Case In Images
 
Neglected telangiectatic osteosarcoma of the femur presenting as surgical emergency
Youssef Mahdi1, Lamiaa Rouas1, Abdelouahed Amrani2, Abderrahmane Malihy1, Najat Lamalmi1, Zaitouna Alhamany1
1MD, Department of Pathology, Children's Hospital, Faculty of Medicine and Pharmacy of the Mohammed V Souissi University, Rabat, Morocco.
2MD, Department of Orthopaedics and Traumatology, Children's Hospital, Faculty of Medicine and Pharmacy of the Mohammed V Souissi University, Rabat, Morocco.

doi:10.5348/ijcri-201455-CI-10012

Address correspondence to:
Youssef Mahdi
Residence Belle vue 2, building 15, apartment 4
Sala Al jadida
Salé
Morocco
Phone: +212 666 394 392
Email: ysf.mahdi@gmail.com

Access full text article on other devices

  Access PDF of article on other devices

[HTML Abstract]   [PDF Full Text] [Print This Article]
[Similar article in Pumed] [Similar article in Google Scholar]


How to cite this article
Mahdi Y, Rouas L, Amrani A, Malihy A, Lamalmi N, Alhamany Z. Neglected telangiectatic osteosarcoma of the femur presenting as surgical emergency. International Journal of Case Reports and Images 2014;5(5):391–397.


Abstract
Introduction: Telangiectatic osteosarcoma is a rare and aggressive subtype of intramedullary osteosarcoma. The distal femur is the most common site.
Case Report: We present a case of telangiectatic osteosarcoma of the femur in a 15-year-old male. The tumor was neglected for six months. The patient had severe anemia with hemoglobin of 5 g/dL. Radiography showed an expansive lytic lesion of the distal end of the femur with cortical destruction, focal periosteal reaction and a pathologic fracture. It showed massive extension to adjacent soft tissue. Given the advanced stage of the disease, an amputation of the limb was performed. Gross examination of the resected distal femur revealed a 22x5 cm intramedullary multicystic hemorrhagic and destructive tumor with cortical destruction and extension into the adjacent soft tissues. Histologically, the tumor showed blood-filled spaces lined by giant cells, separated by septa with malignant tumor cells. An immature bone osteoid kind was observed. Numerous mitotic figures were noted. The resection margins were negative. The staging showed no metastasis. The decision was to complete by 6 cycles of chemotherapy. The postoperative course was unremarkable.
Conclusion: In terms of telangiectatic osteosarcoma, pathological analysis is critical in positive and differential diagnosis.

Keywords: Telangiectatic, Osteosarcoma, Cystic, Malignant


Introduction

Telangiectatic osteosarcoma is a rare, aggressive morphologic variant comprising 2–4% of osteosarcomas. [1] [2] [3] Pathologic fracture is a clinical feature of this malignant bone-forming tumor. [1] This tumor resembles aneurysmal bone cyst radiologically and microscopically with large cavity containing blood filled cystic spaces separated by septa. [4] [5] There is usually invasion of soft tissues and formation of a large palpable mass resembling a soft tissue tumor at clinical examination. Historically, the preferred treatment for telangiectatic osteosarcoma was amputation. More recently, chemotherapy has changed the prognosis of this tumor, which is considered worse than conventional osteosarcoma in the first observations. [1] [4] [5] [6]

We present a rare case of telangiectatic osteosarcoma in the femur of a 15-year-old boy with a brief review of literature and emphasize on diagnostic difficulties, differential diagnosis, and treatment.


Case Report

A 15-year-old boy was presented with a six month history of a growing mass in left thigh. The lump had been neglected. It grew until it reached the subcutaneous zone and ulcerated. The remainder of his medical history was non-contributory. He presented to the Children's Hospital. He was very pale and asthenic.

