Case Report
 
Missed chronic impaction of dental crowns in the hypopharynx of a neurologically devastated child
Michael Zaki1, Soroush Zaghi2, Jonathan Ghiam3, Alisha West4
1BS, Medical Student, Department of Head and Neck Surgery, David Geffen School of Medicine at UCLA (DGSOM), Los Angeles, CA, USA.
2MD, Chief Resident, Department of Head and Neck Surgery, David Geffen School of Medicine at UCLA (DGSOM), Los Angeles, CA, USA.
3BA, Student Researcher, Department of Head and Neck Surgery, David Geffen School of Medicine at UCLA (DGSOM), Los Angeles, CA, USA.
4MD, Assistant Professor-In-Residence, Department of Head and Neck Surgery, David Geffen School of Medicine at UCLA (DGSOM), Los Angeles, CA, USA.

doi:10.5348/ijcri-201506-CR-10467

Address correspondence to:
Michael Zaki
BS, Department of Head and Neck Surgery
David Geffen School of Medicine at UCLA 10833 LeConte Ave.
Rm 62-132, CHS, Los Angeles, CA 90095-1624
USA
Phone: +1 (310) 825-6301
Fax: +1 (310) 206-5106
Email: mzaki@mednet.ucla.edu

Access full text article on other devices

  Access PDF of article on other devices

[HTML Abstract]   [PDF Full Text] [Print This Article]
[Similar article in Pumed] [Similar article in Google Scholar]


How to cite this article
Zaki M, Zaghi S, Ghiam J, West A. Missed chronic impaction of dental crowns in the hypopharynx of a neurologically devastated child. Int J Case Rep Images 2015;6(1):29–33.


Abstract
Introduction: Ingested foreign objects that impacted in the upper aero-gastrointestinal tract are fairly common and potentially serious problems. Dental objects are the most common ingested foreign bodies. Longstanding impacted foreign objects are complicated by failure to thrive or recurrent aspiration pneumonia and other serious complications such as viscus perforation, neck infections, hemorrhage, or esophago-aortic and tracheoesophageal fistulas.
Case Report: An eight-year-old neurologically devastated boy with tongue biting and bruxism was brought into the emergency department for evaluation of two foreign bodies found incidentally on modified barium swallow study. Plain radiography of the neck soft tissue showed two radiopaque densities within the hypopharynx. The foreign objects were removed in the operating room under anesthesia using direct laryngoscopy and forceps and gross pathology was consistent with two golden dental crowns. The patient appeared to be at his baseline with respect to swallowing, breathing, and pain despite the fact that the crowns had been impacted for at least eight months based upon review of prior available radiological images.
Conclusion: We hypothesize that our patient's continuous bruxism and ill-fitting crowns led to dislodgement and impaction of the crowns. His neurologic impairment and lack of gag reflex may have allowed the dental crown impaction to remain asymptomatic. Impaction of dental prosthetics in the upper aero-gastrointestinal tract may be masked and under-recognized in children, psychiatric patients, and individuals with neurologic impairment. Careful and regular evaluation of dental prosthetics in this population should be undertaken to prevent complications secondary to ingestion.

Keywords: Accidental ingestion, Aero-gastrointestinal tract, Dental prosthesis, Foreign body impaction, Hypopharynx, Neurological impairment, Psychiatric patient


Introduction

Ingested foreign objects that are impacted in the upper aero-gastrointestinal tract are fairly common and potentially serious problems in the pediatric population. In the US, 1500 deaths per year are attributed to foreign object ingestion [1]. Dental objects are among the most common ingested foreign bodies along with bones, disk batteries, and coins. The incidence of ingested and impacted dental prostheses is 0.7% [2]. Commonly, ingested foreign objects of dental origin can include: tooth picks; endodontic instruments such as files and burs, impression and denture lining materials, dental appliances such as inlays, onlays, crowns, and rubber dam clamps, fixed and removable prosthesis such as orthodontic retainers, bands, and wires. Risk factors for dental object ingestion include alcoholism, psychiatric disorders, incarceration, senility, dental trauma, developmentally delayes, individuals with neurological disorders including Parkinson's, seizure, dementia, and stroke, individuals with loose or ill-fitting dental appliances, individuals with single tooth cast, and prefabricated restorations, and age less than 15 years [3].

