Case Report
 
A case report of an uncommon large size of prostatic cyst
Jingjin Yang1, Xingkai Liu2, Yong Zhang2
1(MD, Chief of Department),Department of Urology, The 463th Hospital of PLA, 46 Xiao He Yan Road, Shenyang, Liaoning, China.
2(MD, a doctor), Department of Urology, The 463thHospital of PLA, 46 Xiao He Yan Road, Shenyang, Liaoning, China.

doi:10.5348/ijcri-201567-CR-10528

Address correspondence to:
Dr. Jingjin Yang
Department of Urology, The 463th Hospital of PLA
46 Xiao He Yan Road, Shenyang
Liaoning 110042
China
Phone: 86-3322445090

Access full text article on other devices

  Access PDF of article on other devices

[HTML Abstract]   [PDF Full Text] [Print This Article]
[Similar article in Pumed] [Similar article in Google Scholar]


How to cite this article
Yang J, Liu X, Zhang Y. A case report of an uncommon large size of prostatic cyst. Int J Case Rep Images 2015;6(7):407–410.


Abstract
Introduction: Prostatic cyst is an uncommon disease, especially large one, which need to be differentiated from prostatic neoplastic masses, prostatic non-neoplastic masses and periprostatic neoplastic masses.
Case Report: A 63-year-old male who had dysuria for three years and could not urinate for three days. Initially, he was diagnosed as prostatic hyperplasia by color Doppler ultrasound. After further examinations with prostate-specific antigen (PSA), computed tomography (CT) scan, magnetic resonance imaging (MRI) scan, cystoscopy and transrectal ultrasound-guided aspiration, he was diagnosed as prostatic cyst. The size of prostatic cyst was 9.2x4.9 cm. Two weeks after diagnosis patient received an open surgery through perianal incision to remove all content in the cyst and clean this large prostatic cyst. Patient is still seen for follow-up visits every two months to further assess the treatment.
Conclusion: Ultrasound, CT scan and MRI scan together help to get final diagnosis of prostatic cyst. The surgery of prostate cyst excision we performed improved outcome although we still need to follow our patient for longer time.

Keywords: Prostatic cyst, Prostatic hyperplasia, Perianal incision


Introduction

Prostatic cyst is a rare disease with uncertain origin [1] [2] [3] [4], which needs to be differentiated from prostatic neoplastic masses, prostatic non neoplastic masses, periprostatic neoplastic masses, periprostatic neoplastic masses and cyst of seminal vesicle. Most of prostatic cysts are small and located laterally without spermatozoa [5] [6] [7] [8]. To make a correct diagnosis it is needed to perform clinical test, ultrasound, computed tomography (CT), magnetic resonance imaging (MRI) and tissue biopsy. All these procedures can help to understand non-neoplasia or neoplasia, location, size, margins and its contents. Prostatic cysts include utricular and mullerian duct cysts, diverticula of the ampulla, cysts of the ejaculatory duct, retention cyst of the prostate, hemorrhagic prostatic cyst and cyst associated with prostatitis [6] [8][9].

We noted that only very few cases have been reported worldwide. Herein, we reported an uncommon size of prostatic cyst, which finally diagnosed through all procedures of rectal examination, clinical test, ultrasound, CT, MRI and transrectal ultrasound-guided aspiration of prostatic cyst, and successfully performed an open surgery.


Case Report

A 63-year-old male without urination for three days was admitted to the hospital. The patient had suffered from dysuria, frequent urination, a delay in starting urination, a weak of slow urinary stream, a feeling of incomplete bladder emptying and getting up frequently at night to urinate (4–6 times/night) for three years. He was diagnosed as prostatic hyperplasia by abdominal color Doppler ultrasound without any treatment at his local hospital before coming to our hospital.

All his general physical examinations were normal except rectal examination. His rectal examination showed that his prostate gland was grade II prostate enlargement, the central sulcus swallowed, both sides symmetry increase, firm and smooth without nodules, absence of tenderness, feeling a cystic lesion (~4 cm) above dentate line without clear boundary and pain, and no blood on the glove. Color Doppler ultrasound showed 4.2 x 4.9 x 3.9 cm of enlarged prostate with clear outline, rough internal echo and multiple bright echos.

