Case Report
 
Damage control orthopedics in a patient with polytrauma complicated with thyroid storm
Rishya Manikam1, M Emmed2, CS Kumar3, Jeffry Amit4, AB Sri Latha5
1MBBS, Head, Accident and Emergency Department, University Malaya, Kuala Lumpur, Malaysia.
2Head, Accident and Emergency Department, University Malaya, Kuala Lumpur, Malaysia.
3MBBS, M.S (Ortho), Senior Lecturer, Orthopedics Department, University Malaya Medical Centre, Kuala Lumpur.
4MBBS, Senior Lecturer, Orthopedics Department, University Malaya Medical Centre Kuala Lumpur, Malaysia.
5MBBS, Accident and Emergency Department, University Malaya Medical Centre, Kuala Lumpur, Malaysia.

doi:10.5348/ijcri-2014-03-475-CR-6

Address correspondence to:
Dr. Rishya Manikam
Head, Emergency and Trauma Academics
University Malaya, Lembah Pantai, 50603
Kuala Lumpur
Malaysia
Phone: +60379494198
Fax: +60379494198
Email: rishyaman@yahoo.com

Access full text article on other devices

  Access PDF of article on other devices

[HTML Abstract]   [PDF Full Text] [Print This Article]
[Similar article in Pumed] [Similar article in Google Scholar]


How to cite this article:
Manikam R, Emmed M, Kumar CS, Amit J, Latha ABS. Damage control orthopedics in a patient with polytrauma complicated with thyroid storm. International Journal of Case Reports and Images 2014;5(3):211–214.


Abstract
Introduction: The concept of damage control orthopaedics (DCO) especially in a polytrauma patient compounded with other medical conditions being vigorously advocated by orthopaedic trauma surgeons.
Case Report: Presenting a case of a polytrauma patient with thyroid storm. The decision on DCO in this patient being discussed.
Conclusion: The decision about the timing of surgery should be based on the patients’ condition as a whole. Careful planning and definition of priorities in each individual patient is essential. This holistic approach will see that patient safety care improves.

Keywords: Polytrauma, Thyroid Storm, Orthopaedics


Introduction

‘Operate, operate and operate now’ was the mantra of the orthopedic surgeons until the introduction of concepts of damage control orthopedics (DCO) in the early 1990s. Damage control orthopedics is characterized by primary, rapid, temporary fracture stabilization and followed by secondary definitive management, once the acute phase of systemic recovery has passed. In severely multiple injured patients who are in an unstable or in extremis clinical condition, DCO is the current treatment of choice. This is important to avoid ‘second hit’ or unnecessary additional trauma to the patient which can increase the risk of developing systemic complications and early mortality. With the concurrent development of the emergency medical care, it further enhances this concept where initial stabilization is done promptly. Decision about timing of the fixation requires balancing the risks of operative stress against benefits that can be gained by early fixation. We report a case of bilateral femur fracture associated with occipital skull fracture, subdural hemorrhage over right frontal and left frontotemporal complicated by thyroid storm on admission. Today’s concepts and option of treatment of polytrauma patients are discussed in this report.


Case Report

Mr. L (patient) was a 24-year-old Chinese male, who was involved in a motor vehicles accident, in which the motorbike was hit and run by a lorry. He was brought to the Trauma and Emergency department presented with headache, swelling and deformity over both the thighs.

On arrival, he was looking confused and restless with Glasgow coma scale was 14. The blood pressure was stable around 150/90 mmHg but he was tachycardic with pulse rate of 134 beats per minute. He had high body temperature of 39.3°C.

Physical examination revealed tenderness over the back of the skull, swollen and deformity over both the thighs. There was no neurovascular deficit over bilateral lower limbs. He had bibasal crepitation of the lungs. The abdomen and pelvis examinations were normal.

