Case Report
 
Bilateral traumatic distal femoral physeal slips: A very rare case presentation
Anil Mehtani1, Jatin Prakash2, Suresh Chand3, Abhinav Sinha2, Ajeet Singh2, Harvinder Dev2
1Head of Department of Orthopedics, Lady Hardinge Medical College, Shaheed Bhagat Singh Marg, New Delhi, India.
2MBBS, MS(Ortho), DNB, Department of Orthopedics, Lady Hardinge Medical College, Shaheed Bhagat Singh Marg, New Delhi, India.
3Rresident ,Department of Orthopedics, Lady Hardinge Medical College, Shaheed Bhagat Singh Marg, New Delhi, India.

doi:10.5348/ijcri-201465-CR-10376

Address correspondence to:
Jatin Prakash
H-19/82, Sec-7
Rohini-110085
Delhi
India
Phone: +91 9871112658
Email: jatin_mamc@yahoo.co.in

Access full text article on other devices

  Access PDF of article on other devices

[HTML Abstract]   [PDF Full Text] [Print This Article]
[Similar article in Pumed] [Similar article in Google Scholar]


How to cite this article
Mehtani A, Prakash J, Chand S, Sinha A, Singh A, Dev H. Bilateral traumatic distal femoral physeal slips: A very rare case presentation. International Journal of Case Reports and Images 2014;5(5):334–338.


Abstract
Introduction: Salter-Harris type 1 injuries of distal femur are very rare accounting for a mere 7.7% of all distal femoral injuries. No report of bilateral slips in otherwise normal child has been ever reported.
Case Report: We herein present a case of a six-year-old boy with one month old trauma that caused bilateral distal femoral physeal slips. Patient was managed conservatively to avoid any further physeal damage. The slips healed completely with excellent range of motion. Due to late presentation, the fracture was already in stage of healing and was not frankly mobile and therefore open reduction or closed manipulation of physis was not possible without causing additional injury to growth plate. Therefore, slips were managed conservatively.
Conclusion: This case presents a number of unique features. Salter–Harris type 1 injury is uncommon in the age group presented in our case. Secondly, bilateral distal femoral slips in otherwise normal child have never been reported. Thirdly, it further shows that remodeling of slips presenting late is possible if the physeal damage is prevented and open reduction in late presenting slips is not required.

Keywords: Paediatric, Trauma, Distal femur, Physeal


Introduction

The distal femoral epiphysis is the largest and fastest growing epiphysis in the body. There is no inherent protection to the physis with all muscles and ligaments inserting directly to the epiphysis. Distal femoral injuries account for 7% of all pediatric trauma. [1] Distal femoral physeal injuries are even more rarer accounting for 1–6 % of all physeal injuries and less than 1% of all fractures. Among these most common is Salter–Harris type 2 injuries. Salter–Harris type 1 injuries of distal femur are very rare accounting for a mere 7.7% of all distal femoral injuries. [2] [3] Also these injuries are common in new-borns or adolescents. [3] Direct trauma to distal femur is uncommon mode of injury but may occur in road traffic accident or with falls. Such injuries are mostly seen in adolescents. In newborns, it is mostly due to birth trauma secondary to breech injury. Indirect injuries are most common mode of injury, mostly varus or valgus strains resulting in simultaneous compression of one side with distraction of other cause physeal separation. Most typically these are Salter–Harris type 2 with separation beginning in tension side and exiting from metaphysis of compression side. In most cases patients present with history of trauma with inability to bear weight on affected extremity. The knee is typically in flexion owing to hamstring spasm. Mostly the epiphyseal displacement is in the coronal plain producing a varus or valgus deformity. This is confirmed by a plain radiograph and treatment consists of closed manipulation followed by a long leg cast till fracture healing. In fractures which fail to reduce or with unstable reductions may be taken up for open reduction with 4.0 or 6.5 mm screws.

A bilateral distal femoral Salter–Harris type 1 injury has never been reported in literature. Multiple slips have been reported in metabolic disorders like scurvy, [4] or conditions causing generalized bone weakening like leukemia or myelodysplasia. However, we herein present one case of a six-year-old year male child with bilateral traumatic distal femoral slips with normal metabolic parameters.


