Case Report
 
A rare case of congenital esophagobronchial fistula in an adult
V. YaminiChitra1, K. N. Paramesh1, Alamelu Haran2, Nitin D. Tengli4
1MS, (General Surgery), DNB, MCH (Surgical Gastroenterology), Associate Professor, Dept of Surgical Gastroenterology and Bariatric centre, Vydehi Institute of Medical Sciences and Research Centre, Bangalore, Karnataka, India.
2MS, (General Surgery), (DNB Surgical Gastroenterology), Senior Resident, Dept of Surgical Gastroenterology and Bariatric Centre, Vydehi Institute of Medical Sciences and Research Centre, Bangalore, Karnataka, India.
3MD (Tuberculosis and Chest Diseases), Professor and HOD, Department of Pulmonary Medicine Vydehi Institute of Medical Sciences and Research Centre, Bangalore, Karnataka, India.
4MS, (General Surgery) Senior Resident, Department of Surgical Gastroenterology and Bariatric Centre, Vydehi Institute of Medical Sciences and Research Centre, Bangalore, Karnataka, India.

doi:10.5348/ijcri-201513-CR-10474

Address correspondence to:
V. YaminiChitra
Associate Professor,Department of Surgical Gastroenterology and Bariatric Centre, Vydehi Institute of Medical Sciences and Research Centre
Bangalore, Karnataka
India. #82
Nallurahalli, Whitefield, Bangalore, Karnataka, India, Postal Code 560 066
Phone: +919611108242
Fax: 08028412956

Access full text article on other devices

  Access PDF of article on other devices

[HTML Abstract]   [PDF Full Text] [Print This Article]
[Similar article in Pumed] [Similar article in Google Scholar]


How to cite this article
YaminiChitra V, Paramesh KN, Haran A, Tengli ND. A rare case of congenital esophagobronchial fistula in an adult. Int J Case Rep Images 2015;6(2):70–75.


Abstract
Introduction: Congenital esophagobronchial fistulas in adults are extremely rare, acquired fistulas being more common. The aim of this paper was to present a rare case of congenital esophagobronchial fistula in a 37-year-old male of type II Braimbridge's classification and to emphasize on the diagnostic modality of choice and the appropriate mode of treatment.
Case Report: A 37-year-old male presented with chronic cough with ingestion of food, especially liquids of 13 years duration and recent onset hemoptysis. He was evaluated with upper gastrointestinal endoscopy, bronchoscopy, computed tomography scan of chest and the definitive test was barium swallow which confirmed it. He underwent transthoracic excision of the fistula with repair of both esophageal and bronchial ends. A peroperative endoscopy helped localization of the tract. Postoperative outcome was excellent with no leak and patient is totally asymptomatic after 12 weeks of surgery.
Conclusion: Congenital esophagobronchial fistulas in adults, due to insidious nature need high index of suspicion as early diagnosis by barium swallow and surgical treatment gives excellent results. Peroperative endoscopy is mandatory to localize the tracts, helps do an intraoperative leak test and avoid esophageal stenosis during repair.

Keywords: Barium swallow, Congenital esophagobronchial fistula, Peroperative endoscopy, Transthoracic excision


Introduction

Fistula between esophagus and bronchus may be congenital or acquired. Acquired fistulas can be inflammatory, traumatic or neoplastic. Congenital esophago bronchial fistula (EBF) with atresia present immediately in infancy, are sudden and are diagnosed early and treated [1]. Congenital EBF without atresia are insidious, can present in adulthood also or missed often especially if they communicate with a lobar bronchus [1].

To differentiate between congenital and acquired EBF in an adult is usually difficult [2]. Adult EBF may present acutely with sudden respiratory distress, chronically with repeated respiratory infections or can be totally asymptomatic. Less than 200 cases of adult EBF are reported so far in literature [2].

Herein, we report a rare case of 37-year-old male with congenital EBF without atresia (type 2 according to Braimbridge's classification) [1] which was diagnosed by barium esophagogram. Patient underwent transthoracic fistulectomy with the repair of both esophageal and bronchial ends. Postoperative outcome was successful with complete resolution of symptoms and closure of fistula.


