![]() |
|
![]() |
|
Case Report
| ||||||
| Scrub typhus vasculitis causing pan-digital gangrene | ||||||
| Suja Lakshmanan1, Krishnamoorthy Seetharaman1, Ramakrishnan SR2, Sathiyan Sivanandam3, Koushik AK4 | ||||||
|
1MD Gen Med,Assistant Professor, Department of Medicine, Sri Ramachandra Medical College and Research Institute, Chennai, Tamil Nadu, India.
2MD Gen Med, Professor, Department of Medicine, Sri Ramachandra Medical College and Research Institute, Chennai, Tamil Nadu, India. 3DM Nephrology, Assistant Professor, Department of Nephrology, Sri RamachandraMedical College and Research Institute, Chennai, Tamil Nadu, India. 4MD Gen Med, Post Graduate, Department of Medicine, Sri Ramachandra Medical College and Research Institute, Chennai, TamilNadu, India. | ||||||
| ||||||
|
[HTML Abstract]
[PDF Full Text]
[Print This Article]
[Similar article in Pumed] [Similar article in Google Scholar]
|
| How to cite this article |
| Suja L, Krishnamoorthy S, Sathiyan S, Sivanandam S, Koushik AK. Scrub typhus vasculitis causing pan digital gangrene Int J Case Rep Images 2015;6(7):416–421. |
|
Abstract
|
|
Introduction:
Scrub typhus is a mite-borne infectious disease caused by Orientia tsutsugamushi. Farmers account for approximately two-thirds of all reported cases. Incidence rates are highest in people aged 40 to 60 years. The severity of infection can range from mild symptoms and signs to multi-organ failure. The chief target of the organism is the vascular endothelium of various organs. There is inflammation in and around the blood vessels that causes endothelial damage resulting in vascular leakage and organ dysfunction.
Case Report: A 62-year-old female, farmer by occupation who presented to us with features of acute respiratory distress syndrome (ARDS) and meningitis, subsequently developed gangrene of digits of all four limbs. We investigated the patient for infectious and non-infectious causes of vasculitis leading onto gangrene. We attributed the cause for pan-digital gangrene as scrub typhus as evidenced by the presence of eschar and positive serology. Patient recovered with ventilatory support and antibiotics though her digits could not be salvaged which was managed conservatively. Conclusion: While going through literature we observed that there were no case reports of gangrene caused by scrub typhus. Pan-digital gangrene is an unusual complication of scrub typhus. Hence scrub typhus has to be ruled out in patients presenting with this complication. | |
|
Keywords:
Pan-digital gangrene, Scrub typhus, Vasculitis
| |
|
Introduction
| ||||||
|
Orientia tsutsugamushi is an obligate intracellular gram-negative coccobacillus which is the etiologic agent for scrub typhus. There are three strains of Orientia tsutsugamushi namely Karp, Gilliam, and Kato strains. Infection with one strain does not confer immunity from infection with another strain. Scrub typhus is endemic in India, China, Korea, Pakistan, Taiwan, Japan, Thailand, Malaysia, and Northern Australia. The vector for scrub typhus are larval trombiculid mites, also called chiggers [1]. After an incubation period of 7–10 days, the disease may start with prodromal symptoms like headache, anorexia, malaise with fever [2]. Rash and characteristic eschar may develop subsequently. The infection can have varying presentation. Some have mild symptoms, while others can develop multiorgan failure. Approximately, 4% of patients hospitalized have fatal infection [3]. Elderly patients are more likely to have severe illness and complications. Some patients develop a localized necrotic skin lesion (eschar) at the site of their infecting chigger bite. Generalized lymphadenopathy, acute kidney injury and respiratory complaints are often present. Rarely, acute respiratory distress syndrome may occur. Involvement of blood vessels in the central nervous system may produce meningitis or encephalitis. Herein, we present a patient who developed severe respiratory failure due to acute respiratory distress syndrome requiring ventilatory support and pan-digital gangrene due to scrub typhus. | ||||||
|
Case Report
| ||||||
|
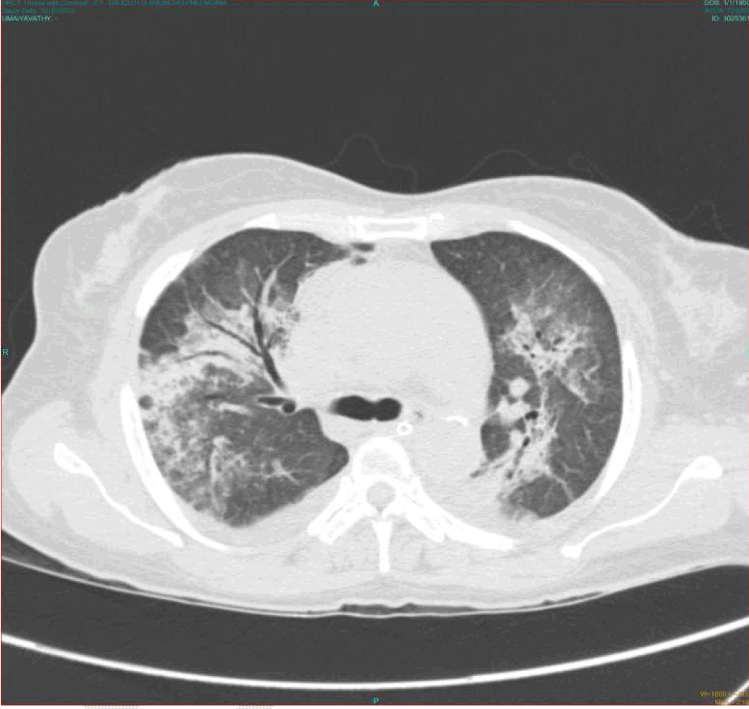
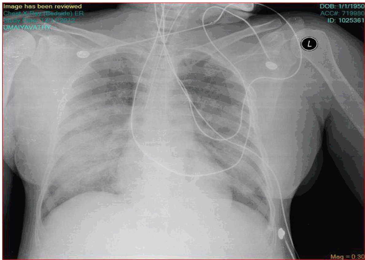
