![]() |
|
![]() |
|
Case Report
| ||||||
| Spontaneous heterotopic triplet pregnancy: Tubal and intrauterine twin gestation | ||||||
| Ebelechukwu Chris Nnoli1, Andrew Lefkovits2, Clark Bruce2 | ||||||
|
1MD, Resident Physician, Department of Obstetrics and Gynecology, Albany Medical Center, 16 New Scotland Avenue, Albany, NY, USA.
2MD, Attending Physician, Department of Obstetrics and Gynecology, Albany Medical Center, 16 New Scotland Avenue, Albany, NY, USA. | ||||||
| ||||||
|
[HTML Abstract]
[PDF Full Text]
[Print This Article]
[Similar article in Pumed] [Similar article in Google Scholar]
|
| How to cite this article |
| Nnoli EC, Lefkovits A, Bruce C. Spontaneous heterotopic triplet pregnancy: Tubal and intrauterine twin gestation. Int J Case Rep Images 2015;6(2):99–102. |
|
Abstract
|
|
Introduction:
Although there have been reports of heterotopic pregnancies in published literature, there has not been a documented report, to the best of our knowledge of a spontaneous conception of intrauterine twins along with a tubal ectopic without risk factors.
Case Report: A 29-year-old female with a prior obstetric history of spontaneous intrauterine twins presented with a second spontaneous conception of intrauterine twins along with a tubal ectopic pregnancy. The patient was taken to the operating room after tubal rupture, where the ectopic conceptus was removed laparoscopically without complications. She was discharged the following day to follow-up as an outpatient. At the time of writing, her last prenatal visit at 24 weeks gestation was uncomplicated. Conclusion: Though rare, it is prudent that there be continued awareness of the possibility of a heterotopic pregnancy even in the absence of risk factors especially in a patient with symptoms. When confirmed and the patient is clinically stable, surgical management via laparoscopy is a safe alternative. | |
|
Keywords:
Heterotopic pregnancy, Twin gestation, Laparoscopy, Transvaginal ultrasound
| |
|
Introduction
| ||||||
|
Heterotopic pregnancy is when gestation present in two or more sites of implantation. It is a rare event with an occurrence rate of less than 1 in 30,000 in spontaneous pregnancies. With the introduction of assisted reproductive technology, the occurrence rate is between 1 in 100 and 1 in 500 [1] . After extensive literature search and finding no recorded case, we report a case report of a rare occurrence of a spontaneously conceived twin intrauterine gestation along with a tubal ectopic pregnancy. | ||||||
|
Case Report
| ||||||
|
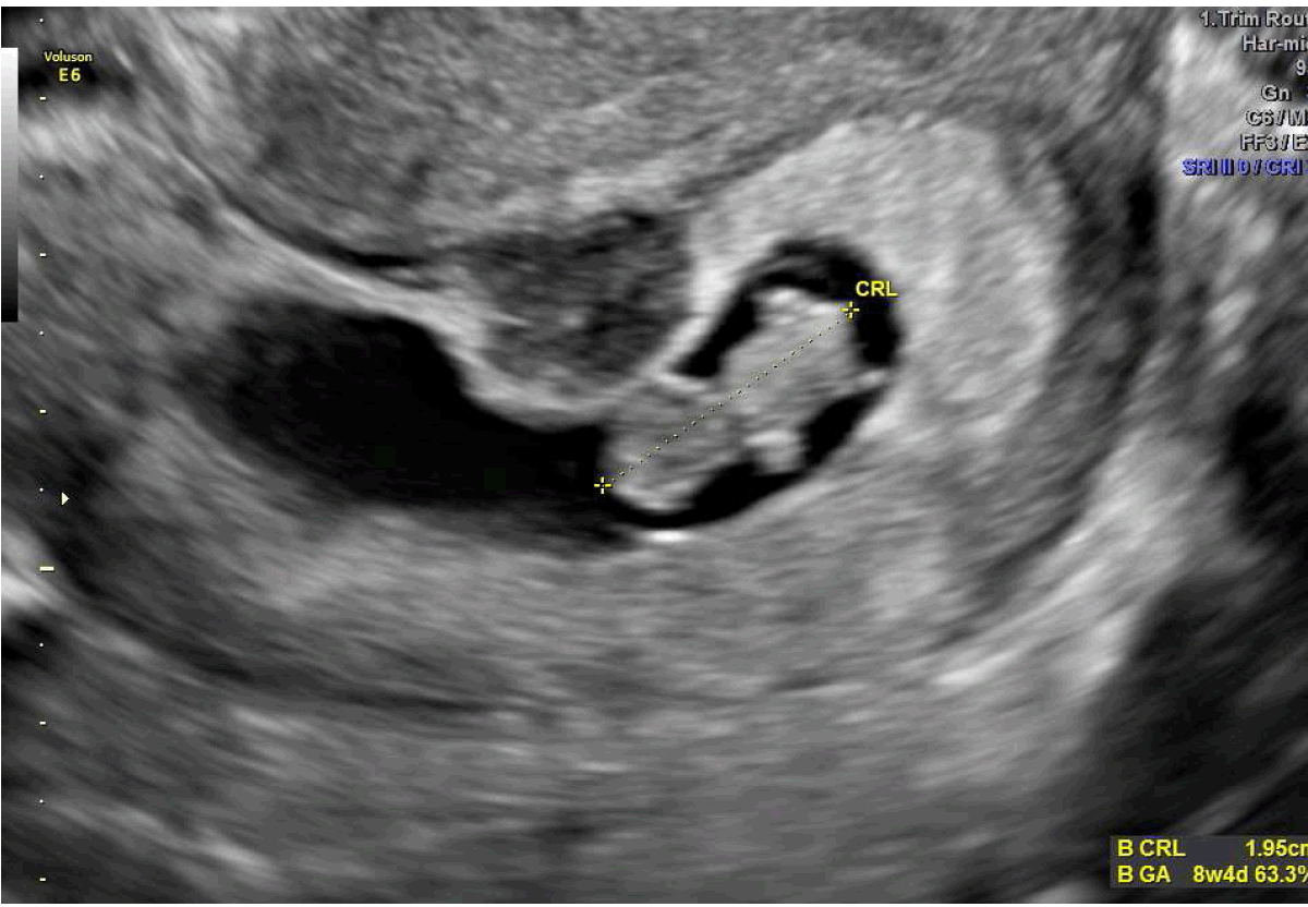
A 29-year-old female presented to the emergency department at our hospital with complaints of mild abdominal pain associated with nausea. Physical examination findings were normal with stable vital signs and a slightly elevated white blood cell count of 14x103 cells/mm3. A transvaginal ultrasound scan revealed di-amniotic di-chorionic twin intrauterine pregnancy at 6 weeks and 2 days gestation as well as normal sized ovaries with arterial and venous flow to both ovaries. The patient reported no use of assisted reproductive techniques in conception. Of significance, she also reported spontaneous conception of di-amniotic di-chorionic twins, delivered