Case Report
 
Supraclavicular course of the cephalic vein
Juan David Ramírez1, Luis Carlos Sáenz2, Diego Rodríguez3, Alejandro Jiménez Restrepo3, Francisco Villegas3
1MD, Fellow of electrophysiology, Electrophysiology Service, International Arrhythmia Center "Andrea Natale", Fundación Cardioinfantil, Universidad de la Sabana, Bogotá, Colombia.
2MD, Chief of Electrophysiology Service, International Arrhythmia Center "Andrea Natale", Fundación Cardioinfantil, Universidad de la Sabana, Bogotá, Colombia.
3MD, Electrophysiology Service, International Arrhythmia Center "Andrea Natale", Fundación Cardioinfantil, Universidad de la Sabana, Bogotá, Colombia.

doi:10.5348/ijcri-201458-CR-10369

Address correspondence to:
Dr. Juan David Ramirez
nternational Arrhythmia Center "Andrea Natale"
Street 163 A Nº 13B-60, Bogotá
COLOMBIA - South America
Universidad de la Sabana
Email: juandres2@yahoo.com.ar

Access full text article on other devices

  Access PDF of article on other devices

[HTML Abstract]   [PDF Full Text] [Print This Article]
[Similar article in Pumed] [Similar article in Google Scholar]


How to cite this article
Ramírez JD, Sáenz LC, Rodríguez D, Restrepo AJ, Villegas F. Supraclavicular course of the cephalic vein. International Journal of Case Reports and Images 2014;5(4):281–284.


Abstract
Introduction: Vascular access for transvenous pacemaker and cardioverter defibrillator implants is frequently obtained by using the cephalic cutdown technique. Sometimes anatomical variations may limit insertion of one or several leads. We describe a case of a patient with an anomalous supraclavicular course of the left cephalic vein.
Case Report: A 61-year-old male with background of ischemic heart disease, hypertension, diabetes mellitus, obstructive sleep apnea and dyslipidemia, was referred to our institution after four months of recurrent syncopal episodes. A bradycardia-tachycardia syndrome was diagnosed and decided to proceed with permanent pacemaker implantation. Through a cutaneous incision in the left deltopectoral groove, we dissected the tissue planes until the left cephalic vein became visible. Fluoroscopy in anterior-posterior projection showed clear supraclavicular course of the cephalic vein. This access was abandoned by removing both wires and ligating the proximal end of the cephalic vein. Through a fluoroscopy/venogram guided axillary puncture using the modified Seldinger technique and the retained wire technique, double central vein access was secured, allowing the passage of right atrial and ventricular leads. A dual chamber pacemaker was implanted.
Conclusion: Although the supraclavicular course of the cephalic vein is a rare anatomical variant, it is important to recognize its presence as it may lead to potential complications related to lead dysfunction, erosion or collateral vascular damage if used as an access for permanent lead placement. Alternative central vein access is strongly recommended in such cases.

Keywords: Pacemaker, Implantable cardioverter-defibrillator, Cephalic vein, Implanted electrode


Introduction

Vascular access for transvenous pacemaker and cardioverter defibrillator implants is frequently obtained using the cephalic cutdown technique. This method excludes the risk of pneumothorax and subclavian crush syndrome. Despite its benefits, this technique requires surgical dissection skills and there are potential anatomical variations in its course and diameter which may limit or complicate insertion of one or several leads. We describe the case of a patient with an anomalous supraclavicular course of the left cephalic vein complicating the implantation of a pacemaker system. We present a review of the available medical literature on this issue.


Case Report

A 61-year-old male with background of ischemic heart disease with moderate left ventricular impairment, hypertension, diabetes mellitus, obstructive sleep apnea and dyslipidemia, was referred to our institution after four months of recurrent syncopal episodes. A 24-hour Holter monitor documented persistent atrial fibrillation with rapid ventricular response (up to 167 BPM) alternating with symptomatic bradycardia episodes (29 BPM) and up to six seconds diurnal pauses during atrial fibrillation. As a consequence of the bradycardia-tachycardia syndrome and the requirement for up-titration of beta-blocker therapy permanent pacemaker implantation was needed.

Through a cutaneous incision in the left deltopectoral groove, we dissected the tissue planes until the left cephalic vein became visible. Direct vein punctures allowed for venous access and passage of two hydrophilic wires without difficulty. Fluoroscopy in anterior-posterior projection showed clear supraclavicular course of the cephalic vein. (Figure 1) A venogram confirmed anomalous drainage of the left cephalic vein into the ipsilateral external jugular vein. Subsequently, both wires were removed and the terminal portion of the cephalic vein was ligated to achieve hemostasis. Through a fluoroscopy/venogram guided axillary puncture using the modified Seldinger technique and the retained wire technique, double central vein access was secured, allowing the passage of right atrial and ventricular leads, which were subsequently connected to a dual chamber pacemaker and implanted without complications in a usual pre-pectoral position. The patient was discharged from the hospital the next day after chest X-ray confirmed proper lead placement and device interrogation documented adequate sensing and pacing parameters for both leads. (Figure 2) After one week of follow-up, the device was functioning properly and the incision showed normal healing without evidence of infection.


