![]() |
|
![]() |
|
Clinical Image
| ||||||
| Small bowel obstruction due to rice cake | ||||||
| Hideki Katagiri1, Tetsuo Nakata2, Toshikazu Matsuo3 | ||||||
|
1MD, Department of Surgery, Tokyo Bay Urayasu Ichikawa Medical Center (Noguchi Hideyo Memorial International Hospital), 3-4-32, Todaijima, Urayasu City, Chiba, Japan.
2MD, Department of Surgery, Omura City Municipal Hospital, 133-22, Kogashima town, Omura City, Nagasaki, Japan. 3MD, PhD, Department of Surgery, Omura City Municipal Hospital, 133-22, Kogashima town, Omura City, Nagasaki, Japan. | ||||||
| ||||||
|
[HTML Abstract]
[PDF Full Text]
[Print This Article]
[Similar article in Pumed] [Similar article in Google Scholar]
|
| How to cite this article |
| Katagiri H, Nakata T, Matsuo T. Small bowel obstruction due to rice cake. Int J Case Rep Images 2015;6(2):121–123. |
|
Case Report
|
|
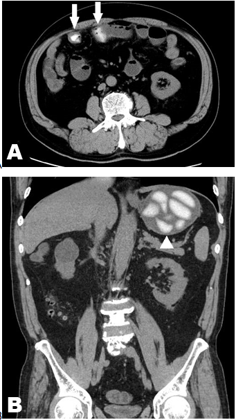
A 67-year-old male with no significant past medical history was referred to the hospital complaining of abdominal pain. Eighteen hours prior to admission, he ate four pieces of rice cake (mochi in Japanese) and after six hours, he ate four pieces of rice cake again. Nine hours prior to admission, he noted intermittent abdominal pain with one vomitus. He visited his general practitioner. Physical examination at the general practitioner suggested small bowel obstruction. He was referred to the hospital for further investigation. On physical examination, he had mild tenderness in upper abdomen without peritoneal signs. A small bowel obstruction due to rice cake was suspected. The abdominal computed tomography (CT) scan, revealed high density materials in the stomach and the small intestine with proximal intestinal dilation (Figure 1A-B). This typical appearance made the final diagnosis of small bowel obstruction due to rice cake and he admitted to the hospital for observation. His symptoms disappeared without specific treatment and he discharged from hospital on the third day from admission. |
|
|
|
Discussion
|
|
Small bowel obstruction (SBO) is a common disease encountered in daily practice. The causes of SBO can vary. In the review of unusual causes of SBOs, 60% of them are caused by adhesions, followed by hernias 15%, neoplasms 6%, inflammatory causes 5%, mesenteric vascular occlusion 5%, intussusception 3%, and unusual etiology 6%. [1]. Matsuzaki et.al. reviewed 193 patients of SBOs induced by food in Japan [2]. The most frequent causative food is seeds or stones fruit, followed by rice cakes, seaweed, agar or gelatin food made from devil's tongue starch. The patients are often associated with previous abdominal surgery, especially gastrectomy. Dental disorders such as problems with chewing or artificial teeth, unusual eating habits like swallowing without chewing, and irradiation to abdominal cavity can also be contributing factors. Rice cakes are often eaten in Japan. Especially in the New Year's Holidays, because Japanese people have a tradition to eat rice cakes in those holidays. Miura et al. reviewed 14 patients of SBO caused by rice cake [3]. Ten out of fourteen patients have a history of previous abdominal surgery and all patients had ingested rice cake by swallowing without chewing. In this patient, interestingly, he had no contributing factors like previous abdominal surgery or unusual eating habits. The diagnosis of SBO induced by food is generally difficult. However, the diagnosis of SBO due to rice cake can easily be obtained by CT scan. The rice cakes are typically visualized as high density materials in the alimentary tract [3]. Treatment of rice cake induced SBO should be non-operative management, with occasional decompression by a nasogastric tube and fluid supply. All patients can be successfully treated by non-operative management in the recent review, as in the present patient [3]. However, chronic symptom could possibly cause ulcer or intestinal perforation so careful following-up should be considered. |
|
Conclusion
|
|
Small bowel obstruction due to rice cake is a relatively rare disease. Careful history taking is essential and computed tomography scan demonstrates typical appearance of high density materials. |
|
References
|
|
|
[HTML Abstract]
[PDF Full Text]
|
|
Author Contributions
Hideki Katagiri – Conception and design, Acquisition of data, Analysis and interpretation of data, Drafting the article, Final approval of the version to be published Tetsuo Nakata – Analysis and interpretation of data, Critical revision of the article, Final approval of the version to be published Toshikazu Matsuo – Conception and design, analysis and interpretation of data, Critical revision of the article, Final approval of the version to be published |
|
Guarantor of submission
The corresponding author is the guarantor of submission. |
|
Source of support
None |
|
Conflict of interest
Authors declare no conflict of interest. |
|
Copyright
© 2015 Hideki Katagiri et al. This article is distributed under the terms of Creative Commons Attribution License which permits unrestricted use, distribution and reproduction in any medium provided the original author(s) and original publisher are properly credited. Please see the copyright policy on the journal website for more information. |
|
|