,
     
Case Report
 
Intracystic papillary carcinoma of the breast with invasion accompanying lymph node metastasis
Takaaki Fujii1, Reina Yajima1, Hiroki Morita1, Satoru Yamaguchi2, Soichi Tsutsumi1, Takayuki Asao1, Hiroyuki Kuwano1
1Department of General Surgical Science, Graduate School of Medicine, Gunma University, Gunma, Japan.
2First Department of Surgery, Graduate School of Medicine, Dokkyo University, Tochigi, Japan.

doi:10.5348/ijcri-201505-CR-10466

Address correspondence to:
Takaaki Fujii
MD, Ph.D, FACS, Department of General Surgical Science, Graduate School of Medicine
Gunma University, 3-39-22 Showa-machi, Maebashi
Gunma 371-8511
Japan
Phone: +81-027-220-8224
Fax: +81-027-220-8230
Email: ftakaaki@gunma-u.ac.jp

Access full text article on other devices

  Access PDF of article on other devices

[HTML Abstract]   [PDF Full Text] [Print This Article]
[Similar article in Pumed] [Similar article in Google Scholar]


How to cite this article
Fujii T, Yajima R, Morita H, Yamaguchi S, Tsutsumi S, Asao T, Kuwano H. Intracystic papillary carcinoma of the breast with invasion accompanying lymph node metastasis. Int J Case Rep Images 2015;6(1):25–28.


Abstract
Introduction: Intracystic papillary carcinoma (IPC) is a rare malignant tumor of the breast. Generally, IPC shows no invasive growth outside of the cyst, however, it is often associated with invasive carcinoma. Thus, an accurate preoperative diagnosis of invasion or spread plays a crucial role in the management of patients with IPC.
Case Report: A 78-year-old Japanese female presented with a large right breast mass. Magnetic resonance imaging (MRI) scan showed an intracystic mass with a papillary lesion, indicating invasion. Breast conservative surgery with sentinel lymph node (SLN) biopsy was performed. Histological evaluation confirmed IPC with invasion to the outside of the cyst wall, as detected by preoperative MRI, and SLN metastasis was also detected.
Conclusion: It should be noted that IPC is frequently accompanied by invasion. MRI findings may help in making a definitive diagnosis of tumor invasiveness. The SLN biopsy should be considered in cases of IPC with invasion.

Keywords: Breast, Intracystic papillary carcinoma, Invasion, Lymph node metastasis


Introduction

Intracystic papillary carcinoma (IPC) is a rare malignant tumor of the breast [1] [2] [3] [4] [5]. Generally, IPC shows no invasive growth outside of the cyst [6] [7] [8]. There is no consensus on the management strategy of IPC with invasion, however, the prognosis for IPC is usually excellent if completely excised [1] [9] [10]. Thus, an accurate diagnosis of invasion or spread may play a crucial role in the management of patients with IPC. We report here on a rare case of IPC with invasion that was detected prior to surgery by magnetic resonance imaging (MRI) scan, accompanying axillary lymph node metastasis.


Case Report

A 78-year-old Japanese postmenopausal woman presented with a large right breast mass four months prior to admission (Figure 1A). Physical examination revealed one 5.0x5.0 cm palpable cystic mass that was elastically firm in the lower external quadrant of the right breast. There was no abnormal nipple discharge. Mammography revealed a well-defined large dense mass (Figure 1B). Sonography revealed a well-demarcated intracystic tumor with papillary growth in the right breast (Figure 2A), and MRI scan showed an intracystic mass with a papillary lesion, indicating invasion (Figure 2B). There was no evidence of axillary lymphadenopathy. A biopsy had been performed at the previous hospital and revealed an invasive ductal carcinoma. Breast conservative surgery with sentinel lymph node (SLN) biopsy was performed, and a white intracystic papillary tumor was removed (Figure 2C). During surgery, an axillary SLN was detected with blue dye and a hot (radioactive) tracer. Briefly, twelve hours prior to surgery, the radioisotope with 99mTc-phytate colloid was injected subcutaneously in the periareolar region. Intradermal injection of a blue dye, indigo carmine, in the periareolar region was also performed immediately prior to surgery. Any lymph nodes with blue dye and radioactivity were regarded as SLN [11] [12] [13]. The intraoperative diagnosis of SLN was positive for metastasis, and additional conventional axillary lymph node dissection (ALND) was therefore performed. At final histology, none of the non-SLN was metastatic. Histological evaluation revealed a lesion containing papillary structure in the cystic space and a solid tubular carcinoma with invasion to the outside of the cyst wall that had been detected by preoperative MRI. These findings are compatible with intracystic papillary carcinoma associated with invasive ductal carcinoma (Figure 3). Immunohistochemical staining showed estrogen and progesterone receptor were positive and the patient's HER2 score was 0. The patient has not received adjuvant therapy or radiotherapy because of severe dementia. The patient has remained alive for 14 months without locoregional or systemic recurrence of the tumor.


