Case Report
 
Medical school finals, nerves and vomiting: Medical student survives Boerhaave’s syndrome with recurrence one week after initial presentation
Eshan Oderuth1, Kevin Ilo2, Munir Somji3, Thomas Holme4
1Foundation Year 2, General Surgery, Queen Elizabeth Hospital, London, England.
2Foundation Year 2, Trauma and Orthopaedics, Queen Elizabeth Hospital, London, England.
3Foundation Year 2, General Surgery, St Thomas’s Hospital, London, England.
4Foundation Year 2, Accident and Emergency, St Thomas’ Hospital, London, England.

doi:10.5348/ijcri-2014-03-473-CR-4

Address correspondence to:
Eshan Nazir Hassan Oderuth
37 Harvey Road, Worthing
West Sussex
BN12 4DS
ENGLAND
Phone: +447732376940
Email: eshan786@msn.com

Access full text article on other devices

  Access PDF of article on other devices

[HTML Abstract]   [PDF Full Text] [Print This Article]
[Similar article in Pumed] [Similar article in Google Scholar]


How to cite this article
Oderuth E, Ilo K, Somji M, Holme T. Medical school finals, nerves and vomiting: Medical student survives Boerhaave’s syndrome with recurrence one week after initial presentation. International Journal of Case Reports and Images 2014;5(3):202–206.


Abstract
Introduction: Boerhaave’s syndrome is a serious condition that can be fatal due to commonly nonspecific symptoms and delayed treatment. This rare syndrome is a result of a spontaneous esophageal rupture.
Case Report: We describe a case of a medical student who developed Boerhaave’s syndrome on the day of his finals. Initially, the medical student’s symptoms were misdiagnosed when they sought medical attention. Despite the medical student being clinically well, their medical knowledge prompted a surgical opinion and Boerhaave’s syndrome was confirmed. Treatment was conservative, however, its recovery was complicated with a recurrence of symptoms shortly after the initial episode.
Conclusion: This case highlights and discusses the importance of esophageal rupture to be considered as a cause of chest pain. Prompt diagnosis is of utmost importance. If conservative treatment is commenced, adequate time for healing should be permitted.

Keywords: Boerhaave’s Syndrome, Esophageal rupture, Esophageal perforation, Upper third esophageal rupture


Introduction

Physician Herman Boerhaave discovered the first case of Boerhaave’s syndrome in 1724 following the autopsy of the General Admiral of the Dutch Fleet. [1] Boerhaave’s syndrome is defined as a spontaneous esophageal rupture resulting from high intra-esophageal pressures exceeding that of the intrathoracic cavity. [2] It is a life-threatening condition with high mortality rates (40–60% > 48 hours presentation) often due to delayed presentation, misdiagnosis and severity. Boerhaave’s syndrome occurs commonly in the postero-lateral distal third of the esophagus possibly due to the muscle and neurovascular supply to that area. [2] It typically presents with the Meckler Triad of left sided chest pain, vomiting and subcutaneous emphysema. However, atypical presentations are not uncommon. [2] [3] We describe the remarkable case of a medical student being afflicted with Boerhaave’s syndrome during his medical school finals complicated with a recurrence of the condition. He was treated conservatively on both admissions.


Case Report

A previously well 24-year-old final year male medical student presented with central chest pain. On morning of his medical finals, he was nervous and vomited once and wretched seven times. He then coughed and experienced a sharp sudden onset retrosternal chest pain which was constant in nature and rated 6/10 in severity. The patient attended his exam, during which he experienced the uncomfortable feeling of crackling down his throat while ingesting water. He felt unwell after his exam and was unable to fully inspire due to on-going chest pain. The patient palpated his neck which felt like ‘bubble wrap’. He then auscultated his chest himself and found his heart sounds resembled crackles (Hamman’s crunch). The patient’s housemates concurred with the findings, so he attended Accident and Emergency department and was seen by the general physician triage. The patient’s past medical history included asthma. He had a history of smoking five cigarettes a day with moderate alcohol intake. Observations were unremarkable. The general physician found no abnormality after auscultating his chest and palpated lymph nodes on neck examination. Throat examination revealed erythema. Despite the patient’s and his accompanier’s reservations, the general physician diagnosed a viral infection and advised to return in five days if his symptoms would not improve.

