![]() |
|
![]() |
|
Case Report
| ||||||
| Internal hernias: Emergency department radiological dilemma | ||||||
| Cigdem Ozpolat1, Halil Ibrahim Atalay1, Sefer Ozkaya1, Musa Adanc1, Arzu Denizbasi1, Ozge Onur1, Serkan Emre Eroglu1, Haldun Akoglu1 | ||||||
|
1MD, Marmara University Pendik Research and Training Hospital, Department of Emergency Medicine, Istanbul, Turkey.
| ||||||
| ||||||
|
[HTML Abstract]
[PDF Full Text]
[Print This Article]
[Similar article in Pumed] [Similar article in Google Scholar]
|
| How to cite this article |
| Ozpolat C, Atalay HI, Ozkaya S, Adanc M, Denizbasi A, Onur O, Eroglu SE, Akoglu H. Internal hernias: Emergency department radiological dilemma. Int J Case Rep Images 2015;6(2):111–114. |
|
Abstract
|
|
Introduction:
Internal abdominal hernias present a non-specific clinical presentation. Clinical diagnosis is often difficult so imaging studies. It plays an important role in the early diagnosis. Its diagnosis remains difficult even after the computed tomography (CT) scans disseminated accessibility and use. We present a case that was confirmed CT scan and treated with subsequent surgery.
Case Report: A 37-year-old female presented to the emergency department with diffuse abdominal pain, developing suddenly an hour ago. In her physical examination, there was diffuse tenderness, and rebound and guarding in right upper and lower quadrants. A CT scan of the abdomen and pelvis with intravenous contrast demonstrated dilatation and left migration of the loops of jejenum, migration of inferior mesenteric vein to the left, and free fluid in abdomen. In the operation, it was seen that ileum was herniated around cecum (paracecal hernia). Conclusion: Internal abdominal herniations are rare conditions. Clinical presentation may be non-specific, and diagnosis is difficult if it is not thought. But delayed diagnosis results in increased mortality and non-viable intestinal tissue. So emergency physicians should aware of this condition and radiological images for early surgery consultation. | |
|
Keywords:
Internal herniation, Intestinal obstruction, Paracecal hernia, Radiological dilemma
| |
|
Introduction
| ||||||
|
An internal hernia is a rare condition defined as the protrusion of abdominal viscera into one of the fossae, foramina, recesses, or congenital defects within the abdominal and pelvic cavity [1]. The sex ratio exposed a male prevalence of 3:2 [2]. The aperture can be normal, encased with a sac or either abnormal, not possessing a sac. Congenital anomalies due to improper intestinal rotation, previous trauma, vascular or inflammatory diseases, or postsurgical iatrogenic are predisposed factors to internal herniation. Internal hernias are generally classified into six types: paraduodenal, pericecal, foramen of Winslow, transmesenteric, pelvic and supravesical, and intersigmoid [2]. Internal hernias may present as intestinal obstruction and account for 0.5–4.1% of all cases [3]. Congenital and acquired defects in the mesentery of the cecum or appendix, may lead to development of a pericecal hernia. Anatomically, there are four types of peritoneal recesses of various sizes and depths identified in the pericecal region, including the superior ileocecal recess, inferior ileocecal recess, retrocecal recess and paracolic sulci [4] [5]. Internal abdominal hernias present a non-specific and intermittent clinical presentation. Therefore, clinical diagnosis of internal hernias is often difficult and thus imaging studies play an important role in the early diagnosis. Its diagnosis remains difficult even after the computed tomography (CT) scans disseminated accessibility and use. We present a case of atypical presentation of acute abdomen and was diagnosed as internal herniation with CT scan, thereafter confirmed with subsequent emergency surgery. | ||||||
|
Case Report
| ||||||
|
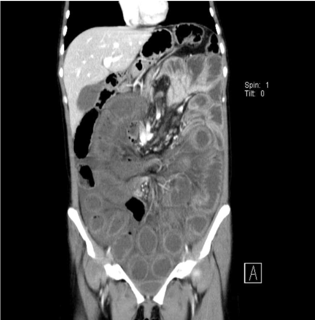
A 37-year-old female presented to the emergency department with diffuse abdominal pain, developing suddenly an hour ago. The pain was severe, not colicky and radiated through to her back. Sitting upright and leaning forward relieved the pain. She was also complaining from nausea and vomiting. She was passing flatus. Before, she had not experienced any similar pain. Her vital signs were normal. In her physical examination, there was diffuse tenderness, and rebound, guarding in right upper and lower quadrants. In blood gas analysis, her venous blood pH: 7.19, HCO3: 16 mmol/L, CO2: 47 mmHg, lactate 4.2 mmol/L, base excess: 10.6 mmol/L. In her total blood count, white blood cell was 13400/L. Her liver function tests were minimally elevated. As her pain was persistent and unexplained. A computed tomography scan of the abdomen and pelvis with intravenous contrast demonstrated dilatation and left migration of the loops of jejenum, migration of inferior mesenteric vein to the left, and free fluid in abdomen (Figure 1) and (Figure 2). With the prediagnosis of internal herniation, fluid resuscitation and supportive care were initiated for preparation for surgery. In the first, operation laparotomy with mid line incision made, 500 cc fluid was aspirated, it was seen that 50 cm segment of the terminal ileum was herniated medial to cecum (paracecal hernia), ileum was extracted from the defect. It was seen that loops of jejenum and terminal ileum up to 50 cm proximal to ileocecal valve were dilated and viable. Hot compresses were situated. Resection was not applied due to revascularization of ischemic loops was seen after 10 minutes. The defect was repaired and operation was terminated. After three days, patient deteriorated; in the exploration ischemia was detected beginning from 10 cm proximal of terminal ileum up to the 200 cm ileum. Ischemic loops were dissected, serosal tearing in ileum and sigmoid colon repaired. Efferent and afferent tips together subtracted from right upper quadrant. After four days, probably from micro perforations and ventilator associated pneumonia, in blood culture first methicillin resistant Staphylococcus auerus then Pseudomonas aeruginosa proliferated, despite of full septic shock treatment (fluid therapy; vancomycin, clindamycin, gentamycin antibiotic therapy; vasopressors with noradrenalin and dopamine), the patient died in intensive care unit due to sepsis and multi-organ failure. | ||||||
