Case Report
 
‘Wallpaper paste sign’ of mucinous breast carcinoma
Muhammad Asad Parvaiz1, Brian Isgar2, Nedra Aluwihare3
1Specialty Doctor, Department of Breast Surgery, The Royal Wolverhampton NHS Trust, Wolverhampton, WV10 0QP, UK.
2Consultant Surgeon, Department of Breast Surgery, The Royal Wolverhampton NHS Trust, Wolverhampton, WV10 0QP, UK.
3Consultant Histopathologist, Department of Histopathology, The Royal Wolverhampton NHS Trust, Wolverhampton, WV10 0QP, UK.

doi:10.5348/ijcri-2013-10-377-CR-6

Address correspondence to:
Muhammad Asad Parvaiz
Specialty Doctor, Department of Breast Surgery
The Royal Wolverhampton NHS Trust
Wolverhampton, WV10 0QP
UK
Phone: +44-1902-695978
Email: asad.parvaiz@nhs.net

Access full text article on other devices

  Access PDF of article on other devices

[HTML Abstract]   [PDF Full Text] [Print This Article]
[Similar article in Pumed] [Similar article in Google Scholar]


How to cite this article:
Parvaiz MA, Isgar B, Aluwihare N. ‘Wallpaper paste sign’ of mucinous breast carcinoma. International Journal of Case Reports and Images 2013;4(10):551–553.


Abstract
Introduction: Mucinous carcinoma of the breast is an uncommon disease, characterized by a large amount of mucin production. Histologically, it is classified into two subgroups— pure type and mixed type. It usually affects postmenopausal women and is commonly associated with good prognosis.
Case Report: We present a case of a 53-year-old female with a palpable breast lump which was clinically as well as radiologically suspicious of breast cancer. A free hand needle core biopsy was carried out. The biopsy material retrieved had a distinctive gross appearance, with soft, gelatinous consistency and a glistening clear surface. On this typical macroscopic appearance, a diagnosis of ‘mucinous breast carcinoma’ was made, which was subsequently confirmed on histological examination. The typical gross appearance of specimen on needle core biopsy is similar to the appearance of wallpaper paste; hence we describe it as ‘wallpaper paste sign’.
Conclusion: The hallmark of mucinous carcinoma is extracellular mucin production that gives it a typical glistening macroscopic appearance. Keeping in mind the ‘wallpaper paste sign’ we describe, mucinous breast carcinoma can be diagnosed on patient’s first visit to the breast clinic on gross inspection of the needle core biopsy specimen.

Keywords: Mucinous breast carcinoma, Wallpaper paste sign, Extracellular mucin, Core biopsy


Introduction

Mucinous carcinoma of the breast is not a common disease and its incidence has been reported to range from 1–6% of all primary breast cancers. [1] [2] [3] [4] It is characterized by a large amount of mucin production and in general, defined as having a mucinous component of 50% or more. [5] [6] Histologically, it is classified into two subgroups— pure type and mixed type. [7] [8]

The pure type is the classical type composed entirely of mucinous carcinoma and can be further subdivided into cellular and hypo-cellular variants based on the degree of cellularity. When the mucinous component is mixed with another tumor type, this is the condition of mixed mucinous cancer which is most commonly ductal type (mucinous-ductal).

Immunohistochemistry is not generally required for the confirmation of mucinous breast carcinoma. However, a notable proportion of lesions especially the cellular variant of pure mucinous carcinoma demonstrate neuroendocrine differentiation. These tumors are immunoreactive for chromogranin and synaptophysin. [5] [9] Typically, mucinous carcinoma is estrogen receptor positive.


Case Report

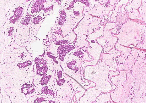
A 53-year-old female was presented to the breast clinic with a palpable breast lump. Clinically, the lump was suspicious of breast cancer. Mammogram and ultrasound scan also confirmed the suspicious nature of the lump. A free hand needle core biopsy was carried out in the one-stop triple assessment clinic on index presentation. The core biopsy material retrieved had a distinctive gross appearance, with soft, gelatinous consistency and a glistening clear almost see-through surface. (Figure 1) On this typical macroscopic appearance, a diagnosis of ‘mucinous breast carcinoma’ was made, which was subsequently confirmed on microscopic histological examination. The hallmark of mucinous carcinoma is extracellular mucin production, the extent of which varies from tumor to tumor. Typically, mucinous cancer cells in small clusters, sheets, or papillary configurations are dispersed within pools of extracellular mucin. (Figure 2)


Cursor on image to zoom/Click text to open image
Figure 1: Wallpaper paste sign of macroscopic appearance of mucinous breast carcinoma on needle core biopsy.



Cursor on image to zoom/Click text to open image
Figure 2: Histological appearance of mucinous breast carcinoma; lakes of lightly staining mucin with islands of neoplastic cells floating (H&E stain, x200).



Discussion

Mucinous carcinoma of the breast usually occurs in postmenopausal women. Median age of diagnosis is 71 years (range 25–85 years). [4] [6] It shows more favorable clinicopathological characteristics, such as lower incidence of nodal metastasis, higher expression of estrogen and progesterone receptors and differentiated grade. [2] [6] [10] [11]

The typical gross appearance of the mucinous breast carcinoma is a well-defined cystic mass, consisting of abundant transparent to bloodstained mucin as well as whitish solid parts. [12] This gelatinous and glistening gross appearance of mucinous breast carcinoma on needle core biopsy is similar to the appearance of wallpaper paste used to stick the wallpaper to a wall. We describe it as ‘wallpaper paste sign’ of mucinous breast carcinoma on needle core biopsy because of this similarity in appearances. This sign has been successfully reproducible in our practice over a period of time. Whenever such needle core biopsy appearance is retrieved in the clinic, we write ‘positive wallpaper paste sign– mucinous breast carcinoma?’ on the histology request form. This has always been confirmed on the microscopic analysis and immunohistochemistry when required.