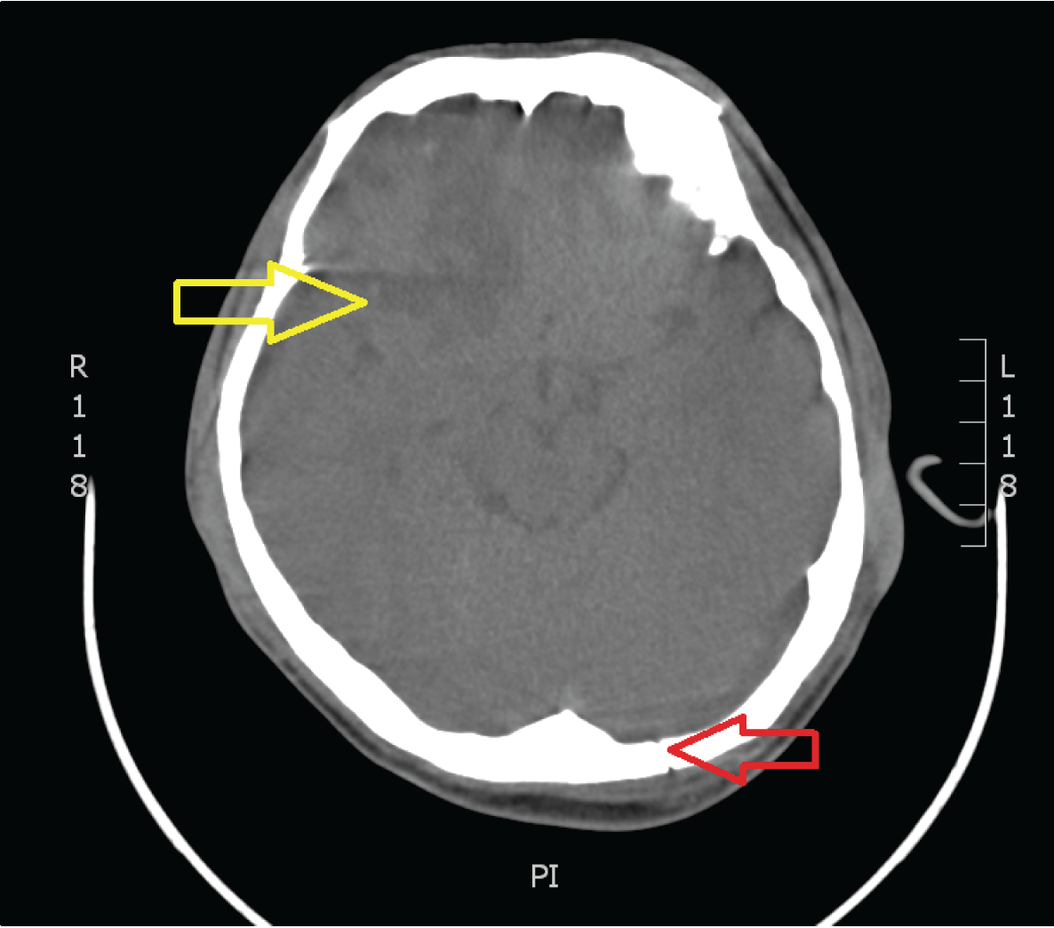
Computed tomography scan brain showed occipital skull fracture and hemorrhage over right frontal and left frontotemporal. (Figure 1)

Further history taken from the family members found that patient had history of thyroid problem six months ago, which was defaulted treatment. The emergency physician diagnosed and started treating him as having thyroid storm as his calculated Burch–Wartofsky score was more than 45. The medical team, especially the endocrine unit was consulted for further management. He was successfully resuscitated by the emergency team and transferred to the ward for further management.

On the orthopedics side, he was put on bilateral high tibial pin skeletal traction for fractures shaft femur (Figure 2) while waiting for definitive management later once the general condition becomes more stable. Neurosurgery team was decided to continue conservative management for the head injury.

