Case Report
 
Enucleation of a five-kilograms hemangioma of the caudate lobe of the liver: A case report
M Abdel Wahab1, N Elghwalby1, O Fathy1, N Bisuony2, Kh Abdel Wahab3, M El Sorogy4
1Gastroenterology Center, Mansoura University, Egypt.
2Pathology Department, Mansoura University, Egypt.
3Surgical oncology unit, Oncology Center- Mansoura University, Egypt.
4Gastroenterology Center, Mansoura University, Egypt.

doi:10.5348/ijcri-2013-07-331-5

Address correspondence to:
Mohamed Abdel Wahab
Gastroenterology center, Mansoura University
Egypt
Phone: 002050 2240068
Fax: 0020502236868
Email: wahab_m_eg@yahoo.com

Access full text article on other devices

  Access PDF of article on other devices

[HTML Abstract]   [PDF Full Text] [Print This Article]
[Similar article in Pumed] [Similar article in Google Scholar]


How to cite this article:
Wahab MA, N Elghwalby, O Fathy, N Bisuony, Wahab KA. Enucleation of a five-kilograms hemangioma of the caudate lobe of the liver: A case report. International Journal of Case Reports and Images 2013;4(7):358–362.


Abstract
Introduction: Although cavernous hemangioma is the most common benign tumors of the liver, caudate lobe is rare site of this type of hepatic pathology. Owing to the intricacy of the anatomy of the caudate lobe, the reports on resection of whole caudate lobe for tumor inside were seldom seen before the 1980s. This segment of the liver was always considered as the forbidden zone of hepatic surgery. Although excision of the caudate lobe has been performed with other types of hepatic resection, isolated complete removal of the caudate lobe is a technically challenging procedure.
Case Report: We report a case of a giant cavernous hemangioma of the caudate lobe of the liver which extended to the right side compressing the right lobe.The patient was complaining of dull aching dragging abdominal pain in the right hypochondrium stationary in course for eight years, and in the last two years it became progressive preventing the patient from spleeping in supine position due severe dyspnea. Abdominal imaging, including ultrasonography and dynamic triphasic computed tomography (CT) scan showed a large mass in the caudate lobe with a typical CT enhancement pattern of a hemangioma. Surgical exploration and excision of the mass was done successfully and completely. The dimensions of the mass were 35x25x15 cm and the weight was 4750 g.
Conclusion: Whatever the size of caudate lobe hemangioma, it could be enculated safely.

Keywords: Caudate lobe, Giant hemangioma, Caudate lobe resection, Liver


Introduction

Although cavernous hemangioma is the most common benign tumor of the liver, [1] caudate lobe is a rare site of this type of hepatic pathology. Cavernous hemangioma of the liver occurs in 0.4–7.3% of autopsy series [2] [3] [4] [5] and giant hemangioma are defined as those larger than 4 cm. To our knowledge up till now, we found few publications that reported caudate lobe hemangioma not more than 8 cm in diameter [6]. Caudate lobe resection for hemangioma has been encountered in some series but for hemangioma has been encountered in some series but for smaller sized lesions. [6] We report here a case of a giant hemangioma of the caudate lobe of the liver about 4.8 kg [35x26x15 cm] treated by enucleation.


Case Report

Along a period of 10 years, a 45-year-old male had been complaining of a dull aching pain stationary in course for eight years, and in the last two years, it became progressive preventing the patient from sleeping in supine position due to severe dyspnea. Also, bilateral edema of the lower limbs were noted. Abdominal examination revealed a non-tender firm intra-abdominal mass in the right hypochondrium, lumbar and epigastric regions moving with respiration. A doubtful lateral mobility was present. An ultrasound study of the abdomen showed a large well encapsulated mass in the caudate lobe of liver with caudal exophytic expansion to segment VI. Triphasic computed tomography (CT) scan demonstrated a large mass in the caudate lobe with a typical CT enhancement pattern of hemangioma. (Figure 1) The patient had excellent liver function with; serum albumin 4 g/dL, prothrombin 90%, serum bilirubin 0.8 and normal complete blood picture. With negative viral markers and normal alpha fetoprotein. Upper gastrointestinal endoscopy was free. Surgical exploration of the patient was done through a Mercedes-Benz incision which reveald huge hemangioma exophytic from the caudate lobe of the liver (Figure 2) the liver itself was healthy and of good size with evidence of small hemangiomas in the left lobe but no nodules, ascites nor lymph nodes were present. Porta hepatis dissection and transfection ligation of the feeding vessels to the caudate lobe from the portal vein and hepatic artery was done firstly, and then mobilization of the right lobe and transfixion ligation of the posterior hepatic veins which were found large in size. Then an approach of the exophytic part of the hemangioma (antecaval part and caudate process had been started through dissection along the plane between its capsule and liver tissue on the surface of the liver using harmonic scalpel after division of the cystic duct and artery. This helped to attain a bloodless field and easy dissection of that part of the tumor till its complete separation and extraction from the caudate lobe proper. The remaning part of the caudate lobe hemangioma (caudate lobe proper) appeared clearly showing compression of the inferior vena cava (IVC) and extending laterally and caudally behind the porta hepatis with the gastrohepatic ligament obviously stretched in between the hemangima and segment II, III. (Figure 3) Approach to this part was done from both right and left sides, after division of the gastrohepatic omentum and the ligamentous attachments from the caudate lobe to the left side of IVC, the tumor was completely separated from the IVC lateraly and from the middle and left hepatic veins superiorly allowing reasonable rotaion and delivery of the tumor through the left side. (Figure 4) Transcystic cholangiogram was done and revealed patent sound biliray system. This bloodless procedure was done without any total or partial vascular isolation or occlusion and without blood transfusion. The time of surgery was 4 hours and 20 minutes. The abdomen closed with tube drain. The patient passed a smooth postoperative period and was discharged 10 days after surgery. Histopathological examination of the tumor revealed cavernous hemangioma. (Figure 5) Three weeks later spiral CT scan was done which revealed complete removal of the tumor. (Figure 6)


