Clinical Image
 
Pneumatosis intestinalis of the cecum mimicking emphysematous cystitis
Jun-Jie Ng1, Kon-Voi Tay2
1MBBS, MRCS, Resident, Department of Surgery, University Surgical Cluster, National University Health System, Singapore.
2MD, MRCS, Registrar, Department of Surgery, University Surgical Cluster, National University Health System, Singapore.

doi:10.5348/ijcri-201502-CL-10057

Address correspondence to:
Jun-Jie Ng
Level 8, NUHS Tower Block
1E Kent Ridge Road
Singapore 119228
Phone: +65 97375930
Email: jun_jie_ng@nuhs.edu.sg

Access full text article on other devices

  Access PDF of article on other devices

[HTML Abstract]   [PDF Full Text] [Print This Article]
[Similar article in Pumed] [Similar article in Google Scholar]


How to cite this article
Jun-Jie Ng, Kon-Voi Tay. Pneumatosis intestinalis of the cecum mimicking emphysematous cystitis. Int J Case Rep Images 2015;6(1):59–61.


Case Report

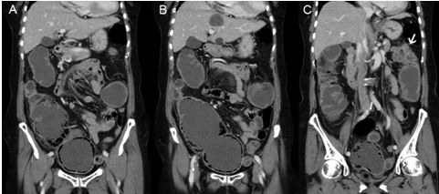
A 73-year-old diabetic female was presented to the emergency department with lower abdominal pain and distension for five days. Physical examination revealed tenderness over her right iliac fossa and supra-pubic region. An abdominal X-ray (Figure 1) revealed a spherical structure in the pelvis in the expected position of the bladder with presence of intramural gas and a provisional diagnosis of emphysematous cystitis was made by the emergency physicians. Urinary catheterization performed yielded clear urine and urine dipstick did not reveal any evidence of urinary tract infection. The patient's abdominal pain and distension worsened and a surgical consult was made. Further history corroborated with the patient's family revealed that the patient has had associated absolute constipation for last five days. The abdominal X-ray was reviewed which also showed a loop of dilated transverse colon. There was suspicion of colonic intestinal obstruction. Computed tomography (CT) scan of her abdomen and pelvis (Figure 2) showed a massively dilated cecum extending into the pelvis with evidence of pneumatosis intestinalis secondary to a closed loop obstruction from a stenotic splenic flexure colonic tumor. The patient underwent an exploratory laparotomy which revealed a large circumferential and stenotic splenic flexure tumor causing resultant proximal large bowel obstruction. The cecum was massively dilated measuring up to 14 cm in diameter and the cecal wall appeared thinned out and dusky. The ascending and transverse colon were also dilated up to 5 cm in diameter but still appeared healthy. The patient underwent a subtotal colectomy and was discharged well on postoperative day-10. Histopathological examination of the resected colon revealed a moderately differentiated adenocarcinoma of the splenic flexure exhibiting transmural invasion with involvement of the serosa and omental fat. There was no malignancy identified in 28 harvested lymph nodes and resection margins were free of tumor. The cecum demonstrated mural attenuation with mucosal ulceration and a small focal perforation. The histopathological findings corresponded to a provisional tumor node metastasis (TNM) staging of T4N0.


Cursor on image to zoom/Click text to open image
Figure 1: Plain supine abdominal X-ray of the patient showing a circular radiolucent rim (as indicated by the arrow) at the expected position of the bladder in the pelvis suggestive of emphysematous cystitis.



Cursor on image to zoom/Click text to open image
Figure 2: (A, B) Coronal views of a contrast-enhanced computed tomography scan of the patient's abdomen and pelvis showing a massive dilated cecum with pneumatosis intestinalis directed towards the pelvis causing an X-ray appearance that mimicked emphysematous cystitis, and (C) The massive cecal dilatation was due to a closed loop intestinal obstruction secondary to a stenotic splenic flexure colonic tumor (indicated by the arrow).


