning but by definition an occult hip fracture is not visible on X-ray exam so using only this exam is not helpful in diagnosing such cases. Due to increased cost and limited availability in some hospitals the MRI-scan is not a primary imaging option, as seen in this case.

Studies show that MRI scan has the best sensitivity and it should be used as a primary choice for diagnosing this type of fractures [6] [7] [8] [9] [13]. Both orthopedic surgeons and radiologists agree that MRI scan is the gold standard in diagnosing occult hip fractures [5] [6] [7] [8] [9] [13]. It is recommended that MRI scan to be done in the first 24 hours after the hip trauma. If not available, a 72-hour CT scan or MRI scan is recommended.

CT scan is another imaging option which can be helpful but as seen in this case the results may be inconclusive or can give false-negative results. The CT scan has the advantages to be widely available with a lower cost comparative to MRI scan [5] [14] , but even so the MRI is preferable. The advantages of MRI scan over CT scan are the better sensitivity (100%) and no exposure to harmful radiation [15]. The literature also mentions the bone scintigraphy using technetium polyphosphate with a high sensitivity in detecting occult fractures (98%) but this technique is less available and with limited reliability [16]. Another useful option is the sonography which is mentioned to have 100% sensibility and 60% specificity compared to MRI [17].


Conclusion

Occult hip fractures can easily be under-diagnosed or missed using X-ray and even a CT scan. The best option available remains the MRI scan and it should be the first to be used in cases with hip trauma and no X-ray signs, especially in the elderly population. Preferably the MRI should be performed in the first 24 hours after trauma to decrease the complications and obtain the best curative results.


References
  1. Ballane G, Cauley JA, Luckey MM, Fuleihan Gel-H. Secular trends in hip fractures worldwide: opposing trends East versus West. J Bone Miner Res 2014 Aug;29(8):1745–55.   [CrossRef]   [Pubmed]    Back to citation no. 1
  2. Azagra R, López-Expósito F, Martin-Sánchez JC, et al. Changing trends in the epidemiology of hip fracture in Spain. Osteoporos Int. 2014 Apr;25(4):1267–74.   [CrossRef]   [Pubmed]    Back to citation no. 2
  3. Liu P, Li C, Wang Y, et al. The impact of the major causes of death on life expectancy in China: a 60-year longitudinal study. BMC Public Health 2014 Nov 20;14:1193.   [CrossRef]   [Pubmed]    Back to citation no. 3
  4. Cooper C, Cole ZA, Holroyd CR, et al. Secular trends in the incidence of hip and other osteoporotic fractures. Osteoporos Int 2011 May;22(5):1277–88.   [CrossRef]   [Pubmed]    Back to citation no. 4
  5. Gill SK, Smith J, Fox R, Chesser TJ. Investigation of occult hip fractures: The use of CT and MRI. ScientificWorldJournal 2013;2013:830319.   [CrossRef]   [Pubmed]    Back to citation no. 5
  6. Nachtrab O, Cassar-Pullicino VN, Lalam R, Tins B, Tyrrell PN, Singh J. Role of MRI in hip fractures, including stress fractures, occult fractures, avulsion fractures. Eur J Radiol 2012 Dec;81(12):3813–23.   [CrossRef]   [Pubmed]    Back to citation no. 6
  7. Lim AK. Occult Hip Fractures in Elderly Patients: Is CT Enough? 2013:1–2.    Back to citation no. 7
  8. Cannon J, Silvestri S, Munro M. Imaging choices in occult hip fracture. J Emerg Med 2009 Aug;37(2):144–52.   [CrossRef]   [Pubmed]    Back to citation no. 8
  9. Pandey R, McNally E, Ali A, Bulstrode C. The role of MRI in the diagnosis of occult hip fractures. Injury 1998 Jan;29(1):61–3.   [CrossRef]   [Pubmed]    Back to citation no. 9
  10. Gangopadhyay S, Akra GA, Nanu AM. Occult hip fractures in the elderly: A protocol for management. Eur J OrthopSurgTraumatol 2007;17:153–6.   [CrossRef]    Back to citation no. 10
  11. Levitsky KA, Hozack WJ, Balderston RA, et al. Evaluation of the painful prosthetic joint. Relative value of bone scan, sedimentation rate and joint aspiration. J Arthroplasty 1991 Sep;6(3):237–44.   [Pubmed]    Back to citation no. 11
  12. Guyton JL. Intertrochanteric femoral fractures. Fractures of hip, acetabulum and pelvis. In: Campbell's Operative Orthopaedics. Ninth edition. Mosby 1998;3:2181–208.    Back to citation no. 12
  13. Hakkarinen DK, Banh KV, Hendey GW. Magnetic resonance imaging identifies occult hip fractures missed by 64-slice computed tomography. J Emerg Med 2012 Aug;43(2):303–7.   [CrossRef]   [Pubmed]    Back to citation no. 13
  14. Jordan RW, Dickenson E, Baraza N, Srinivasan K. Who is more accurate in the diagnosis of neck of femur fractures, radiologists or orthopaedic trainees? Skeletal Radiol 2013 Feb;42(2):173–6.   [CrossRef]   [Pubmed]    Back to citation no. 14
  15. Israel GM, Cicchiello L, Brink J, Huda W. Patient Size and Radiation Exposure in Thoracic, Pelvic, and Abdominal CT Examinations Performed With Automatic Exposure Control. AJR Am J Roentgenol 2010 Dec;195(6):1342–6.   [CrossRef]   [Pubmed]    Back to citation no. 15
  16. Brunner LC, Eshilian-Oates L, Kuo TY. Hip fractures in adults. Am Fam Physician 2003 Feb 1;67(3):537–42.   [Pubmed]    Back to citation no. 16
  17. Safran O, Goldman V, Applbaum Y, et al. Posttraumatic painful hip: sonography as a screening test for occult hip fractures. J Ultrasound Med 2009 Nov;28(11):1447–52.   [Pubmed]    Back to citation no. 17

[HTML Abstract]   [PDF Full Text]

Author Contributions
Bogdan Deleanu – Substantial contributions to conception and design, Acquisition of data, Analysis and interpretation of data, Revising it critically for important intellectual content, Final approval of the version to be published
Radu Prejbeanu – Substantial contributions to conception and design, Acquisition of data, Analysis and interpretation of data, Revising it critically for important intellectual content, Final approval of the version to be published
Florin Birsasteanu – Analysis and interpretation of data, Acquisition of data, Revising it critically for important intellectual content, Final approval of the version to be published
Dinu Vermesan – Analysis and interpretation of data, Acquisition of data, Revising it critically for important intellectual content, Final approval of the version to be published
Liviu-Ionut Micle – Analysis and interpretation of data, Acquisition of data, Revising it critically for important intellectual content, Final approval of the version to be published
Eleftherios Tsiridis – Analysis and interpretation of data, Acquisition of data, Revising it critically for important intellectual content, Final approval of the version to be published
Vlad Predescu – Analysis and interpretation of data, Acquisition of data, Revising it critically for important intellectual content, Final approval of the version to be published
Guarantor of submission
The corresponding author is the guarantor of submission.
Source of support
None
Conflict of interest
Authors declare no conflict of interest.
Copyright
© 2015 Bogdan Deleanu et al. This article is distributed under the terms of Creative Commons Attribution License which permits unrestricted use, distribution and reproduction in any medium provided the original author(s) and original publisher are properly credited. Please see the copyright policy on the journal website for more information.