Case Report
 
Jejunal perforation: An unusual presentation of Crohn's disease
Josia Narda Henry1, Belen Tesfaye1, Tammana VS2, Cortni Tyson3, Andrew Sanderson4
1MD, Resident, Internal Medicine, Howard University Hospital, DC, Washington DC, USA.
2MD, Fellow, Gastroenterology, Howard University Hospital, DC, Washington DC, USA.
3Fellow, Gastroenterology, Howard University Hospital, DC, Washington DC, USA.
4Attending, Gastroenterology, Howard University Hospital, DC, Washington DC, USA.

doi:10.5348/ijcri-2013-07-329-3

Address correspondence to:
Josia Narda Henry
2041 Georgia Ave NW
DC, Washington DC
USA. 20060
Phone: 202 865 6100
Fax: 888-371-7853
Email: josia.henry@howard.edu

Access full text article on other devices

  Access PDF of article on other devices

[HTML Abstract]   [PDF Full Text] [Print This Article]
[Similar article in Pumed] [Similar article in Google Scholar]


How to cite this article:
Henry JN, Tesfaye B, Tammana VS, Tyson C, Sanderson A. Jejunal perforation: An unusual presentation of Crohn's disease. International Journal of Case Reports and Images 2013;4(7):349–353.


Abstract
Introduction: Spontaneous perforation of the small intestine is a well-documented initial presentation or complication of Crohn’s disease. Review of literature shows that the most common site of free perforation is the ileum. Transmural inflammation of the intestinal walls makes them more susceptible to insult. Perforation of the jejunum as the initial presentation in Crohn’s disease is rare and not well described in literature.
Case Report: We report a case of spontaneous jejunal perforation in a 34-year-old Caucasian male. Histopathological studies revealed Crohn’s disease.
Conclusion: Our case brought to light an uncommon presentation of this disease. Isolated jejunal perforation as an initial presentation of Crohn’s disease is very rare. Prompt identification of this complication is essential in patients with Crohn’s disease and early referral for surgery is warranted.

Keywords: Crohn's disease, Jejunum, Perforation


Introduction

Spontaneous perforation of the small bowel has been reported in patients with Crohn's disease. Most common site of the perforation in small bowel is terminal ileum. Spontaneous perforation is more common in females than males. A handful of cases with isolated perforation in jejunum without ileal perforation have been reported in Crohn’s disease in literature. We present a case of a young Caucasian male patient presenting with spontaneous isolated perforation of Jejunum as the initial presentation of Crohn's disease.


Case Report

A 34-year-old Caucasian male with no past medical history presented with a one-day history of acute onset lower abdominal pain, nausea and vomiting. He denied any previous change in bowel habits, tenesmus, blood or mucus in his stools, weight loss or fevers or any urinary symptoms. He had no previous medication or surgical history. Family history was positive for celiac disease. He drank an average of two alcoholic drinks a day, five times per week. He denied the use of tobacco or any illegal drugs. On physical exam, the patient was in severe pain and unable to find a comfortable resting position. Abdominal exam revealed tenderness in the infra-umbilical and supra-pubic regions. The abdomen was non-distended with voluntary guarding, but no rebound. Bowel sounds were present. Rectal examination showed normal sphincter tone without any masses. There was no costovertebral angle tenderness. Physical examination was otherwise normal.

Laboratory findings showed normal electrolytes. Complete blood count revealed a normal white blood cell count with a mild neutrophilia 81% and hemoglobin 12.7 g/dL. Lipase was 7 U/L. Urinalysis was normal. Hepatitis B workup revealed immunization induced immunity. ANCA profile was negative.

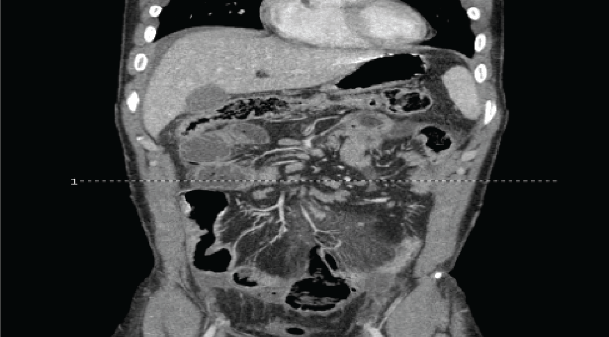
Computed tomography (CT) scan of abdomen and pelvis revealed lower abdomen bowel rupture with associated mesenteric inflammation, fecal matter, emphysema and adenopathy. (Figure 1)

It was noted that there was thickened small bowel concerning for inflammatory bowel disease. There was also mid bowel focal ileus and splenomegaly. The appendix was not visualized.