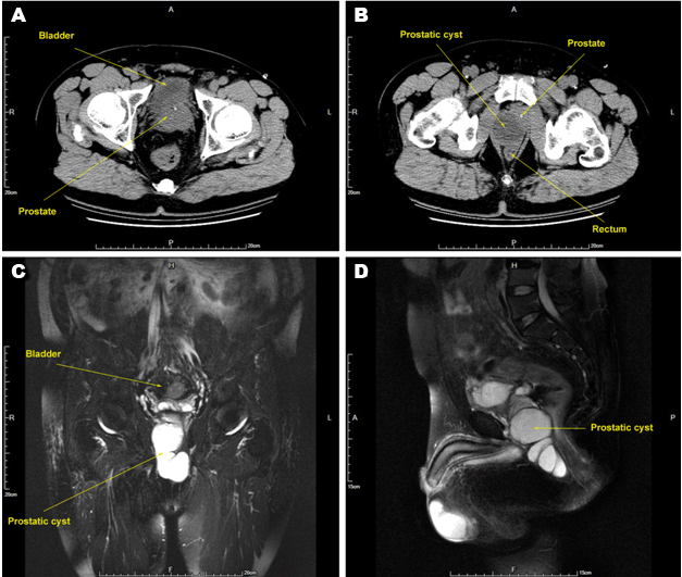
To further confirm the diagnosis, the patient received PSA test, CT scan, MRI scan and transrectal ultrasound-guided aspiration of prostatic cyst. Patient's PSA test was negative. CT scan demonstrated that there was a 4.5 x 4.2 cm of even hypodense shadow behind prostate gland resulting in pushing prostate gland to front left. Patient's prostate gland was enlarged with smooth boundary a href="#figure1"> (Figure 1A-B). MRI scan showed there were irregularly a long T1 and T2 signals (9.2 x 4.9 cm) near the right peripheral leaves and penis cavernous part which extended to perineum and rectum (a href="#figure1"> (Figure 1C-D). a href="#figure1"> Figure 1 showing that surrounding tissues were compressed and displaced. We performed transrectal ultrasound-guided aspiration of prostatic cyst and collected 15 ml of viscous milky fluid, which contained many epithelial cells and no sperm and no cancer cells. Bacterial cultures were negative.

Two week after diagnosing, we performed an open surgery through perianal incision to get rid of all content in patient's prostatic cyst, clean this cyst and try to remove all cyst lining although this surgery was not very easy. Currently, we follow-up this patient after every two months to monitor patient's condition and further assess our surgery treatment.


Cursor on image to zoom/Click text to open image
Figure 1: Images of computer tomography (CT) scan and magnetic resonance imaging (MRI) scan. (A, B) computed tomography (CT) scan which showing that a 4.5 x 4.2 cm of even hypodense shadow is behind prostate gland and pushes prostate gland to front left. The prostate gland is enlarged with smooth boundary. (C, D) MRI scan showing there is irregularly a long T1 and T2 signals (9.2 x 4.9 cm) near the right peripheral leaves and penis cavernous part which extended to perineum and rectum.



Discussion

Patient was diagnosed as prostatic hyperplasia in the local hospital. After admitting to our hospital, we repeated abdominal color Doppler ultrasound plus CT scan. The results indicated that the patient could have the prostatic cyst. The negative PSA indicated that the patient did not have prostate cancer. A previous study suggests that MR imaging is useful in demonstrating the liquid content of prostatic [10]. Further MRI scan indeed showed clear image of prostatic cyst, and was consistent with CT scan. The patient was diagnosed as prostatic cyst, an uncommon large size of the prostatic cyst. The result from transrectal ultrasound-guided aspiration of prostatic cyst further confirmed that the patient was suffered from the prostatic cyst, not prostate cancer and prostatic hyperplasia.

In general, treatments of prostatic cysts include transurethral resection, endoscopic marsupialization, endoscopic urethrotomy and incision, transrectal ultrasound-guided drainage, and open surgery [4] [11]. It suggests that invasive procedures are best avoided [2]. After patient was diagnosed, we had difficult time to decide which treatment would be benefit to the patient because we did not have good experience about the uncommon large size of prostatic cyst. Finally, we performed an open surgery through perianal incision to remove all content in the cyst, clean this large prostatic cyst and try to remove all cyst lining. We hope that the bladder and pelvic-cavity-pressure will push the prostatic cyst and eventually close dead space of the prostatic cyst. After surgery, all infravesical obstructive symptoms were disappeared. Patient is still seen for follow-up visits every two months in order to monitor patient's condition and further evaluate the effect of our treatment.


