Case Report
 
Thyrotoxicosis: An unusual presentation
Somnath Gooptu1, Gurjit Singh2, Iqbal Ali2, Siddharth Mishra1
1Resident in General Surgery, Padm. Dr. D.Y. Patil Medical College, Pimpri, Pune, Maharashtra, India.
2Professor in General Surgery, Padm. Dr. D.Y. Patil Medical College, Pimpri, Pune, Maharashtra, India.

doi:10.5348/ijcri-2014150-CR-10461

Address correspondence to:
Dr. Somnath Gooptu
Resident in General Surgery, Padm. Dr. D.Y.Patil Medical College
Sant Tukaram Nagar
Pimpri, Pune-18, Pune, Maharashtra 411044
India
Phone: +91-9970799514
Email: somnathgooptu@yahoo.co.in

Access full text article on other devices

  Access PDF of article on other devices

[HTML Abstract]   [PDF Full Text] [Print This Article]
[Similar article in Pumed] [Similar article in Google Scholar]


How to cite this article
Gooptu S, Singh G, Ali I, Mishra S. Thyrotoxicosis: An unusual presentation. Int J Case Rep Images 2014;5(12):864–867.


Abstract
Introduction: In a thyrotoxic patient, Grave's disease, solitary toxic nodule and toxic nodular goitre are considered to be the possible diagnosis. However, in certain inflammatory conditions also present with similar features wherein thyroid hormones are released due to destruction of the gland. Such conditions as Hashimoto's thyroiditis may be missed on cytological examination and are diagnosed only on histopathological examination. The combination of Hashimoto's thyroiditis with toxicity is called hashitoxicosis.
Case Report: A 37-year-old female presented with thyroid swelling and features of thyrotoxicosis which were confirmed by thyroid function tests. A clinical diagnosis of toxic nodular goitre was made. Euthyroid state was achieved after treatment with tab carbimazole and beta blockers. The patient underwent near total thyroidectomy. After surgery, patient developed hypocalcemia which was managed by intravenous and oral calcium supplementation. At postoperative estimation thyroid auto antibodies were found elevated and the patient was started on tab thyroxine. At sixth month follow-up serum calcium levels returned to normal levels and hence calcium supplementation was stopped.
Conclusion: Any patient presenting in thyrotoxic state, possibility of hashitoxicosis should be considered and confirmed by the estimation of thyroid antibodies and the use of ultrasonography guided fine-needle aspiration cytology.

Keywords: Grave's disease, Hashitoxicosis, Thyroid antibodies, Thyrotoxicosis


Introduction

In a patient of thyrotoxicosis possible etiologies considered are Grave's disease, toxic multi-nodular goitre and solitary toxic nodule. However, certain inflammatory conditions may lead to destruction and damage to thyroid gland resulting in leakage of hormones causing transient thyrotoxicosis. Such transient thyrotoxicosis in association with Hashimoto's thyroiditis is termed hashitoxicosis. Patients with this disorder are expected to remit or even develop hypothyroidism. Only correlation of histopathology with antibody testing may clinch the diagnosis.


Case Report

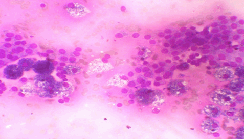
A 37-year-old female presented with complaints of thyroid swelling for the last three months which was associated with tachycardia and positive Stellwag's sign with no previous history of thyrotoxicosis. Thyroid function tests revealed normal levels of T3 (2 nmol/L) and T4 (14.8 nmol/L) but decreased levels of TSH (0.011 mU/L) hence diagnosis of thyrotoxicosis was made. Ultrasound of the neck revealed multinodular goitre. Fine-needle aspiration cytology (FNAC) was suggestive of colloid goitre (Figure 1).

The patient was started on antithyroid drugs and beta blockers. Euthyroid state was achieved in four weeks. Patient underwent near total thyroidectomy. Within 24 hours following surgery patient developed features of hypocalcemia. She had multiple episodes of carpopedal spasms over a period of next 40 days which were managed by I.V. injection calcium gluconate, and oral calcium and vitamin D3. She was gradually weaned off the injection, and only oral calcium and vitamin D3 supplementation were continued. Histopathology was suggestive of Hashimoto's thyroiditis (Figure 2).

The antithyroid antibody levels were estimated following surgery. Antimicrosomal and antithyroglobulin levels were high. The patient was started on thyroxine 50 mg supplementation and oral vitamin D supplementation was continued.

Thyroid function tests and serum calcium levels were within normal limits at six months following surgery, hence oral calcium was stopped. Thyroxine 50 mg had been continued.