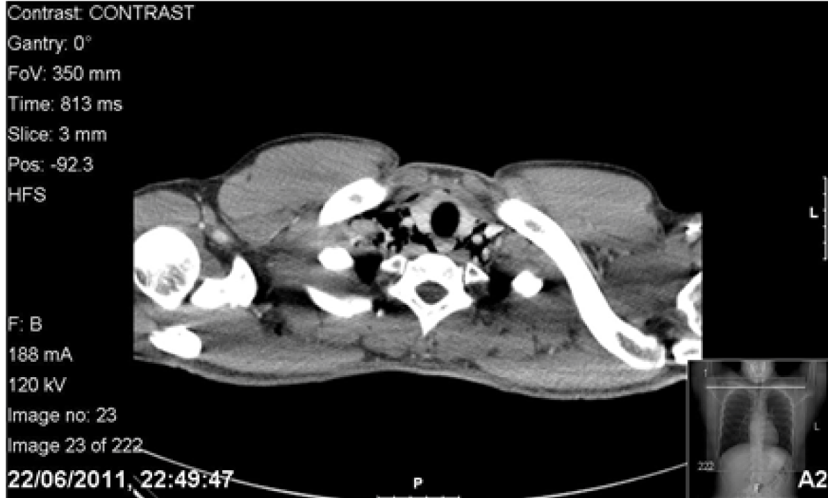
The patient returned home. However while taking his dinner, he experienced severe odynophagia describing the sensation like ‘swallowing glass’. The following day, his symptoms persisted so he consulted his surgical tutor whose registrar palpated the subcutaneous emphysema in his neck with no lymphadenopathy. An urgent X-ray of the neck revealed air in the subcutaneous tissues. Computed tomography (CT) scan of chest with contrast and Gastrografin swallow revealed a small leak outside the esophagus and pneumomediastinum. (Figure 1) Blood tests were unremarkable. The patient was transferred to a tertiary upper gastrointestinal centre with suspected Boerhaave’s syndrome. The tear was thought to be in the upper third of the esophagus. He was kept nil by mouth, supplemented with intravenous fluids and given prophylactic daily intravenous tazocin, metronidazole and fluconazole. Gastrografin swallow on the fifth day revealed no obvious leak, his symptoms had resolved. The patient was discharged with advice of a liquid diet for one week building to solids slowly thereafter.