Mucinous breast carcinoma is associated with a relatively favorable prognosis with a 5-year breast cancer specific survival rate of 94%. Although slowly decreasing with time, 10, 15 and 20 years survival rates are 89%, 85% and 81%, respectively compared to 82% (5 year), 72% (10 year), 66% (15 year) and 62% (20 year) for invasive ductal carcinoma. [1] [6] [13] [14] [15]


Conclusion

Mucinous carcinoma is relatively rare type of breast cancer and it can be diagnosed on patient’s first visit to the breast clinic on gross inspection of the needle core biopsy specimen.


References
  1. Louwman MW, Vriezen M, van Beek MW, et al. Uncommon breast tumors in perspective: incidence, treatment and survival in the Netherlands. Int J Cancer 2007;121(1):127–35.   [CrossRef]   [Pubmed]    Back to citation no. 1
  2. Andre S, Cunha F, Bernardo M, Meneses e Sousa J, Cortez F, Soares J. Mucinous carcinoma of the breast: a pathologic study of 82 cases. J Surg Oncol 1995;58(3):162–7.   [CrossRef]   [Pubmed]    Back to citation no. 2
  3. Li CI, Uribe DJ, Daling JR. Clinical characteristics of different histologic types of breast cancer. Br J Cancer 2005;93(9):1046–52.   [CrossRef]   [Pubmed]    Back to citation no. 3
  4. Diab SG, Clark GM, Osborne CK, Libby A, Allred DC, Elledge RM. Tumor characteristics and clinical outcome of tubular and mucinous breast carcinomas. J Clin Oncol 1999;17(5):1442–8.   [Pubmed]    Back to citation no. 4
  5. Tan PH, Tse GM, Bay BH. Mucinous breast lesions: diagnostic challenges. J Clin Pathol 2008;61(1):11–9.   [Pubmed]    Back to citation no. 5
  6. Di Saverio S, Gutierrez J, Avisar E. A retrospective review with long term follow up of 11,400 cases of pure mucinous breast carcinoma. Breast Cancer Res Treat 2008;111(3):541–7.   [CrossRef]   [Pubmed]    Back to citation no. 6
  7. Silverberg SG, Kay S, Chitale AR, Levitt SH. Colloid carcinoma of the breast. Am J Clin Pathol 1971;55(3):355–63.   [Pubmed]    Back to citation no. 7
  8. Dogan E, Aksoy S, Dizdar O, et al. Pure mucinous carcinoma of the breast: a single center experience. J Buon 2011;16(3):565–7.   [Pubmed]    Back to citation no. 8
  9. Capella C, Eusebi V, Mann B, Azzopardi JG. Endocrine differentiation in mucoid carcinoma of the breast. Histopathology 1980;4(6):613–30.   [CrossRef]   [Pubmed]    Back to citation no. 9
  10. Komenaka IK, El-Tamer MB, Troxel A, et al. Pure mucinous carcinoma of the breast. Am J Surg 2004;187(4):528–32.   [CrossRef]   [Pubmed]    Back to citation no. 10
  11. Barkley CR, Ligibel JA, Wong JS, Lipsitz S, Smith BL, Golshan M. Mucinous breast carcinoma: a large contemporary series. Am J Surg 2008;196(4):549–51.   [CrossRef]   [Pubmed]    Back to citation no. 11
  12. Chen WY, Chen CS, Chen HC, Hung YJ, Chu JS. Mucinous cystadenocarcinoma of the breast coexisting with infiltrating ductal carcinoma. Pathol Int 2004;54(10):781–6.   [CrossRef]   [Pubmed]    Back to citation no. 12
  13. Page DL. Special types of invasive breast cancer, with clinical implications. Am J Surg Pathol 2003;27(6):832–5.   [CrossRef]   [Pubmed]    Back to citation no. 13
  14. Park S, Koo J, Kim JH, Yang WI, Park BW, Lee KS. Clinicopathological characteristics of mucinous carcinoma of the breast in Korea: comparison with invasive ductal carcinoma-not otherwise specified. J Korean Med Sci 2010;25(3):361–8.   [CrossRef]   [Pubmed]    Back to citation no. 14
  15. Hanagiri T, Ono K, Baba T, et al. Clinicopathologic characteristics of mucinous carcinoma of the breast. Int Surg 2010;95(2):126–9.   [Pubmed]    Back to citation no. 15

[HTML Abstract]   [PDF Full Text]

Author Contributions
Muhammad Asad Parvaiz – Substantial contributions to conception and design, Acquisition of data, Analysis and interpretation of data, Drafting the article, Revising it critically for important intellectual content, Final approval of the version to be published
Brian Isgar – Substantial contributions to conception and design, Revising it critically for important intellectual content, Final approval of the version to be published
Nedra Aluwihare – Substantial contributions to conception and design, Drafting the article, Revising it critically for important intellectual content, Final approval of the version to be published
Guarantor of submission
The corresponding author is the guarantor of submission.
Source of support
None
Conflict of interest
Authors declare no conflict of interest.
Copyright
© Muhammad Asad Parvaiz et al. 2012; This article is distributed the terms of Creative Commons Attribution License which permits unrestricted use, distribution and reproduction in any means provided the original authors and original publisher are properly credited. (Please see Copyright Policy for more information.)