As much as 40% of foreign object ingestions in children are asymptomatic and resolve spontaneously. However, longstanding impacted foreign objects are complicated by failure to thrive or recurrent aspiration pneumonia. In less than one percent of foreign object ingestions, patients may suffer from serious complications such as viscus perforation, neck infections, esophageal obstruction with aspiration risk, hemorrhage, or esophago-aortic and tracheoesophageal fistulas, which in turn leads to the diagnosis when it is already too late [1].


Case Report

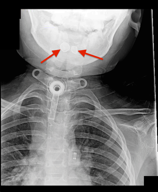
An eight-year-old neurologically devastated boy residing in a specialized nursing home for medically frail children was brought into the emergency department for evaluation of two foreign bodies found incidentally on modified barium swallow study (MBSS). The patient has a history of posterior fossa arteriovenous malformation (AVM) rupture causing large left sided cerebellar hemorrhage that left the patient gastrostomy tube, tracheostomy, and ventilator dependent. Since the AVM rupture, the patient experienced continuous bruxism and tongue biting that required him to wear a mouth guard. The swallow study was performed for evaluation of swallowing prior to advancing his oral intake. Oddly, the patient had been completely asymptomatic with no changes in his ventilator requirements despite the impaction of these foreign bodies. He had been tolerating his gastrostomy tube feeds and did not seem like he was in pain. X-ray of the neck soft tissue lateral view (Figure 1) and anteroposterior view (Figure 2) showed two radiopaque densities ~5–10 mm each, which have the appearance of teeth within the hypopharynx/vallecula at the level of C3 and C4. Consultation to otorhinolaryngology team was initiated. Patient was scheduled for removal in the operating room under general endotracheal anesthesia. The foreign objects were removed under direct visualization with direct laryngoscopy and forceps. The remainder of the laryngoscopic examination was normal. Pathology was consistent with two irregularly shaped shiny golden metallic dental crowns measuring 1.0x0.6x0.6 cm and 1.1x0.8x0.6 cm. A photograph of the dental crowns was taken (Figure 3). It is unclear when our patient lost both his crowns and how long they were in his hypopharynx. However, on chart review, a lateral X-ray of the skull (Figure 4) performed eight months prior to discovery of the foreign bodies on the MBSS showed the two radiographic densities in the same place. This indicates that these dental crowns may have been impacted in the patient's hypopharynx for over eight months. The identification of these two radiographic densities was missed on the initial skull X-ray read. Additionally, a dental consult and examination was performed on the same day as the skull X-ray, which failed to detect the missing dental crowns but showed that his mouth-guard was loose and that teeth 7–10 and 23–26 were mobile/loose.


Cursor on image to zoom/Click text to open image
Figure 1: An eight-year-old boy with two radiopaque densities incidentally found on modified barium swallow study. Findings: Two radiopaque objects (red arrow) at the level of the hypopharynx near the cervical esophagus. Technique: Lateral neck soft tissue plain radiograph.



Cursor on image to zoom/Click text to open image
Figure 2: An eight-year-old boy with two radiopaque densities incidentally found on modified barium swallow study. Findings: Two radiopaque objects (red arrows) at the level of the hypopharynx near the cervical esophagus. Technique: Anteriorposterior neck soft tissue plain radiograph.



Cursor on image to zoom/Click text to open image
Figure 3: Two irregularly shaped shiny metallic crowns measuring 1.0x0.6x0.6 cm and 1.1x0.8x0.6 cm were removed from the hypopharynx.