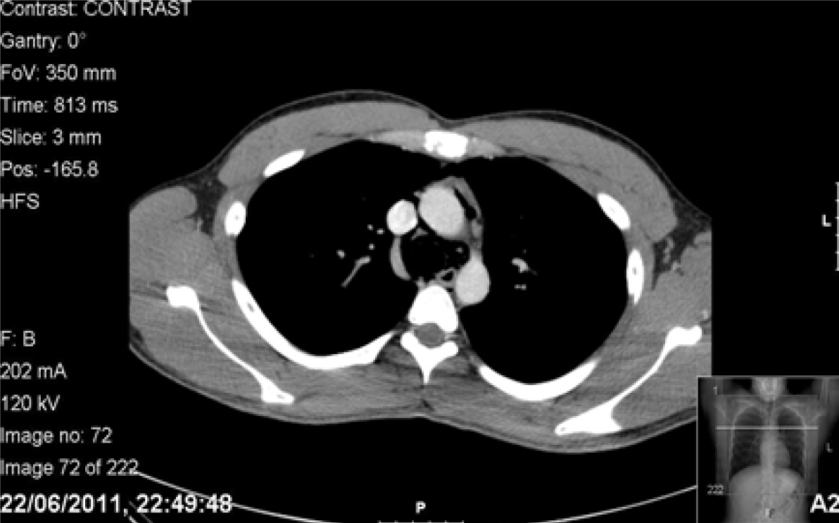
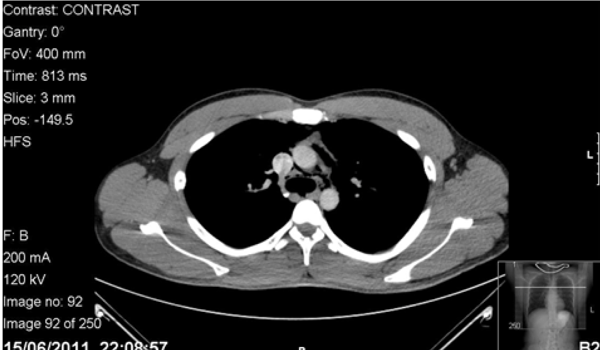
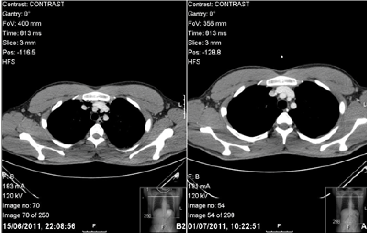
The patient’s symptoms returned spontaneously two days post discharge on the eve of his surgical finals. Subcutaneous emphysema was found on examination. Observations, blood tests and arterial blood gas (ABG) showed no abnormality. Computed tomography scan of chest with IV contrast and Gastrografin swallow showed pneumomediastinum but no leak of Gastrografin. (Figure 2) (Figure 3) Furthermore, there was the dilemma of whether he would be able to sit his exam which was at the same tertiary centre. He was given a stat bag of intravenous fluids, the aforementioned intravenous antibiotics, kept nil by mouth and allowed home to rest. He was admitted directly after his surgical finals and treated conservatively. Nutritional support was given via a nasogastric tube which was inserted under radiological guidance. The patient’s symptoms improved and a Gastrografin swallow study on day-10 was normal. Soft diet was commenced which he tolerated. The patient’s second hospital stay was 12 days. He continued with a fork mashable soft diet until his three month follow-up, which was satisfactory, returning to a normal diet thereafter. Thankfully, the patient passed his finals and continues to work as a doctor. (Figure 4) (Figure 5)


Cursor on image to zoom/Click text to open image
Figure 1: Computed tomography scan of chest with Gastrografin contrast on initial admission illustrating a pneumomediastinum with leak of contrast into mediastinum.



Cursor on image to zoom/Click text to open image
Figure 2: Computed tomography scan of chest with Gastrografin contrast on second admission illustrating a pneumomediastinum with no leak of contrast.



Cursor on image to zoom/Click text to open image
Figure 3: Computed tomography scan of chest with Gastrografin contrast on second admission illustrating surgical emphysema in the neck with no leak of contrast.



Cursor on image to zoom/Click text to open image
Figure 4: Computed tomography scan of chest with Gastrografin contrast; comparison of image on admission and image after resolution showing no pneumomediastinum.



Cursor on image to zoom/Click text to open image
Figure 5: Computed tomography scan of chest with Gastrografin contrast; a comparison of image on admission image after resolution showing no surgical emphysema.



Discussion

This case illustrates how treatment for Boerhaave’s syndrome can be delayed and with such high mortality rates this can often be a fatal mistake. The mortality rate is significantly higher for those who are diagnosed after 24 hours of onset of symptoms [5] [7] [8] highlighting the importance of prompt diagnosis and the initiation of treatment of Boerhaave’s syndrome. Unusually, this patient had a perforation in the upper third of the esophagus rather than the postero-lateral distal third. This may have contributed to their good outcome despite the diagnostic delay.

The classical presentation of thoracic pain, subcutaneous emphysema and vomiting described by Hermann Boerhaave may not be apparent. [8] Atypical presentations are common often resulting in the sufferer of Boerhaave’s syndrome not seeking medical advice with misinterpreted clinical features resulting in misdiagnosis. [2] This case demonstrates the importance of the history and thorough examination in those with chest pain preceded by vomiting. Suspicions should be raised if the past medical history includes alcohol excess and esophageal abnormalities such as varices, esophagitis (reflux, eosinophilic and drug induced), strictures and infection. The differential of Boerhaave’s syndrome should be considered no matter how clinically well the patient might be.