He had severe anemia with hemoglobin of 5 g/dL. The rest of routine laboratory tests were within normal levels. Radiography showed an expansive lytic lesion of the distal end of the femur with cortical destruction, focal periosteal reaction and a pathologic fracture. (Figure 1) It showed massive extension to adjacent soft tissue. Given the advanced stage of the disease, an amputation of the limb was performed.

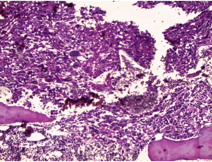
At the pathology laboratory, we received a piece of the left lower limb amputation. (Figure 2) We opened it. Gross examination of the resected distal femur revealed a 22x5 cm intramedullary multicystic hemorrhagic destructive tumor with cortical destruction and extension into the adjacent anterior and posterior soft tissues. The latter component of the mass was larger than the intraosseous tumor. (Figure 3) The articular surface was not involved. We cut the femur in its longest axis with electric saw. (Figure 4) Fixation in 10% neutral buffered formalin for 48 hours and decalcification of bone with nitric acid were performed. Slice of bone section was included in full. Many specimens from soft tissues and the surgical margins were also taken. Microscopic view of histological specimens of tumor stained with hematoxylin andeosin showed prominent blood filled cysts with malignant stroma in septa separating cysts. (Figure 5) (Figure 6) It contained atypical tumor cells oval or round of variable size with osteoblast-like multinucleated giant cells and a variable amount of immature osteoid. (Figure 7) (Figure 8) (Figure 9) (Figure 10) (Figure 11) (Figure 12) Numerous mitotic figures were noted (Figure 13). The tumor was located at 6 cm from the bone limit and 2 cm at the edge of the soft tissues. The resection margins were negative. The marrow, scooped and submitted separately, was negative.

The staging (bone scintigraphy, chest X-ray and abdominal ultrasound) showed no metastasis. The decision was to complete by six cycles of chemotherapy (Adriamycin (60 mg/d) and cisplatin (120 mg/d)). The postoperative course was unremarkable.

Cursor on image to zoom/Click text to open image
Figure 1: Plain radiograph showing an expansive and ill-defined destructive tumor of distal femur. There was focal periosteal reaction (star), cortical destruction and pathologic fracture (arrow). Massive extension to adjacent soft tissue was observed (circle). Articular surface and tibia were not involved (triangle).


Cursor on image to zoom/Click text to open image
Figure 2: A large mass bulging from the soft tissues of the distal left thigh. The overlying skin is ulcerated.


Cursor on image to zoom/Click text to open image
Figure 3: Expansile hemorrhagic tumor replacing proximal end of femur. Massive extension into soft tissue from intramedullary osteosarcoma of femur forms large encircling mass with hemorrhagic locules in fleshy background.


Cursor on image to zoom/Click text to open image
Figure 4: Four sections of the specimen using a band saw showing the tumor.


Cursor on image to zoom/Click text to open image
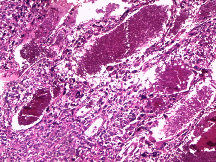
Figure 5: Low magnification showing large blood-filled cystic spaces with septa composed of loose hemorrhagic tissue with sarcomatous cells (H&E stain, x400).


Cursor on image to zoom/Click text to open image
Figure 6: Medium-power magnification shows cystic spaces without lining surrounded by septa containing highly atypical malignant cells (H&E stain, x100).


Cursor on image to zoom/Click text to open image
Figure 7: Medium-power view of hemorrhagic area with floating, noncohesive tumor cells, infiltrating trabecular bone (H&E, stain, x100).


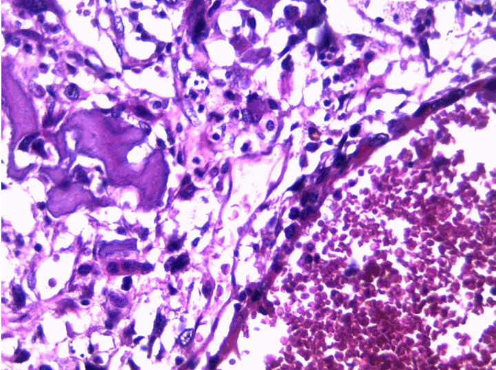
Cursor on image to zoom/Click text to open image
Figure 8: Septa shows highly pleomorphic stromal cells and tumor giant cells bordering spaces without endothelial linings. Note minimal osteoid.


