Clinical Image
 
Clavicle chronic recurrent multifocal osteomyelitis: Surgical excision and neo-clavicle
Jorge H. Costa1, Tiago P. Marques2, Miguel Pádua3
1MD, Orthopedics and Traumatology Resident at Hospital Curry Cabral,Lisboa, Portugal.
2MD,Orthopedics and Traumatology Resident at Hospital Santarém,Santarém, Portugal.
3MD, Orthopedics and Traumatology Resident at Hospital Fernando da Fonseca, Amadora, Portugal.

doi:10.5348/ijcri-201515-CL-10070

Address correspondence to:
Jorge Homero Costa
Orthopedics and Traumatology Resident at Hospital Curry Cabral
Lisboa 1100-291
Portugal
Phone: +351 960333405

Access full text article on other devices

  Access PDF of article on other devices

[HTML Abstract]   [PDF Full Text] [Print This Article]
[Similar article in Pumed] [Similar article in Google Scholar]


How to cite this article
Costa JH, Marques TP, Pádua M. Clavicle chronic recurrent multifocal osteomyelitis - Surgical excision and neo-clavicle.. Int J Case Rep Images 2015;6(4):251–254.


Case Report

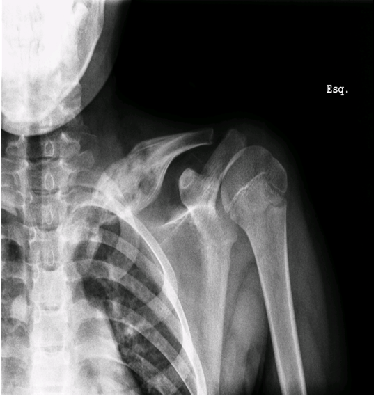
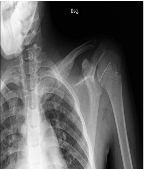
This is a case of an 11-year-old boy with left clavicle pain with two months of evolution presented to emergency department. No history of trauma, fever or systemic signs, recent illness and no relevant personal or familiar medical history. No neurological or vascular abnormalities were found in the upper arms. Left shoulder X-ray revealed a hyperdense lesion and increased thickness of left clavicle (Figure 1). In this context a computed tomography (CT) scan and after a magnetic resonance imaging (MRI) scan were ordered. Both scans demonstrated morphological changes of the median half of the clavicle, cortical destruction and periosteal reaction. Also changes in the surrounding soft and muscular tissue and bulky and numerous locoregional ganglion formations (Figure 2) and (Figure 3). Blood analysis, blood cultures and bone biopsy were negative for infection and neoplastic disorder. In this context, by exclusion, and in the presence of two Jansson major diagnostic criteria (radiologically proven osteolytic/osteosclerotic bone lesions and sterile bone biopsy with signs of inflammation) [1], we reached the diagnosis of chronic recurrent multifocal osteomyelitis (CMRO) (Table 1). Patient was treated with NSAIDs for six months and a short course of corticoids without any response. By keeping complaints of marked and recalcitrant pain in clavicle region, we opted for the surgical treatment: resection of the lesion en bloc, about 7 cm of clavicle (Figure 4), maintaining the integrity of periosteum to allow neo-osteogenesis of the clavicle. No bone grafting or another material was interposed in the dead space left by the resection of the clavicle. Post operatory X-ray, showing a radiopaque area corresponding to the excision of the medial portion of the clavicle (Figure 5).

At third month after surgery, there is an image compatible with a neo-clavicle and patient is asymptomatic (Figure 6).


Cursor on image to zoom/Click text to open image
Figure 1: X-ray revealed a hyperdense lesion and increased thickness of left clavicle.



Cursor on image to zoom/Click text to open image
Figure 2: Computed tomography scan morphological changes of the median half of the clavicle (increased thickness) and cortical destruction.



Cursor on image to zoom/Click text to open image
Figure 3: A coronal T1-weighted magnetic resonance imaging (MRI) scan showing an increased thickness of left clavicle and changes in the surrounding soft and muscular tissue and bulky with numerous locoregional ganglion formations.