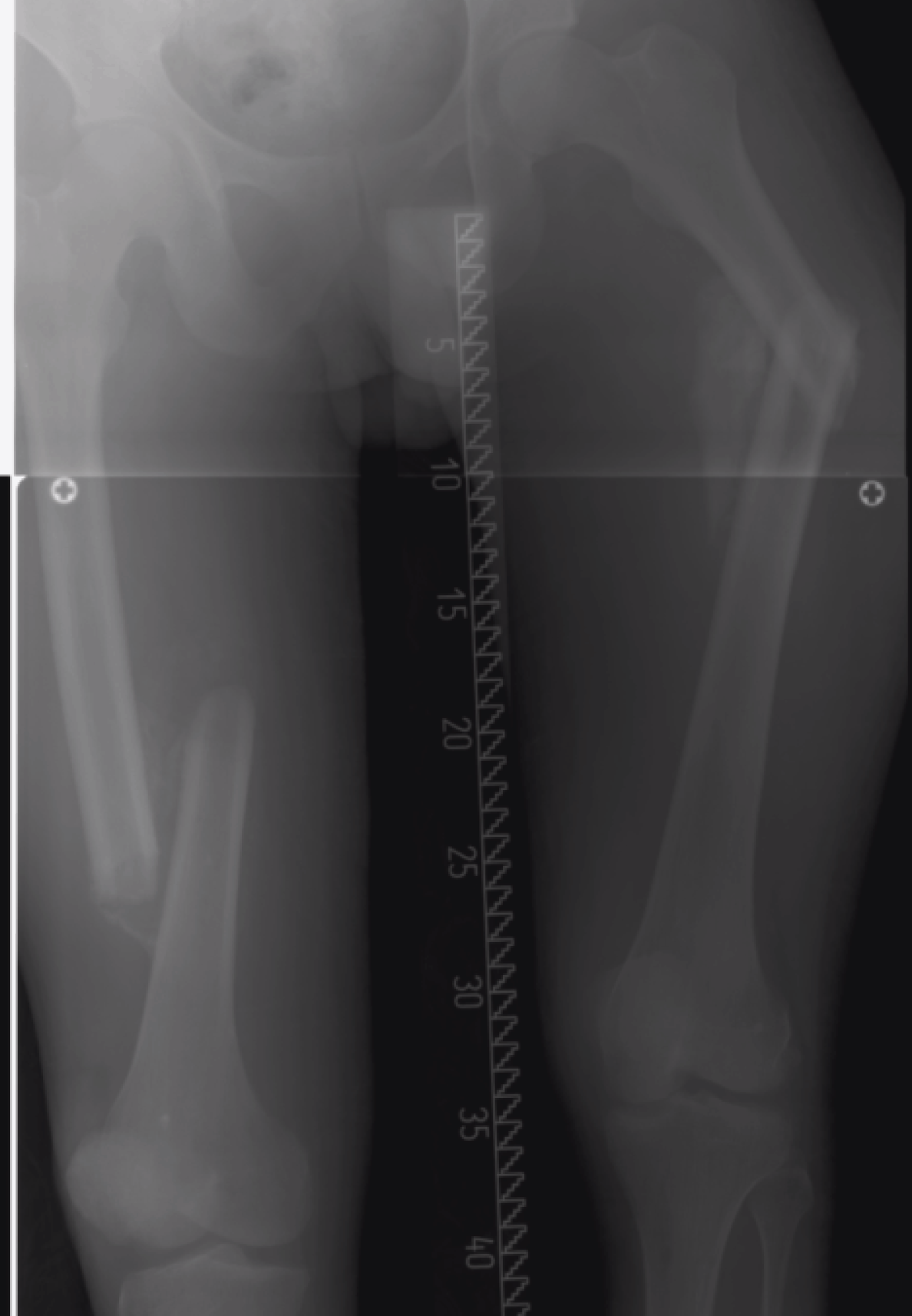
Definitive management for the bilateral femur racture still cannot be carried out in view of thyroid storm. Patient was resistant for the thyroid storm treatment, where it took almost one month under medical treatment to recover. During this period, as he was immobile, he developed 1st degree sacral sore which was treated with daily dressing and two hourly turning. Otherwise, there was no other complication occur related to prolong immobilization. Latest radiographs of bilateral femur showed huge callus formation with malunion of left femur. (Figure 3) Clinical evaluation showed shortening of the left lower limb around 5 cm. Clinically, fracture already united with minimal tenderness on movement.

Tibial pin was removed and wheelchair transfer was educated. He was planning for operation to correct the deformity of the left femur once medically fit for surgery.


Cursor on image to zoom/Click text to open image
Figure 1: Occipital skull fracture (red arrow) and hemorrhagic contusion both frontal lobe with surrounding oedema (yellow arrow).



Cursor on image to zoom/Click text to open image
Figure 2: Bilateral midshaft femur fracture.



Cursor on image to zoom/Click text to open image
Figure 3: Malunion bilateral femur fracture.



Discussion

Damage control orthopaedics has evolved as a new approach to minimize the impact of primary surgery. DCO should be regarded as a part of the resuscitation process. By careful choice of surgical technique, blood loss and tissue trauma are minimized and tissue oxygenation maintained. Thereby, the impact of operative fracture stabilization is minimized. In this case, we only choose simple procedure to put bilateral high tibial pin skeletal traction, temporarily to stabilize the long bone fracture.