A chest X-ray is required when suspecting Boerhaave’s syndrome, this may demonstrate a pneumothorax, subcutaneous emphysema or pleural effusion. Most spontaneous ruptures of the esophagus occur in the lower posterior lateral aspect as there is often a contact with the left pleural cavity. Chest drains can be diagnostic due to the presence of food particles, high amylase or gastric juice (pH <6). Contrast radiography can be performed but this has a false negative rate up to 25%. [3] A CT scan is valuable as it can aid in the exclusion of other diagnosis and has been suggested even in the absence of physical findings. [5] Endoscopy can be used to further delineate the extent of the rupture.

The management of Boerhaave’s syndrome can be non-operative or operative. Generally, primary repair via a thoracotomy is performed to manage this condition with good results seen within 24 hours after presentation. [3] The best operative results are within 24 hours [7]. Thoracoscopic surgery can also be considered in those with stable vital signs. Whether the rupture is contained or not has been used as criteria for determining surgical and non-surgical management. [5] Sulpice et al. demonstrated equivalent results from conservative surgical management comparing primary suture and T-tube repair in a cohort of 39 patients. Reinforced sutures showed more favorable outcomes reducing postoperative leakage compared to non-reinforced primary sutures. [9] Glue and esophageal stents inserted endoscopically have been used with mixed results, with stent complications including aorto-esophageal fistula and leakage. [4] The optimum management for patients with Boerhaave’s syndrome is undecided [7]. Schipper et al. suggested an algorithm following their literature review in which surgical (thoracotomy/laparotomy) and endoscopic intervention should be considered within 48 hours and conservative thereafter with a view to converting to surgery should sepsis develop. [4] Non-operative management can be successful as demonstrated in this case report. One can utilize broad-spectrum antibiotics, percutaneous drainage of pleural fluid/abscesses, enteral feeding and intravenous fluids. [5] There are criteria which have suggested when conservative treatment is appropriate. However, disadvantages of conservative treatment exist such as esophageal necrosis, infected paraesophageal tissues and continuous spoilage leading to deterioration of an initially clinically well patient. [6]

There are no published recommendations for how long a patient who is treated non-operatively for Boerhaave’s syndrome should remain hospitalized and monitored. Griffin et al. reported no deaths in 17 contained ruptures treated non-surgically, eight of which required drainage of collections. Their hospital stay ranged between 6–113 days (median 14). [5] In this case report, the initial treatment period of five days was not sufficient, even after a negative Gastrografin swallow, resulting in re-rupture. However, the second treatment period of 12 days of conservative management was more appropriate. Shaker et al. in 2010 allowed patients to eat and drink, if there was no or minimal radiological evidence of leakage. Their mean times from perforation to eating food were 20 and 48 days in their surgical and non-surgical groups, respectively. [7]

Teh et al. found that time to oral intake were medians of 13 days (range 6–28) and 8.5 days (range 3–25), respectively in those treated with primary repair and conservatively. [8] Further published data will aid the decision on an acceptable treatment period for operative and non-operative management before commencement of oral diet. Furthermore, a guideline for diet following Boerhaave’s syndrome should be agreed. In this case report, despite radiological evidence of healing, the commencement of even a liquid diet was too much for the minimally healed esophagus therefore leading to re-perforation. One should proceed with caution when considering oral intake even with radiological evidence of healing.


Conclusion

Boerhaave’s syndrome is a fatal and serious condition which requires the utmost vigilance to diagnose and treat aggressively. An open mind should be kept with patients presenting with the specific and nonspecific symptoms of this condition. Referrals should be prompt and acted on quickly. This case highlights how easy this condition is to miss, the importance of allowing enough time to heal and the fact that nutrition plays an important role during admission and thereafter. Normal imaging may not necessary mean healing is complete. Further case series and randomized controls trials are needed to add to the current literature so that an agreed management and dietary algorithm can be decided upon. However, this will take time as Boerhaave’s syndrome represents a moving target with the vast heterogeneity of presentations that have been described and acted on for this condition.


Acknowledgements

Many thanks to Sneha Varkey for the images provided in this case report.