There has been no episodes of hypocalcemic attacks during ensuing three months following stoppage of oral calcium supplementation and serum calcium levels have remained within normal limits.


Cursor on image to zoom/Click text to open image
Figure 1: Fine-needle aspiration cytology suggestive of colloid goitre.



Cursor on image to zoom/Click text to open image
Figure 2: Histopathology showing presence of lymphocytes along with colloid goitre.



Discussion

Grave's disease and toxic nodular goitre are always considered as the prime etiologies in a patient with thyrotoxicosis. However, certain destructive inflammatory conditions may damage the thyroid gland and cause the classical "leakage" of hormones into the blood resulting in transient thyrotoxicosis [1]. Such phenomenon can occur in Hashimoto's thyroiditis and called hashitoxicosis.

Hashitoxicosis has an incidence of 4.47%. Out of 69 patients with autoimmune thyroiditis studied by Nabhan et.al. only eight (11.69%) were diagnosed with hashitoxicosis [2]. Normal course of such condition is remission in due course of time or it develops into hypothyroidism.

Certain drugs like pegylated interferons a2b (PEG-IFNa) and ribavirin can produce hashitoxicosis followed by type 1 diabetes [3].

It has multi-factorial etiology which has multiple genetic and environmental factors. Genetic factors include human leucocyte antigen, major histocompatibility complex and cytotoxic T lymphocyte association (CTLA) [4]. Environmental factors include infections, cytokine therapy, selenium, iodine uptake, smoking [5].

It is associated with other autoimmune diseases which includes type 1 diabetes mellitus, systemic lupus erythematosus, multiple sclerosis, rheumatoid arthritis, celiac disease, vitiligo, chronic urticaria [6]. However, our patient did not suffer from any other autoimmune diseases.

In hashitoxicosis, there is a loss of immune tolerance to the thyroid cells due to the production of autoantibodies which in turn leads to destruction of the gland. Hence, the patient presents in hyperthyroid state which is followed by a definite resolution or may go to hypothyroidism. There is a destruction of both follicular and the 'C' cells which are replaced by fibrosis [7].

Patients suffering from hashitoxicosis usually present initially with features of hyperthyroidism which later progresses to hypothyroidism [8].

Our patient presented with a short history of nodular goitre and features of toxicity. FNAC revealed colloid material and hence diagnosis of Hashimoto's thyroiditis was never entertained. The diagnosis of Hashimoto's thyroiditis can be missed in smears showing cytological evidence of hyperplasia or abundant colloid [9]. Later being the reason in our case. Therefore, it would be reasonable to advocate ultrasonography guided FNAC or multiple punctures in equivocal cases. Macdonald and Yazdi emphasised importance of accurate cytological interpretations in the diagnosis of Hashimoto's thyroiditis to avoid false positive and false negative reports [10].

MacDonald and Yezdi emphasised the need for adequate sampling of the thyroid while performing fine-needle aspiration biopsy (FNAB) [11]. In their study of 184 aspirates diagnosed with Hashimoto's thyroiditis, 39 had corresponding surgical specimen taken from 31 patients. Amongst these 12 (31%) FNABs from nine patients, the cytological diagnosis was not confirmed histologically. The diagnosis of Hashimoto's thyroiditis is likely to be missed in smears showing cytological evidence of hyperplasia or abundant colloid [11] . In our case too, diagnosis was missed as smear showed only colloid material.

The investigation of choice in cases of hashitoxicosis is the estimation of auto antibodies, which includes antithyroglobulin and antimicrosomal antibodies [1] [11]. Levels of these antibodies are usually raised. The most sensitive of these is the antimicrosomal antibody. In our case, the estimation was done postoperatively and found to be raised. Hence, it will be reasonable to assume that estimation of thyroid antibodies should form integral part of any investigative protocol for thyroid disorders.

Patients with hashitoxicosis are first managed with β blockers to control toxicity and then started with thyroxine supplementation 50 mg once a day in order to slow the disease process and to reduce the level of auto antibodies [11]. However, patients can still undergo surgical resection when there is a dominant mass or an unresponsive mass despite thyroxine therapy or intermediate findings of malignancy on a cutting needle biopsy [12]. Our patient underwent near total thyroidectomy considering it to be a dominant mass of multi-nodular toxic goitre which was not expected to regress.

The patient has been followed-up every six weeks with estimation of thyroid autoantibodies and TSH level. The TSH levels are to be maintained between 1–10 mu/L. If After six months following surgery and thyroxine therapy, autoantibody levels have remained raised, such patients will have to continue life-long thyroxine.


