Case Report
 
Bronchogenic cyst: A case report
Aniruddha Sarkar1, Narayan Pandit2
1MD, Associate Professor, Department of Anatomy, Midnapore Medical College, Midnapore, West Bengal, India.
2Associate Professor, Department of Radiodiagnosis, North Bengal Medical College, Sushrutanagar, Siliguri, West Bengal, India.

doi:10.5348/ijcri-2013-12-422-CR-16

Address correspondence to:
Dr. Aniruddha Sarkar
48, Sreenagar Main Road
Kolkata-700094
West Bengal
India
Phone: (+91) 9474474468
Email: drani77@gmail.com

Access full text article on other devices

  Access PDF of article on other devices

[HTML Abstract]   [PDF Full Text] [Print This Article]
[Similar article in Pumed] [Similar article in Google Scholar]


How to cite this article
Sarkar A, Pandit N. Bronchogenic cyst: A case report. International Journal of Case Reports and Images 2013;4(12):731–734.


Abstract
Introduction: Bronchogenic cyst is an incidentally detected mediastinal mass which is usually asymptomatic in most of the cases. The bronchogenic cyst appears to be a well-defined, nonenhancing cystic mass with peripheral calcification and presence of milk of calcium in some cases. It may be said congenital if it detected in very early age group.
Case Report: A case of bronchogenic cyst was incidentally detected by computed tomography scan in a 35-year-old male presenting with the heaviness in the chest.
Conclusion: The case is reported here to give an emphasis on its formation and mode of treatment accordingly due to its so hazardous position in the mediastinum.

Keywords: Bronchogenic cyst, Mediastinal mass


Introduction

Bronchogenic cysts result from the abnormal or late budding of the ventral lung bud or the tracheobronchial tree during the process of the development. Most of the bronchial branches are formed within the 15th week of development in fetal life, but they continue to divide and completed in eighth year. Bronchogenic cysts can be detected in fetus or in stillbirths and it is well recognized in babies or infants. But mediastinal type bronchogenic cysts could not be clinically detected usually until adult life. [1] Bronchogenic cysts accounts for 10–15% of all primary mediastinal masses, and can be classified as either intrapulmonary or mediastinal. Overall, 72% of bronchogenic cysts produce some symptoms, but 90% of mediastinal type bronchogenic cysts are reported to be asymptomatic. Mediastinal type bronchogenic cysts are classified into five types: paratracheal, carinal, hilar, paraoesophageal, or miscellaneous. [2] The paratracheal or carinal types can produce symptoms such as dyspnea or chest pain, due to compression of the trachea or bronchi. A giant carinal type of mediastinal type bronchogenic cysts can compress the left atrium of heart due to its proximity to the heart. The cyst is lined by the ciliated, secratory respiratory epithelium with cartilage, smooth muscle, fibrous tissue and mucous glands. The bronchogenic cyst may be filled with fluid or air or both according to the communication with the tracheobronchial tree. [3] The cysts are usually asymptomatic or it may produce pressure symptoms to the surrounding structures. The patient might complain of heaviness in chest especially on exertion and the electrocardiogram can reveal left atrial overload. [1] The echocardiography and computed tomographic (CT) scan can find out the exact cause of the atrial overload. The most common radiological position is in the subcarinal region but it can affect any compartment of the mediastinum or even within the lung. On CT, the cysts are well-defined, rounded, nonenhancing masses. The CT appearance of the fluid can vary from water density to higher density according to secretion type. Some bronchogenic cysts may have flecks of calcium within the fluid, the so-called milk of calcium. Magnetic resonance imaging (MRI) appearance may vary according to the nature of the fluid of the cyst, low (grey to black) or high (white to grey) signal intensity in T1-wieghted imaging, and bright (white) signal intensity in T2-weighted imaging. In T1-weighted images, fat, proteinaceous and hemorrhagic fluids appear in white; and water appears in low signal intensity. In T2-weighted images water, with or without proteins, appears in high signal intensity. [4]


Case Report

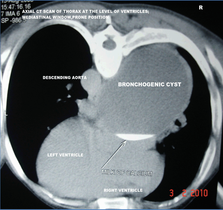
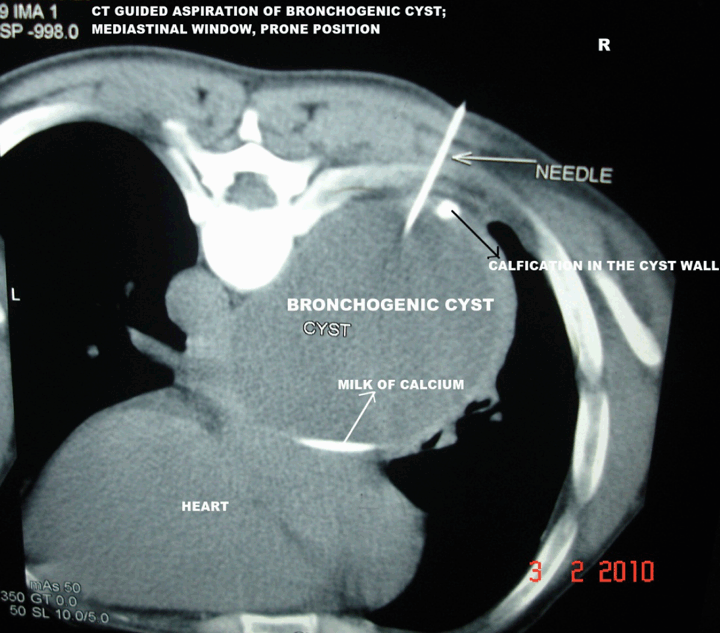
A 35-year-old male patient was presented with sense of heaviness in chest and shortness of breath even at rest for past two years. He gave history of intermittent low grade fever, cough, right sided pain chest since his adolescence and was frequently treated with antibiotics. Chest X-ray showed a right sided mediastinal mass with ipsilateral peripheral pleural calcification in the mid/lower zone. Electrogram and echocardiography were within normal limits. The CT scan of thorax showed a right sided posterior mediastinal, unilocular, cystic mass lesion having diameter of 10.9x8 cm with a homogeneous, increased fluid attenuation value of +15 HU. (Figure 1) On contrast study the cyst was thin-walled, nonenhancing except a small part of its right edge suggesting focal thickening of inflamed mediastinal pleura or compressed part of lung adjacent to the cyst. (Figure 2) A fluid was found at its dependent part, both in supine and in prone position due to presence of a small amount of higher density fluid. (Figure 1) (Figure 2) and (Figure 3) A focus of calcification was found in a part its periphery. (Figure 3) Absence of air within the cyst proved that the cyst was noncommunicating. Right intermediate bronchus was partially compressed and slightly displaced by the mass. (Figure 4) Associated ipsilateral periopheral pleural calcification was present. The CT guided aspiration revealed its content to be whitish, opalescent fluid with high protein, epithelial cells, amorphous calcium. Culture report was negative. Fibreoptic bronchoscopy revealed mucosal thickening and mild narrowing of lumen of right intermediate bronchus due to extrinsic compression. Bronchoscopic biopsy specimen revealed inflammatory changes and no malignant cell was detected.