In polytrauma patients, one of the major aims is rapid stabilization of their extremity injuries. According to Seibel et al, they found an association between respiratory complications, including ARDS and the number of days the patient spent on skeletal traction. [1] Another study done by Bone et al found a high rate of pulmonary complications in patients who had delayed stabilization of fractures. [2] Lozman et al. demonstrated better cardiac function in patients undergoing immediate fracture fixation [3] and Pape et al. found that early intramedullary nail was associated with a significantly lower ventilation time and total intensive care stay, as compared to patients undergoing secondary stabilization. [4]

However, recent reports suggest that not all the polytrauma patients will get beneficial from the early total care management. Patients with severe head injury may get poorer outcomes if they went for early surgical intervention. [5] According to Frank et al., primary procedures of greater than 6 hours duration and major surgical procedures at days 2 to 4 should be avoided. [6]

Unfortunately, in this case the definitive surgical treatment of the bilateral femur fracture cannot be carried out in view of thyroid storm and was delayed up to 1 month post trauma. As a consequence, fracture femur had united in malunion position. The complication that arises from late definitive surgical treatment however can be corrected later using advance surgical technique once patient fit for surgery, as we know thyroid storm is a life-threatening condition.


Conclusion

The decision about the timing of surgery should be based on the patients’ condition as a whole. Careful planning and definition of priorities in each individual patient is essential. This holistic approach will see that patient safety care improves.


References
  1. Seibel R, LaDuca J, Hassett JM, et al. Blunt multiple trauma (ISS 36) femur traction, and the pulmonary failure septic state. Ann Surg 1985;202(3):283–95.   [CrossRef]   [Pubmed]    Back to citation no. 1
  2. Bone LB, Johnson KD, Weigelt J, Scheinberg R. Early versus delayed stabilization of femoral fractures. A prospective randomized study. J Bone Joint Surg Am 1989;71(3):336–40.   [Pubmed]    Back to citation no. 2
  3. Lozman J, Deno DC, Feustel PJ, et al. Pulmonary and cardiovascular consequences of immediate fixation or conservative management of long bone fractures. Arch Surg 1986;121(9):992–9.   [CrossRef]   [Pubmed]    Back to citation no. 3
  4. Pape HC, Hildebrand F, Pertschy S, et al. Changes in the management of femoral shaft fractures in polytrauma patients: from early total care to damage control orthopedic surgery. J Trauma 2002;53(3):452–61.   [CrossRef]   [Pubmed]    Back to citation no. 4
  5. Giannoudis PV, Smith RM, Bellamy MC, Morrison JF, Dickson RA, Guillou PJ. Stimulation of the inflammatory system by reamed and undreamed nailing of femoral fractures – an analysis of the second hit. J Bone Joint Surg Br 1999;81(2):356–1.   [Pubmed]    Back to citation no. 5
  6. Hildebrand F, Giannoudis P, Kretteck C, Pape HC. Damage control: extremities. Injury 2004;35(7):678–9.   [CrossRef]   [Pubmed]    Back to citation no. 6

[HTML Abstract]   [PDF Full Text]

Author Contributions
Rishya Manikam – Substantial contributions to conception and design, Acquisition of data, Analysis and interpretation of data, Drafting the article, Revising it critically for important intellectual content, Final approval of the version to be published
M Emmed – Substantial contributions to conception and design, Drafting the article, Revising it critically for important intellectual content, Final approval of the version to be published
CS Kumar – Substantial contributions to conception and design, Drafting the article, Revising it critically for important intellectual content, Final approval of the version to be published
Jeffry Amit – Substantial contributions to conception and design, Drafting the article, Revising it critically for important intellectual content, Final approval of the version to be published
AB Sri Latha – Substantial contributions to conception and design, Drafting the article, Revising it critically for important intellectual content, Final approval of the version to be published
Guarantor of submission
The corresponding author is the guarantor of submission.
Source of support
None
Conflict of interest
Authors declare no conflict of interest.
Copyright
© Rishya Manikam et al. 2014; This article is distributed the terms of Creative Commons Attribution License which permits unrestricted use, distribution and reproduction in any means provided the original authors and original publisher are properly credited. (Please see Copyright Policy for more information.)