Clinical Image
 
Progressive hearing loss: A case report on surfer's ear
Paresh Kushta Dessai1, Sapna Sada Raut Dessai2
1MD, Radiology, Consultant Radiologist, Department of Radiodiagnosis, Apollo Victor Hospital, Margao, Goa, India.
2MDS, Oral Medicine and Radiology, Lecturer, Department of Oral medicine and Radiology, Goa Dental College and Hospital, Bambolim, Goa, India.

doi:10.5348/ijcri-201505-CL-10060

Address correspondence to:
Paresh Kushta Dessai
H No 1226/2, Pansulem
Canacona, Goa 403702
India
Phone: +919422639458

Access full text article on other devices

  Access PDF of article on other devices

[HTML Abstract]   [PDF Full Text] [Print This Article]
[Similar article in Pumed] [Similar article in Google Scholar]


How to cite this article
Dessai PK, Dessai SSRD. Progressive hearing loss: A case report on surfer's ear. Int J Case Rep Images 2015;6(2):118–120.


Case Report

A 30-year-old male reported with the complaint of progressive bilateral hearing loss over a period of six months. There were no associated symptoms of otalgia, tinnitus, discharge or bleeding from the ears. Patient also could not recall any history of trauma to the face. ENT surgeon, who referred the patient for computed tomography (CT) evaluation of hearing loss, had performed the otoscopy and audiometry examinations. Otoscopic findings had revealed, a narrow external auditory canal, tympanic membrane was barely visualized on both sides and was intact. Bilateral moderate conductive hearing loss was noted. He was then advised high resolution computed tomography (HRCT) scan of the temporal bone.

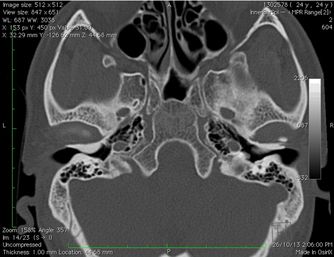
Following findings were noted on HRCT. Broad-based osseous overgrowth of external auditory canal bilaterally, were noted on axial CT images. (Figure 1). Sagittal CT images showed evidence of dense bony protuberances arising from the tympanic and the petrous bone into the external auditory canal space. This resulted in significant narrowing of the ear canal and thus conductive hearing loss bilaterally (Figure 2). On obtaining a detailed history, it was noted that the patient was a frequent swimmer. Thus, the diagnosis of surfer's ear was made. The patient was referred for surgical management of the exostoses.


Cursor on image to zoom/Click text to open image
Figure 1: High resolution computed tomography axial image of bilateral temporal region showing bony outgrowth in the external auditory canals.



Cursor on image to zoom/Click text to open image
Figure 2: (A) High resolution computed tomography image showing multiple sagittal sections through the external auditory canals showing bony outgrowth, (B) 3D volumetric reconstruction.


Discussion

Conductive hearing loss is commonly secondary to impaction by cerumen, foreign body, inflammation, neoplasm, or bony outgrowth such as exostoses. Exostoses are benign bony protuberances, arising from the osseous portions of the external auditory canal [1]. They are mostly seen in individuals engaging in aquatic activities like frequent surfing [2]. Their growth is believed to be due to many years of repeated exposure to cold water and wind. The cold stimulates bone growth and the ear canal gradually narrows thus avoiding water from reaching the eardrums.

Such exostoses is believed to be worse in the ear that faces the ocean at the time of "catching the wave." The condition is commonly called 'Surfer's Ear' due to its high prevalence amongst surfers [3] [4]. It is usually bilateral, and located close to the tympanic annulus at the tympanomastoid and tympanosquamous sutures [1] [5].

The new bone that grows is more sensitive than the original bone [6]. Hyperplasia continues painlessly as the ear is continuously hit by the cold waves during aquatic activities. Water and debris can get trapped behind the bony growth and ears can get easily blocked and infected. The bony growth can completely fill the canal. Thus, the patient may present with conductive hearing loss and recurrent episodes of external otitis with otalgia and cerumen impaction. When otoscopic examination is performed to determine patency of external auditory canal, one or more broad based elevated lesions that protrude into the external auditory canal will be evident.

The HRCT of the temporal bone is the examination of choice [7] [4] as it provides detailed osseous anatomy of the temporal bone. Intravenous contrast is not required to make the diagnosis. Radiographic differential diagnosis includes external auditory canal osteoma [1]. Clinically, it needs to be differentiated from medial canal fibrosis, necrotizing external otitis, external auditory canal cholesteatoma and keratosis obturans [1]. On imaging, these entities are visible as soft tissue lesions with or without bone destruction.