Cursor on image to zoom/Click text to open image
Figure 1: Axial computed tomography scan of thorax at the level of aortic root; mediastinal window, supine position.



Cursor on image to zoom/Click text to open image
Figure 2: Axial computed tomography scan of thorax at the level of ventricles; mediastinal window, prone position.



Cursor on image to zoom/Click text to open image
Figure 3: Computed tomography scan guided aspiration of bronchogenic cyst; needle in situ, mediastinal window, prone position.



Cursor on image to zoom/Click text to open image
Figure 4: Axial computed tomography scan of thorax at the level of carina; mediastinal window, prone position.



Discussion

Bronchogenic cysts are the cystic malformations which are having the respiratory epithelial lining. As it is a space occupying lesion in the mediastinum, so the appearance of the symptoms of patients having the bronchogenic cysts depend on the position and most importantly the size of the tumor. As they are enlarge, they may produce symptoms by compression of the surrounding structures. A few of the cysts might become infected and can rupture into the nearest bronchus causing mucopurulent sputum, hemoptysis and fever. Bronchogenic cysts are usually asymptomatic in early lives. Bronchogenic cysts can be suspected in early childhood having noisy breathing, cough, dysphagia, anorexia and a prompt CT scan can conclude the diagnosis. When the diagnosis is made with the certainty of the bronchogenic cysts, it will become very important whether the cysts should be operated. Khalil et al. suggested surgical excision should be preferred because of its future complications but according to Mawatari et al. the treatment should depend on the size and location of the cyst and adherence with the surrounding structures. [2] [5] The small cyst, carinal in location and free from the surrounding structures could be operated as soon as it is diagnosed before creating complications. But the operation sometimes become complicated as there may adhesions with surrounding structures. So, the complete separation of the cyst from the surrounding structures becomes impossible. The remnant of the cyst can either flare up or can create problem later. So, conservative treatment should be preferred and excision of the cyst will be chosen when it is creating complications such as fistula formation, bronchial ulceration, bleeding or infection.


Conclusion

The bronchogenic cysts are rare mediastinal mass which are very much important in treatment point of view when it is diagnosed. There are a few cases of bronchogenic cysts have been reported till now. The case is presented herein with a hope that it will open new way of better treatment of such developmental mass having a knot of complications which is tightening with the delay of its removal.


References
  1. Schmidt FE, Drapanas T. Congenital cystic lesions of the bronchi and lungs. Ann Thorac Surg 1972 Dec;14(6):650–7.   [CrossRef]   [Pubmed]    Back to citation no. 1
  2. Mawatari T, Itoh T, Hachiro Y, et al. Large bronchial cyst causing compression of the left atrium. Ann Thorac Cardiovasc Surg 2003 Aug;9(4):261–3.   [Pubmed]    Back to citation no. 2
  3. Harvey S. Mediastinum. In: Computed Body Tomography with MRI correlations (Joseph KT., Lee MD., et al, eds). Lippincott Williams and Wilkins, Philadelphia 1998 Vol. 1, 271–72.    Back to citation no. 3
  4. Tarver RD, Conces DJ. Mediastinal disease. In: Computed Tomography and Magnetic Resonance Imaging of the whole body (Hagga R.,ed). Mosby, London 1994:756–7.    Back to citation no. 4
  5. Khalil A, Carette MF, Milleron B, Grivaux M, Bigot JM. Bronchogenic cyst presenting as mediastinal mass with pleural effusion. Eur Respir J 1995 Dec;8(12):2185–7.   [CrossRef]   [Pubmed]    Back to citation no. 5

[HTML Abstract]   [PDF Full Text]

Author Contributions
Aniruddha Sarkar – Substantial contributions to conception and design, Acquisition of data, Analysis and interpretation of data, Drafting the article, Revising it critically for important intellectual content, Final approval of the version to be published
Narayan Pandit – Acquisition of data, Drafting the article, Revising it critically for important intellectual content, Final approval of the version to be published
Guarantor of submission
The corresponding author is the guarantor of submission.
Source of support
None
Conflict of interest
Authors declare no conflict of interest.
Copyright
© Aniruddha Sarkar et al. 2013; This article is distributed the terms of Creative Commons Attribution License which permits unrestricted use, distribution and reproduction in any means provided the original authors and original publisher are properly credited. (Please see Copyright Policy for more information.)