Cursor on image to zoom/Click text to open image
Figure 4: An eight-year-old boy with two radiopaque densities incidentally found on modified barium swallow study. Findings: Two radiopaque objects (red arrows) at the level of the hypopharynx near the cervical esophagus. Technique: Lateral skull plain radiograph performed eight months prior to discovery of foreign bodies on modified barium swallow study.



Discussion

We hypothesize that our patient's continuous bruxism and ill-fitting crowns led to dislodgement and impaction of the crowns. Additionally, an ill-fitting crown can accumulate stress concentrations that may reduce the strength and long-term fixation of the restoration into the enamel [4]. Therefore, it is important to have the restoration evaluated periodically to ensure proper seal and fitment. Both complications associated with long-standing foreign object impaction (failure to thrive and recurrent aspiration pneumonia) were not possible to detect in our patient due to his gastrostomy tube and tracheostomy dependence. Fortunately, our patient did not suffer from any of these complications or any of the other serious ones. However, his neurologic impairment and lack of gag reflex may have allowed the dental crown impaction to remain asymptomatic. Interestingly, our patient's dental crowns were impacted in his hypopharynx, which is a relatively uncommon site for impaction of dental prosthesis without causing any symptoms. According to a case series of dental prosthesis ingestion, most foreign bodies are lodged in the cervical esophagus, mid and lower esophagus or rest of the gastrointestinal tract, with the hypopharynx being the least likely location [5].

If foreign body ingestion is suspected, plain radiography should be the initial method of investigation. Plain radiographs can confirm the size, location, and shape of ingested foreign objects and help rule out aspiration. They are also helpful in excluding some complications including pneumomediastinum (in case of viscus perforation) or crepitus (if there is an infection). Since, the skull X-ray was ordered to evaluate for a left-sided head lump, it is possible that most of the reading radiologist's attention was focused on ruling out a fracture. For this reason, radiologists should keep an open mind about the differential diagnosis and remain open to the possibility of unusual findings, as they are least likely to be biased by patient's clinical presentation. We also suggest that performing serial plain radiographic evaluation of neck, chest and abdomen when missing dental prosthetics is suspected in individuals at high risk for asymptomatic accidental ingestion (such as our patient). Initial plain radiographs will confirm if accidental ingestion of radiopaque objects has occurred. Subsequent serial plain radiographs will ensure timely passage of these foreign objects or dictate appropriate further management to prevent further complications associated with foreign object impaction in the aero-gastrointestinal tract.

Fortunately, the dental crowns were also made of a radiopaque metal that was easily detected on subsequent neck soft tissue plain radiographs. It should be noted that other dental objects may be made out of radiolucent materials and may require computed tomography scan to localize them based on the soft tissue changes cause by the trauma from the foreign body [6].

The most relevant differential diagnoses for foreign body impacted in the aero-gastrointestinal tract are long objects, disk batteries, drug packets, and sharp pointed objects. The management of each of these is different and some require special considerations. It is important to categorize the type of object impacted radiographically or endoscopically (if radiography is inconclusive), to plan management accordingly. Disk batteries require urgent intervention because voltage burns and direct corrosive effects can occur as early as four hours after ingestion[1]. If the batteries are past the duodenum, serial radiographs should be performed every 3 to 4 days to ensure passage. For long and sharp or pointy objects, the risk of perforation is higher and early intervention with the use of overtubes to protect the airway and esophageal mucosa from lacerations is warranted. Since rupture and leakage of drug packet contents may be lethal, endoscopic removal should not be attempted and surgical intervention is preferred only if passage of packets fail or if there are signs of small bowel obstruction [7].