vaginally at 35 weeks, 3 years prior to presentation to the emergency department. Her history was only notable for breast augmentation after her twin delivery, multiple urinary tract infections, former 14-pack per year smoker and the use of Depo-Provera for 12 years. After satisfactory workup in the emergency department and with consultation from the obstetrics and gynecology team, the patient was discharged to follow-up as an outpatient for a repeat ultrasound. At eighth week and four days she presented to the office, where a repeat transvaginal ultrasound scan revealed twin gestation with an ectopic pregnancy situated in the right tube, close to the right ovary (Figure 1) (Figure 2) (Figure 3). Given the patient' stable clinical status upon presentation, she was scheduled for laparoscopic surgery the following morning. A few hours upon leaving the office, the patient presented to our emergency department complaining of severe lower abdominal pain. An acute abdomen was diagnosed on physical examination with stable vital signs, white blood cell count of 16x103 cells/mm3, hemoglobin 11 g/dL, hematocrit 34%. A diagnosis of a ruptured ectopic was made clinically mainly based on the acute abdomen. As a result, the patient was taken for an emergent laparoscopy. Upon entry into the abdomen, the right tubal pregnancy with partial implantation on the broad ligament had ruptured with significant hemoperitoneum. A fimbriectomy was carried out without complications. The patient tolerated the procedure well and was discharged the following day in stable condition. | ||||||
| ||||||
| ||||||
| ||||||
|
Discussion
| ||||||
|
There are various forms of heterotopic pregnancy including but not limited to twin tubal pregnancy and intrauterine pregnancy, bilateral tubal and intrauterine pregnancy and intrauterine pregnancies associated with cornual, cervical or ovarian pregnancies [1] [2]. A large number of reported cases of twin heterotopic pregnancies are associated with assisted reproductive techniques, with reported rates of 1 in 100–500 [1]. With spontaneous conception, the rate decreases to 1 in 30,000 [1]. Our patient is unique in that this pregnancy is the second spontaneous pregnancy resulting in twin gestation. She had none of the risk factors that would predispose her to having an ectopic pregnancy, namely a history of pelvic inflammatory disease, endometriosis, tubal surgery that may cause damage to the tubes, previous ectopic and assisted reproductive techniques (In vitro fertilization being the most important risk factor) [1] [3]. Transvaginal ultrasounds are vital in diagnosing heterotopic pregnancies as early as five weeks up to 34 weeks with ours diagnosed a little over eight weeks [1] [3] [4]. The clinical presentation of a heterotopic pregnancy varies widely, with abdominal pain the most commonly reported symptom [3] [4]. When our patient presented at sixth week with complaints of abdominal pains, a transvaginal ultrasound was done which documented the twin gestation though it is not surprising that the ectopic was missed as the sensitivity of ultrasound is low [1]. Diagnosing the ectopic gestation of a heterotopic pregnancy is difficult, resulting in delay of diagnosis which can put the mother