Case Report
 
Mycobacterium tuberculosis infection within a parotid Warthin tumor: Magnetic resonance imaging appearance
Chia Han Lin1, Mu Kuan Chen2
1MD, Fellowship, Otorhinolaryngology & Head and Neck Surgery, Changhua Christian Hospital, Changhua City, Taiwan, Republic of China.
2MD, PhD, Chief and Medical Director, Ororhinolaryngology & Head and Neck Surgery and Oral Cancer Research Center, Changhua Christian Hospital, Changhua City, Taiwan, Republic of China.

doi:10.5348/ijcri-2013-07-332-6

Address correspondence to:
Chia Han Lin
Room 110, No.135, St. Nanxiao, Changhua City
Taiwan
Republic of China. 500
Phone: +886-4-7238595-7210
Fax: 886-4-7232492
Email: 135196@cch.org.tw

Access full text article on other devices

  Access PDF of article on other devices

[HTML Abstract]   [PDF Full Text] [Print This Article]
[Similar article in Pumed] [Similar article in Google Scholar]


How to cite this article:
Lin CH, Chen MK. Mycobacterium tuberculosis infection within a parotid Warthin tumor: Magnetic resonance imaging appearance. International Journal of Case Reports and Images 2013;4(7):363–367.


Abstract
Introduction: Parotid tuberculosis is a rare disease, accounting for less than 1% cases of extra-pulmonary tuberculosis. Misdiagnosis is common when a coexisting parotid tumor is present, a diagnosis of coexisting parotid tuberculosis and a Warthin tumor usually requires multiple imaging examinations, however some studies have reported the use of magnetic resonance imaging (MRI) prior to surgical intervention.
Case Report: We report the case of a 72-year-old male with Mycobacterium tuberculosis infection within a Warthin tumor. We performed complete superficial parotidectomy and postoperative anti-tuberculosis treatment was given. The patient was regularly followed-up for more than six months, and no recurrence was noted.
Conclusion: We reviewed the advantages and disadvantages of MRI. An MRI is quite sensitive in diagnosing granulomatous disease, but quantitative measurement for specific disease is needed through large series of study in the future.

Keywords: Warthin tumor, Parotid abscess, Mycobacterium tuberculosis, Anti-tuberculosis


Introduction

Parotid tuberculosis is a rare type of extrapulmonary tuberculosis. It usually presents as a unilateral swelling or abscess involving the parenchyma of the gland either through hematogenous spread or from infection of the lymph nodes within or around it. A Warthin tumor is a benign parotid tumor which is clinically diagnosed by computed tomography (CT), magnetic resonance imaging (MRI), fine needle aspiration, and excision biopsy. Parotid tuberculosis rarely coexists with Warthin tumor and is indistinguishable on most CT scan. Thus, we chose MRI to attempt to distinguish the differences between parotid tuberculosis and Warthin tumor.

Complete superficial parotidectomy and postoperative anti-tuberculosis medical treatment are usually sufficient in such cases. After complete treatment, the recurrence rate of these rare coexisting diseases is quite low.


Case Report

A 72-year-old man was presented to our clinic with a left cheek swelling mass with mild tenderness for one month. He was a heavy smoker with at least two packs of tobacco per day. Clinically, the tumor was located inferior to the left auricle; with elastic, tactile, movable content, and was well capsulated. No other palpable neck mass or facial palsy was noted, and there were no overlying skin changes suggestive of parotiditis. An oral cavity examination revealed no abnormal findings. A flexible nasopharyngoscopic examination revealed negative pathological findings of the nasopharynx, oropharynx, hypopharynx, and larynx. Head and neck T2-weighted MRI scan showed a 3x3.7 cm high intensity mass within the left superficial parotid gland. Small cervical lymphadenopathies were also apparent in bilateral level II and I. In T2-weighted image, left parotid high signal with central necrosis suggestive of left pleomorphic adenoma or mixed tumor. (Figure 1) In T1-weighted image post contrast infusion, left well demarcated parotid mass was moderated enhanced, with some low to moderate signal and heterogenous material inside. Highly suggestive of tumor central bleeding or granulomatous disease. (Figure 2) In T2-weighted image, left parotid tumor shows high signal with central necrosis, suggestive of granulomatous disease. (Figure 3)

Left superficial parotidectomy was then performed under general anesthesia. During dissection, multiple granulation tissues with fibrosis surrounding the mass resulted in difficulty in dissecting the tumor and identifying the facial nerve. On gross examination, a 3.1x4 cm tumor was found with some caseous necrotic material bursting out. Pathology revealed a Warthin tumor with chronic inflammation and multiple granulation. No malignant tissue was found. The histopathological diagnosis was a small Warthin tumor with Mycobacterium bacilli within the tumor. (Figure 4) (Figure 5) The Mycobacterium culture revealed Mycobacterium tuberculosis. His wound recovered well and there was no facial palsy. Anti-tuberculosis therapy was then given for three months. The dosage and the duration was as follows: rifampin 600 mg, isoniazid 600 mg, pyrazinamide 1500 mg, ethambutol 1200 mg once daily for three months. The patient has been regularly followed-up for renal function, liver function, and hearing function, and there was no abnormality in the above examination nor local recurrence to date for three years.