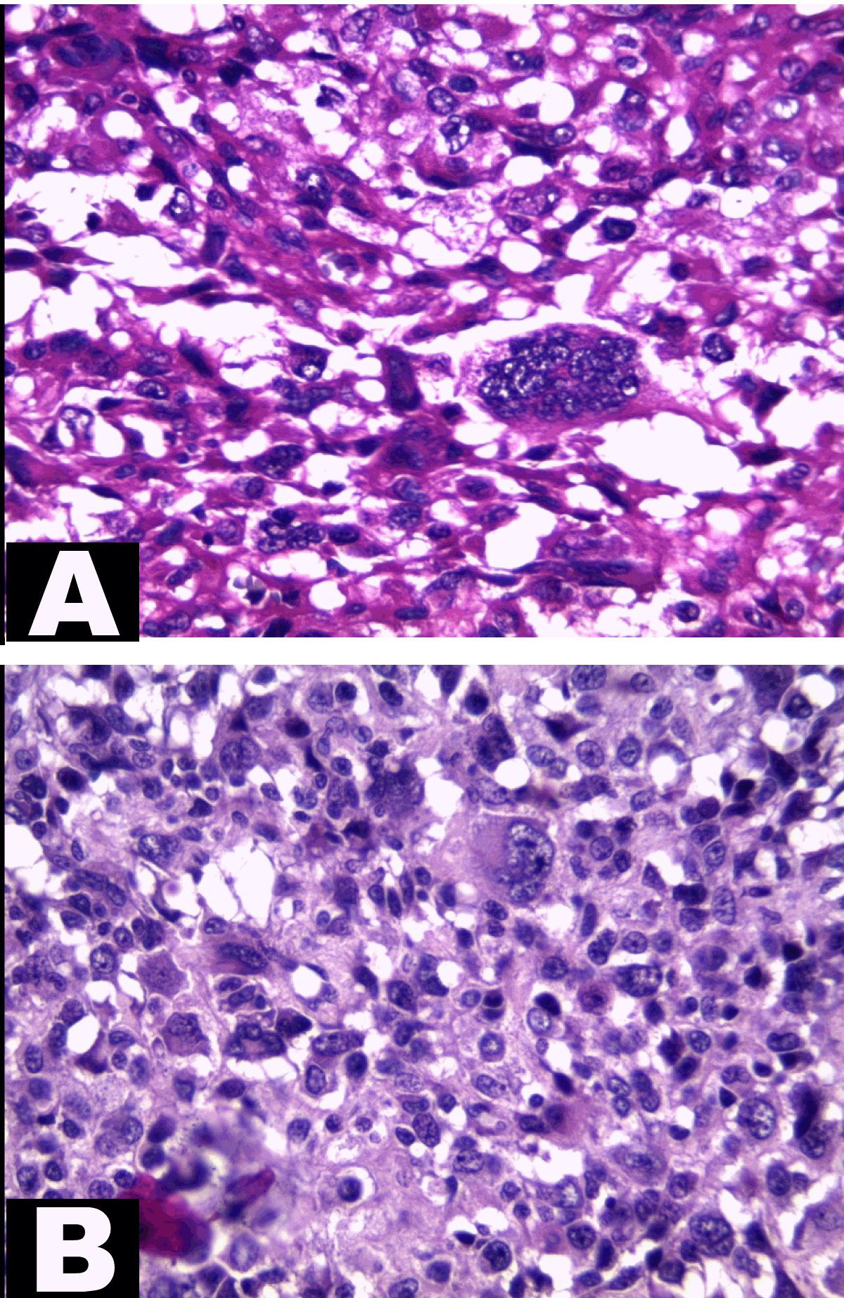
Cursor on image to zoom/Click text to open image
Figure 9: (A, B) High magnification showing nuclear pleomorphism of sarcomatous septal cells and tumor giant cells (H&E stain, x400).