at risk of complications, namely tubal rupture, increased risk of blood transfusion and shock. We encountered the same difficulty at initial presentation prompting discharge to follow-up as an outpatient. When she returned to the office, a transvaginal ultrasound was able to detect fetal heart rates in both the ectopic and the twin fetuses, which confirmed the diagnosis. Successful medical management of ectopic pregnancy using methotrexate or KCl has been described in literature though this should not be used in the event of a ruptured ectopic [2] . Surgery is one of the treatments of ectopic pregnancy, which can be done via laparotomy or laparoscopy [1] [2][3]. We proceeded with laparoscopy to help minimize interference with the intrauterine pregnancy but more so because she was hemodynamically stable, as evidenced by her clinical presentation and vital signs. According to published reports, laparoscopic management of heterotopic pregnancy allows for a faster recovery time and minimal requirements for antibiotics and pain medications, which was true in our case [5]. As long as operating time is kept under an hour and a 10–12 mmHg intraperitoneal pressure maintained, there is minimal effect on mother and fetus [5]. Although a study released by Heather et al. suggest that heterotopic pregnancies are more likely to result in spontaneous abortion, at the time of writing this report, the patient continues to do very well with this pregnancy and just recently completed her 24th week prenatal visit without complications [6]. | ||||||
|
Conclusion
| ||||||
|
This case demonstrates the uniqueness of heterotopic pregnancy without risk factors or assisted reproductive techniques and the use of laparoscopy as a safe surgical alternative for its treatment as long as the patient is hemodynamically stable. | ||||||
|
Acknowledgements
| ||||||
|
Clark Bruce MD, Department of Obstetrics and Gynecology, Albany Medical Center, 16 New Scotland Avenue, Albany, NY 12208, USA. | ||||||
|
References
| ||||||
| ||||||
|
[HTML Abstract]
[PDF Full Text]
|
|
Author Contributions
Ebelechukwu Chris Nnoli – Conception and design, Acquisition of data, Analysis and interpretation of data, Drafting the article, Critical revision of the article, Final approval of the version to be published Andrew Lefkovits – Conception and design, Acquisition of data, Analysis and interpretation of data, Drafting the article, Critical revision of the article, Final approval of the version to be published Clark Bruce – Conception and design, Acquisition of data, Analysis and interpretation of data, Drafting the article, Critical revision of the article, Final approval of the version to be published |
|
Guarantor of submission
The corresponding author is the guarantor of submission. |
|
Source of support
None |
|
Conflict of interest
Authors declare no conflict of interest. |
|
Copyright
© 2015 Ebelechukwu Chris Nnoli et al. This article is distributed under the terms of Creative Commons Attribution License which permits unrestricted use, distribution and reproduction in any medium provided the original author(s) and original publisher are properly credited. Please see the copyright policy on the journal website for more information. |
|
|