![]() |
|
![]() |
|
Case Report
| ||||||
| Superior mesenteric artery syndrome: A rare case of bowel obstruction in schizophrenic patient | ||||||
| Ing How Moo1, Michael John Clarke2, Tiong Thye Goo3, Kee Wee Lim4 | ||||||
|
1MBBS, UNSW, House Officer, General Surgery, Khoo Teck Puat Hospital, Singapore.
2MBBS, (Melbourne), FRANZCR, Consultant, Diagnostic Radiology, Khoo Teck Puat Hospital, Singapore. 3MBBS, MRCS, Surgical Registra, General Surgery, Khoo Teck Puat Hospital, SINGAPORE. 4MBBS, (S’pore), MRCS (Edin), MMed (Gen Surg), Consultant, General Surgery, Khoo Teck Puat Hospital, Singapore. | ||||||
| ||||||
|
[HTML Abstract]
[PDF Full Text]
[Print This Article]
[Similar article in Pumed] [Similar article in Google Scholar]
|
| How to cite this article: |
| Moo IH, Clarke MJ, Goo TT, Lim KW. Superior mesenteric artery syndrome: A rare case of bowel obstruction in schizophrenic patient. International Journal of Case Reports and Images 2013;4(11):597–601. |
|
Abstract
|
|
Introduction:
Superior mesenteric artery syndrome is a rare condition of obstruction to the third part of duodenum. Identification of this syndrome is challenging and is frequently made by a process of exclusion.
Case Report: We report the first case of superior mesenteric artery syndrome in a severely cachectic schizophrenic patient with paranoid delusions who presented with features of proximal gastrointestinal obstruction. The diagnosis was not straightforward and was supported by radiologic evidence of obstruction. The patient was treated conservatively with nasogastric tube decompression, fluid and electrolyte correction and enteral nutrition via nasojejunal tube. However, the patient was not cooperative with treatment and subsequently demised. Conclusion: This report aims to strengthen the awareness of this condition to prevent delay in diagnosis and treatment of this life-threatening condition. | |
|
Keywords:
Superior mesenteric artery (SMA) syndrome, Schizophrenic patient
| |
|
Introduction
| ||||||
|
Superior mesenteric artery (SMA) syndrome is characterized anatomically by extrinsic compression of the third part of the duodenum by the superior mesenteric artery anteriorly and abdominal aorta posteriorly. It is one of the rarest gastrovascular disorders with incidence of 0.013–0.3%. [1] Only about 400 cases have been reported in medical literature. Most clinicians are unfamiliar with this disease. Delayed diagnosis of SMA syndrome is associated with significant morbidity and mortality. [2] Herein, we report the first case of SMA syndrome in a schizophrenic patient. | ||||||
|
Case Report
| ||||||
|
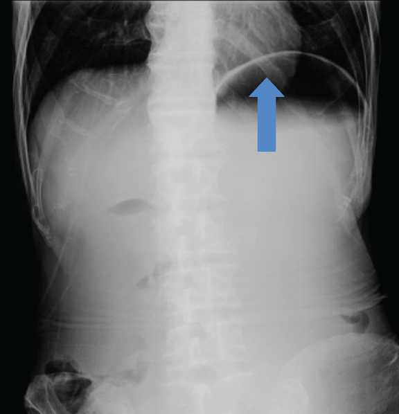
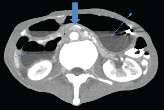
A 64-year-old schizophrenic elderly male was admitted in Singapore government hospital for epigastric pain of 1 day duration associated with a two-day history of vomiting. The character of the vomitus was uncertain. He had lost 30–40 kg of weight over several months. The patient denied postprandial pain and had no previous similar episode. He had no past history of surgery and was not on any psychiatric medication. The patient had paranoid schizophrenia but was never compliant with medications. He lived alone and had persecutory thoughts. He was suspicious of people around him and barred all windows and rooms. He also mentioned cameras watching him and “people” want to harm him. He refused to go out and consumed mainly instant noodles for several years. One month before this admission, he was admitted for hypoglycemia secondary to poor oral intake and incidentally had low calcium and vitamin D deficiency. His vital signs were stable on admission. He appeared comfortable but was severely cachectic with a body mass index of 10.9 kg/m2 (weight 34.4 kg, height 178 cm). The abdomen was scaphoid, distended and tender over epigastric area with no sign of peritoneal irritation and succussion splash was positive. Per rectal examination was unremarkable. Initial laboratory studies were largely unremarkable besides the elevated total white, low creatinine and urea. Supine and erect plain abdominal radiograph showed a grossly distended stomach and collapsed bowel distally. (Figure 1) In view of the distended abdomen, positive succession splash and dilated stomach on abdominal radiograph, our initial impression was gastric outlet obstruction. Patient was kept nil by mouth and nasogastric tube was inserted to maintain gastric and duodenal decompression. Nasogastric tube immediately aspirated 2.2 liters of