Discussion

Emphysematous cystitis is a rare but potentially life-threatening clinical entity where there is presence of gas within the bladder wall and lumen during a urinary tract infection. It usually occurs in elderly women with poorly controlled diabetes mellitus [1] [2] [3]. Common causative pathogens are gas forming organisms like Escherichia coli and Klebsiella pneumoniae [4]. Patients with emphysematous cystitis frequently present with symptoms of abdominal pain, gross hematuria and fever but a significant proportion of patients can be asymptomatic with diagnosis of emphysematous cystitis made incidentally on abdominal imaging [5]. Intra-mural gas can be seen on plain abdominal or pelvic X-rays as curvilinear or circular areas of increased radiolucency in the expected position of the bladder and intra-luminal gas can be seen as an air-fluid level. In our patient, the abdominal X-ray revealed a circular radiolucent rim centrally located within the pelvis which was highly suggestive of emphysematous cystitis. Although she presented with lower abdominal pain, she did not have any other symptoms of cystitis such has hematuria, dysuria, urinary frequency or urgency. Urine dipstick analysis of the urine also did not reveal any evidence of urinary tract infection such as the presence of leucocytes or nitrites. In view of the discordance between her presenting symptoms, urine dipstick analysis and X-ray findings, a CT scan was subsequently performed which revealed that the rim of gas in the pelvis was actually pneumatosis intestinalis of the cecum. The cecum was massively dilated and directed into the pelvis secondary to a closed loop obstruction from a stenotic transverse colon tumor and competent ileocecal valve. We hypothesize that apart from pneumatosis intestinalis of the cecum, pneumatosis intestinalis of the sigmoid colon and rectum could also possibly mimic the X-ray findings of emphysematous cystitis. The subsequent management and disposition of a patient with pneumatosis intestinalis of the colon or rectum will differ significantly with that of emphysematous cystitis.


Conclusion

Plain X-ray finding of a curvilinear or circular radiolucent rim at the expected position of the bladder in the pelvis usually represents a diagnosis of emphysematous cystitis. However, it is prudent to investigate with further imaging such as a computed tomography scan if clinical findings are not congruent with emphysematous cystitis as adjacent structures such as the cecum, sigmoid colon or even rectum with pneumatosis intestinalis can mimic the X-ray finding of emphysematous cystitis and if not picked up may lead to delayed diagnosis and disastrous complications.


References
  1. Thomas AA, Lane BR, Thomas AZ, Remer EM, Campbell SC, Shoskes DA. Emphysematous cystitis: A review of 135 cases. BJU Int 2007 Jul;100(1):17–20.   [CrossRef]   [Pubmed]    Back to citation no. 1
  2. Bjurlin MA, Hurley SD, Kim DY, et al. Clinical outcomes of nonoperative management in emphysematous urinary tract infections. Urology 2012 Jun;79(6):1281–5.   [CrossRef]   [Pubmed]    Back to citation no. 2
  3. Yoshida K, Murao K, Fukuda N, Tamura Y, Ishida T. Emphysematous cystitis with diabetic neurogenic bladder. Intern Med 2010;49(17):1879–83.   [CrossRef]   [Pubmed]    Back to citation no. 3
  4. Amano M, Shimizu T. Emphysematous cystitis: A review of the literature. Intern Med 2014;53(2):79–82.   [CrossRef]   [Pubmed]    Back to citation no. 4
  5. Grupper M, Kravtsov A, Potasman I. Emphysematous cystitis: Illustrative case report and review of the literature. Medicine (Baltimore) 2007 Jan;86(1):47–53.   [CrossRef]   [Pubmed]    Back to citation no. 5
[HTML Abstract]   [PDF Full Text]

Author Contributions
Jun-Jie Ng – Substantial contributions to conception and design, Acquisition of data, Drafting the article, Final approval of the version to be published
Kon-Voi Tay – Substantial contributions to conception and design, Analysis and interpretation of data, Revising it critically for important intellectual content, Final approval of the version to be published

Guarantor of submission
The corresponding author is the guarantor of submission.
Source of support
None
Conflict of interest
Authors declare no conflict of interest.
Copyright
© 2015 Jun-Jie Ng et al. This article is distributed under the terms of Creative Commons Attribution License which permits unrestricted use, distribution and reproduction in any medium provided the original author(s) and original publisher are properly credited. Please see the copyright policy on the journal website for more information.