The patient was taken for exploratory laparotomy. A perforated loop of jejunum was located 80 cm distal to the ligament of Treitz. (Figure 2) Solid unmasticated mushrooms were found adjacent to the perforation. (Figure 3) The segment was resected and then primary jejunal anastamosis was performed.

Gross examination of the respected intestine demonstrated a diseased segment measuring 3.3 cm. A perforation measuring 2.8x1.5 cm was located in this segment. The lumen appeared somewhat smaller in the diseased portion of the bowel with a thickened wall and showed some mucosal ulceration. The diseased thickened portion had a hyperemic mucosa and a cobble stone appearance. (Figure 4) The remainder of the bowel appeared to be normal.

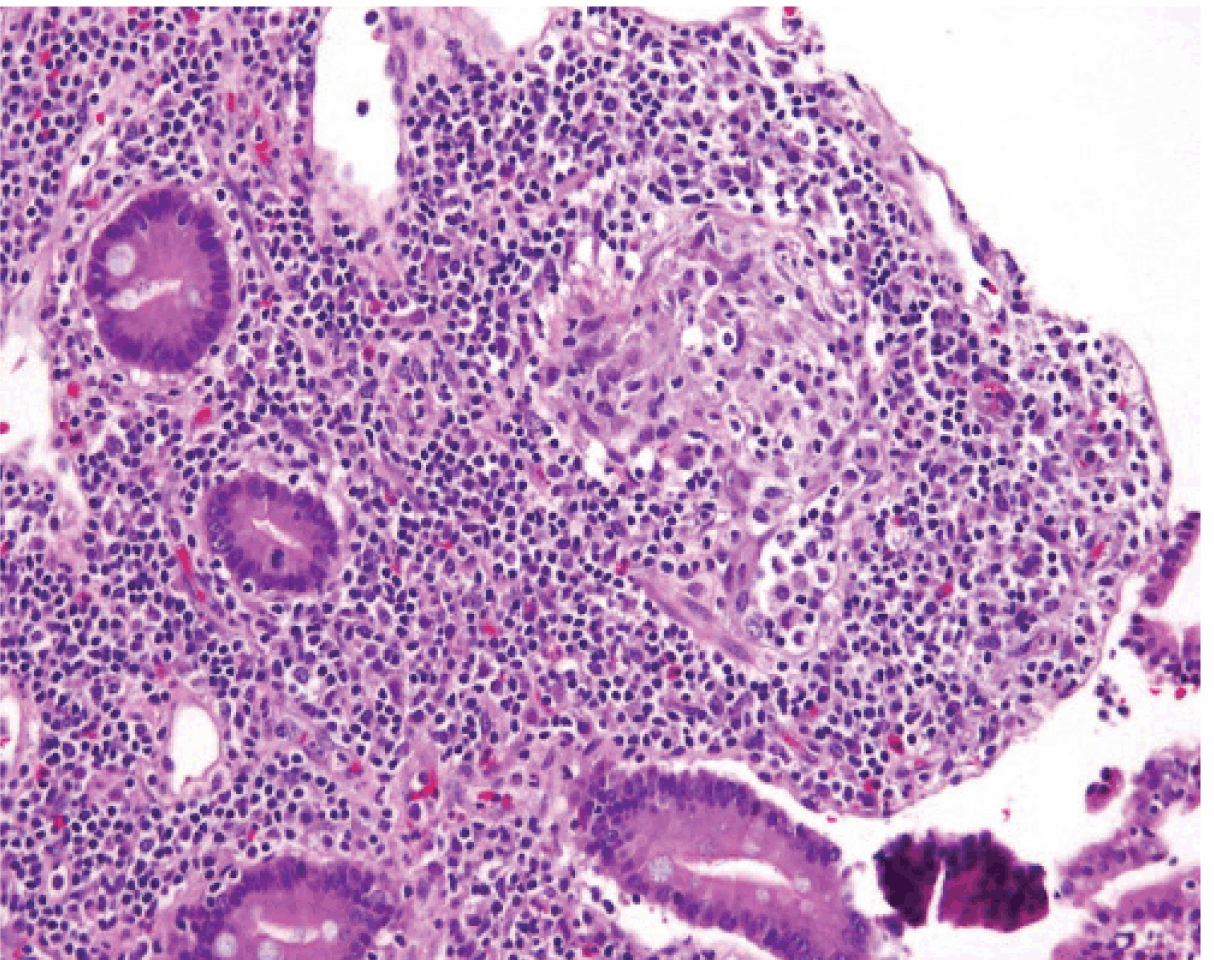
Microscopically the resected segment of the specimen demonstrated transmural inflammation with extensive pinpoint mucosal ulceration along with cobble stone linear ulcers, fistula tracts and a large area of perforation. Inflammatory pseudo-polyps were numerous. Multiple lymphoid hyperplasia with germinal centers (strings of pearls), occasional granulomas and a rare crypt abscess was noted. (Figure 5) All these findings were suggestive of Crohn’s disease.