Cursor on image to zoom/Click text to open image
Figure 1: Venography showing the unusual course of the guidewires inserted via the cephalic cutdown technique. Note the supraclavicular trajectory of the guidewires and its spatial relationship with the axillary and subclavian veins, filled with contrast.



Cursor on image to zoom/Click text to open image
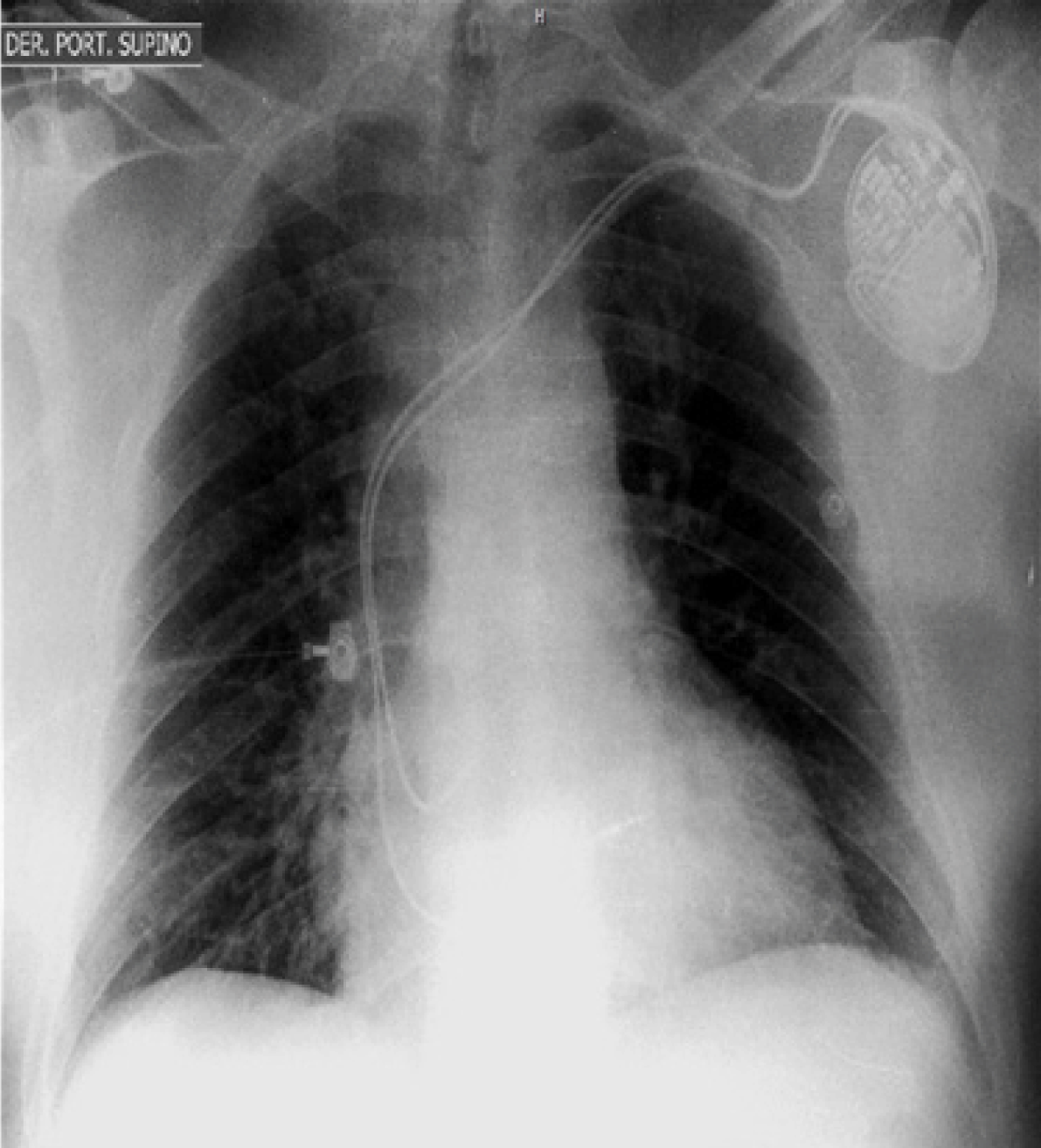
Figure 2: Chest X-ray after pacemaker implantation.