Case Report

A 37-year-old male presented to our department with history of cough with expectoration immediately after taking food, especially liquids for last 13 years. He had two bouts of hemoptysis in the last 15 days which had made him seek medical attention. Clinically, chest on auscultation had crackles in right infra-scapular region. Chest X-ray revealed patchy opacities in the right lower zone paracardiac region. Computed tomography (CT) scan of thorax revealed consolidation in posterior segment of the right lower lobe with no evidence of lung sequestration or cyst. Upper gastrointestinal endoscopy showed a fistulous opening in the mid esophagus 32 cm from the incisor teeth. It did not show any evidence of malignancy, granulomatous disease or any other acquired basis for the fistula. Simultaneously, methylene blue was injected into the fistulous tract and bronchoscopy was done which was normal. Barium swallow showed fistulous communication between mid esophagus and right lower lobe bronchus at lower border of T7 with barium passing downward into the right lung (Figure 1).

Preoperative evaluation done included pulmonary function tests, echocardiogram and electrocardiogram. Incentive spirometry was started for better postoperative outcome. Preoperatively, 1 fr size guide wire was introduced endoscopically into the fistulous tract to aid identification of fistula. Patient underwent right posterolateral thoracotomy. There were minimal adhesions around the fistulous site which was identified about 5 cm below the level of entry of azygos vein into superior vena cava. Azygos vein was isolated, ligated and cut to aid esophagus to be encircled, to localize the fistulous tract. As the guide wire was not palpable through the tract, intraoperative endoscopy was done and fistula tract location was confirmed. The fistulous tract was dissected, it was 10 mm long. The tract was excised, both the esophageal and bronchial ends were healthy and were closed with 4–0 Vicryl. An intraoperative leak test was done using endoscopy which confirmed the integrity of the repair and an intercostal drain placed (Figure 2) (Figure 3) (Figure 4).

Postoperative period was uneventful. Intercostal drain was removed on postoperative day-4 after a barium swallow to confirm that there was no leak and patient was discharged on postoperative day-6, after starting oral soft diet (Figure 5).

Histopathology showed the mucosa to be lined by stratified squamous epithelium. There was no evidence of inflammation, granuloma or carcinoma confirming the congenital nature of the fistula. Patient is totally asymptomatic after 12 weeks of surgery.


Cursor on image to zoom/Click text to open image
Figure 1: Barium esophagogram showing esophagobronchial fistula between the middle third of the esophagus and the right lower bronchus with downward passage of barium (shown with arrow).