Conclusion

Ultrasound, computed tomography (CT) scan and magnetic resonance imaging (MRI) scan together help to get final diagnosis of prostatic cyst. The surgery of prostate cyst excision we performed improves outcome although we still need to follow our patient for longer time.


Acknowledgements

We would like to thank Dr. Changyu Zheng (NIDCR, NIH, USA) for manuscript editing assistance.


References
  1. Chou YH, Jang MY, Huang CH. Ultrasound detection of prostate cyst. J Med Ultrasound 1996 Jan;4 (1):43–45.    Back to citation no. 1
  2. Singh CH, Rastogi MV. Prostate cysts. Med J Armed Forced India 2000;56:359–60.    Back to citation no. 2
  3. Zhang HH, Qi F, Wang J, Chen MF, Li Z, Zu Xb. Midline prostatic cysts presenting with chronic prostatitis or secondary infertility and minimally invasive treatment: Endoscopic laparoscopic approach? Surg Sci 2011 Jul;2:285–89.   [CrossRef]    Back to citation no. 3
  4. Dogan B, Canda AE, Akbulut Z, Atmaca AF, Duran E, Balbay MD. Prostatic cyst causing severe infravesical obstruction in a young patient. Urol J 2011 Fall;8(4):330–2.   [Pubmed]    Back to citation no. 4
  5. Magri J. Cysts of the prostatic gland. Br J Urol 1960 Sep;32:295–96.    Back to citation no. 5
  6. Rieser C, Griffin Tl. Cysts of the Prostate. J Urol 1964 Mar;91:282–6.   [Pubmed]    Back to citation no. 6
  7. Fischelovitch J, Meiraz D, Lazebnik J. Cysts of the prostrate. Br J Urol 1975 Dec;47(6):687   [Pubmed]    Back to citation no. 7
  8. Kirkali Z, Yigitbasi O, Diren B, Hekimoglu B, Ersoy H. Cysts of the prostate, seminal vesicles and diverticulum of the ejaculatory ducts. Eur Urol 1991;20(1):77–80.   [Pubmed]    Back to citation no. 8
  9. Nayyar R, Wadhwa P, Dogra PN. Midline intraprostatic cyst: An unusual cause of lower urinary tract symptoms. Indian J Urol 2008 Jan;24(1):109–11.   [CrossRef]   [Pubmed]    Back to citation no. 9
  10. Gevenois PA, Van Sinoy ML, Sintzoff SA Jr, Cysts of the prostate and seminal vesicles: MR imaging findings in 11 cases. AJR Am J Roentgenol 1990 Nov;155(5):1021–4.   [CrossRef]   [Pubmed]    Back to citation no. 10
  11. Jarow JP. Diagnosis and management of ejaculatory duct obstruction. Tech Urol 1996 Summer;2(2):79–85.   [Pubmed]    Back to citation no. 11

[HTML Abstract]   [PDF Full Text]

Author Contributions
Jingjin Yang – Substantial contributions to conception and design, Acquisition of data, Revising it critically for important intellectual content, Final approval of the version to be published
Xingkai Liu – Substantial contributions to conception and design, Acquisition of data, Analysis and interpretation of data, Drafting the article, Revising it critically for important intellectual content, Final approval of the version to be published
Yong Zhang – Substantial contributions to conception and design, Acquisition of data, Analysis and interpretation of data, Drafting the article, Revising it critically for important intellectual content, Final approval of the version to be published
Guarantor of submission
The corresponding author is the guarantor of submission.
Source of support
None
Conflict of interest
Authors declare no conflict of interest.
Copyright
© 2015 Jingjin Yang et al. This article is distributed under the terms of Creative Commons Attribution License which permits unrestricted use, distribution and reproduction in any medium provided the original author(s) and original publisher are properly credited. Please see the copyright policy on the journal website for more information.