International Journal of Case Reports and Images (IJCRI)


Volume 6; Number 1 (January 2015)

Cover Figure

cover figure

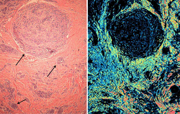
Hematoxylin-eosin staining (x100) showing different size neoplastic nodules infiltrating the tongue intrinsic muscular tissues. At confocal laser scanning microscopy examination showing poor fluorescence of tumoral tissues clashing with high fluorescence of non-neoplastic connective stroma. (Page 48)

Go Back to Table of Contents