Cursor on image to zoom/Click text to open image
Figure 10: Tumor osteoid in septum bordering blood-filled space. Higher magnification showing irregular, finely divided (lace-like) strands of osteoid (H&E stain, x400).


Cursor on image to zoom/Click text to open image
Figure 11: Telangiectatic osteosarcoma with blue spiculated bone.


Cursor on image to zoom/Click text to open image
Figure 12: Telangiectatic osteosarcoma. Malignant osteoid is deposited in a lace-like pattern.



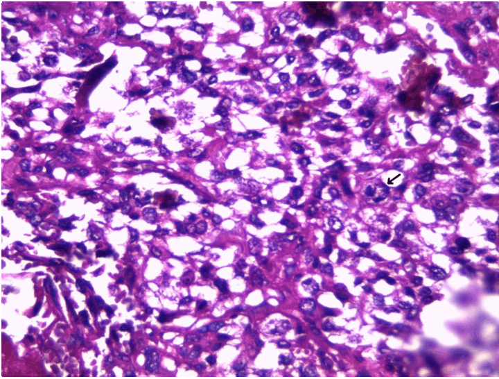
Cursor on image to zoom/Click text to open image
Figure 13: High magnification showing anaplastic cellular features and mitotic activity (arrow).


Discussion

Telangiectatic osteosarcoma is a very rare tumor that account for less than 4% of all cases of osteosarcoma. [1] [2] [3] Paget was the first to describe it in 1854. [4][5] [7] Originally, it was thought to be a variant of conventional osteosarcoma, but it has several distinctive features.

It most frequently occurs in the second decade of life and has a male predominance (1.5:1 male/female ratio). [1] [2] [3] [4] The peak incidence and the anatomic distribution are similar to that of conventional osteosarcoma. [1] [2] [3] [4] [5] Most tumors occur in the metaphyseal region of long tubular bones. [1] [2] The distal femoral metaphysis is the single most common anatomic site, followed by the upper tibia and proximal humerus or proximal femur. [1] [2] [3] [4]

Telangiectatic osteosarcoma is rapidly expansile and behave agressively. Clinical manifestations resemble those of conventional osteosarcoma, including pain and palpable mass. [1] [2] [4] [5] One characteristic clinical finding of this tumor is pathological fracture, being present in one-fourth of the cases, due to massive bone destruction. [1]

Delayed diagnosis reported in previous publications varies from 3–4 months. [2] [5][7] In our case, the causes of the delay in the diagnosis were fear of the diagnosis and the treatment and a low socio-economic status. Indeed, the mother was a housewife and the father did not have fixed income. This made difficult to access to the hospital and the diagnostic tests necessary at first times.

The diagnosis of telangiectatic osteosarcoma requires presence of a predominantly lytic destructive lesion of bone with no or minimal lesional sclerosis on radiographic imaging. [1] [4] Periosteal bone formation is absent or minimal and is referred to as onion skin. [1] [2] The tumor commonly shows extension into soft tissues. [1] [7] Imaging features alone would also be compatible with an aneurysmal bone cyst, Ewing sarcoma, Langerhans cell histiocytosis, fibrosarcoma and malignant fibrous histiocytoma. [8] The pathologic findings enable confident exclusion of these radiologic differential diagnosis. [4]

In our case, the gross findings were very suggestive of telangiectatic osteosarcoma. We had the gross appearance of an expansile hemorrhagic tumor with predominantly cystic spaces filled with blood, described as "a bag of blood". [1] [2] [4] The tumor can have a honeycombed appearance with spongy areas containing smaller cysts. There is no fleshy or sclerotic bone formation. Features of invasive growth are often observed with extensive irregular cortical erosion and/or complete disruption of cortical continuity and massive invasion of soft tissue. [1] [2] [4]