A 62-year-old female, farmer by occupation presented to the emergency department with history of high grade fever and chills for three days. She was managed with antipyretics in outside hospital with no benefit. She developed breathlessness at rest for 1 day. Hence she was referred to our institution for further management. On examination, she was febrile (101°F) and tachypneic with a respiratory rate of 40 per minute. Her pulse rate was 106 per minute and her blood pressure was 110/80 mmHg. She had an eschar in her right loin. Her respiratory examination revealed bilateral extensive crepitations. Her jugular venous pressure was normal and she was clinically euvolemic. We proceeded with the following investigations as given in Table 1. Arterial blood gas revealed type 2 respiratory failure (pH 7.04, pCO2 7.5 mmHg, PO2 57 mmHg). In view of progressive breathlessness despite supportive measures she was intubated and connected to a ventilator. Chest X-ray showed features of consolidation (Figure 1) which was subsequently confirmed by CT scan of thorax (Figure 2). The patient developed altered sensorium subsequently. CT scan of brain was normal. Cerebrospinal fluid (CSF) analysis showed sugar of 72 mg/dl, protein 67 mg/dl, 140 WBC/hpf, neutrophils 65% and lymphocytes 35%. CSF culture, gram staining, HSV serology done were negative. Etiologic workup for fever, ARDS, and altered sensorium were done (Table 2). Patient was initially managed with broad spectrum antibiotics - imipenem plus cilastatin and linezolid. After serology report of scrub typhus being positive she was started on doxycycline 100 mg BD and rifampicin 600 mg OD. On day-3 of admission patient developed blackish discoloration of the terminal digits of upper and lower limbs which was progressive in nature and ultimately developed into dry gangrene (Figure 3) and (Figure 4) over 4–5 days. However, all her peripheral pulses were felt normally. Vasculitis workup like ANA, dsDNA, antiphospholipid antibody, C-ANCA, P-ANCA, Anti centromere antibody were negative. Vascular surgery opinion was sought and the patient was started on LMWX and aspirin. Biopsy of the lesion was not attempted as the patient's relatives did not give consent. After eight days of doxycycline therapy patient showed gradual improvement in clinical condition and was weaned off from ventilator subsequently. Patient developed severe pain in her upper and lower limb digits around the gangrenous areas. She received several analgesics including tramadol, amitriptyline, paracetamol, NSAIDS with partial relief of pain. She was started on cilostazol, aspirin, pentoxifylline by vascular surgeon after cessation of LMWH. She eventually developed auto amputation of her right lower limb second and third toes followed by second toe of left lower limb and little finger of her right hand over the next 2–3 months. | ||||||
| ||||||
| ||||||
| ||||||
| ||||||
| ||||||
| ||||||
|
Discussion
| ||||||
|
Scrub typhus infections may present as mild illness or can lead onto fatal complications like ARDS, meningoencephalitis, acute kidney injury, myocarditis, hepatic dysfunction and multiorgan involvement. Complications usually occur after the first week of illness. Due to non specific clinical features of scrub typhus it is grossly under diagnosed, though it is an growing and emerging disease. Since scrub typhus can lead to life threatening illness, initiation of treatment should be early and prompt based on clinical suspicion, which later should be confirmed by serology. O. tsutsugamushi proliferates in the endothelium of small blood vessels that results in cytokine release. This cytokine causes endothelial damage leading to leakage of fluid and aggregation of platelets, and proliferation of polymorph and monocytes leading to focal microinfarction. This eventually leads to venous thrombosis and peripheral gangrene. Various organs like skin, kidneys, skeletal muscles, brain lungs, and cardiac muscles are predominantly affected by this process [4] [5]. O. tsutsugamushi infection spreads to multiple organs through blood stream and lymphatics. It predominately targets the macrophages present in the spleen and liver [6]. The Rickettsia attacks the endothelial cells causing inflammation by a mechanism called oxidative stress leading onto local and systemic vasculitis [7]. Despite the fact that disseminated endothelial infection occurs in scrub typhus, the real incidence of vasculitis leading to vaso-occlusion is quite rare which is the highlight of our case. Systemic vasculitis causing gangrene can occur due to both infectious and non infectious cause. Among the infectious cause viruses are the leading organisms that lead to systemic vasculitis. Hepatitis B virus is associated with polyarteritis nodosa. Hepatitis C virus related mixed cryoglobulinemia causes vasculitis in only a minority of people who acquired the infection. There are a few other viruses that cause