Introduction
|
|
Takotsubo cardiomyopathy (TTC) is an entity which mimics acute coronary syndrome and characterized by reversible left ventricular systolic dysfunction [1]. Acute physical or psychological stresses are frequently found, but not systematic [2]. Diagnosis is based on the criteria of the Mayo clinic [3]. Postmenopausal women are the most affected population. Several additional tests may be performed to confirm the diagnosis are electrocardiogram, cardiac biomarkers, echocardiography, coronary angiography and ventriculography and magnetic resonance imaging (MRI) scan [4]. Left ventricular dysfunction is pathognomonic, with a circular akinesis or dyskinesis, affecting different medium and apical portions of the left ventricle in its typical form [5]. Here, we report a case of atypical TTC in a 51-year-old female who underwent a dental procedure including 2% xylocaine injection into gum. Xylocaine is used for local anesthesia in many specialties. This is a rare side effect, with atypical presentation of the disease, due to a global dysfunction of the left ventricle rather than segmental.
|
Case Report
|
|
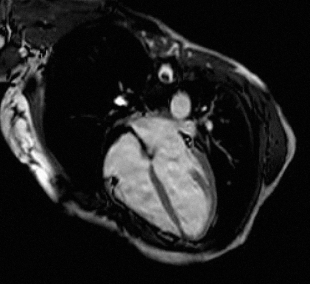
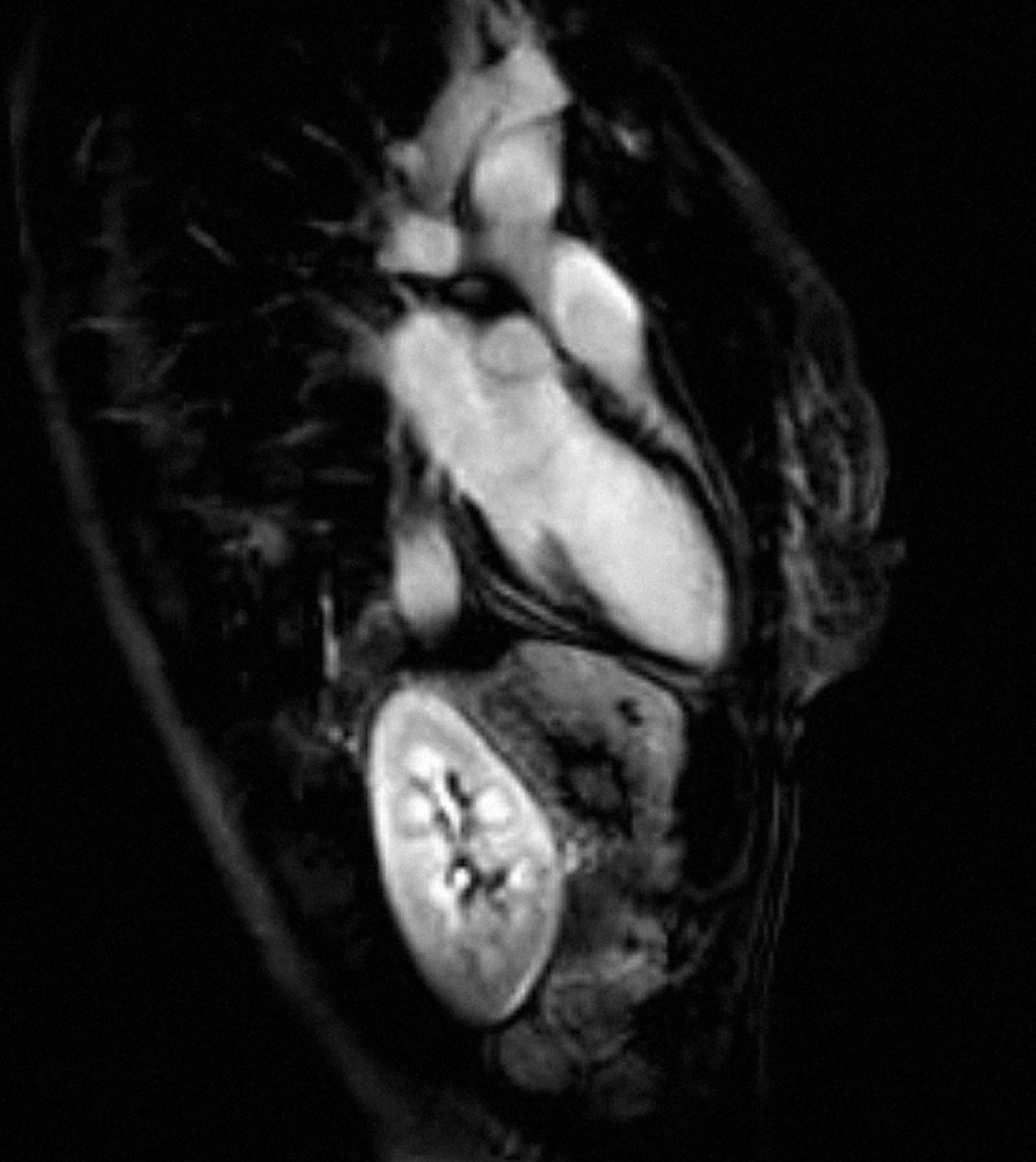
A 51-year-old Caucasian female with a past medical history of depression underwent dental procedure. She had no allergy, no history of smoking or alcohol consumption, and no family history of heart disease. The dentist injected a solution of 2% xylocaine into gum. Three minutes following the procedure, the patient complained for chest pain, during one hour. She was admitted to a cardiac intensive care unit. Her blood pressure was 125/65 mmHg, her pulse rate was 70 beats per minute (regular), and her spontaneous arterial oxygen saturation was 97%. Her physical examination was normal. Her electrocardiogram (ECG) revealed T waves inversions in AVF, DII, DIII, V4, V5 and V6 (Figure 1). Troponin level performed at admission was 23 ng/mL (N=0,05). C-reactive protein (CRP) concentration was normal. Chest X-ray was normal. Cardiac catheterization and ventriculography were normal. An early trans-thoracic echocardiogram and cardiac MRI found a global left ventricular hypokinesis with depressed ejection fraction of 40%, without late gadolinium enhancement (Figure 2)
(Figure 3) (Figure 4). Chest pain stopped the first day and the patient was discharged from hospital six days later, with beta blocker treatment (bisoprolol 5 mg/day). Left ventricular ejection fraction has been checked normal (65%) after five weeks of treatment. We concluded to atypical TTC induced by injection of xylocaine.
|
|
|
|
|
|
|
|
|
|
|
Discussion
|
|