Microscopic findings revealed highly pleomorphic cells and foci of bone matrix formation between blood filled cyst like spaces, confirming the diagnosis of telangiectatic osteosarcoma. In some cases, where septa have broken down, atypical stromal cells may be identified, free-floating within the blood clot.[4] The amount of osteoid varies, but usually fine and lacelike osteoid is observed in minimal amount. [1] [4][6] However, this feature is not essential to establish the diagnosis of telangiectatic osteosarcoma. [4]

At this advanced local stage, telangiectatic osteosarcoma should be differentiated from an osteosarcoma of soft tissue. In the later, the tumor must arise in the soft tissues without any attachment to periosteum or bone. [9]

The most important morphologic differential diagnosis is the benign ABC due to radiographic and gross appearance's similarities. Microscopic examination is the only definitive diagnostic aid. [4] The presence of atypical or malignant stromal cells identified in telangiectatic osteosarcoma is never seen in aneurysmal bone cyst (ABC) [4].The presence of atypical and/or overtly malignant cells is enough to rule out the diagnosis of ABC. [4] Furthermore, osteosarcoma is associated with aggressive growth features as indicated by cortical destruction and extension into the surrounding soft tissues. [5] In contrast, aneurysmal bone cysts cause marked expansible remodeling of bone and cortical thinning but lack true soft-tissue involvement. [5]

Prognosis in the modern era is similar to conventional osteosarcoma. [1] [4] [5] [6] Indeed, Farr et al and Mervak et al found no prognostic differences between the two entities. [10] [11]

Surgical resection of the tumor, limb-salvage as possible, is the treatment of choice, preceded by neoadjuvant chemotherapy. [4] [5] [6] Following resection, the histological response must be evaluated according to Huvos score based on the percentage of necrosis. [12] Depending on the grade, chemotherapy regimens are adapted after surgery. [12] In our case, given the emergency status, the patient was treated by primary amputation.


Conclusion

The case is reported because of the rarity of telangiectatic osteosarcoma along with the important role of pathological examination in making the positive and differential diagnosis. In our case, we had the typical histological appearance. Despite the locally advanced stage, the patient showed no metastasis.


Acknowledgements

Katrina Butcher – (Registrar) for performing the operation


References
  1. Matsuno T, Okada K, Knuutila S. Telangiectatic osteosarcoma. The WHO Classification of Tumours of Soft Tissue and Bone 2002:271–2.    Back to citation no. 1
  2. Fikri M, Chat L, Dafiri R. Telangiectatic osteosarcoma of the scapula: A case report. J Radiol 2005;86(4):418–20. [Article in French].   [Pubmed]    Back to citation no. 2
  3. Ly JQ, Beall DP. Telangiectatic osteosarcoma Radiography. Appl Radiol 2003 June;32(6).    Back to citation no. 3
  4. Sangle NA, Layfield LJ. Telangiectatic Osteosarcoma. Arch Pathol Lab Med 2012;136(5):572–6.   [CrossRef]   [Pubmed]    Back to citation no. 4
  5. Discepola F, Powell TI, Nahal A. Telangiectatic osteosarcoma: Radiologic and pathologic findings. Radiographics 2009;29(2):380–3.   [CrossRef]   [Pubmed]    Back to citation no. 5
  6. Klein MJ, Siegal GP. Osteosarcoma: Anatomic and histologic variants. Am J Clin Pathol 2006;125(4):555–81.   [Pubmed]    Back to citation no. 6
  7. Phatak SV, Kolwadkar PK, Lawange A, Rajderkar D. Telangiectatic osteosarcoma: A case report. Ind J Radiol Imag 2005;3:353–4.   [CrossRef]    Back to citation no. 7
  8. Azura M, Vanel D, Alberghini M, Picci P, Staals E, Mercuri M. Parosteal osteosarcoma dedifferentiating into telangiectatic osteosarcoma: importance of lytic changes and fluid cavities at imaging. Skeletal Radiol 2009;38(7):685–90.   [CrossRef]   [Pubmed]    Back to citation no. 8
  9. Hulse N, Paul AS. Soft tissue osteosarcoma: A case report. Acta Orthop Belg 2006;72(6):783–5.   [Pubmed]    Back to citation no. 9
  10. Farr GH, Huvos AG, Marcove RC, Higinbotham NL, Foote FW Jr. Telangiectatic osteogenic sarcoma. A review of twenty-eight cases. Cancer 1974;34(4):1150–8.   [CrossRef]   [Pubmed]    Back to citation no. 10
  11. Mervak TR, Unni KK, Pritchard DJ, McLeod RA. Telangiectatic osteosarcoma. Clin Orthop Relat Res 1991;(270):135–9.   [CrossRef]   [Pubmed]    Back to citation no. 11
  12. Gomez-Brouchet A, Bouvier C, Decouvelaere AV, et al. Place of the pathologist in the management of primary bone tumors (osteosarcoma and Ewing's family tumors after neoadjuvant treatment). Ann Pathol 2011;31(6):455–65. [Article in French].   [CrossRef]   [Pubmed]    Back to citation no. 12
[HTML Abstract]   [PDF Full Text]

