Volume 4; Number 7 (July 2013)
|
Cover Figure |
 |
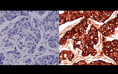
Figure 5: Immunohistochemical study using polyclonal anti-IGF-II antibody demonstrating a positive staining of IGF-II in tumor cells, IGF-II: insulin-like growth factor-II. (Page 382)
|
Go Back to Table of Contents |
|