Case Report

We herein present a case of a six-year-old boy, presented to us with mild knee and thigh swelling of left side and inability to walk for one month. Child's parents gave history of fall from height of about 4–5 meter, 1 month back, following which patient was unable to stand and complained of pain in bilateral knee. There was history of massage and visits to professional bone setter. No history of any medical intervention was elicited. No history of bracing or plaster cast immobilization was given.

On examination, tenderness was present in bilateral thigh. Patient was bed ridden for one month. No abnormal mobility or crepitation was seen. There was swelling in bilateral distal thigh, left more than right. Range of motion at hip was normal. There were bilateral flexion deformity of about 20 degrees with further movement painful and attempt of any movement caused muscle spasm. (Figure 1)

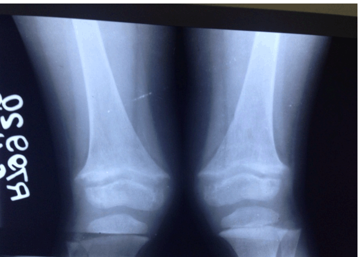
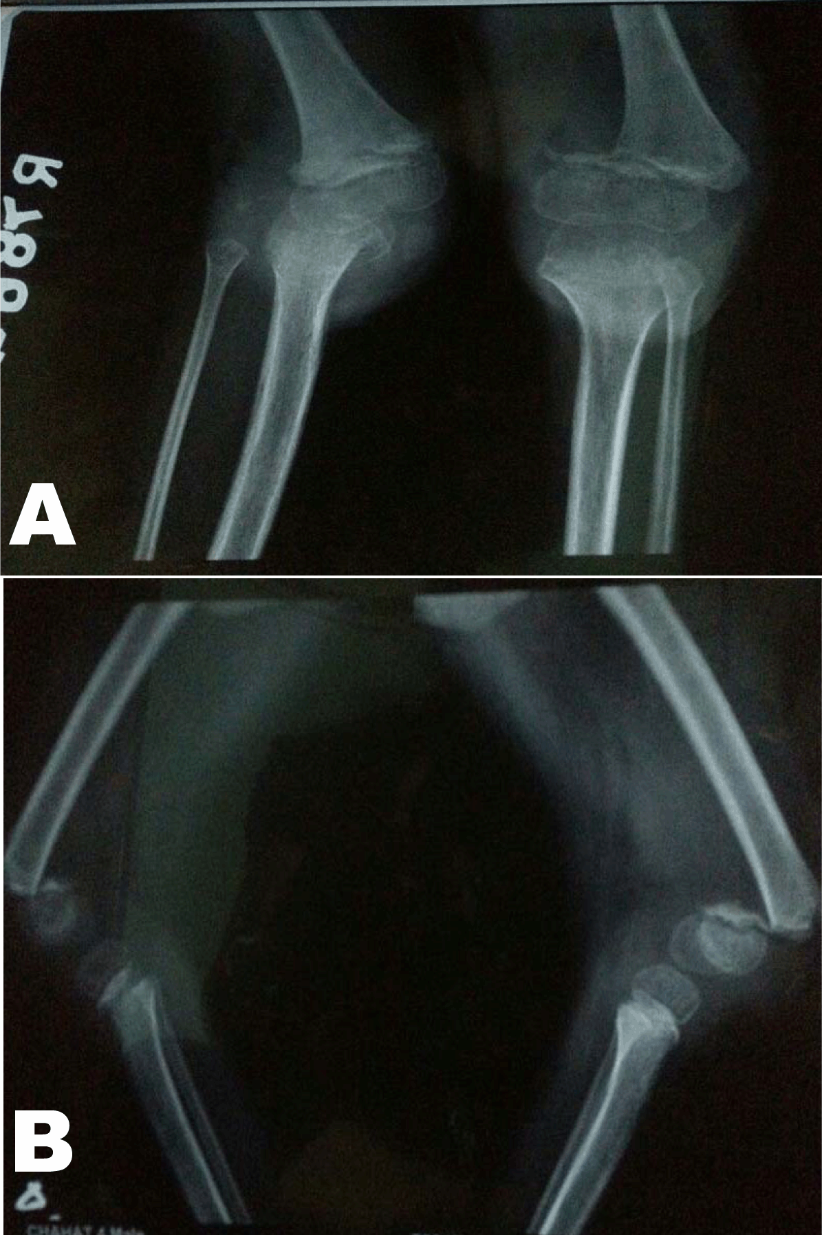
Radiographs of bilateral knees were taken. (Figure 2) These demonstrated bilateral Salter–Harris type 1 physeal injuries. Routine laboratory investigations were essentially normal except for anaemia (hemoglobin 9.8) and mildly raise alkaline phosphatase (ALP-564). Calcium profile was normal, so were serum vitamin C levels (0.84 mg/dL).