vasculitis like Human immunodeficiency virus (HIV), parvo virus B19, varicella-zoster virus, human T-cell lymphotropic virus (HTLV)-1 and cytomegalovirus. Bacteria, fungi or parasites also cause vasculitis which could be by direct invasion of blood vessels or by septic embolization. Syphilitic aortitis or cerebrovascular disease and rickettsial diseases are other, more specific, bacteria-induced vasculitides. The importance of differentiating infectious and non- infectious cause of vasculitis is necessary because the treatment strategies are different. Bacterial, parasitic and fungal infections are treated with appropriate antimicrobial agents. Combination of antiviral drugs and plasma exchanges are effectively tried for HBV infections causing polyarteritis nodosa and HIV related vasculitis. HCV related cryoglobulinemic vasculitis is treated with antiviral drugs combined with low dose steroids [8]. The development of digital gangrene is a sign of systemic diseases. Smoking, hypertension, diabetes, obesity and hyperlipidemia are commonly associated with digital gangrene. Homocysteinemia, vasculitides like primary systemic vasculitis and medium vessel vasculitis such as polyarteritis nodosa commonly presents with digital gangrene. Rheumatoid arthritis and systemic lupus erythematosus cause premature atherosclerosis and gangrene. Thromboangiitis obliterans (TAO) or Buerger's disease can cause claudication and digital gangrene [9]. While looking into the infective causes as in our case, the diagnosis of scrub typhus should be made by excluding other viral infectious diseases like dengue, infectious mononucleosis, HIV and bacterial diseases like typhoid, leptospirosis, meningococcal disease causing ARDS and vasculitis. These infections were excluded with appropriate investigations. As serology for scrub typhus done by ELISA was positive, we thought about the association of scrub typhus as the cause of vasculitis. The clinical features of this 62-year-old female who presented with fever, breathlessness and altered sensorium who responded to treatment with doxycycline are consistent with scrub typhus. This is confirmed by the presence of eschar and positive scrub typhus serology. We eliminated all other differentials for scrub typhus with multi-organ involvement. The patient subsequently developed pan digital gangrene. We excluded other infective and non infective diseases causing vasculitis. Hence we conclude that the patient developed pan-digital gangrene secondary to scrub typhus vasculitis. To our knowledge this is the first reported case of pan-digital gangrene in scrub typhus infection. | ||||||
|
Conclusion
| ||||||
|
Although there are so many conditions causing vasculitis, it is essential to differentiate infective from non infective causes as the treatment is entirely different . From the case that we have presented here, we learn that pan digital gangrene may be an unusual complication of scrub typhus and as many cases have not been reported , this has to be ruled out in cases of digital gangrene. | ||||||
|
References
| ||||||
| ||||||
|
[HTML Abstract]
[PDF Full Text]
|
|
Author Contributions
Suja Lakshmanan – Conception and design, Acquisition of data, Analysis and interpretation of data,Drafting the article, Critical revision of the article and Final approval of the version to be published Krishnamoorthy Seetharaman – Conception and design, Acquisition of data, Analysis and interpretation of data, Drafting the article, Critical revision of the article and Final approval of the version to be published Ramakrishnan SR – Analysis and interpretation of data, Critical revision of the article and final approval of the version to be published Sathiyan Sivanandam – Conception and design, Analysis and interpretation of data, Drafting the article, and Final approval of the version to be published Koushik AK – Acquisition of data, Critical revision of the article and Final approval of the version to be published |
|
Guarantor of submission
The corresponding author is the guarantor of submission. |
|
Source of support
None |
|
Conflict of interest
Authors declare no conflict of interest. |
|
Copyright
© 2015 Suja Lakshmanan et al. This article is distributed under the terms of Creative Commons Attribution License which permits unrestricted use, distribution and reproduction in any medium provided the original author(s) and original publisher are properly credited. Please see the copyright policy on the journal website for more information. |
|
|
|
About The Authors
| |||
| |||
| |||
| |||
| |||
| |||