![]() ![]() |
![]() |
![]() |
Clinical Image
| ||||||
Perianal aggressive angiomyxoma in a male patient | ||||||
Zainab Taha ALHumoud1, Najla Aldaoud2, Hussain Abrar3, Amro Salem4 | ||||||
1MD, Postgraduate Physician, Department of General Surgery, King Fahad Specialist Hospital in Dammam, Saudi Arabia.
2MD, JBP, EBP, Assistant Professor, Medical School, Jordan University of Science and Technology, Irbid, Jordan, Consultant Pathology, King Abdullah University Hospital, Irbid, Jordan. 3FRCS, Consultant Plastic Surgeon, Department of Plastic Surgery, King Fahad Specialist Hospital in Dammam, Saudi Arabia. 4MSc, FRCS, Consultant Colorectal Surgeon, Department of Colorectal Surgery, King Fahad Specialist Hospital in Dammam, Saudi Arabia. | ||||||
| ||||||
[HTML Abstract]
[PDF Full Text]
[Print This Article]
[Similar article in Pumed] [Similar article in Google Scholar] ![]() |
How to cite this article |
ALHumoud ZT, Aldaoud N, Abrar H, Salem A. Perianal aggressive angiomyxoma in a male patient. Int J Case Rep Images 2015;6(7):454–456. |
Case Report
| ||||||
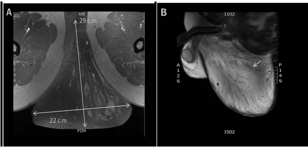
A 45-year-old male presented with a swelling in the perianal area that had begun to grow four months previously. He complained of pain, and problems defecating. Physical examination located a soft lump in the perianal area, with ill-define edges near to the posterior midline (Figure 1). Although it is a rare condition, one of our preliminary differential diagnoses was lipomas. Other differential diagnosis was possible Desmoids Type Tumor. Magnetic resonance imaging (MRI) scan of the pelvis showed a large flask shaped mass sagging from the perineum, with fat lobules apparently originating from perineum, extending into the intergluteal cleft. There was concern about the swirled appearance noted post contrast study, which suggested possible diagnosis of a myxoid type tumor and less likely a lipoma (Figure 2A-B). Surgical excision of the mass was performed. The gross appearance of the specimen was a disoriented mushroom shaped mass, about 380 grams in weight, with a fatty cut surface (Figure 3). Microscopically, it showed an ill-defined tumor composed of small spindle cells embedded in an abundant myxoid stroma interspersed with a thick wall and hyalinized blood vessels. There was no evidence of mitotic activity or nuclear atypia (Figure 4A-C). Based on these histological features, a diagnosis of aggressive angiomyxoma (AAM) was confirmed. | ||||||
| ||||||
| ||||||
| ||||||
| ||||||
| ||||||
Discussion
| ||||||
Aggressive angiomyxoma (AAM) is a rare benign soft tissue tumor of mesenchymal origin, characterized by its locally infiltrative nature and high recurrence rate. It was given this name due to the pathological findings of the stellate and spindled cells, along with variable-sized blood vessels, which were intricately entwined within a myxoid matrix [1]. This presentation occurs predominantly in woman of reproductive age (female to male ratio of approximately 6:1), and exclusively in the pelvi-perianal region. To our knowledge, only 43 cases occurring in men have been reported in literature [1]. In men, AAM usually involves the scrotum (38%), spermatic cord (33%), and perineal region (13%) [2]. Although clinical diagnosis of AAM may be difficult, the typical MRI features of AAM are swirled strands, aligned with the craniocaudal axis. This particular imaging feature is caused by a stretching of the fibrovascular stroma [3]. Confirmation of diagnosis is based on a histopathology study. AAM should be distinguished from other benign, potential lesions with low local recurrence, and malignant tumors with widespread metastatic potential. Surgery is the mainstay of treatment for AAM, although achieving negative resection margins is complicated, because of the infiltrative nature of the tumor. Local recurrence rate falls between 36% and 72% and is usually seen in the first three years. Recurrences of the disease are usually controlled with surgery [1]. Several reported attempts at using chemotherapy and radiotherapy as part of the treatment protocol for AAM have proved disappointing; probably due to the low mitotic activity/growth fraction of cells. Primary treatment with GnRH agonists has proved successful, as many of angiomyxoma are positive for estrogen and progesterone receptors [4]. However, the duration of the responses and an optimal treatment schedule are still unknown [1]. | ||||||
Conclusion
| ||||||
In conclusion, whether the treatment of aggressive angiomyxoma (AAM) is surgery, hormonal therapy or a combination of the two, it is apparent that adequate management of AAM necessitates close, and long-term follow-up at sixth month intervals, to monitor for recurrence. Multiple relapses can occur but metastases are unusual. | ||||||
Acknowledgements
| ||||||
We would like to thank Dr. Thabet Ghazal who was involved in the Management of the case. | ||||||
References
| ||||||
| ||||||
Suggested Reading
| ||||||
| ||||||
[HTML Abstract]
[PDF Full Text]
|
Author Contributions
Zainab Taha ALHumoud – Substantial contributions to conception and design, Acquisition of data, Drafting the article, Revising it critically for important intellectual content, Final approval of the version to be published Najla Aldaoud – Substantial contributions to conception and designm, Drafting the article, Final approval of the version to be published Hussain Abrar – Substantial contributions to conception and design, Drafting the article, Final approval of the version to be published Amro Salem – Substantial contributions to conception and design, Drafting the article, Revising it critically for important intellectual content, Final approval of the version to be published |
Guarantor of submission
The corresponding author is the guarantor of submission. |
Source of support
None |
Conflict of interest
Authors declare no conflict of interest. |
Copyright
© 2015 Zainab Taha ALHumoud et al. This article is distributed under the terms of Creative Commons Attribution License which permits unrestricted use, distribution and reproduction in any medium provided the original author(s) and original publisher are properly credited. Please see the copyright policy on the journal website for more information. |
|