Cursor on image to zoom/Click text to open image
Figure 1: (A) A 5.0x5.0 cm palpable cystic mass was elastically firm in the lower external quadrant of the right breast, and (B) Mammography revealed a well-defined large dense mass.



Cursor on image to zoom/Click text to open image
Figure 2: (A) Sonography revealed a well-demarcated intracystic tumor with papillary growth in the right breast, (B) Magnetic resonance imaging scan showed an intracystic mass with a papillary lesion, indicating invasion, and (C) Breast conservative surgery was performed. A Photograph of a gross specimen showed a papillary tumor within the cystic space.



Cursor on image to zoom/Click text to open image
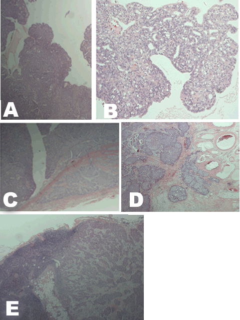
Figure 3: (A, B) Histological evaluation revealed a lesion containing papillary structure in the cystic space (H&E stain, x100, x200 respectively), (C, D) A solid-tubular carcinoma with invasion to the outside of the cyst wall (H&E stain, x100, x200 respectively). These findings are compatible with intracystic papillary carcinoma associated with invasive ductal carcinoma, and (E) Sentinel lymph node was positive for metastasis (H&E stain, x200).



Discussion

We report herein a rare case of IPC of the breast with invasion accompanying SLN metastasis. The IPC is an uncommon tumor that predominantly affects elderly women and accounts for only 1–2% of all breast cancers [1] [2] [3] [4] [8] [9] [10]. This can be divided into a pure form (IPC alone), IPC with associated DCIS and IPC with associated invasive ductal carcinoma. The IPC is relatively frequently associated with invasive carcinoma or DCIS beyond the tumor [1] [2] [5][10][14]. The prognosis for this tumor is excellent regardless of whether it is noninvasive or invasive [3] [4]. Thus, an accurate preoperative diagnosis of invasion or spread may play a crucial role in the management of patients with IPC. Magnetic resonance imaging scan may be useful not only for reaching a differential diagnosis, but also for evaluating tumor invasiveness. In the present case, MRI was useful in diagnosing the invasiveness of the IPC and in decision-making for the surgical procedure. The SLN biopsy or ALND are often performed to assess the axillary lymph nodes [14]. The role of SLN biopsy has not yet been fully evaluated in IPC, but it may be an excellent alternative in patients with IPC with invasion. Among patients with IPC with invasive carcinoma, 30% of patients who underwent axillary dissection had histologically positive nodes [3] [10]. This case was also positive for SLN metastasis. Therefore, SLN biopsy is recommended for invasive cases.


Conclusion

In conclusion, we reported here on a rare case of intracystic papillary carcinoma (IPC) with invasion accompanying sentinel lymph node (SLN) metastasis. It should be noted that IPC is frequently accompanied by invasion. The SLN biopsy should be considered in cases of IPC with invasion. Magnetic resonance imaging scan may help in making a definitive diagnosis of tumor invasiveness.


Acknowledgements

The authors would like to thank Saitoh Y, Yano T, Matsui Y, Ishida A, and Ishikubo A for their secretarial assistance.