Cursor on image to zoom/Click text to open image
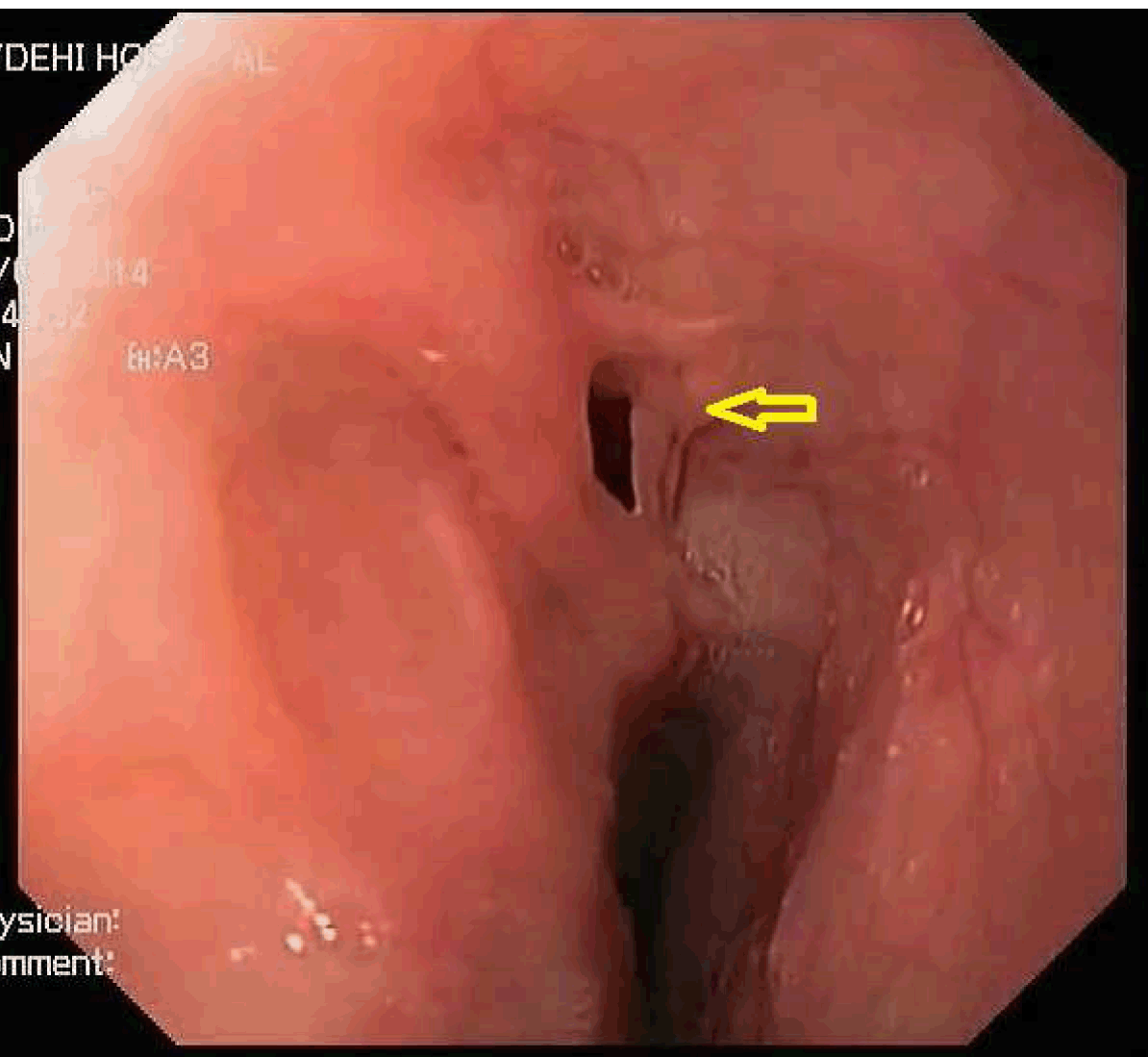
Figure 2: Endoscopic findings: The fistula opening in the middle esophagus (arrow).



Cursor on image to zoom/Click text to open image
Figure 3: Intraoperative photograph showing bronchoesophageal fistula. The fistula opening in middle esophagus (shown with arrow), proximal, distal esophagus and fistulous tract is also looped.



Cursor on image to zoom/Click text to open image
Figure 4: Intraoperative photograph with intraoperative upper gastrointestinal endoscopy (light of endoscopy is visible through the tract).



Cursor on image to zoom/Click text to open image
Figure 5: Postoperative barium esophagogram showing normal esophagus and no evidence of fistula.



Discussion

The majority of EBF in adults are acquired. The usual causes are inflammatory like tuberculosis, trauma and neoplasms. The EBF was first described as early as in 1916 by Heiderich [3]. Congenital EBF are rare, three times more common on the right than the left [4].

According to Braimbridge's classification, type I is a fistula associated with a wide-necked congenital diverticulum of the esophagus with inflammation at the tip. Type II, which is the simplest and most common, consists of a short tract running directly from the esophagus to the lobar or segmental bronchus. In type III, the fistulous tract connects the esophagus to a cystic pulmonary change, and in type IV a fistula runs into a sequestered pulmonary segment. The patient described here is of type 2 according to this classification [1].

Criteria for congenital EBF are suggested pathologically by the absence of surrounding inflammation and adherent lymph nodes along with the presence of a mucosa and a definitive muscularis mucosa within the fistulous tract. Surgically, uncomplicated and easy dissection of the fistula and absence of inflammation suggests a congenital fistula [5].

Reasons for delay in the onset of symptoms and presentation in the adult may be due to

  1. A fistula tract which runs upwards and may close during swallowing. But in our patient barium was passing downward during the swallow.
  2. A membrane which later ruptures.
  3. A fold of esophageal mucosa which overlaps the orifice but subsequently becomes less mobile [1].

Both sexes are affected almost equally (male 53% and females 47%) [6].

Symptoms are often intermittent, due to chronic bronchopulmonary infection. They are chronic cough (96%), pneumonia (56%), hemoptysis (17%). Ohno's sign characterized by symptoms of strangulation and paroxysmal coughing with swallowing liquids occurs in the presence of a very large communication [7].