Cursor on image to zoom/Click text to open image
Figure 1: Arterial phase triphasic computed tomography scan showing large caudate lobe mass with peripheral nodular enhancement pathognomenic for hemangioma.



Cursor on image to zoom/Click text to open image
Figure 2: Operative photography showing huge hemangioma exophytic from the caudate lobe of the liver.



Cursor on image to zoom/Click text to open image
Figure 3: (A) Operative photography shows the remaning part of the caudate lobe hemangioma (caudate lobe proper) showing compression of the inferior vena cava (IVC) (arrow), right hepatic vein (yellow tape), right hepatic artery (white tape) and stretched gastrohepatic ligament (doted arrows), (B) The hemangioma completely inoculated.



Cursor on image to zoom/Click text to open image
Figure 4: Operative specimen shows two parts of the hemangioma (A) caudate process, and (B) caudate proper.



Cursor on image to zoom/Click text to open image
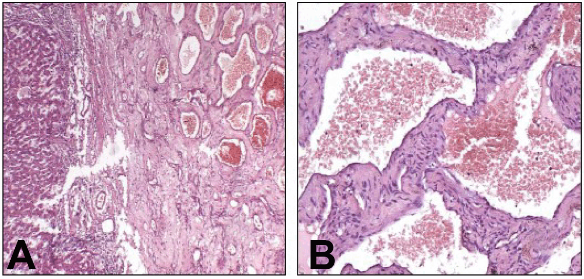
Figure 5: (A) Hepatic tissue infiltrated by many capsulated vascular proliferation in the form of dilated, variable sized blood spaces, (B) The same section showing cavernous spaces lined by endothelial cells (H&E stain, x100) filled with blood.



Cursor on image to zoom/Click text to open image
Figure 6: Early postoperative computed tomography revealed complete removal of the caudate lobe tumor.



Discussion

The caudate lobe of the liver is a frequent site of involvement by both primary and secondary liver tumors. [7] [8] Hemangioma of the liver is the most common hepatic neoplasm with reported incidence at autopsy of 0.4–7.3%. [9] On the other hand, caudate lobe is a rare site of cavernous hemangioma and only few case reports have been published recently with size not more than 10 cm. [10] We reported a case with large hemangioma in the caudate lobe, 4.8 kg. Weight [measures approximately 35x25x15 cm in dimensions]. To our knowledge, it is one of the largest hemangiomas to be reported in the caudate lobe. Owing to the intricacy of the anatomy of the caudate lobe, the reports on resection of whole caudate lobe for tumor inside were seldom seen before the 1980s. This segment of the liver was always considered as the forbidden zone of hepatic surgery. [11] [12] [13] Caudate lobe resection is a technically challenging procedure. It is, however, a necessary part of the hepatic surgeon’s armamentarium in the care of patients with hepatobiliary tumors. [14] Although excision of the caudate lobe has been performed with other types of hepatic resection isolated complete removal of the caudate lobe is a technically challenging procedure. [11] [15] Many surgeons advised complete vascular occlusion during caudate lobe resection to avoid severe hemorrhage and injury of the hepatic veins, while others have not used this techniques. They have employed a previously published technique involving the maintenance of low central venous pressure with dissection carried out in 15 trendelenburg position. [16] In the present case inspite of the tumor was very large we did not use the techniques of vascular control so we found some differences between resection of large caudate hemangioma and resection of other caudate lobe tumors in many publications. At first, due to the presence of a plane of cleavage between the other liver tissue and the caudate hemangioma this made the resection easier and the blood loss was less than other reports. [11] Secondly, we did not need to dissect and occlude the main hepatic veins before inoculation of the hemangioma.


Conclusion

Whatever the size of caudate lobe hemangioma, it could be enucleated safely.


Acknowledgements

I am indebted to Mrs. Amany Elsgan From the computer center for her cooperation.