References
  1. Carter D, Orr SL, Merino MJ. Intracystic papillary carcinoma of the breast. After mastectomy, radiotherapy or excisional biopsy alone. Cancer 1983 Jul 1;52(1):14–9.   [CrossRef]   [Pubmed]    Back to citation no. 1
  2. Solorzano CC, Middleton LP, Hunt KK, et al. Treatment and outcome of patients with intracystic papillary carcinoma of the breast. Am J Surg 2002 Oct;184(4):364–8.   [CrossRef]   [Pubmed]    Back to citation no. 2
  3. Amemiya T, Oda K, Satake H, et al. A case of intracystic papillary carcinoma accompanying widespread carcinoma in situ. Breast Cancer 2007;14(3):312–6.   [CrossRef]   [Pubmed]    Back to citation no. 3
  4. Kulkarni MP, Gosavi AV, Ramteerthakar NA, Murarkar PS, Sulhyan KR. Intracystic papillary carcinoma of the breast: Report of two cases. Breast Dis 2011;33(3):121–4.   [CrossRef]   [Pubmed]    Back to citation no. 4
  5. Lefkowitz M, Lefkowitz W, Wargotz ES. Intraductal (intracystic) papillary carcinoma of the breast and its variants: A clinicopathological study of 77 cases. Hum Pathol 1994 Aug;25(8):802–9.   [CrossRef]   [Pubmed]    Back to citation no. 5
  6. Liberman L, Feng TL, Susnik B. Case 35: Intracystic papillary carcinoma with invasion. Radiology 2001 Jun;219(3):781–4.   [Pubmed]    Back to citation no. 6
  7. Akagi T, Kinoshita T, Shien T, Hojo T, Akashi-Tanaka S, Murata Y. Clinical and pathological features of intracystic papillary carcinoma of the breast. Surg Today 2009;39(1):5–8.   [CrossRef]   [Pubmed]    Back to citation no. 7
  8. Baykara M, Coskun U, Demirci U, et al. Intracystic papillary carcinoma of the breast: One of the youngest patients in the literature. Med Oncol 2010 Dec;27(4):1427–8.   [CrossRef]   [Pubmed]    Back to citation no. 8
  9. Wagner AE, Middleton LP, Whtman GJ. Intracystic papillary carcinoma of the breast with invasion. AJR Am J Roentgenol 2004 Nov;183(5):1516.   [CrossRef]   [Pubmed]    Back to citation no. 9
  10. Okita R, Ohsumi S, Takashima S, Saeki T, Aogi K, Nishimura R. Synchronous liver metastasis of intracystic papillary carcinoma with invasion of the breast. Breast Cancer 2005;12(4):327–30.   [CrossRef]   [Pubmed]    Back to citation no. 10
  11. Fujii T, Yanagita Y, Fujisawa T, Hirakata T, Iijima M, Kuwano H. Implication of extracapsular invasion of sentinel lymph nodes in breast cancer: Prediction of non-sentinel lymph node metastasis. World J Surg 2010 Mar;34(3):544–8.   [CrossRef]   [Pubmed]    Back to citation no. 11
  12. Fujii T, Yanagita Y, Kinoshita T, et al. Accuracy of intraoperative macroscopic diagnosis of sentinel node metastases in breast cancer: Is accurate prediction possible? Tumori 2011 Jan-Feb;97(1):62–5.   [Pubmed]    Back to citation no. 12
  13. Fujii T, Yajima R, Yamaguchi S, et al. Extracapsular invasion of sentinel lymph nodes is not associated with disease recurrence in breast cancer. Int Surg 2014 Jul-Aug;99(4):305–8.   [CrossRef]   [Pubmed]    Back to citation no. 13
  14. Soo MS, Williford ME, Walsh R, Bentley RC, Kornguth PJ. Papillary carcinoma of the breast: Imaging findings. AJR Am J Roentgenol 1995 Feb;164(2):321–6.   [CrossRef]   [Pubmed]    Back to citation no. 14

[HTML Abstract]   [PDF Full Text]

Author Contributions
Takaaki Fujii – Substantial contributions to conception and design, Acquisition of data, Drafting the article, Revising it critically for important intellectual content, Final approval of the version to be published
Reina Yajima – Substantial contributions to conception and design, Acquisition of data, Drafting the article, Revising it critically for important intellectual content, Final approval of the version to be published
Hiroki Morita – Substantial contributions to conception and design, Drafting the article, Final approval of the version to be published
Satoru Yamaguchi – Substantial contributions to conception and design, Drafting the article, Final approval of the version to be published
Soichi Tsutsumi – Substantial contributions to conception and design, Drafting the article, Final approval of the version to be published
Takayuki Asao – Substantial contributions to conception and design, Drafting the article, Final approval of the version to be published
Hiroyuki Kuwano – Substantial contributions to conception and design, Drafting the article, Revising it critically for important intellectual content, Final approval of the version to be published
Guarantor of submission
The corresponding author is the guarantor of submission.
Source of support
None
Conflict of interest
Authors declare no conflict of interest.
Copyright
© 2015 Takaaki Fujii et al. This article is distributed under the terms of Creative Commons Attribution License which permits unrestricted use, distribution and reproduction in any medium provided the original author(s) and original publisher are properly credited. Please see the copyright policy on the journal website for more information.