![]() |
|
![]() |
|
Case Report
| ||||||
| Dramatic response to HAART in HIV-induced hemophagocytic lymphohistiocytosis | ||||||
| Karan K. Topiwala1, Ellen F. Eaton2, Ricardo A. Franco3 | ||||||
|
1Medical Student, Bharati Vidyapeeth Medical College, Pune, Maharashtra, India.
2Fellow, Division of Infectious Disease, University of Alabama, Birmingham, 229 Tinsley Harrison Tower, 1900 University Boulevard, Birmingham, AL, USA. 3MD, Assistant Professor, Department of Medicine, Division of Infectious Diseases, University of Alabama at Birmingham, Birmingham, AL, USA. | ||||||
| ||||||
|
[HTML Abstract]
[PDF Full Text]
[Print This Article]
[Similar article in Pumed] [Similar article in Google Scholar]
|
| How to cite this article |
| Topiwala KK, Eaton EF, Franco RA. Dramatic response to HAART in HIV-induced hemophagocytic lymphohistiocytosis. Int J Case Rep Images 2015;6(2):65–69. |
|
Abstract
|
|
Introduction:
Hemophagocytic lymphohis-tiocytosis (HLH) is a difficult diagnosis to make and carries with it a high mortality rate, yet it is treatable.
Case Report: We present a 48-year-old African-American male, recently diagnosed with AIDS who had not yet initiated HAART (highly active antiretroviral therapy). He presented with high fever and altered mental status with progressive liver failure and worsening cytopenias. He showed no response to broad spectrum anti-microbial coverage and no infectious etiology could be established. There was no evidence of an opportunist infection or hemophagocytosis (HPC) on a subsequent bone marrow biopsy. In view of his rapid clinical deterioration with multi-organ failure, in the absence of an infectious cause and a stable CD4 cell count, he was diagnosed with HIV induced HLH using the modified-2009 criteria. He was started on HAART and showed a dramatic response with clinical improvement over the next three days, without the need to resort to immunosuppressive agents. The patient was discharged two weeks later, and has remained free of problems over the last eight months. Conclusion: This case report summarizes the importance of an early diagnosis of HIV induced HLH and the importance of early HAART initiation. | |
|
Keywords:
Hemophagocytic lymphohistiocytosis (HLH), Hemophagocytosis, Highly active antiretroviral therapy (HAART) Hepatitis B, Herpes simplex virus (HSV), T lymphocytes
| |
|
Introduction
| ||||||
|
Hemophagocytic lymphohistiocytosis (HLH) is a life-threatening syndrome characterized by an unregulated activation of antigen presenting cells, T lymphocytes, and macrophages, without their appropriate down-regulation by natural killer and cytotoxic cells. Although the frequency is unknown, HIV alone or in combination with infection or malignancy has been recognized as a cause of HLH since 1992 [1]. HLH in context of HIV can occur with acute or chronic HIV or even after initiation of HAART [2]. A dramatic resolution of HLH after the initiation of highly active antiretroviral therapy (HAART), as in our case report, is only infrequently reported. We thus hope to underscore the importance of rapid diagnosis and early initiation of HAART to treat the immune activation of HLH and the underlying viral process. | ||||||
|
Case Report
| ||||||
|
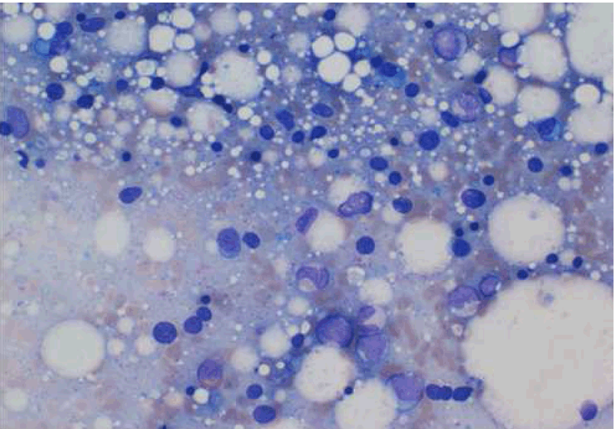
A 48-year-old African-American male presented with altered mental status and one week of fever, confusion and visual-tactile hallucinations. He reported malaise and subjective fever since one month. He had lost 40 pounds over the last two years which prompted a diagnosis of HIV/AIDS, made two months prior to his recent presentation. At that time his viral load was 630,000 copies/mL and CD4 count was 24/mm3. He had not yet initiated antiretroviral therapy and was on bactrim prophylaxis for Pneumocystis pneumonia. His only other medication was hydrochlorothiazide for hypertension, which was well controlled. He reported being sexually active with men. Physical