Cursor on image to zoom/Click text to open image
Figure 1: In T2-weighted image, left parotid high signal with central necrosis suggestive of left pleomorphic adenoma or mixed tumor.



Cursor on image to zoom/Click text to open image
Figure 2: In T1-weighted image post contrast infusion, left well demarcated parotid mass was moderated enhanced, with some low to moderate signal and heterogenous material inside. Highly suggestive of tumor central bleeding or granulomatous disease.



Cursor on image to zoom/Click text to open image
Figure 3: In T2-weighted image, left parotid tumor showing high signal with central necrosis, suggestive of granulomatous disease.



Cursor on image to zoom/Click text to open image
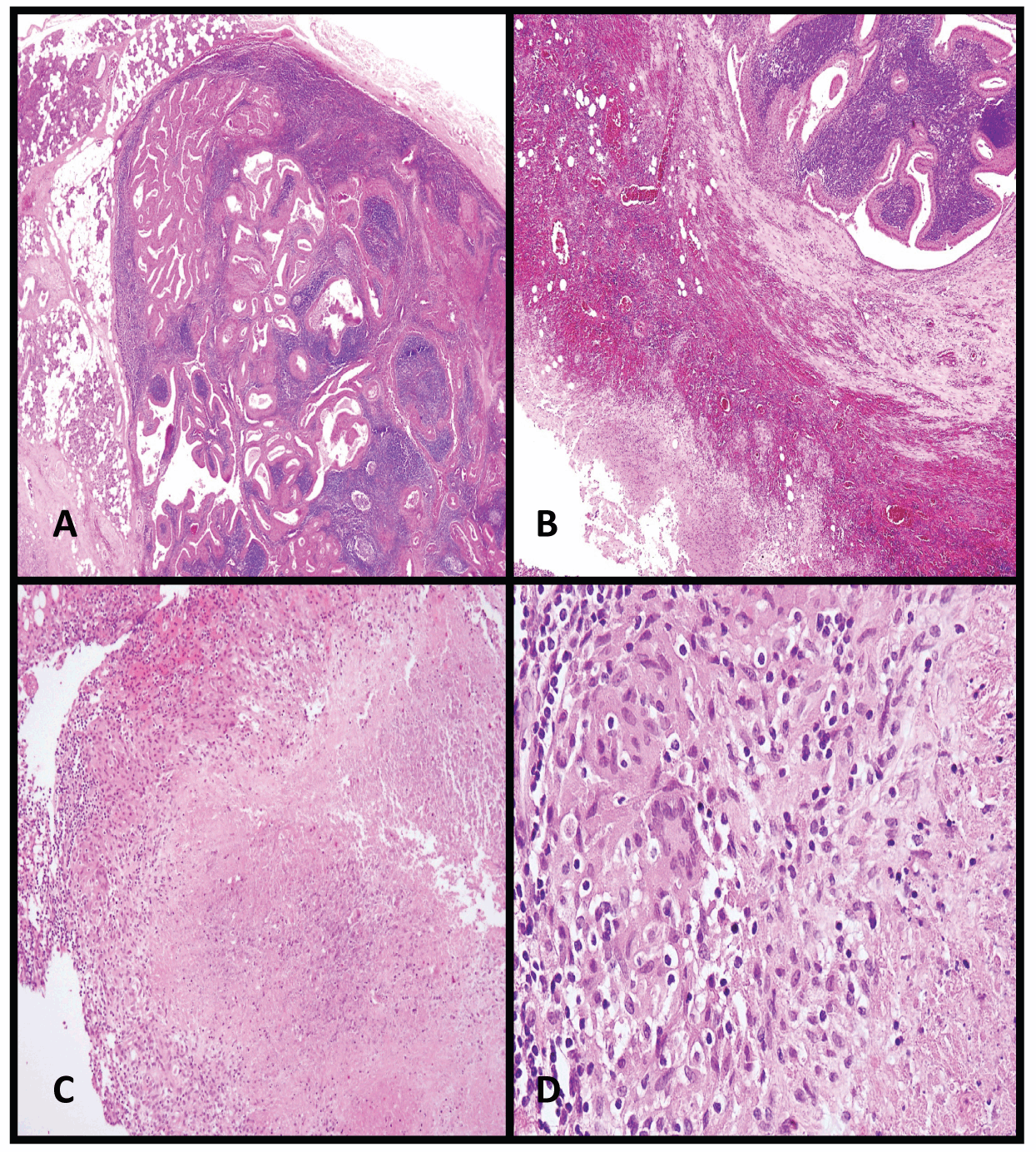
Figure 4: (A) A small Warthin tumor composed of papillary architectures lined by two layers of oncocytic epithelium with surrounding lymphoid stroma is seen, (B) Foci of caseating granulomatous inflammation and granulation tissue adjacent to the Warthin tumor are present, (C) A well-formed granuloma with epithelioid macrophages surrounding caseating necrosis is seen, (D) High power view illustrating aggregates of epithelioid macrophages with a multinucleated giant cell surrounding the caseating necrosis.