bilious fluid. Upper gastrointestinal series showed distended stomach and duodenum to the level of mid third part, where an abrupt cut-off occurred. (Figure 2) To determine the aetiology, contrast-enhanced computed tomography (CT) scan of the abdomen was arranged and the third portion of the duodenum was clearly ‘pinched’ by the abdominal aorta and the superior mesenteric artery. The aorta-SMA angle was 4 degrees and the aortomesenteric distance measured 5.6 mm. (Figure 3) (Figure 4) In addition, CT scan also revealed obvious reduction of the intra-abdominal fat. There was no free intraperitoneal air. Based on the history, examination and imaging findings, we diagnosed SMA syndrome. Endoscopic guided insertion of nasojejunal tube was performed for enteral feeding as patient was unable to tolerate any oral intake due to duodenal obstruction. (Figure 5) However, the patient was not cooperative with nasojejunal tube feeding. Subsequently, he developed hypoglycemia, hypokalemia and hypotension that was refractory to resuscitation. Consciousness deteriorated and the patient passed away. | ||||||
| ||||||
|
| ||||||
|
| ||||||
| ||||||
| ||||||
|
Discussion
| ||||||
|
Superior mesenteric artery syndrome was first described by Austrian Professor Carl Freiherr Von Rokitansky in 1861. [3] Later Wilkie published the first comprehensive case series of 75 patients with what he initially called “duodenal ileus”, 64 of who underwent duodenojejunostomy. Wilkie’s detailed anatomical, clinical and pathophysiological description of extrinsic compression of third portion of duodenum by the superior mesenteric artery has become a common eponym for SMA syndrome. [4] Subsequently, a variety of other names have been used such as chronic cast syndrome and arteriomesenteric duodenal compression syndrome. [5] [6] Superior mesenteric artery originates acutely from the abdominal aorta behind the neck of the pancreas at the level of first lumbar vertebra and travels caudally into the root of mesentery. The transverse portion of the duodenum crosses anterior to the third lumbar vertebra and was separated from the superior mesenteric artery by the retroperitoneal fatty tissue. The normal angle between abdominal aorta and the superior mesenteric artery is 25–60° and the aortomesenteric distance is around 10–28 mm. [7] [8] Such relationship correlates with body mass index. [2] Pathophysiological loss of retroperitoneal and paraduodenal fats can result in aortomesenteric distance less than 8 mm and aorto-SMA angle of 22° or less, resulting in duodenal ‘clamping’. Such pathophysiology can be seen in chronic wasting disease, catabolic state, anorexia and malabsorption. Surgical interventions can occasionally alter the anatomical relationship, jeopardizing the aortomesenteric angle and resulting in SMA syndrome (e.g., scoliosis surgery, aortic aneurysm repair, bariatric surgery). [1] [5] The SMA syndrome can present acutely or chronically with signs and symptoms of proximal gastrointestinal tract obstruction (i.e., nausea, vomiting, weight loss, sense of repletion and postprandial abdominal distension). Such presentations, however, are nonspecific to SMA syndrome and diagnosis is frequently delayed. Henceforth, a high index of suspicion is required and a comprehensive investigation is recommended to rule other conditions that are common and has different treatment implication including pancreatitis and peptic ulcer disease. [9] Upper gastrointestinal series, contrast-enhanced computed tomography (CT) scan, magnetic resonance angiography (MRA), ultrasound (US) and endoscopy are modalities that can be utilized to establish diagnosis. Our patient had upper gastrointestinal series that revealed a classical dilated proximal duodenum with abrupt contrast cut-off at the transverse portion of duodenum. Computed tomography scan of abdomen with contrast can clearly demonstrate the obstruction site, determine the aetiology of the obstruction and allows evaluation of aortomesenteric angle and aortomesenteric distance, both of which are sensitive measures of diagnosis. An aortosuperior mesenteric artery angle of less than 25° and aortomesenteric distance less than 8 mm are highly suggestive of SMA syndrome. [9] In our patients, both parameters were reduced with angle and distance of 4° and 5.6 mm, respectively. Upper endoscopy can be used to rule out stenosing lesions in the duodenum. With the advent of noninvasive radiological studies, conventional arteriography is rarely needed in the workup of