The diagnosis is usually made by barium esophagogram [1]. A thin barium is given, in a position where patient gets most of the symptoms. Endoscopy and bronchoscopy should be done but will not always demonstrate the opening in esophagus and bronchus [4]. Ramo et al. have shown that bronchoscopy is negative in 67% of cases and esophagoscopy in 40% [4]. Bronchoscopy can be normal, if the communication is in the distal segmental portion of the tract as in our case [7]. Dynamic bronchoscopy with pediatric bronchoscope may help [7]. Right bronchus is most commonly affected [7]. Computed tomography scan may help to rule out type 4 fistulas and aortography can document the sequestrated lung [8] and aid in pulmonary resection if needed. Peroperative endoscopy helps accurately in identifying the tracts [2], to confirm patency of the esophagus if the repair is very proximal or on the esophageal wall itself, as in wide short tracts and also aids in doing an intraoperative leak test as done in our case.

Thoracotomy and resection of the fistulous tract with primary repair of both the bronchial and esophageal defects with 4–0 Vicryl the ideal treatment of choice. Interposition of pleural/diaphragmatic flap helps reduce the recurrence. In our case, it was not done as the tract was long and the bronchial and esophageal tissue post repair were healthy. The diseased lung tissue and sequestrated lobes if any should be resected at the same time.

Postoperative barium swallow helps document the healed defect in the esophagus.

Endoscopic management by submucosal dissection and isolation of the fistulous tract with clipping has been tried in tracheoesophageal fistula but has been unsuccessful [9]. Other endoscopic techniques like histoacryl glue injection have been tried in recurrent congenital trachea esophageal fistulas, or when patient has refused surgery with varied results.

Thoracoscopic repair assisted by peroperative endoscopy and stapling of the fistulous tract by surgeons experienced in minimally invasive surgery can reduce the morbidity associated with open thoracotomy [10].

Either thoracoscopic or open thoracotomy repair with excision of the fistulous tract and good repair of the esophageal and bronchial defects with tissue interposition when needed, gives permanent cure and relief of symptoms in the patients with EBF.


Conclusion

Congenital esophagobronchial fistulas in adults, due to rare occurrence and insidious nature need high index of suspicion as early diagnosis by barium swallow and surgical treatment by open or minimally invasive technique gives excellent results.


References
  1. Braimbridge MV, Keith HI. Oesophago-bronchial fistula in the adult. Thorax 1965 May;20:226–33.   [CrossRef]   [Pubmed]    Back to citation no. 1
  2. Chandramohan SM, Rajasekar S, Sasankh RK, Kanagavel M. A case of congenital esophagobronchial fistula in an adult. Trop Gastroenterol 2009;Jul-Sep:30(3):159–60.   [Pubmed]    Back to citation no. 2
  3. Risher WH, Arensman RM, Ochsner JL. Congenital bronchoesophageal fistula. Ann Thorac Surg 1990 Mar;49(3):500–5.   [CrossRef]   [Pubmed]    Back to citation no. 3
  4. Ramo JO, Salo JA, Mattila SP. Congenital Bronchoesophageal Fistula in the Adult. Ann Thorac Surg 1995 Apr;59(4):887–9.   [Pubmed]    Back to citation no. 4
  5. Gogus T, Damar K, Dergisi C. An incidentally diagnosed bronchoesophageal fistula in an adult. Türk Gögüs Kalp Damar Cerrahisi Dergisi 2012;20(3):645–8.    Back to citation no. 5
  6. Hosseini MSA, Nezakatgoo N. Congenital broncho-esophageal fistula: A case report. Medical J of Republic of Iran 1998 November;12(3):295–8.    Back to citation no. 6
  7. Sebashan S, Parker JO, Lynn RB. Acquired Esophagobronchial Fistulas in Adults. Can Med Assoc J 1969 Nov 1;101(9):40–2.   [Pubmed]    Back to citation no. 7
  8. Clements BS, Warner JO. Pulmonary sequestration and related congenital bronchopulmonary-vascular malformations: Nomenclature and classification based on anatomical and embryological considerations. Thorax 1987 Jun;42(6):401–8.   [CrossRef]   [Pubmed]    Back to citation no. 8
  9. Mathew A, Moyer M, Yeasted NJ. Submucosal dissection and isolation of a congenital tracheoesophageal fistula for potential endoscopic therapy (with video). Gastrointest Endosc 2009 Oct;70(4):806–9.   [CrossRef]   [Pubmed]    Back to citation no. 9
  10. Akashi A, Ohashi S, Oriyama T, et al. Thoracoscopic Treatment of Esophagobronchial Fistula with Esophageal Diverticulum. Surg Laparosc Endosc 1997 Dec;7(6):491–4.   [Pubmed]    Back to citation no. 10

