Case Report
 
Pretibial myxedema mimicking elephantiasis
Pinaki Dutta1, Viral N Shah2
1DM, Assistant Professor, Department of Endocrinology, 4th Floor, F Block, Nehru Hospital, Post Graduate Institute of Medical Education and Research, Sector 12, Chandigarh, India.
2DM, Department of Endocrinology, Post Graduate Institute of Medical Education and Research, Sector-12, Chandigarh, India.

doi:10.5348/ijcri-2013-12-413-CR-7

Address correspondence to:
Dr. Pinaki Dutta
DM, Assistant Professor, Department of Endocrinology
4th Floor, F Block, Nehru Hospital, Post Graduate Institute of Medical Education and Research
Sector 12, Chandigarh
India - 160012
Phone: +91-172-2756584; +91-935711477
Fax: +91-0172-2747944
Email: pinaki_dutta@hotmail.com

Access full text article on other devices

  Access PDF of article on other devices

[HTML Abstract]   [PDF Full Text] [Print This Article]
[Similar article in Pumed] [Similar article in Google Scholar]


How to cite this article:
Dutta P, Shah VN. Pretibial myxedema mimicking elephantiasis. International Journal of Case Reports and Images 2013;4(12):695–697.


Abstract
Introduction: Elephantiasic pretibial myxedema is a rare manifestation of autoimmune thyroid disease. Herein, we report a case of elephantiasic pretibial myxedema.
Case Report: A 45-year-old male presented with bilateral firm confluent pretibial polypoid hyperpigmented nodular and plaque lesions. He had a history of thyroidectomy for toxic goitre in the past and was not on any thyroxine replacement therapy. On examination, he had dry skin, myxedematous appearance and grade 3 clubbing of fingers. Investigations revealed elevated thyroid stimulating hormone and thyroid stimulating hormone receptor stimulating antibody levels. Histopathology of the skin lesion was suggestive of pretibial myxedema. The patient was started with thyroxine replacement and steroid occlusive dressing over lesions. His condition was improved remarkably with treatment.
Conclusion: Elephantiasic pretibial myxedema is rare. This condition should be recognized promptly and should be treated with steroid, occlusive dressing and treatment of underlying thyroid disease.

Keywords: Pretibial myxedema, Graves’ disease, Thyroid stimulating hormone receptor antibody, Hypothyroidism


Introduction

Pretibial myxedema (PTM) is an immune mediated localized form of thyroid associated dermopathy often found in patients with autoimmune thyroid disease, particularly Graves’ diseases. [1] Rarely, it is also seen in patients with hypothyroidism. [2] The skin lesions are diffuse, non-pitting in majority. However, plaques and nodular forms have also been describe in literature. Elephantiasis form of (PTM) which is known as elephantiasis nostra verrucosa (ENV) is extreme rare form which is found late in the course of Graves’ disease. [3] We describe a case who remained hypothyroid for a long period of time, eventually developed elephantiasic PTM.


Case Report

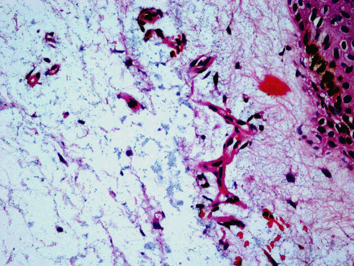
A 45-year-old male presented with large irregular nodular swelling over anterior aspects of tibia bilaterally. These swellings were gradually increasing in size for past two years. He had a history of thyroidectomy for large toxic goitre seven years back in an outside hospital. He was not on thyroxin replacement therapy and was never on follow-up. He neither lived nor had any visit to filarial endemic area. On examination, he had dry skin, sallow complexion and periorbital puffiness. (Figure 1A) He also had grade 3 clubbing of fingers. (Figure 1B) The bilateral firm confluent pretibial polypoid nodular lesions were hyperpigmented, firm, asymmetric and non-pitting and there were plaques between and over the nodules. (Figure 1C) His pulse was 64 per minute and regular rhythm and blood pressure was 130/84 mmHg. The thyroid function test revealed severe hypothyroidism, his TSH level was more than 100 mIU/mL (normal limit 0.4–4.4 mIU/mL). Blood examination did not reveal the presence of filarial parasite and furthermore, filarial antigen and antibody tests were negative. Thyroid stimulating receptor antibody titer was 40IU/L (normal limits <1.5 IU/L). Biopsy of one of the nodular skin lesions revealed separation of collagen fibers, extensive deposition and stellate fibroblasts consistent with the findings of pretibial myxedema. (Figure 2) He was started with 125 µg/day of thyroxine and steroid ointment with tight occlusive bandage for pretibial swelling. After three months of therapy, there was regression of symptoms of hypothyroidism and modest decrease in nodular pretibial myxedema. Currently, he is planned for intralesional glucocorticoids.


Cursor on image to zoom/Click text to open image
Figure 1: (A) Showing dry skin, sallow complexion and periorbital puffiness, (B) Grade 3 clubbing of fingers, and (C) Bilateral pretibial nodular hyperpigmented, asymmetrical and non-pitting lesions non-pitting with plaques between and over the nodules.



Cursor on image to zoom/Click text to open image
Figure 2: Biopsy of one of the nodular skin lesions showing separation of collagen fibers, extensive deposition and stellate fibroblasts (H&E stain, x400).