Osteomas differ from exostoses as they are usually unilateral, pedunculated benign tumors [7]. They are composed of densely sclerotic, well-formed bone jutting out from the cortical surface. External auditory exostosis lesion is found as solitary sessile bony growths and usually lateral to the isthmus. On histopathologic examination, they are seen as dense concentric layers of subperiosteal bone originating from near tympanic ring [3] .

A history of cold water and wind exposure facilitates the diagnosis surfer's ear. It is believed that there is a positive association between the amount of time spent by an individual in surfing and the presence and severity of exostoses of the external auditory canal. In 1937, Van Gilse postulated a thermal cause for the development of external auditory exostoses after observing a higher frequency of this pathological condition among cold water versus warm water swimmers [3] . Some in the past have considered salt-water exposure to be the cause but this was proved untrue by a study, which showed evidence of external auditory canal exostosis even in freshwater, seawater and non-swimmers. Water temperature has been found to be a major cause rather than water salinity as it causes meatal erythema [3].

Treatment
When the ear canal is significantly narrowed a surgical procedure may be required to re-open the canal [4] [5]. It is important to stay out of the water until the ear canal is completely healed. Hearing testing is performed before and after the surgery. Surgery complications include canal stenosis, temporomandibular joint prolapse, sensorineural loss, persistent deep bony lip, and persistent tympanic membrane proliferation, facial nerve injury [6].


Conclusion

Regular surfers and divers should be advised to avoid very cold water. They should be advised to use earplugs or wetsuit hood. The custom plugs may be fabricated which have the advantage of staying in very well. An alcohol-based swimmers eardrop can help dry any residual moisture in the canal after water exposure. Surgery for exostoses should be performed carefully to prevent complications.


References
  1. Trojanowska A, Drop A, Trojanowski P, Bogusiewicz KR, Klatka J, Billewicz BB. External and middle ear diseases: Radiological diagnosis based on clinical signs and symptoms. Insights Imaging 2012 Feb;3(1):33–48.   [CrossRef]   [Pubmed]    Back to citation no. 1
  2. Deleyiannis FW, Cockcroft BD, Pinczower EF. Exostoses of the External Auditory Canal in Oregon Surfers. Am J Otolaryngol 1996 Sep-Oct;17(5):303–7.   [CrossRef]   [Pubmed]    Back to citation no. 2
  3. Kroon DF, Lawson ML, Derkay CS, Hoffmann K, McCook J. surfer's ear: External auditory exostoses are more prevalent in cold water surfers. Otolaryngol Head Neck Surg 2002 May;126(5):499–504.   [CrossRef]   [Pubmed]    Back to citation no. 3
  4. White RD, Ananthakrishnan G, McKean SA, Brunton JN, Hussain SS, Sudarshan TA. Masses and disease entities of the external auditory canal: Radiological and clinical correlation. Clin Radiol 2012 Feb;67(2):172–81.   [CrossRef]   [Pubmed]    Back to citation no. 4
  5. Wang MC, Liu CY, Shiao AS, Wang T. Ear problems in Swimmers. J Chin Med Assoc 2005 Aug;68(8):347–52.   [CrossRef]   [Pubmed]    Back to citation no. 5
  6. Wong BJ, Cervantes W, Doyle KJ, et al. Prevalance of External Auditory Canal Exostosis in Surfers. Arch Otolaryngol Head Neck Surg 1999 Sep;125(9):969–72.   [CrossRef]   [Pubmed]    Back to citation no. 6
  7. Eshetu T, Aygun N. Imaging of the Temporal Bone: A Symptom-Based Approach. Semin Roentgenol 2013 Jan;48(1):52–64.   [CrossRef]   [Pubmed]    Back to citation no. 7
[HTML Abstract]   [PDF Full Text]

Author Contributions
Paresh Kushta Dessai – Substantial contribution to conception and design, Acquisiton of data, Drafting the article, Revising it critically for important intellectual content, Final approval of the version to be published
Sapna Sada Raut Dessai – Substantial contribution to conception and design, Drafting the article, Revising it critically for important intellectual content, Final approval of the version to be published
Guarantor of submission
The corresponding author is the guarantor of submission.
Source of support
None
Conflict of interest
Authors declare no conflict of interest.
Copyright
© 2015 Paresh Kushta Dessai et al. This article is distributed under the terms of Creative Commons Attribution License which permits unrestricted use, distribution and reproduction in any medium provided the original author(s) and original publisher are properly credited. Please see the copyright policy on the journal website for more information.



About The Authors

Paresh Kushta Dessai MD Radiology, Consultant Radiologist, Department of Radiodiagnosis, Apollo Victor Hospital, Margao, Goa, India.



Sapna Sada Raut Dessai MDS Oral Medicine & Radiology, Lecturer, Department of Oral Medicine and Radiology, Goa Dental College and Hospital, Bambolim, Goa, India.