Cursor on image to zoom/Click text to open image
Table1: Proposed major and minor diagnostic criteria of CRMO*



Cursor on image to zoom/Click text to open image
Figure 4: En bloc resection of 7 cm of clavicle.



Cursor on image to zoom/Click text to open image
Figure 5: Postoperative X-ray showing a radiopaque area corresponding to the excision of the medial portion of the clavicle



Cursor on image to zoom/Click text to open image
Figure 6: Image compatible with a neo clavicle, three months after surgery.


Discussion

Chronic recurrent multifocal osteomyelitis is a non-bacterial bone inflammation (osteitis), that has symptoms similar to the conventional osteomyelitis, but without infection. It is characterized by multifocal bone lesions with pain and swelling recurring over months to years, accounting of 2 to 5% of all cases of osteomyelitis [2] [3] mostly children and adolescents. The differential diagnosis includes bacterial osteomyelitis, Ewing sarcoma, leukemia, lymphoma, rhabdomyosarcoma, neuroblastoma metastasis, eosinophilic granuloma or Langerhans cell histiocytosis. The tubular long bones, pelvis, hip, sternum and mandible are the most affected bones [4] [5]. The CRMO, in pediatric patients , may be associated with various skin disorders: Pustulosis palmoplantar is syndrome [6] [7] [8], diffuse pustulosis, psoriasis vulgaris, acne [9] [10] [11], Sweet's syndrome and pyoderma gangrenosum [9]. Multiple sites of apparent osteomyelitis with negative pathology and cultures and no response to antibiotherapy characterize it [12]. NSAIDs as naproxen, indomethacin or aspirin are the initial therapy. A short course of corticosteroids can be used in refractory cases. Other treatments such as sulfasalazine or methotrexate [6], bisphosphonates [13] and hyperbaric chamber [14] are also indicated in refractory cases. Antibiotics do not seem to be helpful. Although surgical treatment has been used, its role is not yet clearly defined. We opted for a surgical excision of the clavicle, because of the constant and intense pain with no response to six months of conservative treatment. We think that the good response to surgery makes this case exceptionally unusual. The prognosis for these patients is however good. In one study, 17 of 23 patients had complete resolution of the clinical findings, at an average of 5.6 years after diagnosis. Six patients continue to have active disease, and the other six had intermittent relapses or chronic pain. 78% had no physical impairment [2], but further prospective studies are needed to determine the optimum outcome measures and treatment strategy [15],


Conclusion

The absence of positive microbiologic results, the clinical course and the presence of reactivating and remitting lesions over time suggest the diagnosis of chronic recurrent multifocal osteomyelitis. As the disease is self-limiting, knowledge of its characteristics appearance can lead to the most appropriated treatment, and can prevent overly aggressive medical and surgical evaluation and treatment.