Patient has a relatively benign postoperative course. He was managed conservatively until normal bowel function returned. The plan was to begin therapy for Crohn's disease prior to discharge pending the pathology report and to perform colonoscopy six weeks after discharge. Unfortunately, the patient opted to follow-up at another institution for convenience.


Cursor on image to zoom/Click text to open image
Figure 1: CT abdomen and pelvis illustrating small bowel rupture with free fluid.



Cursor on image to zoom/Click text to open image
Figure 2: Surgically resected specimen illustrating perforated loop of jejunum.



Cursor on image to zoom/Click text to open image
Figure 3: Solid unmasticated mushroom found distally to the area of perforation.



Cursor on image to zoom/Click text to open image
Figure 4: High powered view illustrating cobble stone area.



Cursor on image to zoom/Click text to open image
Figure 5: Micrograph illustrating granuloma within the mucosa.



Discussion

Crohn's disease is usually characterized by its chronic transmural inflammation of the gastrointestinal tract with deep ulcers and the formation of abscesses or fistulous tracts into adjacent structures. Spontaneous free perforation into the peritoneal cavity can occur in the natural history of Crohn’s disease and it is one of the indications for emergency surgery. In 1935, Arnheim reported the first case of small bowel perforation in Crohn’s disease. [1] Two years later, Halligan described a 40-year-old woman with ileal perforation. [2] In a large group of 1415 patients with Crohn’s reported from Mount Sinai Hospital in New York, from 1960 to 1983, free intestinal perforation was seen in 21 patients. Ten patients had small bowel perforation, ten patients had large bowel perforation, and one patient had simultaneous perforation of both ileum and cecum. The incidence of perforation in disease segments of small bowel was 1.0% (jejunum 6.0%, ileum 0.7%), and in the colon, 1.3 %. [3] In a study by Freeman from Canada, 15 new cases of spontaneous free perforation of the small intestine (nine females and six males) were discovered in a series of 1000 consecutively evaluated patients with Crohn's disease seen during a period spanning 20 years, for an estimated frequency of 1.5%. The jejunum was the site of perforation in two patients. Both the patients with jejunal perforation were females and one patient had concomitant ileal perforation. Spontaneous free perforation was the presenting clinical feature of Crohn’s disease in 60% of the newly diagnosed cases of small intestinal perforation. [4] In another study from Japan which looked at 126 patients with free perforation in Crohn’s disease, the perforation sites were in the jejunum in seven, the ileum in 102, and the colon in 17. Free perforation was the presenting sign in 72 patients (57%). [5] From various studies, it appears that isolated perforation of the jejunum without ileal perforation is not so common in male patients with Crohn’s disease. We described a male patient with an isolated jejunal perforation.

It is not known precisely in what percentage of cases of spontaneous jejunal perforation, the perforation itself is the first sign of Crohn’s disease. In one review of literature, free perforation of the Jejunum occurred in 18 patients in which four patients (22%) had free perforation as first sign of Crohn’s disease. [6] The patient we described had free perforation of the jejunum as a first sign of Crohn’s disease. Most perforations in Crohn’s disease were located in the ileum. [6] The accompanying fibrous reaction and adhesion to adjacent viscera appears to limit the complication of free perforation in some cases. The mean disease duration is 3.3 years before free perforation. [3] [7] In a study by Katz et al., the patient with isolated jejunal perforation has disease duration of 10 years before perforation. [6] The patient we described did not have any symptoms before presenting with perforation.

Contributing factors for perforation in Crohn’s disease, which are often cited, include distal obstruction and toxic dilation. Steroids are referenced in many anecdotal reports and some series but when analyzed critically, no clear association can be demonstrated. [6] Enterolith or a bezoar or in our case undigested mushroom, complicating Crohn’s disease is rare and occurs in areas of stasis proximal to strictures. They are usually seen in patients with a long-standing history of Crohn’s disease and present with symptoms and signs of small bowel obstruction. [8] The mechanisms put forward were the build up of intraluminal pressure proximal to the obstruction or direct pressure necrosis. [9] It is possible that in our patient, the obstructed unmasticated mushroom could have led to a build up of proximal intraluminal pressure coupled with the already inflamed diseased jejunal wall might have precipitated the perforation.