References
  1. Boerhaave H. Atrocis, nec descripti prius, morbi historia secundum medicae artis leges conscripta, lugduni batavorum, boutesteniana. Medici 1724;60. Translated in: Bull Med Libr Assoc 1955;43:217–40.    Back to citation no. 1
  2. Szeliga J, Jackowski M. Boerhaave Syndrome. Pol Przegl Chir 2011 Sep;83(9):523-6.   [CrossRef]   [Pubmed]    Back to citation no. 2
  3. Prichard R, Butt J, Al-Sariff N, et al. Management of spontaneous rupture of the oesophagus (Boerhaave's syndrome): Single centre experience of 18 cases. Irish Journal of Medical Science 2006 Oct-Dec;175(4):66-70.   [CrossRef]   [Pubmed]    Back to citation no. 3
  4. de Schipper JP, Pull ter Gunne AF, Oostvogel HJ, van Laarhoven CJ. Spontaneous rupture of the oesophagus: Boerhaave's syndrome in 2008. Literature review and treatment algorithm. Dig Surg 2009;26(1):1-6.   [CrossRef]   [Pubmed]    Back to citation no. 4
  5. Griffin SM, Lamb PJ, Shenfine J, Richardson DL, Karat D, Hayes N. Spontaneous Rupture of the Oesophagus. Br J Surg 2008 Sep;95(9):1115-20.   [CrossRef]   [Pubmed]    Back to citation no. 5
  6. Mahmodlou R, Abdirad I, Ghasemi-Rad M. Aggressive surgical treatment in late-diagnosed esophageal perforation: A report of 11 cases. ISRN Surg 2011;2011:868356.   [CrossRef]   [Pubmed]    Back to citation no. 6
  7. Shaker H, Elsayed H, Whittle I, Hussein S, Shackcloth M. The influence of the ‘golden 24-h rule’ on the prognosis of oesophageal perforation in the modern era. Eur J Cardiothorac Surg 2010 Aug;38(2):216-2.   [CrossRef]   [Pubmed]    Back to citation no. 7
  8. Teh E, Edwards J, Duffy J, Beggs D. Boerhaave’s syndrome: A review of management and outcome. Interact Cardiovasc Thorac Surg 2007 Oct;6(5):640-3.   [CrossRef]   [Pubmed]    Back to citation no. 8
  9. Sulpice L, Dileon S, Rayar M, et al. Conservative surgical management of Boerhaave's syndrome: experience of two tertiary referral centers. Int J Surg 2013;11(1):64-7.   [CrossRef]   [Pubmed]    Back to citation no. 9

[HTML Abstract]   [PDF Full Text]

Author Contributions
Eshan Oderuth – Substantial contributions to conception and design, Acquisition of data, Analysis and interpretation of data, Drafting the article, Revising it critically for important intellectual content, Final approval of the version to be published
Kevin Ilo – Analysis and interpretation of data, Revising it critically for important intellectual content, Final approval of the version to be published
Munir Somji – Analysis and interpretation of data, Revising it critically for important intellectual content, Final approval of the version to be published
Thomas Holme – Analysis and interpretation of data, Revising it critically for important intellectual content, Final approval of the version to be published
Guarantor of submission
The corresponding author is the guarantor of submission.
Source of support
None
Conflict of interest
Authors declare no conflict of interest.
Copyright
© Eshan Oderuth et al. 2014; This article is distributed the terms of Creative Commons Attribution License which permits unrestricted use, distribution and reproduction in any means provided the original authors and original publisher are properly credited. (Please see Copyright Policy for more information.)



About The Authors

Eshan Oderuth is working a Core Surgical Trainee. He has interests in both general surgery and orthopaedics and hope to choose one as a future career path. He studied at Imperial College London School of Medicine.



Kevin Ilo is looking to proceed with a career in orthopedics in the future. He has studied at Imperial College London School of Medicine.



Thomas Holme hopes to become an orthopedic surgeon once he finishes his surgical training. He has studied at Imperial College London School of Medicine.



Munir Somji is pursuing a career in radiology. He has studied at Kings College School of Medicine.