References
  1. Jansson A, Renner ED, Ramser J, et al. Classification of non-bacterial osteitis: retrospective study of clinical, immunological and genetic aspects in 89 patients. Rheumatology (Oxford) 2007 Jan;46(1):154–60.   [CrossRef]   [Pubmed]    Back to citation no. 1
  2. Huber AM, Lam PY, Duffy CM, et al. Chronic recurrent multifocal osteomyelitis: Clinical outcomes after more than five years of follow-up. J Pediatr 2002 Aug;141(2):198–203.   [CrossRef]   [Pubmed]    Back to citation no. 2
  3. McKenna Vozzelli K, Butman L. Osteomyelitis and suppurative arthritis. In: Gershon. Krugman's Infectious Diseases of Children. St. Louis: Mosby Inc 2004:290–301.    Back to citation no. 3
  4. Dabov G. Osteomyelitis. In: Canale T. Cambell\'s operative orthopaedics. St. Louis: Mosby Inc 2003:661–84.    Back to citation no. 4
  5. Carr AJ, Cole WG, Roberton DM, Chow CW. Chronic multifocal osteomyelitis. J Bone Joint Surg Br 1993 Jul;75(4):582–91.   [Pubmed]    Back to citation no. 5
  6. Job-Deslandre C, Krebs S, Kahan A. Chronic recurrent multifocal osteomyelitis: Five-years outcomes in 14 patients cases. Joint Bone Spine 2001 May;68(3):245–1.   [CrossRef]   [Pubmed]    Back to citation no. 6
  7. Schultz C, Holterhus PM, Seidel A, et al. Chronic recurrent multifocal osteomyelitis in children. Pediatr Infect Dis J 1999 Nov;18(11):1008–3.   [CrossRef]   [Pubmed]    Back to citation no. 7
  8. Bjorkstén B, Gustavson KH, Eriksson B, Lindholm A, Nordstrom S. Chronic recurrent multifocal osteomyelitis and pustulosis palmoplantaris. J Pediatr 1978 Aug;93(2):227–31.   [Pubmed]    Back to citation no. 8
  9. Beretta-Piccoli BC, Sauvain MJ, Gal I, et al. Synovitis, acne, pustulosis, hyperostosis, osteitis (SAPHO) syndrome in childhood: A report of ten cases and review of the literature. Eur J Pediatr 2000 Aug;159(8):594–601.   [CrossRef]   [Pubmed]    Back to citation no. 9
  10. Jana H, Pavel K. The SAPHO syndrome in a 16-year-old boy: Coincidence of acne conglobata and osteoarthritis. J Adolesc Health 1993 Mar;14(2):120–3.   [CrossRef]   [Pubmed]    Back to citation no. 10
  11. King SM, Laxer RM, Manson D, Gold R. Chronic recurrent multifocal osteomyelitis: A noninfectious inflammatory process. Pediatr Infect Dis J 1987 Oct;6(10):907–11.   [CrossRef]   [Pubmed]    Back to citation no. 11
  12. Kotilainen P, Merilahti-Palo R, Lehtonen OP, et al. Propionibacterium acnes isolated from sternal osteitis in a patient with SAPHO syndrome. J Rheumatol 1996 Jul;23(7):1302–4.   [Pubmed]    Back to citation no. 12
  13. Akikusa JD, Zacharin M, Shugg AW, Melbourne RCA, Tasmania VC. Bisphosphonates in the treatment of chronic recurrent multifocal osteomyelitis. Arthritis Rheum 2001 44 Suppl 9:171.    Back to citation no. 13
  14. van Merkesteyn JP, Groot RH, Bras J, McCarroll RS, Bakker DJ. Diffuse sclerosing osteomyelitis of the mandible: A new concept of its etiology. Oral Surg Oral Med Oral Pathol 1990 Oct;70(4):414–9.   [Pubmed]    Back to citation no. 14
  15. Batu E, Gulhan B, Topaloglu R, Ozen S. A proposed treatment scheme for chronic recurrent multifocal osteomyelitis (CRMO): A case series of nine patients. Pediatric Rheumatology 2014;12:239.   [CrossRef]    Back to citation no. 15
[HTML Abstract]   [PDF Full Text]

Author Contributions
Jorge H. Costa – Substantial contributions to conception and design, Acquisition of data, Analysis and interpretation of data, Drafting the article, Revising it critically for important intellectual content, Final approval of the version to be published
Tiago P. Marques – Analysis and interpretation of data, Revising it critically for important intellectual content, Final approval of the version to be published
Miguel Pádua – Analysis and interpretation of data, Revising it critically for important intellectual content, Final approval of the version to be published
Guarantor of submission
The corresponding author is the guarantor of submission.
Source of support
None
Conflict of interest
Authors declare no conflict of interest.
Copyright
© 2015 Jorge H. Costa et al. This article is distributed under the terms of Creative Commons Attribution License which permits unrestricted use, distribution and reproduction in any medium provided the original author(s) and original publisher are properly credited. Please see the copyright policy on the journal website for more information.