Clinical Image
 
Total urethrovesical anastomotic disruption
Han-Kuang Chen1, Alicia Helena Mackowski2
1MBBS, Surgical Resident, Medical Department, St John of God Subiaco Hospital, Subiaco, WA, Australia.
2MBBS, Surgical Resident, Medical Department, St John of God Subiaco Hospital, Subiaco, WA, Australia.

doi:10.5348/ijcri-201514-CL-10069

Address correspondence to:
Han-Kuang Chen
12 Salvado St, Subiaco
WA 6008
Phone: +61419761656
Fax: +6194796642

Access full text article on other devices

  Access PDF of article on other devices

[HTML Abstract]   [PDF Full Text] [Print This Article]
[Similar article in Pumed] [Similar article in Google Scholar]


How to cite this article
Chen Han-Kuang, Mackowski AH. Total urethrovesical anastomotic disruption. Int J Case Rep Images 2015;6(4):248–250.


Case Report

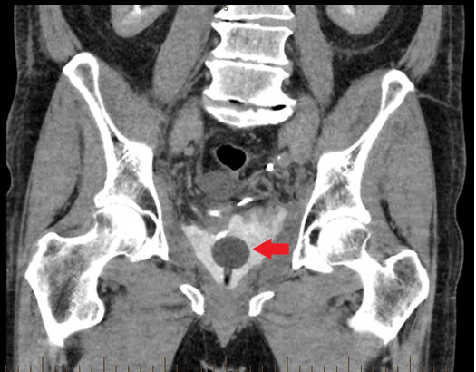
A 68-year-old was male presented to the hospital on day-8 post robot-assisted laparoscopic radical prostatectomy (RALRP) for routine catheter removal and trial of void. He had no other significant medical history and the procedure was performed for Gleason 7 biopsy-proven prostate adenocarcinoma. On admission, he reported feeling unwell for the last two days and passing dark blood-stained urine with debris, but no symptoms of infection were experienced. These symptoms were preceded by an episode of "coughing fits". On examination, the patient was afebrile and his vital signs were within normal range. Cardiopulmonary examination was normal and abdomen was soft and non-tender. The laparoscopic surgical wounds appeared clean and healthy. Pelvic computed tomography scan showed disruption of the anastomosis with the catheter lying within the contrast-filled prostatic cavity (Figure 1).

The patient was returned to operating theatre for Da Vinci Si HD (Intuitive Surgical Inc, USA) robot-assisted reconstruction of urethrovesical anastomosis. Intraoperatively, complete urethrovesical anastomosis disruption was evident (Figure 2), and there appeared to be an anastomotic suture breakage and splitting of the bladder neck. The repair process was difficult due to tissue fragility. The anastomosis was repaired with monofilament suture by van Velthoven style; reinforcements with simple interrupted suture were made at 2 o'clock, 5 o'clock, 7 o'clock and 10 o'clock. Patient recovered well postoperatively but anastomotic leak was persistent. The urinary catheter was kept in for four weeks total after which cystogram showed water-tight healing.


Cursor on image to zoom/Click text to open image
Figure 1: Pelvic computed tomography scan showing disruption of the anastomosis with the catheter lying within the contrast-filled prostatic cavity.



Cursor on image to zoom/Click text to open image
Figure 2: Total urethrovesical anastomotic disruption seen on robotic camera.


Discussion

Urethrovesical anastomotic leak is one of the most common complications after radical prostatectomy with an incidence of 0.3–15.4% [1]. Many factors have been associated with urethrovesical anastomotic leak, such as patient characteristics, surgeon experience and the technical details of the procedure [1]. It is reasonable to assume that disruption of the anastomosis is associated with the same factors.

The RALRP in this case was performed by an experienced surgeon (more than 100 RALRPs performed) on an otherwise healthy 68-year-old male who had no other significant co-morbidity and a healthy BMI of 25. Therefore, it was unlikely that patient characteristics or surgeon experience contributed to this adverse event. In terms of technical details of the anastomosis, we performed posterior reconstruction of the rhabdosphincter with a dissolvable monofilament suture as per Rocco et al. [2] technique after resection of the prostate. The urethrovesical anastomosis was performed using a modified van Velthoven [3] technique with two 20-cm 3–0 Monocryl sutures tied together at the free ends. There was no urethrovesical leak when inflating the bladder with 120 mL of normal saline. Operative time was 140 minutes. Estimated blood loss was 300 mL. There was no immediate complication post-operatively and length of hospital stay was two days.

The coughing fits: reported by the patient was a suspicious factor in this case as the patient's symptoms started after the coughing episode. It is known that coughing increases urethral pressure and it is greater than that generated by voluntary pelvic floor contraction [4]. The intraoperative findings of suture breakage and splitting of the bladder neck also suggested that force was involved in causing the urethrovesical disruption. Therefore, in our opinion, this is the most likely cause for the adverse event in this case. To our knowledge, no other similar cases have been reported.


Conclusion

Urethrovesical anastomotic disruption, as oppose to anastomotic leak, is likely associated with the same factors, such as patient characteristics, surgeon experience and the technical details of the procedure. In this case, however, presenting history and intraoperative findings suggested that force was involved in causing the urethrovesical disruption. Therefore, we concluded that the most likely cause for the urethrovesical disruption in this case was the sudden change in urethral pressure related to coughing.


References
  1. Tyritzis SI, Katafigiotis I, Constantinides CA. All You Need to Know About Urethrovesical Anastomotic Urinary Leakage Following Radical Prostatectomy. J Urol 2012 Aug;188(2):369–76.   [CrossRef]   [Pubmed]    Back to citation no. 1
  2. Rocco F, Carmignani L, Acquati P, et al. Early Continence Recovery after Open Radical Prostatectomy with Restoration of the Posterior Aspect of the Rhabdosphincter. Eur Urol 2007 Aug;52(2):376–83.   [CrossRef]   [Pubmed]    Back to citation no. 2
  3. Coelho RF, Chauhan S, Sivaraman A, et al. Modified technique of robotic-assisted simple prostatectomy: Advantages of a vesico-urethral anastomosis. BJU Int 2012 Feb;109(3):426–33.   [CrossRef]   [Pubmed]    Back to citation no. 3
  4. Lose G, Colstrup H. Urethral Pressure and Power Generation during Coughing and Voluntary Contraction of the Pelvic Floor in Healthy Females. Br J Urol 1991 Jun;67(6):573–9.   [CrossRef]   [Pubmed]    Back to citation no. 4
[HTML Abstract]   [PDF Full Text]

Author Contributions
Han-Kuang Chen – Conception and design, Acquisition of data, Analysis and interpretation of data, Drafting the article, Critical revision of the article, Final approval of the version to be published
Alicia Helena Mackowski – Conception and design, Acquisition of data, Analysis and interpretation of data, Drafting the article, Critical revision of the article, Final approval of the version to be published
Guarantor of submission
The corresponding author is the guarantor of submission.
Source of support
None
Conflict of interest
Authors declare no conflict of interest.
Copyright
© 2015 Han-Kuang Chen et al. This article is distributed under the terms of Creative Commons Attribution License which permits unrestricted use, distribution and reproduction in any medium provided the original author(s) and original publisher are properly credited. Please see the copyright policy on the journal website for more information.