Author Contributions
Youssef Mahdi – Substantial contributions to conception and design, Acquisition of data, Analysis and interpretation of data, Drafting the article, Critical revising it critically for important intellectual content, Final approval of the version to be published
Lamiaa Rouas – Analysis and interpretation of data, Drafting the article, Final approval of the version to be published
Abderahmane Malihy – Analysis and interpretation of data, Drafting the article, Final approval of the version to be published
Najat Lamalmi – Analysis and interpretation of data, Drafting the article, Final approval of the version to be published
Zaitouna Alhamany – Analysis and interpretation of data, Drafting the article, Final approval of the version to be published
Abdelouahed Amrani – Analysis and interpretation of data, Drafting the article, Final approval of the version to be published
Guarantor of submission
The corresponding author is the guarantor of submission.
Source of support
None
Conflict of interest
Authors declare no conflict of interest.
Copyright
© 2014 Youssef Mahdi et al. This article is distributed under the terms of Creative Commons Attribution License which permits unrestricted use, distribution and reproduction in any medium provided the original author(s) and original publisher are properly credited. Please see the copyright policy on the journal website for more information.



About The Authors

Youssef Mahdi is Resident at Department of Pathology, Ibn Sina University Hospital and Faculty of Medicine and Pharmacy of the Mohammed V Souissi University, Rabat, Morocco. He is currently preparing his diploma of specialization in pathology.



Lamiaa Rouas is Professor at Department of Pathology, Children's Hospital and at Faculty of Medicine and Pharmacy of the Mohammed V Souissi University, Rabat, Morocco. Her areas of interest include pediatric pathology, nephropathology and cytopathology.



Abdelouahed Amrani is Professor at Department of Orthopaedics and Traumatology, Children's Hospital and at Faculty of Medicine and Pharmacy of the Mohammed V Souissi University, Rabat, Morocco.



Abderrahmane Malihy is Specialist at Department of Pathology, Children's Hospital, Ibn Sina University Hospital, Rabat, Morocco. His areas of interest include pediatric pathology and gynecopathology.



Najat Lamalmi is Professor at Department of Pathology, Children's Hospital and at Faculty of Medicine and Pharmacy of the Mohammed V Souissi University, Rabat, Morocco. Her areas of interest include pediatric pathology and gynecopathology.



Zaitouna Alhamany is Head of Department of Pathology, Children's Hospital and Professor at Faculty of Medicine and Pharmacy of the Mohammed V Souissi University, Rabat, Morocco. Her areas of interests include pediatric pathology, nephropathology and gynecopathology.