Discussion

Pretibial myxedema is an infrequent manifestation of autoimmune thyroid disease as a result of immune mediated phenomenon. [1] About 0.5–4.3% of patients with a history of thyrotoxicosis have thyroid dermopathy, and 15% of patients with severe Graves’ ophthalmopathy have this cutaneous manifestation. [4] According to one study, PTM was also found with frequency of 17.1% in Hashimoto’s thyroiditis, and 6.5% in idiopathic hypothyroidism. [5] The elephantiasic pretibial myxedema constitutes less than 1% of PTM. Our patient had toxic nodular goitre and underwent thyroidectomy, subsequent hypothyroidism and eventually developed PTM.

Classically, histopathology of these lesions shows increase in levels of glycosaminoglycan (GAG) in the reticular dermis with excess increase in hyaluronic acid concentration. [6] The proposed mechanism for this is thought to be due to fibroblast stimulation by thyroid-stimulating hormone receptor (TSH-R) antibodies. [6] [7] Histopathological findings in our case is same as describe in literature and the level of TSH-R stimulating antibodies was also elevated suggesting the role of TSH-R stimulating antibodies in fibroblast proliferation and synthesis of GAG.

The most commonly describe therapy for PTM is tight occlusive steroid dressing [6] which has also been given in our case. The response rate varies with topical steroid occlusive dressing is 26-50%. Our case responded dramatically with local steroid as well as thyroxine replacement.


Acknowledgements

We are grateful to Department of Photography (Mr. Brij Lal and Mr. Abijeet) for the taking patient photographs. We also thank Mr. Prakamya Gupta for manuscript editing.



Conclusion

Elephantiasic pretibial myxedema is a rare disease. This condition should be recognized promptly and should be treated with steroid occlusive dressing and treatment of underlying thyroid disease.


References
  1. Ruesch S, Walder B, Tramèr MR. Complications of central venous catheters: Internal jugular versus subclavian access--a systematic review. Crit Care Med 2002 Feb;30(2):454–60.   [CrossRef]   [Pubmed]    Back to citation no. 1
  2. Mansfield PF, Hohn DC, Fornage BD, Gregurich MA, Ota DM. Complications and failures of subclavian-vein catheterization. N Engl J Med 1994 Dec 29;331(26):1735–8.   [CrossRef]   [Pubmed]    Back to citation no. 2
  3. Gladwin MT, Slonim A, Landucci DL, Gutierrez DC, Cunnion RE. Cannulation of the internal jugular vein: Is postprocedural chest radiography always necessary? Crit Care Med 1999 Sep;27(9):1819–23.   [CrossRef]   [Pubmed]    Back to citation no. 3
  4. McGee DC, Gould MK. Preventing complications of central venous catheterization. N Engl J Med 2003 Mar 20;348(12):1123–3.   [CrossRef]   [Pubmed]    Back to citation no. 4
  5. Tocino IM, Watanabe A. Impending catheter perforation of superior vena cava: Radiographic recognition. AJR Am J Roentgenol 1986 Mar;146(3):487–90.   [CrossRef]   [Pubmed]    Back to citation no. 5
  6. Mehta N, Valesky WW, Guy A, Sinert R. Systematic review: Is real-time ultrasonic-guided central line placement by ED physicians more successful than the traditional landmark approach? Emerg Med J 2013 May;30(5):355–9.   [CrossRef]   [Pubmed]    Back to citation no. 6
  7. Deogaonkar K, Shokrollahi K, Dickson WA. Haemothorax: A potentially fatal complication of subclavian cannulation--A case report. Resuscitation 2007 Jan;72(1):161–3.   [CrossRef]   [Pubmed]    Back to citation no. 7
  8. Lefrant JY, Muller L, Nouvellon E, Saissi G, de La Coussaye JE, Eledjam JJ. When subclavian vein cannulation attempts must be stopped? Anesthesiol Suppl 1998; ASCCA abstract: B11.   [CrossRef]    Back to citation no. 8
  9. Akram AR, Hartung TK. Intercostal chest drains: A wake-up call from the National Patient Safety Agency rapid response report. J R Coll Physicians Edinb 2009;39:117–20.    Back to citation no. 9
  10. Hedenstierna G. Alveolar collapse and closure of airways: Regular effects of anaesthesia. Clin Physiol Funct Imaging 2003 May;23(3):123–9.   [CrossRef]   [Pubmed]    Back to citation no. 10
  11. Brooks-Brunn JA. Predictors of postoperative pulmonary complications following abdominal surgery. Chest 1997 Mar;111(3):564–71.   [CrossRef]   [Pubmed]    Back to citation no. 11

[HTML Abstract]   [PDF Full Text]

Author Contributions
Pinaki Dutta – Substantial contributions to conception and design, Acquisition of data, Analysis and interpretation of data, Drafting the article, Revising it critically for important intellectual content, Final approval of the version to be published
Viral N Shah – Analysis and interpretation of data, Drafting the article, Revising it critically for important intellectual content, Final approval of the version to be published
Guarantor of submission
The corresponding author is the guarantor of submission.
Source of support
None
Conflict of interest
Authors declare no conflict of interest.
Copyright
© Pinaki Dutta et al. 2013; This article is distributed the terms of Creative Commons Attribution License which permits unrestricted use, distribution and reproduction in any means provided the original authors and original publisher are properly credited. (Please see Copyright Policy for more information.)