examination was significant for fever of 103°F and a regular tachycardia. He was alert to person, place and location but deferred other questions to his mother due to confusion. There were no focal neurological findings. His initial laboratory workup showed pancytopenia (WBC 2.5x103/µL, HCT 21, platelets 145x103/µL) with markedly elevated serum ferritin (51,376 ng/mL, normal: 23–336 ng/mL) levels along with raised serum transaminases (ALT-450 IU/L, normal:15–58 IU/L; AST-790 IU/L, normal:14–40 IU/L) and normal alkaline phosphatase-109 IU/L (normal: 39–117). Routine cerebrospinal fluid (CSF) analysis, neuroimaging and chest X-ray were within normal limits. An initial differential diagnosis included, disseminated histoplasmosis, hemophagocytic lymphohistiocytosis (HLH) due to HIV, leptospirosis, fulminant viral hepatitis from herpes simplex virus (HSV) or hepatitis B and disseminated Mycobacteriosis. Given the acuity of his presentation he was given an initial empirical coverage with vancomycin, piperacillin and tazobactam, acyclovir and amphotericin B for suspected sepsis and hepatitis. However, there was little improvement in his clinical status the following day with worsening pancytopenia (WBC, HCT and platelets are 1.9 x103/µL, 25 and 90x103/µL respectively) and liver function (ALT and AST rose to 1500 and 2000 IU/L, respectively with an INR at 2.2 (normal: 1). Additionally, he developed renal failure (serum creatinine 1.7 mg/dL, normal: 0.5–1.2 mg/dL). A comprehensive infectious workup including a viral hepatitis panel and others (CSF culture and cytology, CSF-AFB, HSV PCR and IgM, CMV antigen, HHV-6 DNA, adenovirus DNA, parvovirus PCR, VDRL, leptospirosis antibody, Bartonella IgG and IgM, AFB blood isolators, cryptococcal antigen, urine histoplasma antigen, blood and urine cultures, stool giardia and cryptosporidium tests) were checked and found to be negative. A bone marrow biopsy was subsequently performed to look for any evidence of an opportunistic infection or hemophagocytosis. The results were indicative of HIV/AIDS related changes including plasmacytosis, megaloblastic change, megakaryocyte hyperplasia, reticulin fibrosis, stromal damage, histiocyte hyperplasia, and hypercellularity (Figure 1). In the absence of an infectious etiology, a diagnosis of HLH was made using the 2009 criteria (Table 1) and the patient was started on HAART (raltegravir, emtricitabine and tenofovir). He improved dramatically within three days of initiating HAART. His agitation resolved along with improvement in his fever and liver function tests. He was discharged two weeks after starting HAART. He is being followed in the clinic and is doing well, eight months later. Below is a figure demonstrating his laboratory trends after HAART initiation (Figure 2). | ||||||
|
| ||||||
| ||||||
|
| ||||||
|
Discussion
| ||||||
|
HLH is a life-threatening syndrome characterized by an unregulated activation of antigen presenting cells, T lymphocytes, and macrophages, without their appropriate down-regulation by natural killer and cytotoxic cells. The major manifestations include sepsis, fever, cytopenias, splenomegaly and hepatitis. The activated macrophages in HLH may also phagocytize host cells producing hemophagocytosis (HPC). HLH can be primary due to genetic predisposition or secondary to an infectious or rheumatologic processes. When HLH occurs in the setting of rheumatologic disorders such as lupus or rheumatoid arthritis, it is termed Macrophage Activation Syndrome (MAS). EBV was the most common infectious trigger in one study of 250 suspected HLH-cases (28% of the cases), followed by histoplasmosis (19%), cytomegalovirus (14%), bacteria (4%), mycobacteria (4%), blastomycosis (5%) [3] . Although the frequency is unknown HIV alone or in combination with an infection or malignancy has been recognized as a cause of HLH since 1992 [1]. Neidt et al. published autopsy reports of 56 AIDS patients in 1985, 