Takotsubo, also known as "left apical ballooning", is defined by acute but reversible left ventricular systolic dysfunction in patients for whom atherosclerotic coronary artery disease was excluded [6]. About 1–2% of all acute myocardial infarction are TTC [7]. Patients are most likely postmenopausal women who experienced acute physical or emotional stress. Ventriculography typically reveals left ventricular apical akinesis or hypokinesis and basal hyper-contractility [8]. The diagnosis of takotsubo was defined through clinical consensus based on the following criteria proposed by the Mayo clinic: acute cardiac event typically presenting with chest pain or dyspnea; dyskinesis of the left ventricular segments (hypokinesis or akinesis); wall motion abnormalities extending beyond an epicardial territory distribution; a stressful trigger is often, but not always present; absence of significant obstructive coronary artery disease or angiographic evidence of acute plaque rupture; ECG abnormalities (ST or T-wave modifications) or troponin elevation; absence of pheochromocytoma and absence of myocarditis or typical ischemic transmural late gadolinium enhancement on MRI [9]. Takotsubo syndrome is probably related in part to catecholamine overload [10]. Intravenous administration of catecholamines and other beta-receptor agonists have been associated with takotsubo syndrome occurrence. In a study, nine cases of stress cardiomyopathy occurred immediately after intravenous administration of epinephrine (six cases) or dobutamine (three cases) [11]. As in our case, a study report two cases of TTC occurring in teenage girls undergoing cosmetic rhinoplasty [12]. In these cases, injection of xylocaine with epinephrine was realized into subcutaneous planes. A systematic review of the literature revealed only one case in a dental journal after local anesthesia [13]. Recently, a Takotsubo syndrome occurring after consumption of an energy drink, containing sympathomimetic substances, specifically caffeine and 1,3-dimethylamylamine, had been reported [14]. Twenty different drugs were recognized as possible drug-induced Takotsubo. In the majority of cases, iatrogenic takotsubo are associated with sympathomimetics drugs [15]. To our knowledge, few cases have been reported of patients with atypical presentation of TTC. In some cases they had global left ventricular dysfunction, instead of wall motion abnormalities related to epicardial territory distribution [16]
[17]. This rare presentation could be explained by a global microcirculatory impairment effect during the acute phase of TTC [18]. Little data exists on this atypical presentation of the disease. Our case demonstrates that TTC physiopathology is still little-understood.
|
Conclusion
|
|
Takotsubo was first described in 1991. In most cases, patients with takotsubo cardiomyopathy (TTC) are postmenopausal women who present chest pain following an acute stress. Since this is a new clinical entity, knowledge are likely to evolve in the coming years. In particular, its physiology must be better defined. Our case shows that some drugs, like local anesthetics, may be responsible of takotsubo with atypical presentation.
|
References
|
-
Crea F, Luizzo G. Pathogenesis of acute coronary syndromes. J Am Coll Cardiol 2013 Jan 8;61(1):1–11.
[CrossRef]
[Pubmed]