Since patient came to us after one month of injury, fracture was already in the stage of healing and was not mobile. Therefore, closed manipulation could not re-align the physis. Open reduction could further damage the physis in the growing child. So the child was managed conservatively on long leg cast and non-steroidal anti-inflammatory drugs (ibuprofen 100 mg b.d.) for two weeks. After pain decreased, patient was given intermittent skin traction for flexion deformity with range of motion exercises. Both slips healed within four months. Even these completely displaced slips remodeled very well. At six month of follow-up, all the slips were completely remodeled without obvious deformity. (Figure 3) Patient gained bilateral excellent range.


Cursor on image to zoom/Click text to open image
Figure 1: Clinical photograph showing swelling and bilateral flexion deformity.



Cursor on image to zoom/Click text to open image
Figure 2: (A, B) Anteroposterior and Lateral X-rays of knee showing bilateral slips.



Cursor on image to zoom/Click text to open image
Figure 3: Anteroposterior X-rays after six months showing healed lesion.



Discussion

Distal femoral injuries account for 7% of all pediatric trauma. [1] Salter–Harris type 1 injuries are very rare accounting for only 7.7%. [2] [3] It is most often seen in two age groups, newborns and adolescents. [3] We here have presented a neglected case of bilateral slips in a six-year-old child. The mechanism of injury has been mostly a road traffic accident, sports injury or a fall from height. In our case it was a fall from height on bilateral knee in flexed position.

Bilateral slips have been noted in scurvy in literature. [4] However, our case did not show any evident metabolic abnormality. The case had normal calcium profile, and serum vitamin C levels.

The recommended treatment in acute slips has been close reduction with pinning. Closed reduction under general anesthesia with long leg casts has been tried for displaced fractures. However, series have reported rates of 43–70% of distal femoral fractures treated without internal fixation have displaced. [5] Unless a fracture is truly nondisplaced and stable, immobilization without fixation is no longer the treatment of choice. [6]

However, Salter et al. have stated that when excessive manipulation appears to be necessary to achieve acceptable reduction, it is better to maintain growth potential and perform corrective osteotomy at a later date than to overstress the physis and cause more injury. [7] [8] Also, it has been recommended that a reduction should not be performed more than 10 days after the original injury. Since the injury was one month old a closed manipulation was not possible. Any attempt could have damaged the physis and this could have led to growth disturbances and angular deformities. In a younger child, acceptable alignment includes up to 20 degrees of angulation in the sagittal plane, less than 5 degrees of varus or valgus angulation, and no rotational deformity. Since the child in our case was young, had a sufficient remodeling potential, we managed the child conservatively. Once the pain subsided, the child was started on aggressive range of motion exercises, with intermittent skin traction for flexion deformity and lesion healed in four months.


Conclusion

This is a rare case report both in terms of presentation and management. Unusual presentation at six years of age with bilateral slips is not reported in literature to date. Also internal fixation had been treatment of choice in such cases. But excellent results in above case with conservative management demonstrates that if physeal damage is prevented, the bone has a great remodelling potential and open reduction might not always be required, especially in late presenting cases.