Conclusion

In patients with toxic nodular goiter, possibility of Hashimoto's thyroiditis should be considered and excluded by obtaining representative samples on ultrasonography guided fine-needle aspiration biopsy. Routine estimation of thyroid antibodies should form part of protocol while investigating such patients. There is definite role of surgery under specific clinical settings. Thyroid supplementation will be required for life-long even in those patients who did not undergo any form of surgery.


References
  1. Unnikrishnan AG. Hashitoxicosis: A clinical perspective. Thyroid Research & Practice 2013;10(1):5–6.   [CrossRef]    Back to citation no. 1
  2. Nabhan ZM, Kreher NC, Eugster EA. Hashitoxicosis in children: Clinical features & natural history. J Pediatr 2005 Apr;146(4):533–6.   [CrossRef]   [Pubmed]    Back to citation no. 2
  3. Yagyu H, Okada K, Sato S, et al. Pegylated interferon-a2b and ribavirin combination therapy induces Hashitoxicosis followed by type 1 diabetes mellitus. Diabetes Res Clin Pract 2012 Mar;95(3):e52–4.   [CrossRef]   [Pubmed]    Back to citation no. 3
  4. Fisher GF. Molecular Genetics of HLA. Vox Sang 2000;78 Suppl 2:261–4.   [Pubmed]    Back to citation no. 4
  5. Boukis MA, Koutras DA, Souvatzoglou A, Evangelopoulou A, Vrontakis M, Moulopoulos SD. Thyroid hormone and immunological studies in endemic goiter. J Clin Endocrinol Metab 1983 Oct;57(4):859–62.   [CrossRef]   [Pubmed]    Back to citation no. 5
  6. Kakourou T, Kanaka-Gantenbein C, Papadopoulou A, Kaloumenou E, Chrousos GP. Increased prevalence of chronic autoimmune (Hashimoto's) thyroiditis in children and adolescents with vitiligo. J Am Acad Dermatol 2005 Aug;53(2):220–3.   [CrossRef]   [Pubmed]    Back to citation no. 6
  7. Lima MA, Santos BM, Borges MF. Quantitative Analysis of C cells in Hashimoto's Thyroiditis. Thyroid 1998 Jun;8(6):505–9.   [CrossRef]   [Pubmed]    Back to citation no. 7
  8. Wasniewska M, Corrias A, Salerno M, et al. Outcomes of children with Hashitoxicosis. Horm Res Paediatr 2012;77(1):36–40.   [CrossRef]   [Pubmed]    Back to citation no. 8
  9. Kumar N, Ray C, Jain S. Aspiration cytology of Hashimoto's thyroiditis in an endemic area. Cytopathology 2002 Feb;13(1):31–9.   [CrossRef]   [Pubmed]    Back to citation no. 9
  10. MacDonald L, Yazdi HM. Fine needle aspiration biopsy of Hashimoto's thyroiditis. Sources of diagnostic error. Acta Cytol 1999 May-Jun;43(3):400–6.   [Pubmed]    Back to citation no. 10
  11. Champion BR, Page KR, Parish N, et al. Identification of a thyroxine-containing self-epitope of thyroglobulin which triggers thyroid autoreactive T cells. J Exp Med 1991 Aug 1;174(2):363–70.   [CrossRef]   [Pubmed]    Back to citation no. 11
  12. Thomas CG Jr, Rutledge RG. Surgical intervention in chronic (Hashimoto's) thyroiditis. Ann Surg 1981 Jun;193(6):769–6.   [Pubmed]    Back to citation no. 12

[HTML Abstract]   [PDF Full Text]

Author Contributions
Somnath Gooptu – Conception and design, Acquisition of data, Analysis and interpretation of data, Drafting the article, Final approval of the version to be published
Gurjit Singh – Conception and design, Acquisition of data, Analysis and interpretation of data, Critical revision of the article, Final approval of the version to be published
Iqbal Ali – Acquisition of data, Analysis and interpretation of data, Drafting the article. Final approval of the version to be published
Siddharth Mishra – Acquisition of data, Analysis and interpretation of data, Drafting the article, Final approval of the version to be published
Guarantor of submission
The corresponding author is the guarantor of submission.
Source of support
None
Conflict of interest
Authors declare no conflict of interest.
Copyright
© 2014 Somnath Gooptu et al. This article is distributed under the terms of Creative Commons Attribution License which permits unrestricted use, distribution and reproduction in any medium provided the original author(s) and original publisher are properly credited. Please see the copyright policy on the journal website for more information.