-
Wittstein IS, Thiemann DR, Lima JA, et al. Neurohumoral features of myocardial stunning due to sudden emotional stress. N Engl J Med 2005 Feb 10;352(6):539–48.
[CrossRef]
[Pubmed]

-
Prasad A, Lerman A, Rihal CS. Apical ballooning syndrome (Tako-Tsubo or stress cardiomyopathy): A mimic of acute myocardial infarction. Am Heart J 2008 Mar;155(3):408–17.
[CrossRef]
[Pubmed]

-
Pilgrim TM, Wyss TR. Takotsubo cardiomyopathy or transient left ventricular apical ballooning syndrome: A systematic review. Int J Cardiol 2008 Mar 14;124(3):283–92.
[CrossRef]
[Pubmed]

-
Eitel I, von Knobelsdorff-Brenkenhoff F, Bernhardt P, et al. Clinical characteristics and cardiovascular magnetic resonance findings in stress (takotsubo) cardiomyopathy. JAMA 2011 Jul 20;306(3):277–86.
[CrossRef]
[Pubmed]

-
Maron BJ, Towbin JA, Thiene G, et al. Contemporary definitions and classification of the cardiomyopathies: An American Heart Association Scientific Statement from the Council on Clinical Cardiology, Heart Failure and Transplantation Committee; Quality of Care and Outcomes Research and Functional Genomics and Translational Biology Interdisciplinary Working Groups; and Council on Epidemiology and Prevention. Circulation 2006 Apr 11;113(14):1807–16.
[Pubmed]

-
Kurowski V, Kaiser A, von Hof K, et al. Apical and midventricular transient left ventricular dysfunction syndrome (tako-tsubo cardiomyopathy): Frequency, mechanisms, and prognosis. Chest 2007 Sep;132(3):809–16.
[Pubmed]

-
Donohue D, Ahsan C, Sanaei-Ardekani M, Movahed MR. Early diagnosis of stress-induced apical ballooning syndrome based on classic echocardiographic findings and correlation with cardiac catheterization. J Am Soc Echocardiogr 2005 Dec;18(12):1423.
[CrossRef]
[Pubmed]

-
Prasad A, Lerman A, Rihal CS. Apical ballooning syndrome (Tako-Tsubo or stress cardiomyopathy): A mimic of acute myocardial infarction. Am Heart J 2008 Mar;155(3):408–17.
[CrossRef]
[Pubmed]

-
Akashi YJ, Nakazawa K, Sakakibara M, Miyake F, Koike H, Sasaka K. The clinical features of takotsubo cardiomyopathy. QJM 2003 Aug;96(8):563–73.
[CrossRef]
[Pubmed]

-
Abraham J, Mudd JO, Kapur NK, Klein K, Champion HC, Wittstein IS. Stress cardiomyopathy after intravenous administration of catecholamines and betareceptor agonists. J Am Coll Cardiol 2009 Apr 14;53(15):1320–5.
[CrossRef]
[Pubmed]

-
Glamore M, Wolf C, Boolbol J, Kelly M. Broken heart syndrome: A risk of teenage rhinoplasty. Aesthet Surg J 2012 Jan;32(1):58–60.
[CrossRef]
[Pubmed]

-
Higuchi H, Maeda S, Miyawaki T, et al. Dental management of a patient with takotsubo cardiomyopathy: A case report. Oral Surg Oral Med Oral Pathol Oral Radiol Endod 2007 Mar;103(3):e26–9.
[CrossRef]
[Pubmed]

-
Kaoukis A, Panagopoulou V, Mojibian HR, Jacoby D. Reverse Takotsubo cardiomyopathy associated with the consumption of an energy drink. Circulation 2012 Mar 27;125(12):1584–5.
[CrossRef]
[Pubmed]

-
Amariles P. A comprehensive literature search: Drugs as possible triggers of Takotsubo cardiomyopathy. Curr Clin Pharmacol 2011 Feb;6(1):1–11.
[CrossRef]
[Pubmed]

-
Ripa C, Olivieri F, Antonicelli R. Tako-tsubo-like syndrome with atypical clinical presentation: Case report and literature review. Angiology 2009 Aug-Sep;60(4):513–7.
[CrossRef]
[Pubmed]

-
Madias JE. Global microcirculatory impairment in Takotsubo syndrome: Is it present at the onset of illness, or it develops later? Int J Cardiovasc Imaging 2014 Feb;30(2):457–8.
[CrossRef]
[Pubmed]

-
Ghadri JR, Dougoud S, Maier W, et al. A PET/CT-follow-up imaging study to differentiate takotsubo cardiomyopathy from acute myocardial infarction. Int J Cardiovasc Imaging 2014 Jan;30(1):207–9.
[CrossRef]
[Pubmed]

|