References
  1. Mann DC, Rajmaira S. Distribution of physeal and nonphyseal fractures in 2,650 long-bone fractures in children aged 0-16 years. J Pediatr Orthop 1990;10(6):713–6.   [CrossRef]   [Pubmed]    Back to citation no. 1
  2. Czitrom AA, Salter RB, Willis RB. Fractures Involving the distal epiphyseal plate of the femur. Int Orthop 1981;4(4):269–77.   [Pubmed]    Back to citation no. 2
  3. Lombardo SJ, Harvey JP Jr. Fractures of the distal femoral epiphyses. Factors influencing prognosis: A review of thirty-four cases. J Bone Joint Surg Am 1977;59(6):742–51.   [Pubmed]    Back to citation no. 3
  4. Gupta S, Kanojia R, Jaiman A, Sabat D. Scurvy: An unusual presentation of cerebral palsy. World J Orthop 2012 May 18;3(5):58–61.   [CrossRef]   [Pubmed]    Back to citation no. 4
  5. Thomson JD, Stricker SJ, Williams MM. Fractures of the distal femoral epiphyseal plate. J Pediatr Orthop 1995;15(4):474–8.   [CrossRef]   [Pubmed]    Back to citation no. 5
  6. Robert M, Moulies D, Longis B, Laufenburger A, Coville M, Alain JL. Traumatic epiphyseal separation of the lower end of the femur. Rev Chir Orthop Reparatrice Appar Mot1988;74(1):69–78. [Article in French].   [Pubmed]    Back to citation no. 6
  7. Salter RB, Czitrom AA, Willis RB. Fractures involving the distal femoral epiphyseal plate. In: Kennedy JC, ed. Injury to the Adolescent Knee, Baltimore: Williams & Wilkins 1979.    Back to citation no. 7
  8. Salter RB, Harris WR. Injuries involving the epiphyseal plate. J Bone Joint Surg Am 1963;45:587.    Back to citation no. 8

[HTML Abstract]   [PDF Full Text]

Author Contributions
Anil Mehtani – Substantial contributions to conception and design, Acquisition of data, Analysis and interpretation of data, Drafting the article, Revising it critically for important intellectual content, Final approval of the version to be published
Suresh Chand – Acquisition of data, Revising it critically for important intellectual content, Final approval of the version to be published
Abhinav Sinha – Acquisition of data, Revising it critically for important intellectual content, Final approval of the version to be published
Ajeet Singh – Acquisition of data, Revising it critically for important intellectual content, Final approval of the version to be published
Harvinder Dev – Acquisition of data, Revising it critically for important intellectual content, Final approval of the version to be published
Jatin Prakash – Acquisition of data, Revising it critically for important intellectual content, Final approval of the version to be published
Guarantor of submission
The corresponding author is the guarantor of submission.
Source of support
None
Conflict of interest
Authors declare no conflict of interest.
Copyright
© 2014 Anil Mehtani et al. This article is distributed under the terms of Creative Commons Attribution License which permits unrestricted use, distribution and reproduction in any medium provided the original author(s) and original publisher are properly credited. Please see the copyright policy on the journal website for more information.



About The Authors

Anil Mehtaniis Head of Department at Lady Hardinge Medical College, New Delhi India. He has published over 20 research papers in national and international academic journals and authored several books. His research interests include arthroplasty and paediatric orthopaedics.



Jatin Prakash is Senior Resident at Lady Hardinge Medical College, New Delhi, India. He earned the undergraduate degree MBBS from MAMC, New Delhi and postgraduate degree from MS from Lady Hardinge Medical College, New Delhi. His research interests include arthroplasty, arthroscopy and paediatric orthopaedics. He intends to pursue arthroplasty fellowship in future.



Suresh Chand is Junior Resident at Lady Hardinge Medical College, New Delhi, India. He earned the undergraduate degree postgraduate degree from MS from LHMC, New Delhi. His research interests include arthroplasty, arthroscopy and paediatric orthopaedics. He intends to pursue arthroplasty fellowship in future.



Abhinav is Senior Resident at Lady Hardinge Medical College, New Delhi, India. He earned the undergraduate degree postgraduate degree from MS from LHMC, New Delhi. His research interests include arthroplasty, arthroscopy and paediatric orthopaedics. He intends to pursue arthroplasty fellowship in future.



Ajeet Singh is Senior Resident at Lady Hardinge Medical College, New Delhi, India. His research interests include arthroplasty, arthroscopy and paediatric orthopaedics. He intends to pursue arthroplasty fellowship in future.



Harvinder Dev is Senior Resident at Lady Hardinge Medical college, New Delhi, India, He earned the undergraduate degree postgraduate degree from MS from LHMC, New Delhi. His research interests include arthroplasty, arthroscopy and paediatric orthopaedics. He intends to pursue arthroplasty fellowship in future.