Abbreviation

IVC: inferior vena cava


References
  1. Baer HU, Dennison AR, Mouton W, Stain SC, Zimmermann A, Blumgart LH. Enucleation of giant Hemangiomas of the liver Technical and Pathologic Aspects of a Neglected Procedure. Ann Surg 1992 Dec;216(6):673–6.   [CrossRef]   [Pubmed]    Back to citation no. 1
  2. Schwartz SI, Husser WC. Cavernous hemangioma of the liver a single institution report of 16 resections. Ann surg 1987;205(5):456–5.   [Pubmed]    Back to citation no. 2
  3. Ishak KG, Rabin L. Benign tumors of the liver. Med Clin North Am 1975;59(4):995–1013.   [Pubmed]    Back to citation no. 3
  4. Ackerman LV, Rosai J. Surgical Pathology, 5th Edition. St. Louis CV Mosby 1974.    Back to citation no. 4
  5. Adam YG, Huvos AG, Fortner JG. Giant hemangiomas of the liver. Ann Surg 1970;172(2):239–45.   [CrossRef]   [Pubmed]    Back to citation no. 5
  6. Fan J, Wu ZQ, Tang ZY, et al. Complete resection of the caudate lobe of the liver with tumor: technique and experience. Hepatogastroenterology 2001 May-Jun;48(39):808–11.   [Pubmed]    Back to citation no. 6
  7. Fan J, Wu ZQ, Tang ZY, et al. Complete resection of the caudate lobe of the liver with tumor: technique and experience. Hepatogastroenterology 2001;48(39):808–11.   [Pubmed]    Back to citation no. 7
  8. Colonna JO 2nd, Shaked A, Gelabert HA, Busuttil RW. Resection of the caudate lobe through 'bloody gultch'. Surg Gynecol Obstet 1993;176(4):401–2.   [Pubmed]    Back to citation no. 8
  9. Faster JH. Benign liver tumours. In Blumgart LH surgery of the Liver and Biliary Tract. Churchill Livingstone 1994:1325–39.    Back to citation no. 9
  10. Chen HC, Lee CM, Chen CS, Wu CH. A case of atypical caudate lobe hemangioma mimicking hepatocellular carcinoma CT and angiographic manifestations. World J Gastroenterol 2004 November 15;10(22):3382–4.   [Pubmed]    Back to citation no. 10
  11. Elias D, Lasser PH, Destruennes E, Mankarios H, Jiang Y. Surgical approach to segment I for malignant tumors of the liver. Surg Gynecol Obstet 1992;175(1):17–24.   [Pubmed]    Back to citation no. 11
  12. Yang MC, Lee PO, Sheu JC, Lai MY, Hu RH, Wei CK. Surgical treatment of hepatocellular carcinoma originating from the caudate lobe. World J surg 1996;20(5):562–5.   [CrossRef]   [Pubmed]    Back to citation no. 12
  13. Zhang WZ, Liu YX, Luo Y. Surgical treatment of the tumor originating in the caudate lobe. Chin J Hepatobiliary Surg 1998;4:6–7.    Back to citation no. 13
  14. Abdel Wahab M, Lawal AR, EL Hanafy E, Salah T, Hamdy E, Sultan AM. Caudate lobe resection: an Egyptian center experience. Langenbecks Arch Surg 2009;394(6):1057–63.   [CrossRef]   [Pubmed]    Back to citation no. 14
  15. Starzl TE, Iwatsuki S, Shaw BW Jr, et al. left hepatic trisegmentectomy. Surg Gynecol Obstet 1982;155(1):21–7.   [Pubmed]    Back to citation no. 15
  16. Cunningham JD, Fong Y, Shriver C, Melendez J, Marx WL, Blumgart LH: One hundred consecutive hepatic resection blood loss, transfusion and operative technique. Arch Surg 1994;129(10):1050–6.   [CrossRef]   [Pubmed]    Back to citation no. 16

[HTML Abstract]   [PDF Full Text]

Author Contributions
M Abdel Wahab – Substantial contributions to conception and design, Acquisition of data, Drafting the article, Revising it critically for important intellectual content, Final approval of the version to be published
N Elghwalby – Substantial contributions to conception and design, Acquisition of data, Drafting the article, Revising it critically for important intellectual content, Final approval of the version to be published
O Fathy – Substantial contributions to conception and design, Acquisition of data, Drafting the article, Revising it critically for important intellectual content, Final approval of the version to be published
N Bisuony – Substantial contributions to conception and design, Acquisition of data, Revising it critically for important intellectual content, Final approval of the version to be published
Kh Abdel Wahab – Substantial contributions to conception and design, Drafting the article, Revising it critically for important intellectual content, Final approval of the version to be published
M El Sorogy – Substantial contributions to conception and design, Drafting the article, Revising it critically for important intellectual content, Final approval of the version to be published
Guarantor of submission
The corresponding author is the guarantor of submission.
Source of support
None
Conflict of interest
Authors declare no conflict of interest.
Copyright
© M Abdel Wahab et al. 2013; This article is distributed the terms of Creative Commons Attribution License which permits unrestricted use, distribution and reproduction in any means provided the original authors and original publisher are properly credited. (Please see Copyright Policy for more information.)