| ||||||
| ||||||
|
Discussion
| ||||||
|
In autopsies, internal hernia has been reported to range from 0.2–0.9% [2]. In the reality, we know that 5.8% cases of small bowel obstruction are due to internal hernia [4]. Internal herniation should be considered as a differential diagnosis in patients presenting with symptoms of small bowel obstruction without a history of prior abdominal surgery. Normally, standard hernias results from defects in the retaining walls of the abdomen. But internal hernias are due to the organ protrusion through an opening or pouch of the peritoneum. Patient may be asymptomatic or may have ileus symptoms and findings like constant epigastric pain or intermittent colicky periumbilical pain. There may be nausea or vomiting. The severity of the pain is related to the presence of ischemia or necrosis. As no specific symptoms are associated with the condition, it is rarely diagnosed preoperatively. Clinical examination is non-specific and laboratory findings are rarely helpful. Although the occurrence is rare, delayed diagnosis and treatment are associated with a high mortality rate. Abdominal CT scan is important for intestinal obstruction [6]. Computed tomography scan gives information about location of obstruction, the possible underlying causes, such as malignancy, stenosis within the bowel wall, and other intraluminal problems such as intussusception, feces or or Bezoar like substances [7]. Computed tomography scan has become the first-line imaging technique in patients with suspected acute abdomen. Etiologies of acute abdomen like internal hernias are often difficult to identify with physical examination [8]. Computed tomography scan showed classic signs of internal herniation as 'Whirlpool sign', crowding of bowel loops in the upper compartment and the absence of cecum in the right iliac fossa, replacement of abdominal organs and vasculature. If strangulation of the intestine is suspected including other causes also, an internal hernia should be considered as in our case. Delay in diagnosis and treatment is often observed in internal hernia cases and results high mortality rate of up to 49% [9]. In the operation, often intestinal obstruction associated with non-viable bowel detected. So the treatment invariably requires urgent surgery. Usually, open surgery is performed. Only a few cases of laparoscopic hernia management have been reported [10] . If there is intestinal necrosis, an adequate resection is mandatory. Nevertheless, there is no clear and established consensus on surgical management when the herniated contents are grossly viable. | ||||||
|
Conclusion
| ||||||
|
In the symptoms of intestinal obstruction, a high index of suspicion for internal hernia is necessary to prevent diagnostic delay and mortality in emergency departments. | ||||||
|
References
| ||||||
| ||||||
|
[HTML Abstract]
[PDF Full Text]
|
|
Author Contributions
Cigdem Ozpolat – Substantial contributions to conception and design, Analysis and interpretation of data, Drafting the article, Revising it critically for important intellectual content, Final approval of the version to be published Halil Ibrahim Atalay – Substantial contributions to conception and design, Analysis and interpretation of data, Drafting the article, Revising it critically for important intellectual content, Final approval of the version to be published Sefer Ozkaya – Substantial contributions to conception and design, Acquisition of data, Drafting the article, Revising it critically for important intellectual content, Final approval of the version to be published Musa Adanc – Acquisition of data, Drafting the article, Revising it critically for important intellectual content, Final approval of the version to be published Arzu Denizbasi – Acquisition of data, Revising it critically for important intellectual content, Final approval of the version to be published Ozge Onur – Substantial contributions to conception and design, Acquisition of data, Revising it critically for important intellectual content, Final approval of the version to be published Serkan Emre Eroglu – Acquisition of data, Analysis and interpretation of data, Revising it critically for important intellectual content, Final approval of the version to be published Haldun Akoglu – Acquisition of data, Revising it critically for important intellectual content, Final approval of the version to be published |
|
Guarantor of submission
The corresponding author is the guarantor of submission. |
|
Source of support
None |
|
Conflict of interest
Authors declare no conflict of interest. |
|
Copyright
© 2015 Cigdem Ozpolat et al. This article is distributed under the terms of Creative Commons Attribution License which permits unrestricted use, distribution and reproduction in any medium provided the original author(s) and original publisher are properly credited. Please see the copyright policy on the journal website for more information. |
|
|