[HTML Abstract]   [PDF Full Text]

Author Contributions
V. Yamini Chitra – Substantial contributions to conception and design, Acquisition of data, Analysis and interpretation of data, Drafting the article, Revising it critically for important intellectual content, Final approval of the version to be published
K. N. Paramesh – Substantial contributions to conception and design, Acquisition of data, Analysis and interpretation of data, Drafting the article, Final approval of the version to be published
Alamelu Haran – Substantial contributions to conception and design, Acquisition of data, Analysis and interpretation of data, Drafting the article, Final approval of the version to be published
Nitin Tengli – Substantial contributions to conception and design, Acquisition of data, Analysis and interpretation of data, Drafting the article, Final approval of the version to be published
Guarantor of submission
The corresponding author is the guarantor of submission.
Source of support
None
Conflict of interest
Authors declare no conflict of interest.
Copyright
© 2015 V. Yamini Chitra et al. This article is distributed under the terms of Creative Commons Attribution License which permits unrestricted use, distribution and reproduction in any medium provided the original author(s) and original publisher are properly credited. Please see the copyright policy on the journal website for more information.



About The Authors

V. YaminiChitra is an Associate Professor at Department of Surgical Gastroenterology and Bariatric centre Vydehi Institute of Medical Sciences and Research Centre, Bangalore, Karnataka, India. She earned the undergraduate degree Bachelor of Medicene and Bachelor of Surgery from Coimbatore Medical college, Dr. MGR medical University, India and postgraduate degree Master of Surgery from Stanley Medical college, Chennai, Dr. MGR medical University, India. She has got Diplomate in Surgery (DNB) from National Board of Examinations, India and Master of Chirurgery in Surgical Gastroenterology from Madras Medical College, Dr. MGR medical University, India. Her research interests include hepatobiliary and pancreatic surgeries, specifically benign biliary strictures, chronic calcific pancreatitis.



K. N. Paramesh is Senior resident, Department of Surgical Gastroenterology and Bariatric centre, Vydehi Institute of Medical Sciences and Research Centre, Bangalore, Karnataka, India. He earned the undergraduate degree Bachelor of Medicene and Bachelor of Surgery from Sri Devaraj Urs Medical college and research centre, RGUHS medical University, Kolar, India and postgraduate degree Master of Surgery from BLDEA, S Shri BM patil medical college and research centre, Bijapur under RGUHS medical University,Karnataka, India. He has undergone DNB in surgical gastroenterology from Gem hospipital and reseach centre, Coimbatore, National Board of Examinations, India. He has published few paper in national journals. His research interests include advanced laparoscopy in gastrointestinal cancer, hepatobiliary and pancreatic surgeries and bariatric surgery.



Alamelu Haran is Professor & HOD, Department of Pulmonary medicine Vydehi Institute of Medical Sciences And Research Centre, Bangalore, Karnataka, India. She earned the undergraduate degree Bachelor of Medicine and Bachelor of Surgery from Grant medical college, Mumbai. Bombay University, India ) and postgraduate degree MD (Tuberculosis and Chest Diseases), from Topiwala National Medical College, Mumbai. Bombay University, India. Her research interests include pulmonary function tests, Sleep medicine and Bronchoscopy.



Nitin D. Tengli is Senior resident, Department of Surgical Gastroenterology and Bariatric centre, Vydehi Institute of Medical Sciences and Research Centre, Bangalore, Karnataka, India. He earned the undergraduate degree Bachelor of Medicene and Bachelor of Surgery from Mahadevappa Rampura Medical college, RGUHS medical University,Gulbarga, India and postgraduate degree Master of Surgery from Mahadevappa Rampura Medical college, RGUHS medical University, Gulbarga, India.