Cursor on image to zoom/Click text to open image
Figure 5: Mycobacteria within the caseating necrosis are seen in Kinyoun acid fast stain (x1000).



Discussion

Parotid gland lesions may occur due to various disease such as sialolithiasis, sialoadenitis, and benign or malignant tumors. The diagnostic approach includes CT scan, MRI scan, fine needle aspiration, and excision biopsy, and histopathology is used to make a definite diagnosis.

Extra pulmonary tuberculosis represents approximately 25% of overall tubercular morbidity. The most common type of extra pulmonary tuberculosis is lymph node tuberculosis, and other forms include pleural, skeletal, central nervous system, abdominal, genitourinary, miliary, and tubercular pericarditis. [1] Parotid tuberculosis is a rare form of extra pulmonary tuberculosis. It usually presents as a unilateral swelling or abscess involving the parenchyma of the gland either through hematogenous spread or from infection of lymph nodes within or around it. It presents as a slow growing mass and is mostly indistinguishable from parotid tumors, and it may also coexist with a parotid tumor. [2] Tuberculosis comprises 2.5–10% of parotid lesions. If there are no clinical pulmonary symptoms, it is difficult to make a diagnosis. [3]

Other infectious processes such as fungal infections are also seen in parotid abscesses. [4] Fungal infections are quite rare in parotid infections. However, when patient is immunocompromised, fungal infections should always be kept in mind. The patients are generally critically ill, especially when coexisting with a Warthin tumor. Adequate antifungal therapy and incision and drainage is crucial.

De Paoli reported the first case of parotid gland tuberculosis in 1893. The most common route of infection of the parotid gland is by direct extension of bacilli from the oral cavity via the gland ductal system. Watanabe et al. first reported a patient with mycobacterial infection with a Warthin tumor confirmed by polymerase chain reaction. [5] However, preoperative imaging was often unavailable in the past, or poor resolution of the images may have lead to difficulty in making a diagnosis.

Ultrasonography may have been the first imaging modality of choice for the assessment of palpable abnormalities of the parotid gland. Ultrasonography is able to differentiate possible benign from malignant neoplasms. In addition, fine needle aspiration can also be performed with ultrasound for pathologic tissue proof. [6] However, ultrasonography is a skill dependent examination method.

Computed tomography scan then became the preferred choice due to the higher resolution. Wei et al. reported the performance of CT scan in detecting tuberculosis infections of the parotid gland. [7] The main feature of parotid tuberculosis on CT is multiple nodularity. Another differential diagnosis may include sarcoidosis—a systemic disease often presenting as non-caseating granuloma bilaterally. CT scan is most sensitive and specific in identifying bony erosions caused by tumors. However, this seldom occurs with Warthin tumors or tuberculosis infection of the parotid gland.

An MRI scan may be better than CT scan in differentiating parotid from extra-parotid space masses, such as paraganglioma, schwannoma, or minor salivary gland masses. Magnetic resonance imaging also provides for better evaluation of tumors invading the parapharyngeal or intracranial space. On T1-weighted images, almost all parotid masses are isointense to muscle, and can be separated from the normal hyperintense signal intensity of the rest of the parotid gland. On fat-saturated T1-weighted post-contrast images of the tumor, these sequences may be used to determine the boundary and extent of the lesion. In general, T2-weighted images are not specific in differentiating tumor types, as most tumors are hyperintense in signal intensity. However, lesions that demonstrate iso- to hypo-intense signal intensity relative to muscle may be indicative of malignancy. MRI is relatively artifact free and does not use ionizing radiation, and multiple planes are readily obtained without changing the position of the patient. The appearance of tuberculosis on MRI is that of a central water-density collection (i.e., low or medium signal intensity on T1-weighted images, with increased signal intensity on T2-weighted images) in a bed of edema. [8] Pleomorphic adenoma on MRI demonstrates a predominantly heterogeneous well-circumscribed mass of intermediate to low signal intensity on T1-weighted images, and hyperintense signal intensity on T2-weighted sequences. Hemorrhage is revealed as areas of high-intensity signals on T1- and T2-weighted images. It is difficult to differentiate pleomorphic adenoma from tuberculosis infection. Even though the appearance of tuberculosis on MRI shows central edematous and fluid accumulation, this is also seen in Warthin tumors. Since these two diseases are hyperintense in signal intensity. It is especially difficult to differentiate them when they coexist. However, MRI scan is still the gold standard in differentiating parotid diseases. Careful clinical history taking and thorough physical examinations are crucial to avoid a misdiagnosis, despite the use of advanced technology. An MRI scan is contraindicated for patients with claustrophobia, pacemakers, intracranial ferromagnetic aneurysm clips, cochlear implants and brainstem implants placed for hearing loss, ocular foreign bodies, and surgical ferromagnetic hardware.