SMA syndrome except in cases where diagnosis is not clear. The treatment of SMA syndrome can be either conservative or surgical. Patients with SMA syndrome initially require nasogastric tube insertion for gastrointestinal decompression, fluid resuscitation, correction of electrolyte abnormalities and early nutritional support. Nutritional support aims to promote body weight gain and restore the retroperitoneal fat tissue with subsequent increase in aortomesenteric angle and reduction in duodenal obstruction. Nasojejunal tube that is placed distal to the obstruction allows enteral administration of nutrition. Parenteral nutrition may be an alternative but it is not without its associated complications. Notably, patient should be monitored for refeeding syndrome during nutritional rehabilitation as these patients are malnourished and are susceptible to electrolyte and fluid shifts. Duration to achieve symptomatic improvement is variable in conservative nutritional treatment and has been documented to range from 2–169 days. [1] Patients with shorter history of SMA syndrome have higher success rate with conservative management. On the other hand, those with more chronic history have a prolonged hospital stay with low success rates of conservative treatment alone and surgery after a period of refeeding and weight gain is indicated. [8] Several surgical options have been proposed to resolve or bypass the duodenal compression including Strong’s procedure (caudal mobilization of duodenojejunal flexure by division of ligament of Treitz), gastrojejunostomy and duodenojejunostomy. The advantage of Strong’s procedure includes maintaining bowel integrity, easier and quicker to perform and less invasive and is a safer procedure. [9] However, Strong’s procedure has high failure rate of 25% and presumably due to difficulty in mobilizing the duodenum with interference from intra-abdominal adhesions and the short vessels of the inferior pancreaticoduodenal artery. Gastrojejunostomy can decompress the stomach adequately but it does not resolve the duodenal obstruction and the patient can have persistent symptoms. Furthermore, such bypass operation can cause blind loop syndrome, gastric bile reflux and peptic ulceration that necessitate second operation (i.e., duodenojejunostomy). Duodenojejunostomy is the surgical treatment of choice and can be performed with or without division of fourth portion of the duodenum. It has a reported a success rate of 90%. [10] | ||||||
|
Conclusion
| ||||||
|
Diagnosis of superior mesenteric artery syndrome requires a high degree of clinical suspicion supported by radiologic evidence of obstruction. Its nonspecific presentation often creates confusion amongst clinicians and prompts them to investigate for other conditions and lead to delay diagnosis. As demonstrated in our case, unrecognized or inadequately treated cases may progress to dehydration, electrolyte abnormalities, severe malnutrition, bowel perforation, and death. Multidisciplinary team approach comprises surgeon, gastroenterologist, psychiatrist, radiologist, dietician, pharmacist and social worker provides the most beneficial diagnostic and therapeutic result in this often underestimated disease. | ||||||
|
References
| ||||||
| ||||||
|
[HTML Abstract]
[PDF Full Text]
|
|
Author Contributions
Ing How Moo – Substantial contributions to conception and design, Analysis and interpretation of data, Drafting the article, Final approval of the version to be published Michael John Clarke – Substantial contributions to conception and design, Analysis and interpretation of data, Drafting the article, Final approval of the version to be published Tiong Thye Goo – Substantial contributions to conception and design, Analysis and interpretation of data, Drafting the article, Final approval of the version to be published Kee Wee Lim – Substantial contributions to conception and design, Analysis and interpretation of data, Drafting the article, Final approval of the version to be published |
|
Guarantor of submission
The corresponding author is the guarantor of submission. |
|
Source of support
None |
|
Conflict of interest
Authors declare no conflict of interest. |
|
Copyright
© Ing How Moo et al. 2013; This article is distributed the terms of Creative Commons Attribution License which permits unrestricted use, distribution and reproduction in any means provided the original authors and original publisher are properly credited. (Please see Copyright Policy for more information.) |
|
|