The first and most important priority in approaching a patient with foreign body ingestion is stabilization of the airway and breathing. If missing dental prosthesis is suspected, eliciting a specific history of dental work and thorough examination of teeth followed by serial plain radiographic evaluation of neck, chest, abdomen will confirm occurrence of accidental ingestion of radiopaque objects and will ensure timely passage of these foreign objects or dictate appropriate further management to prevent longstanding foreign body impaction in the aero-gastrointestinal tract and associated complications. Impacted objects can be managed conservatively if they are asymptomatic and evidence of progress through the gastrointestinal tract is present. Objects impacted in the esophagus are unlikely to resolve without intervention after 24 hours and may require endoscopy in 10–20% of the cases or surgery in 1% of cases[1]. According to the guidelines set by the ASGE for management of ingested foreign bodies, the mainstay of treatment for accidental ingestions is flexible endoscopy accompanied by retrieval devices. The guideline also recommends an otorhinolaryngology consultation for foreign bodies at or above the level of the cricopharyngeus [6].


Conclusion

Longstanding impaction of dental prosthesis in hypopharynx can present without a positive history in children with neurological impairment and should be included in the differential when reading c-spine/neck X-rays. Regular thorough examination of the oral cavity and dentition in high risk population and careful attention to their history of dental work would detect missing teeth and dental appliances allowing for a more timely diagnosis of accidental dental prosthesis ingestion/impaction and prevention of further associated complications.


References
  1. Chen MK, Beierle EA. Gastrointestinal foreign bodies. Pediatr Ann 2001 Dec;30(12):736–42.   [CrossRef]   [Pubmed]    Back to citation no. 1
  2. Nandi P, Ong GB. Foreign body in the oesophagus: Review of 2,394 cases. Br J Surg 1978 Jan;65(1):5–9.   [CrossRef]   [Pubmed]    Back to citation no. 2
  3. Zitzmann NU, Elsasser S, Fried R, Marinello CP. Foreign body ingestion and aspiration. Oral Surg Oral Med Oral Pathol Oral Radiol Endod 1999 Dec;88(6):657–60.   [CrossRef]   [Pubmed]    Back to citation no. 3
  4. Tuntiprawon M, Wilson PR. The effect of cement thickness on the fracture strength of all-ceramic crowns. Aust Dent J 1995 Feb;40(1):17–21.   [CrossRef]   [Pubmed]    Back to citation no. 4
  5. Abdullah BJ, Teong LK, Mahadevan J, Jalaludin A. Dental prosthesis ingested and impacted in the esophagus and orolaryngopharynx. J Otolaryngol 1998 Aug;27(4):190–4.   [Pubmed]    Back to citation no. 5
  6. Braverman I, Gomori JM, Polv O, Saah D. The role of CT imaging in the evaluation of cervical esophageal foreign bodies. J Otolaryngol 1993 Aug;22(4):311–4.   [Pubmed]    Back to citation no. 6
  7. Ikenberry SO, Jue TL, Anderson MA, et al. Management of ingested foreign bodies and food impactions. Gastrointest Endosc 2011 Jun;73(6):1085–91.   [CrossRef]   [Pubmed]    Back to citation no. 7

[HTML Abstract]   [PDF Full Text]

Author Contributions
Michael Zaki – Substantial contributions to conception and design, Acquisition of data, Analysis and interpretation of data, Drafting the article, Revising it critically for important intellectual content, Final approval of the version to be published
Soroush Zaghi – Analysis and interpretation of data, Revising it critically for important intellectual content, Final approval of the version to be published
Jonathan Ghiam – Analysis and interpretation of data, Revising it critically for important intellectual content, Final approval of the version to be published
Alisha West – Analysis and interpretation of data, Revising it critically for important intellectual content, Final approval of the version to be published
Guarantor of submission
The corresponding author is the guarantor of submission.
Source of support
None
Conflict of interest
Authors declare no conflict of interest.
Copyright
© 2015 Michael Zaki et al. This article is distributed under the terms of Creative Commons Attribution License which permits unrestricted use, distribution and reproduction in any medium provided the original author(s) and original publisher are properly credited. Please see the copyright policy on the journal website for more information.