Free bowel perforation is one of the indications for emergency surgery in Crohn’s disease. In one study by Freeman, all 15 cases of spontaneous free perforation of the small intestine underwent surgery in the form of resection. The mean length of follow-up for all patients after free perforation was 11.4 years. During the course all patients were treated with a form of 5-acetylsalicylic acid containing medication but only 40% required corticosteroid or immunosuppressive medication. Over 40% of patients with follow-up data for over 10 years have had no significant clinical disease requiring either corticosteroid treatment or further surgical treatment. [4] With perforation of the small bowel, primary reanastomosis is possible in selected patients. [3] [10] [11] In our patient emergency segmental bowel resection, primary anastomosis, and thorough washout resulted in a good outcome.


Conclusion

Isolated jejunal perforation as an initial presentation of Crohn’s disease in a male patient is very rare. Prompt identification of this complication is essential in patients with Crohn’s disease and early referral to for surgery is warranted.


References
  1. Arnheim EE. Regional enteritis with perforation, abscess and peritonitis. J Mt Sinai Hosp 1935;2:61–3.    Back to citation no. 1
  2. Halligan EJ, Halligan HJ. Acute free perforation as first sign of regional enteritis. Am J Surg 1937;37:493–7.   [CrossRef]    Back to citation no. 2
  3. Greenstein AJ, Sachar DB, Mann D, Lachman P, Heimann T, Aufses AH Jr. Spontaneous free perforation and perforated abscess in 30 patients with Crohn's disease. Ann Surg 1987;205(1):72–6.   [Pubmed]    Back to citation no. 3
  4. Freeman HJ. Spontaneous free perforation of the small intestine in Crohn's disease. Canadian Journal of Gastroenterology 2002 Jan;16(1):23–7.   [Pubmed]    Back to citation no. 4
  5. Ikeuchi H, Yamamura T. Free perforation in Crohn's disease: review of the Japanese literature. J Gastroenterol 2002;37(12):1020–7.   [CrossRef]   [Pubmed]    Back to citation no. 5
  6. Katz S, Schulman N, Levin L. Free perforation in Crohn’s disease: A report of 33 cases and Review of Literature. Am J Gastroenterol 1986 Jan;81(1):38–43.   [Pubmed]    Back to citation no. 6
  7. Greenstein AJ, Mann D, Sachar DB, Aufses AH Jr. Free perforation in Crohn's disease: I. A survey of 99 cases. Am J Gastro 1985 Sep;80(9):682–9.   [Pubmed]    Back to citation no. 7
  8. Mendes Ribeiro HK, Nolan DJ. Enterolithiasis in Crohn's disease. Abdom Imaging 2000 Sep-Oct;25(5):526–9.   [CrossRef]   [Pubmed]    Back to citation no. 8
  9. Browning LE, Taylor JD, Clark SK, Karanjia ND. Jejunal perforation in gallstone ileus - a case series. J Med Case Rep 2007 Nov 28;1:157.   [CrossRef]   [Pubmed]    Back to citation no. 9
  10. Ha NR, Lee HL, Lee OY, et al. A case of Crohn's disease presenting with free perforation and portal venous gas. Korean J Gastroenterol 2007 Nov;50(5):319–23.   [Pubmed]    Back to citation no. 10
  11. Werbin N, Haddad R, Greenberg R, Karin E, Skornick Y. Free perforation in Crohn's disease. Isr Med Assoc J 2003;5(3):175–7.   [Pubmed]    Back to citation no. 11

[HTML Abstract]   [PDF Full Text]

Author Contributions
Josia Narda Henry – Substantial contributions to conception and design, Acquisition of data, Analysis and interpretation of data, Drafting the article, Final approval of the version to be published
Belen Tesfaye – Substantial contributions to conception and design, Acquisition of data, Analysis and interpretation of data, Drafting the article, Final approval of the version to be published
Tammana VS – Substantial contributions to conception and design, Acquisition of data, Analysis and interpretation of data, Drafting the article, Final approval of the version to be published
Cortni Tyson – Substantial contributions to conception and design, Acquisition of data, Analysis and interpretation of data, Drafting the article, Final approval of the version to be published
Andrew Sanderson – Substantial contributions to conception and design, Acquisition of data, Analysis and interpretation of data, Drafting the article, Final approval of the version to be published
Guarantor of submission
The corresponding author is the guarantor of submission.
Source of support
None
Conflict of interest
Authors declare no conflict of interest.
Copyright
© Josia Narda Henry et al. 2013; This article is distributed the terms of Creative Commons Attribution License which permits unrestricted use, distribution and reproduction in any means provided the original authors and original publisher are properly credited. (Please see Copyright Policy for more information.)