20% of whom had HLH [4]. In 1997, Grateau et al. found a 0.6% incidence of HLH among HIV infected persons in one clinic, but this was likely an under-representation as it relied on bone marrow aspiration [5]. Of HIV infected patients with HLH, 56/58 had an additional hematologic or infectious etiology in one review: tuberculosis, cytomegalovirus and Hodgkin's disease were the most common associated conditions [1]. Several case reports, including ours, report HIV infection alone as the trigger for HLH, but the incidence is unknown [6]. HLH in context of HIV can occur with acute or chronic HIV or after initiation of HAART [2]. In advanced AIDS, HLH is usually secondary to infection or malignancy [1] [5]. Diagnosis of HLH in HIV infected patients is also limited by poor sensitivity of bone narrow. Bone marrow biopsy is thought to be 60% sensitive [7] in all populations, and 63% sensitive in HIV infected patients [1]. Other reports of severe HIV-related HLH have failed to demonstrate biopsy-proven HPC [8]. As in our case, it is common for patients to present with only three or four of the eight diagnostic criteria, as initially laid down in 2004 [9]. Thus, experts proposed a modification (Table 1) necessitating only three of four physical findings and one of four laboratory derangements [10]. Lastly, treatment of HLH in the HIV infected patient should focus on treating the underlying cause. The HAART potentially plays an important role in reverting clinic-pathological changes of severe HLH as exemplified in our case report. The importance of HAART is also suggested, by the dramatically reduced mortality of HLH in the post-HAART era (31%) compared to the pre-HAART era (50–100%) [1]. Severe HLH usually requires conventional immunomodulatory agents such as corticosteroids, cyclosporin, intravenous immunoglobulin (IVIG), anti-thymocyte globulin and TNF antagonists. Refractory cases respond well to Alemtuzumab, where it is used as a bridge to allogenic stem cell transplantation [11]. Two case reports of HIV related HLH with significant splenic involvement have also benefitted from splenectomy [8]. In our case, HAART alone could provide complete recovery of multi-organ failure without the use of further immunosuppressive therapies. | ||||||
|
Conclusion
| ||||||
|
Our case highlights chronic HIV alone as a trigger for hemophagocytic lymphohistiocytosis (HLH). It stresses the use of more liberal diagnostic criteria as proposed in 2009. It further underscores the importance of an early treatment initiation with highly active antiretroviral therapy (HAART) in the HIV associated HLH cases, as it may potentially prevent the use of immuno-modulatory agents, in this immune-deficient population and provide complete recovery even in severe cases. | ||||||
|
References
| ||||||
| ||||||
|
[HTML Abstract]
[PDF Full Text]
|
|
Author Contributions
Karan K. Topiwala – Acquisition of data, Analysis and interpretation of data, Drafting the article, Final approval of the version to be published Ellen F. Eaton – Conception and design, Acquisition of data, Analysis and interpretation of data, Critical revision of the article, Final approval of the version to be published Ricardo A. Franco – Conception and design, Analysis and interpretation of data, Critical revision of the article, Final approval of the version to be published |
|
Guarantor of submission
The corresponding author is the guarantor of submission. |
|
Source of support
None |
|
Conflict of interest
Authors declare no conflict of interest. |
|
Copyright
© 2015 Karan K. Topiwala et al. This article is distributed under the terms of Creative Commons Attribution License which permits unrestricted use, distribution and reproduction in any medium provided the original author(s) and original publisher are properly credited. Please see the copyright policy on the journal website for more information. |
|
|
|
About The Authors
| |||
| |||
| |||
| |||