Discussion

There are two common approaches for cardiac rhythm device leads implantation, epicardial and transvenous. Most leads are placed via the transvenous approach due to the long-term reliability and performance when compared to epicardial leads. The two favored techniques for gaining central venous access are the cutdown technique (commonly employed for the cephalic vein) or the Seldinger venipuncture technique (for axillary or subclavian vein access). Knowledge of the normal venous anatomy of the clavicular and axillary regions, including its potential anatomical variants, is paramount to avoid complications. The preferred access for a cutdown technique approach is the cephalic vein, which is a part of the superficial venous system of the upper extremities. [1]

The normal course of the cephalic vein runs along the radial aspect of the forearm, draining blood from the dorsum of the hand. It communicates with the deep venous system of the forearm at the basilic vein. Once it crosses the elbow at the antecubital fossa, it moves towards the lateral aspect of the biceps and at the proximal third of the arm dives in between the pectoralis major and deltoid muscles, joining the axillary vein just inferior to the clavicle. [1] [2] Anatomical studies have documented variations in the course of the cephalic vein, but the clinical cases reported in medical literature are rare, and include cases with absence or small diameter of the cephalic vein, accessory veins running parallel to the cephalic vein or even pre-clavicular or supraclavicular anomalous courses (<1% of all dissection series, accounting for less than five reported cases in the medical literature). [3] [4] [5] [6] Only in the case described by Trigano et al. an attempt placing the electrodes was undertaken. However, this case had an anomalous cephalic course draining into the proximal subclavian vein, contrary to our case where a supraclavicular course of the cephalic vein drained into the external jugular vein; the recommendation in such cases is to leave the access and find an alternative approach to avoid lead erosion. [5] [6] The cephalic vein cutdown is a safe technique to gain central venous access, preventing the well-known complication of subclavian crush syndrome. Its main limitation is the difficulty to separate tissue planes in patients with anatomical deformities or morbid obesity as well as a longer total procedural implant time and the potential need for abandoning access if the vein caliber is small or, less frequently, due to anomalous course (as in this case).


Conclusion

Although the supraclavicular course of the cephalic vein is a rare anatomical variant, it is important to recognize its presence as it may lead to potential complications related to lead dysfunction, erosion or collateral vascular damage if used as an access for permanent lead placement. Alternative central vein access is strongly recommended in such cases.


References
  1. Belott PH, Reynolds DW. Permanent pacemaker and implantable cardioverter-defibrillator implantation. In Ellenbogen KA, Kay GN, Lau CP, Wilkoff BL, editors: Clinical Cardiac Pacing, Defibrillation and Resynchronization Therapy, ed 4th, Philadelphia, EEUU, 2011, ElSevier, p. 443–515.    Back to citation no. 1
  2. Silva MB, Choi L, Chen CC. Peripheral arterial occlusive disease. In Townsend CM, et al, editors: Sabiston Textbook of Surgery: The Biological Basis of Modern Surgical Practice, ed 19th, Philadelphia, EEUU, 2012, ElSevier, p. 1725–84.    Back to citation no. 2
  3. Yadav S, Ghosh SK, Anand C. Variations of superficial veins of head and neck. J Anat Soc India 2000;49:61–2.    Back to citation no. 3
  4. Vollala VR, Bolla SR, Pamidi N. Important vascular anomalies of face and neck - a cadaveric study with clinical implications. Firat Tip Dergisi 2008;13:123–6.    Back to citation no. 4
  5. Trigano A, D'Ivernois C, Levy S, Hartung O, Alimi Y. Preclavicular route following cephalic venous cutdown for pacemaker or defibrillator lead implantation. Pacing Clin Electrophysiol 2007;30(1):147–9.   [CrossRef]   [Pubmed]    Back to citation no. 5
  6. Lau EW, Liew R, Harris S. An unusual case of the cephalic vein with a supraclavicular course. Pacing Clin Electrophysiol 2007;30(5):719–20.   [CrossRef]   [Pubmed]    Back to citation no. 6

[HTML Abstract]   [PDF Full Text]

Author Contributions
Juan David Ramírez – Substantial contributions to conception and design, Acquisition of data, Analysis and interpretation of data, Drafting the article, Revising it critically for important intellectual content, Final approval of the version to be published
Luis Carlos Sáenz – Acquisition of data, Revising it critically for important intellectual content, Final approval of the version to be published
Diego Rodríguez – Acquisition of data, Revising it critically for important intellectual content, Final approval of the version to be published
Alejandro Jiménez Restrepo – Acquisition of data, Revising it critically for important intellectual content, Final approval of the version to be published
Francisco Villegas – Acquisition of data, Revising it critically for important intellectual content, Final approval of the version to be published
Guarantor of submission
The corresponding author is the guarantor of submission.
Source of support
None
Conflict of interest
Authors declare no conflict of interest.
Copyright
© Juan David Ramírez et al. 2014; This article is distributed the terms of Creative Commons Attribution License which permits unrestricted use, distribution and reproduction in any means provided the original authors and original publisher are properly credited. (Please see Copyright Policy for more information.)