Four drug regimens (rifampicin, isoniazid, ethambutol and pyrazinamide) in the intensive phase followed by two drugs (rifampicin and isoniazid) in the continuation phase are recommended for parotid tuberculosis. However, a regimen consisting of only three drugs (rifampicin, isoniazid and pyrazinamide) followed by two drugs (rifampicin and isoniazid) may also be sufficient, as parotid tuberculosis is a pauci-bacillary extra pulmonary form of tuberculosis.


Conclusion

This report should alert clinicians to the importance and difficulties in diagnosing coexisting Warthin tumors and parotid tuberculosis. Magnetic resonance imaging is still the preferred imaging modality to diagnose parotid lesions. Future research on the quantitative values of the magnetic resonance signals for parotid lesions is warranted to allow for the correct diagnosis by using cut-off values rather than subjective descriptions.


References
  1. Garg R, Verma SK, Mehra S, Srivastawa AN. Parotid tuberculosis. Lung India 2010 Oct;27(4):253–5.   [CrossRef]   [Pubmed]    Back to citation no. 1
  2. Archontaki M, Stamou AK, Hajiioannou JK, Kalomenopoulou M, Kyrmizakis DE. Intraparotid lymph node tuberculosis. B-ENT 2008;4(1):35–7.   [Pubmed]    Back to citation no. 2
  3. Ozcan C, Apa DD, Aslan G, Gülhan S, Görür K. Mycobacterium tuberculosis infection within parotid gland Warthin tumor. J Craniofac Surg 2008 Nov;19(6):1561–5.   [Pubmed]    Back to citation no. 3
  4. Leibowitz JM, Montone KT, Basu D. Warthin tumor presenting as a fungal abscess in an immunocompetent host: case report and review of the literature. Head Neck 2010 Jan;32(1):133–6.   [Pubmed]    Back to citation no. 4
  5. Watanabe M, Nakayama T, Koduka Y, et al. Mycobacterium tuberculosis infection within Warthin's tumor: report of two cases. Pathol Int 2001 Oct;51(10):797–801.   [CrossRef]   [Pubmed]    Back to citation no. 5
  6. Bagga P, Pandey P, Shahi M, Mittal A, Mehta V, Ganju A. Parotid gland tuberculosis diagnosed on FNAC: a case report. Cytopathology 2010 Apr;21(2):127–9.   [CrossRef]   [Pubmed]    Back to citation no. 6
  7. Wei Y, Xiao J, Pui MH, Gong Q. Tuberculosis of the parotid gland: computed tomographic findings. Acta Radiol 2008 May;49(4):458–61.   [CrossRef]   [Pubmed]    Back to citation no. 7
  8. Birkent H, Karahatay S, Akcam T, Durmaz A, Ongoru O. Primary parotid tuberculosis mimicking parotid neoplasm: a case report. J Med Case Reports 2008 Feb 26;2:62.   [CrossRef]   [Pubmed]    Back to citation no. 8

[HTML Abstract]   [PDF Full Text]

Author Contributions
Chia Han Lin – Substantial contributions to conception and design, Acquisition of data, Analysis and interpretation of data, Drafting the article, Revising it critically for important intellectual content, Final approval of the version to be published
Mu Kuan Chen – Analysis and interpretation of data, Drafting the article, Revising it critically for important intellectual content, Final approval of the version to be published
Guarantor of submission
The corresponding author is the guarantor of submission.
Source of support
None
Conflict of interest
Authors declare no conflict of interest.
Copyright
© Chia Han Lin et al. 2013; This article is distributed the terms of Creative Commons Attribution License which permits unrestricted use, distribution and reproduction in any means provided the original authors and original publisher are properly credited. (Please see Copyright Policy for more information.)